Giải đáp nha khoa: Trồng răng hết bao nhiêu tiền?
Trồng răng là một trong những giải pháp phục hình nha khoa hiệu quả giúp bạn sở hữu hàm răng không chỉ chắc chắn khỏe mạnh mà còn đảm bảo thẩm mỹ. Bạn đang có nhu cầu trồng răng nhưng vẫn chưa biết trồng răng hết bao nhiêu tiền thì đừng bỏ lỡ những thông tin hữu ích ngay sau đây nhé.
1. Mất răng để lại hậu quả nghiêm trọng thế nào?
Nếu không được chăm sóc đúng cách, răng miệng có thể mắc một số bệnh lý nghiêm trọng dẫn tới việc phải nhổ răng hoặc vì chấn thương nên mất răng. Răng bị mất về lâu dài có thể ảnh hưởng nghiêm trọng tới sức khỏe cũng như thẩm mỹ cho khuôn mặt:
– Khả năng ăn nhai giảm sút do răng bị mất không thể tạo nên lực cắn xé, nhai thức ăn.
– Cũng vì vậy, lực nhai bất thường dồn lên các răng bên cạnh có thể gây ra tình trạng xiên xẹo, lệch lạc.
– Nếu tình trạng này diễn ra lâu dài, người bệnh có thể bị mất cân đối khớp cắn, khiến khuôn mặt bị lệch, méo mó.
– Dễ mắc một số bệnh lý về đường tiêu hóa do thức ăn không được nghiền kỹ như chướng bụng, đau dạ dày, khó tiêu, rối loạn tiêu hóa…
– Răng bị mất thời gian dài có thể xuất hiện tình trạng tiêu xương hàm.
– Ngoài ra, nhiều người mất răng còn gặp phải tình trạng phát âm không chuẩn, không rõ chữ.
Bởi vậy, khi mất răng, nhiều người thường cảm thấy tự ti, không dám cười khi giao tiếp. Để khắc phục những hạn chế của việc mất răng gây ra, các bác sĩ nha khoa thường khuyến khích người bệnh nên lựa chọn trồng răng ngay khi vừa nhổ nhằm đảm bảo hiệu quả phục hình cao nhất.
Răng bị mất về lâu dài có thể ảnh hưởng nghiêm trọng tới sức khỏe cũng như thẩm mỹ cho khuôn mặt
2. Phương pháp trồng răng phục hình nha khoa hiện nay
– Trồng răng phục hình với hàm tháo lắp:
Hàm tháo lắp là răng giá được chế tác trên nền nhựa để tạo thành một khối thống nhất với nướu và răng thật. Sau đó, bác sĩ sẽ tiến hành lắp răng lên trên răng thật để phục hình răng bị mất. Hàm tháo lắp có thể sử dụng cả trong trường hợp mất ít răng lẫn nhiều răng. Với phương pháp này, mọi người có thể dễ dàng tháo lắp răng để ăn uống và vệ sinh hằng ngày. Tuy nhiên, hàm tháo lắp chỉ có thể phục hình khoảng 4-50% khả năng ăn nhai và không ngăn chặn được tình trạng tiêu xương hàm ở vị trí răng bị mất. Người lớn tuổi là đối tượng thường xuyên sử dụng phương pháp này khi bị mất răng, đặc biệt là mất nhiều răng.
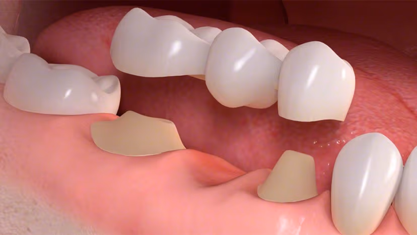
– Trồng răng phục hình bắc cầu răng sứ:
Cầu răng sứ là giải pháp trồng răng hiện đại sử dụng cầu răng sứ được gắn trực tiếp lên răng thật. Với phương pháp này, bác sĩ sẽ tiến hành mài hai răng kế cận vị trí răng đã bị mất và bắc cầu răng sứ gồm 2-4 răng để tạo thành trụ nâng đỡ cho dãy mão sứ dùng phục hình răng mất bên trên. Mão sứ được gắn trực tiếp với răng thật bằng keo dán nha khoa chuyên dụng nhằm tạo sứ cố định cho răng. Phương pháp này chỉ áp dụng trong trường hợp mất ít răng, từ 1-2 răng, không áp dụng cho trường hợp mất răng số 7. Với cầu răng sứ, mọi người có thể thoải mái ăn nhai bởi phương pháp này giúp khôi phục chức năng nhai của răng một cách hiệu quả. Đồng thời, mọi người sở hữu hàm răng đều, đẹp và thẩm mỹ do răng sứ được thiết kế với kiểu dáng, kích thước và màu sắc tương tự như răng thật. Răng phục hình bằng cầu răng sứ có tuổi thọ lên tới 10 năm nếu được chăm sóc đúng cách. Điểm hạn chế của phương pháp này chính là không ngăn chặn được tình trạng tiêu xương hàm do mất răng gây ra.
Cầu răng sứ là giải pháp trồng răng hiện đại sử dụng cầu răng sứ được gắn trực tiếp lên răng thật
– Trồng răng phục hình cấy ghép Implant:
Cấy ghép Implant là giải pháp trồng răng phục hình hiện đại, có thể khắc phục mọi khiếm khuyết của việc mất răng gây ra. Với phương pháp này, bác sĩ sẽ tiến hành gắn răng Implant có kết cấu giống hệt với răng thật bao gồm chân răng Implant được gắn với mão răng sứ bằng khớp nối Abutment. Răng được phục hồi cả phần thân lẫn chân răng giúp khôi phục khả năng ăn nhai tối đa, ngăn ngừa tình trạng tiêu xương hàm hiệu quả. Cấy ghép Implant có tuổi thọ lên tới hàng chục năm nên thường được gọi là trồng răng vĩnh viễn. Tuy nhiên thời gian thực hiện phương pháp này khá lâu và chi phí cao hơn nhiều so với hai phương pháp kể trên.
Cấy ghép Implant là giải pháp trồng răng phục hình hiện đại có thể khắc phục mọi khiếm khuyết của việc mất răng gây ra
3. Trồng răng hết bao nhiêu tiền tại nha khoa?
Chi phí trồng răng hiện nay có thể dao động trong khoảng từ vài trăm nghìn cho tới hàng chục triệu đồng một răng phục hình tùy vào phương pháp thực hiện. Bên cạnh đó, mức phí có thể chênh lệch đáng kể tùy thuộc vào tình trạng sức khỏe răng miệng của mỗi người. Với những người mắc bệnh lý răng miệng, bác sĩ sẽ phải điều trị các vấn đề đó trước khi tiến hành trồng răng bổ sung. Đồng thời, bạn cũng có thể sẽ phải chi trả một số loại phí dịch vụ liên quan trong quá trình trồng răng của mình.
Trồng răng hết bao nhiêu tiền phụ thuộc vào nhiều yếu tố như phương pháp, tình trạng răng miệng, tay nghề bác sĩ…
TCI khuyến cáo bạn nên lựa chọn trồng răng tại nha khoa uy tín bởi thủ thuật này đòi hỏi bác sĩ phải có tay nghề chuyên môn cao kết hợp trang thiết bị hiện đại để đảm bảo an toàn, hiệu quả dài lâu.
Khoa Răng hàm mặt – Hệ thống Y tế Thu Cúc TCI chính là địa chỉ vàng đáng tin cậy trong việc chăm sóc sức khỏe răng miệng của mọi nhà. Đến với TCI, bạn sẽ được trải nghiệm các dịch vụ nha khoa điều trị, nha khoa thẩm mỹ chất lượng được thực hiện bởi đội ngũ bác sĩ chuyên môn cao, được đào tạo bài bản trong và ngoài nước. Bên cạnh đó, trang thiết bị hiện đại được nhập khẩu quốc tế giúp phát hiện sớm, điều trị chính xác bệnh lý răng miệng mà mọi người gặp phải. Với quy trình khoa học, an toàn, bạn có thể hoàn toàn yên tâm khi gửi gắm nụ cười tại TCI.
Như vậy, những thông tin trên đây đã giúp bạn giải đáp băn khoăn trồng răng hết bao nhiêu tiền tại nha khoa hiện nay. Bạn có nhu cầu trồng răng, hãy liên hệ ngay tới các cơ sở nha khoa để được chuyên gia đánh giá tình trạng sức khỏe răng miệng và tư vấn phương pháp an toàn, hiệu quả dài lâu nhé.


















