4 điểm khác biệt của công nghệ nội soi tiêu hóa NBI 5P
Với khả năng phát ánh sáng dải tần hẹp quan sát sắc nét lớp niêm mạc, phóng đại hình ảnh hơn 100 lần, và cực kì êm ái không khó chịu, công nghệ nội soi NBI 5P tại Hệ thống y tế Thu Cúc là lựa chọn lý tưởng giúp kiểm tra toàn diện sức khỏe tiêu hóa, phát hiện ung thư ở giai đoạn sớm và rất sớm.
Quan sát sắc nét lớp niêm mạc nhờ ánh sáng dải tần hẹp NBI
Khác với phương pháp nội soi thông thường, NBI sử dụng ánh sáng dải tần hẹp với hai bước sóng 415nm và 540nm. Điều này cho phép nội soi NBI quan sát sâu và sắc nét dưới lớp niêm mạc từ đó phân tích hình ảnh tập trung cao ở những vùng thiết yếu, phát hiện các biến đổi ở lớp bề mặt niêm mạc ống tiêu hóa và hệ thống mao mạch nông nuôi dưỡng lớp niêm mạc, phát hiện sự tăng sinh bất thường của hệ vi mạch máu nông ở vị trí khối u. Nhờ đó bác sĩ có thể phát hiện các tổn thương, khối u, tổ chức tiền ung thư ngay từ khi mới khởi phát. Đây là 1 trong những bước tiến vượt bật của NBI thế hệ mới so với nội soi thông thường.
NBI 5P thế hệ mới là công nghệ nội soi tiên tiến bậc nhất với nhiều ưu điểm vượt trội
Khả năng phóng đại hình ảnh hơn 100 lần
Không chỉ có khả năng quan sát sắc nét lớp niêm mạc nhờ sử dụng ánh sáng dải tần hẹp, công nghệ nội soi NBI còn có khả năng phóng đại hình ảnh tới hơn 100 lần nhờ ứng dụng công nghệ Dual Focus hiện đại nhất thế giới, cho phép ống soi tiếp cận vị trí tổn thương ở khoảng cách gần nhất (từ 2 đến 6mm). Với ưu điểm này, nội soi NBI giúp bác sĩ dễ dàng đánh giá tổn thương bề mặt và mạch máu bên dưới đường tiêu hóa, xác định tổn thương đó có nghi ngờ ung thư hay không qua hình ảnh.
Phát hiện sớm ung thư và các bệnh lý tiêu hóa
Nhờ khả năng quan sát sâu và sắc nét lớp niêm mạc và phóng đại hình ảnh tới hơn 100 lần nên công nghệ nội soi NBI sẽ dễ dàng phát hiện mọi tổn thương bệnh lý tiêu hóa bao gồm cả ung thư.
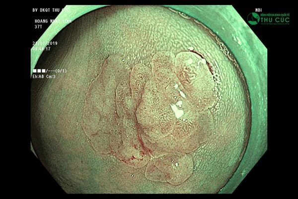
Bác sĩ CKII Phạm Thái Sơn – Trưởng đơn vị Thăm dò chức năng nội soi Bệnh viện ĐKQT Thu Cúc cho biết: “Nếu như công nghệ nội soi thường chỉ có thể phát hiện những tổn thương đã rõ nét và ở trên bề mặt thì công nghệ NBI 5P có thể nhận diện những bất thường dù là nhỏ nhất, chỉ điểm các tổ chức tiền ung thư từ rất sớm nhờ ánh sáng dải tần hẹp và khả năng phóng địa hình ảnh vượt bậc. Đây chính là giải pháp vàng giúp kiểm tra toàn diện sức khỏe tiêu hóa, sàng lọc ung thư từ giai đoạn khởi phát tăng cơ hội chữa trị cho người bệnh.”
NBI 5P có khả năng chỉ điểm khối u, phát hiện ung thư qua hình ảnh
Ống nội soi siêu nhỏ, không đau không khó chịu
Không chỉ mang lại nhiều lợi ích trong việc chẩn đoán các bệnh lý viêm loét, ung thư tiêu hóa, NBI 5P còn được đông đảo khách hàng yêu thích và lựa chọn bởi cảm giác nhẹ nhàng dễ chịu khi nội soi. Do sử dụng ống nội soi mềm có kích thước siêu nhỏ nên nội soi NBI 5P không hề gây cảm giác đau, khó chịu hay buồn nôn. Hơn nữa, Thu Cúc còn áp dụng kỹ thuật gây mê hiện đại nhờ bơm tiêm điện tự động, lượng thuốc mê được đo đếm vừa đủ dựa vào chiều cao, cân nặng, độ tuổi,… Những ưu điểm này sẽ giúp khách hàng cảm thấy dễ chịu trong quá trình thực hiện, xóa nỗi sợ nội soi từ đó chủ động đi khám, kiểm tra để điều trị kịp thời, tăng cơ hội chữa khỏi.
Nhận ngay gói khám sức khỏe miễn phí khi nội soi dạ dày đại tràng bằng NBI 5P tại Hệ thống y tế Thu Cúc
Đặc biệt tại Thu Cúc, nhờ quy tụ đội ngũ bác sĩ giỏi chuyên môn, giàu kinh nghiệm, ekip nội soi chuyên nghiệp, khách hàng có thể được tiến hành cắt bỏ khối u (nếu có) ngay trong quá trình nội soi mà không cần phẫu thuật. Việc cắt bỏ khối u như vậy không chỉ thuận tiện mà còn hạn chế tối đa tổn thương, rút ngắn thời gian hồi phục, đảm bảo sức khỏe và an toàn cho bệnh nhân do không cần thực hiện phẫu thuật mở ổ bụng.
Với đội ngũ bác sĩ nhiều năm kinh nghiệm và công nghệ hiện đại bậc nhất, Hệ thống y tế Thu Cúc là địa chỉ nội soi vàng được nhiều khách hàng tin tưởng. Thực hiện nội soi tại Thu Cúc bạn sẽ được trải nghiệm cảm giác thoải mái dễ chịu như đi nghỉ dưỡng với dịch vụ chăm sóc khách hàng chu đáo và không gian sạch sẽ tiện nghi.











