Các biện pháp chống sâu răng đơn giản không thể bỏ qua
Sâu răng là bệnh lý khá đơn giản nhưng gây ảnh hưởng rất lớn và dẫn đến nhiều biến chứng nguy hiểm, thậm chí có thể gây tử vong. Vì vậy biện pháp duy trì sức khỏe răng miệng tốt nhất chính là bảo vệ và phòng chống sâu răng ngay từ khi chưa có dấu hiệu sâu răng.
1. Sâu răng xuất hiện do đâu?
Sâu răng là tình trạng tổn thương mất mô cứng của răng (quá trình hủy khoáng) do vi khuẩn ở mảng bám răng gây ra. Vi khuẩn sẽ ăn mòn vào các cấu trúc của răng, từ đó hình thành các lỗ nhỏ trên răng. Sâu răng là một quá trình diễn ra do sự kết hợp của 3 yếu tố chính: vệ sinh răng miệng không tốt, mảng bám và vi khuẩn.
1.1 Vệ sinh răng miệng kém
Đây là nguyên do đầu tiên và gần như là yếu tố quyết định đến việc bạn có bị sâu răng hay không. Trong hoạt động ăn uống hàng ngày, các mẩu thức ăn có thể kẹt lại kẽ răng, trên bề mặt nhai của răng hoặc dính ở bề mặt ngoài của răng. Các mẩu thức ăn này nếu không được loại bỏ hoàn toàn nếu đánh răng không đúng cách, không dùng chỉ nha khoa hoặc chỉ xúc miệng qua loa, không chải răng sau khi ăn thường xuyên. Càng để lâu, các thức ăn ngày một tích tụ lại tại răng và tạo thành mảng bám, vi khuẩn sinh sôi và gây sâu răng. Chính vì nguyên nhân này trẻ em là đối tượng hàng đầu hay mắc sâu răng.
1.2 Mảng bám
Mảng bám là một lớp màng trong suốt bao phủ bề mặt ngoài của răng. Khi có thói quen vệ sinh răng miệng không tốt, các thức ăn dễ dàng dính lại tại răng, nhất là các thức phẩm nhiều đường và tinh bột. Các chất này chính là thức ăn ưa thích của vi khuẩn, vi khuẩn sẽ nhanh chóng phát triển, sinh sôi tại các vị trí này và hình thành mảng bám trên răng.
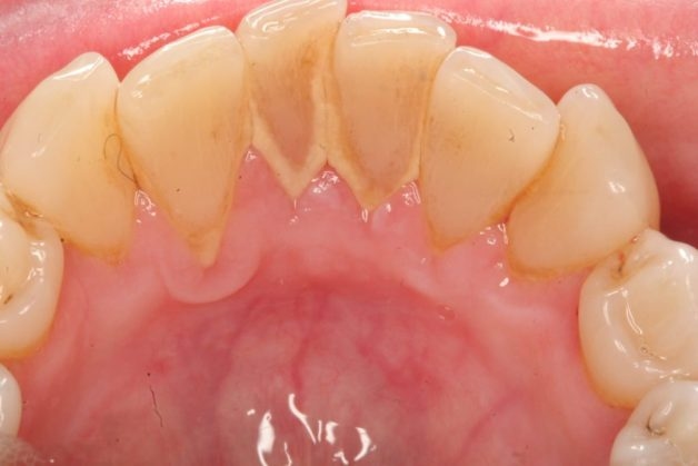
Mảng bám bám trên răng có thể nằm ở dưới hoặc trên đường viền nướu, các kẽ giữa 2 răng. Mảng bám nếu không được loại bỏ sớm sẽ cứng lại tạo thành cao răng (vôi răng), tình trạng này khiến mảng bám vàng khó bị loại bỏ hơn và tạo lá chắn thuận lợi cho vi khuẩn phát triển và tàn phá răng

Mảng bám tích tụ lâu ngày cứng dần và tạo thành vôi răng
1.3 Vi khuẩn tấn công cấu trúc răng
Trong giai đoạn khởi phát sâu răng, axit có trong mảng bám sẽ phá hủy các khoáng chất tại lớp men răng, xói mòn và khiến men răng bị tổn thương, suy yếu. Một khi lớp men răng bị ăn mòn, vi khuẩn và axit có thể tấn công vào đến lớp cấu trúc tiếp theo của răng, được gọi là ngà răng. Lớp này mềm hơn men răng, khả năng chống lại axit kém hơn nên càng dễ dàng bị tổn thương bởi vi khuẩn. Vì ngà răng có các đường ống nhỏ li ti thông trực tiếp với dây thần kinh của răng, nên khi sâu răng tấn công vào đến đây người bệnh thường cảm thấy đau đớn, ê buốt.
Nếu không được chữa trị và có các biện pháp ngăn ngừa sâu răng thêm, vi khuẩn sẽ tiếp tục sinh sôi và sâu răng phát triển, vi khuẩn và axit tiếp tục di chuyển và tấn công vào cấu trúc nằm sâu bên trong của răng là tủy răng – nơi có chứa dây thần kinh và mạch máu. Ở giai đoạn này, tủy răng có thể sẽ bị viêm, bị sưng tấy do vi khuẩn xâm nhập, chèn ép vào dây thần kinh gây đau, cảm giác khó chịu, ê buốt thậm chí có thể lan ra bên ngoài chân răng đến tận xương.
Nếu lúc này không được điều trị tủy bị viêm có thể không được cải thiện, gây ra biến chứng hoại tử, chết tủy,mất răng, thậm chí gây nhiễm trùng nghiêm trọng và gây hại đến sức khỏe của người bệnh.
2. Biến chứng do sâu răng
Nhiều người thường coi nhẹ sâu răng vì nghĩ đây chỉ là vấn đề nhỏ, chi khi răng bắt đầu bị đau, ảnh hưởng đến cuộc sống hàng ngày mới quyết định đến nha sĩ. Nhưng thực tế là khi răng bị đau thức là tình trạng sâu răng đã có biến chứng ở một mức độ nào đó.
Từ những giai đoạn đầu nếu không điều trị sớm, sâu răng sẽ phát triển nặng hơn, ăn vào tủy và dẫn đến viêm tủy, viêm tủy cấp. Viêm tủy kéo theo những cơn đau dữ dội, đau nhức có thể lan dần lên thái dương, đau nửa đầu khiến người bệnh mất ăn mất ngủ.

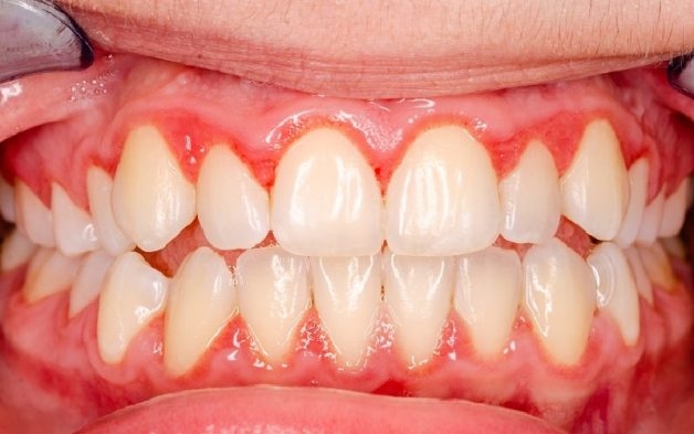
Viêm nướu là một trong những biến chứng thường gặp khi sâu răng nặng
Nếu ở giai đoạn này, người bệnh không điều trị đúng cách, triệt để có thể dẫn đến hoại tử tủy răng từ đó tăng nguy cơ xuất hiện các biến chứng nguy hiểm như:
– Viêm quanh cuống răng gây đau đớn dữ dội, phần lợi, má, góc hàm bị sưng nề.
– Áp xe nướu, nang quanh chóp, viêm xương hàm, tiêu xương hàm.
– Đối với răng hàm trên, có thể dẫn đến viêm xoang khi ổ viêm lan rộng.
– Tình trạng viêm nặng gây nguy cơ nhiễm trùng máu hoặc lan xuống trung thất gây nguy hiểm đến tính mạng.
3. Biện pháp chống sâu răng ai cũng nên thực hiện
Bệnh sâu răng để lại những ảnh hưởng rất lớn đến chất lượng cuộc sống: từ cảm giác ngon miệng khi ăn uống đến sự tự tin trong giao tiếp. Do đó, để giảm thiểu tối đa những hậu quả do sâu răng gây nên, giải pháp tối ưu chính là chống sâu răng ngay từ những hành động nhỏ mỗi ngày. Tự giác thực hiện những biện pháp đơn giản hàng ngày sẽ giúp răng chắc khỏe và đẩy lùi nguy cơ bị sâu răng. Một số giải pháp “nhỏ mà có võ” sau đây sẽ giúp bạn dễ dàng chống sâu răng nếu thực hiện đầy đủ và đều đặn.
3.1 Đánh răng đúng cách để chống sâu răng hiệu quả
Đánh răng đúng cách và đều đặn là biện pháp đơn giản nhất giúp chống sâu rặng hiệu quả mà bất cứ ai cũng có thể thực hiện.
Để đạt được hiệu quả bạn cần chải răng ít nhất 2 lần/ngày hoặc sau khi ăn khoảng 30 phút. Thực hiện đánh răng đúng cách với bàn chải lông mềm phù hợp với nhu cầu của cá nhân, không nên sử dụng bàn chải có lông chải quá cứng, có thể gây chảy máu nướu. Chải răng đúng cách đầy đủ các mặt ngoài, mặt trong, mặt nhai của răng. Chú ý chải răng theo chiều lên xuống hoặc xoay tròn, không nên chải răng theo chiều ngang, lâu dài gây hại cho cổ răng.

Chải răng đều đặn, đúng cách là biện pháp chống sâu răng đơn giản nhất
3.2 Sử dụng chỉ nha khoa/bàn chải kẽ
Phần khe giữa các răng thường bị lãng quên không chăm sóc. Nhưng thực tế cho thấy, những khoảng trống giữa các răng chính là nơi thức ăn dễ mắc kẹt lại nhất, trở thành nơi tích tụ mảng bám nhiều nhất và gây nên tình trạng sâu kẽ răng thường gặp. Nếu chải răng không thôi thì chúng ta chỉ làm sạch được 75% bề mặt răng, còn lại 25% là ở vùng kẽ răng khó làm sạch bằng bản chải được mà chỉ có chỉ nha khoa mới làm sạch được vùng này. Do đó việc sử dụng chỉ nha khoa sau khi chải răng là việc rất cần thiết nhằm đảm bảo răng miệng được vệ sinh tối đa.
Việc sử dụng bàn chải kẽ răng và chỉ nha khoa là cách cần thiết để làm sạch thức ăn và ngăn chặn hình thành mảng bám tập trung ở vị trí bàn chải đánh răng không chạm tới được. Khi phần kẽ giữa 2 răng bắt đầu sâu sẽ rát khó phát hiện, cách duy nhất để phát hiện nó là đi khám nha khoa thường xuyên. Vì vậy, việc vệ sinh kĩ răng miệng hàng ngày và sau mỗi bữa ăn là giải pháp an toàn và đơn giản để bảo vệ răng bạn khỏi bị sâu.
3.3 Chế độ dinh dưỡng hợp lý
Đồ ăn vặt, đặc biệt là những đồ ăn ngọt, đồ uống có gas, các loại bánh, snack chứa nhiều tinh bột là nguyên nhân hàng đầu gây nên sâu răng và khiến sâu răng nặng hơn.
Một chế độ ăn uống lành mạnh hàng ngày với đa dạng các loại thực phẩm để đủ chất dinh dưỡng là rất cần thiết cho sự phát triển chắc khỏe của răng. Bạn nên tăng cường bổ sung các loại trái cây, rau xanh vì chất xơ trong trái cây, rau xanh có tác dụng hỗ trợ loại bỏ mảng bám trên răng. Ngoài ra nên uống nhiều nước để tránh tình trạng khô miệng khiến răng không được làm sạch thường xuyên. Hạn chế sử dụng các chất kích thích gây hại cho răng như thuốc lá, cà phê, rượu, bia… và ăn đồ nóng, lạnh đột ngột.
3.4 Khám răng định kì 2 lần/năm
Cuối cùng, một biện pháp vô cùng quan trọng mà thường chúng ta vẫn bỏ qua vì “ngại”. Đó chính là phải thường xuyên thăm khám răng, ít nhất 6 tháng/ lần đối với cả người lớn và trẻ em, để kịp thời phát hiện những vấn đề về răng miệng, từ đó có biện pháp điều trị sớm, tránh bệnh diễn biến nặng hơn.

Khám răng định kỳ là cách bảo vệ và duy trì hàm răng chắc khỏe lâu dài
Xét về lâu dài, việc thăm khám răng định kỳ sẽ giúp bạn và gia đình tiết kiệm được nhiều chi phí chăm sóc sức khỏe răng miệng hơn bạn nghĩ. Bởi lẽ đi khám răng tại nha khoa sẽ giúp phòng ngừa và đảm bảo duy trì sức khỏe răng miệng ngay từ ban đầu, tránh các vấn đề răng miệng nhỏ trở nên nặng hơn. Nếu không được điều trị, những vấn đề này có thể tiến triển nặng gây đau răng, nhiễm trùng răng và việc điều trị sẽ trở nên vô cùng tốn kém.
Việc bảo vệ răng miệng, phòng chống sâu răng thường rất dễ dàng, tuy nhiên không phải ai cũng thực hiện tốt và tự giác chăm sóc răng miệng của mình. Không ai sinh ra là đã bị sâu răng mà nó phụ thuộc rất nhiều vào thói quen vệ sinh răng miệng đúng cách, chế độ ăn lành mạnh và thăm khám phòng ngừa kịp thời. Do đó, hãy bảo vệ răng mình thật tốt từ những hành động nhỏ nhất các bạn nhé!