Bệnh loét niêm mạc miệng: Nguyên nhân và phương pháp điều trị
Niêm mạc miệng là lớp bao phủ toàn khoang miệng và lưỡi. Khi niêm mạc vùng miệng bị tổn thương, viêm loét có thể có mủ hoặc không có mủ. Bệnh khiến người bệnh bị hôi miệng, gây đau đớn và khó khăn cho người bệnh khi ăn uống và sinh hoạt.
1. Nguyên nhân gây nên viêm loét niêm mạc miệng là gì?
Có rất nhiều nguyên nhân gây ra bệnh loét viêm mạc miệng. Trong đó bao gồm các nguyên nhân chính sau đây:
1.1 Loét niêm mạc miệng do chấn thương
– Những trường hợp bỏng nhiệt do thức ăn quá nóng, miệng bị tổn thương thường gặp ở vòm miệng, cung răng hàm trên.
– Người bệnh bị té, ngã, bị đánh.
– Lỗi khi thực hiện các thủ thuật Nha khoa như: trám, hàn răng, nhổ răng, lắp răng giả bị hở, răng bị mẻ, gãy…
– Trẻ em bị tổn thương do va chạm với các vật nhọn như: que kem, bút, đũa…
– Sự tác động của các chất hóa học như: axit, nước vôi, nước súc miệng quá đậm đặc, sử dụng kem đánh răng chưa súc miệng kỹ…
1.2 Loét niêm mạc miệng do nhiễm khuẩn
Theo nghiên cứu, có rất nhiều vi khuẩn gây ra viêm loét lợi răng và hoại tử cấp tính quanh ổ răng. Bệnh thường gặp ở những đối tượng thiếu dinh dưỡng, sức đề kháng kém, người bị mệt mỏi và suy nhược cơ thể, người hút thuốc và vệ sinh răng miệng kém.

Viêm loét niêm mạc miệng sẽ khiến người bệnh bị hôi miệng, gây đau đớn và khó khăn cho người bệnh khi ăn uống và sinh hoạt.
1.3 Người bệnh nhiễm virus
– Virus Herpes: Đây là nguyên nhân gây bệnh niêm mạc vùng miệng, bệnh có các triệu chứng như: mụn nước lan rộng tạo thành vết loét. Bệnh thường gặp ở môi, mép… với các dấu hiệu dễ nhận biết như: sốt, viêm họng, nổi hạch, đau vị trí mọc mụn nước…
– Virus Varicella Zoster: Virut này thường gặp ở bệnh thủy đậu. Bệnh gây viêm loét, mụn nước ở niêm mạc vùng miệng. Virus Varicella Zoster tiềm ẩn trong mô thần kinh và gây ra hiện tượng phát ban da và gây ảnh hưởng nhánh dây thần kinh số 5 gây ra hiện tượng loét miệng.
– Virus Coxsackie: Đây là nguyên nhân gây ra mụn nước ở vòm miệng, má, lưỡi, họng và gây ra bệnh chân – tay – miệng ở trẻ nhỏ. Các mụn nước khi vỡ sẽ gây tổn thương, tạo thành vết loét, gặp ở niêm mạ ở miệng, lưỡi gà đặc biệt là khẩu cái, lưỡi, niêm mạc má.
– Virus Rubella: Nguyên nhân gây ra bệnh sởi. Bệnh thường biểu hiện với các nốt hồng ban nhỏ ở niêm mạc má và xuất hiện từ 1-2 ngày trước khi xuất hiện toàn thân.
Bên cạnh các yếu tố trên thì loét niêm mạc ở miệng còn bị ảnh hưởng bởi nội tiết tố; yếu tố di truyền; yếu tố bên ngoài như: dị ứng thức ăn, các thanh phần của thuốc chữa bệnh; người thiếu sắt, bệnh tự miễn…

Hình ảnh tế nào niêm mạc miệng
2. Những dấu hiệu của viêm loét niêm mạc miệng
Khi bị loét niêm mạc vùng miệng, người bệnh có thể nắm được nguyên nhân nhưng cũng có khi không biết được nguyên nhân chính xác.
Người bệnh thường cảm thấy xuất hiện các vết loét kèm theo các dấu hiệu và triệu chứng như: miệng sưng, nóng, đỏ và đau; các vết lở và loét gây ra cảm giác đau, khó chịu nhất là khi ăn uống, nhai nuốt thức ăn; áp xe dưới lưỡi, niêm mạc. Bên cạnh đó, người bệnh cũng sẽ có có hiện tượng sốt cao, mọc hạch ở góc hàm. Đặc biệt, các vết lở loét niêm mạc ở miệng thường dễ tái phát, gây cảm giác đau đớn và ảnh hưởng lớn đến chất lượng cuộc sống của người bệnh.
Những tổn thương viêm loét cũng rất đa dạng và ở các mức độ khác nhau:
– Loét niêm mạc vùng miệng ở dạng aphthe nhỏ: đây là tình trạng hay gặp nhất và chiếm khoảng 80%. Bệnh thường xuất hiện một vài vết loét đường kính nhỏ dưới 1cm, nông, nằm rời rạc hoặc thành đám, có thể tự lành từ 7 đến 14 ngày và không để lại sẹo.
– Viêm loét aphthe dạng lớn: Bệnh còn có tên gọi khác là Sutton hoặc hoại tử niêm mạc tái phát có viêm ngoại biên, bệnh chiếm khoảng 10%. Người bệnh thường có vết loét với kích thước lớn hơn 1cm và gồm nhiều vết loét, bệnh có thể kéo dài nhiều tuần và để lại sẹo với diện tích rộng.
– Viêm loét dạng Herpes nhưng không liên quan đến virus Herpes, số lượng vết loét nhiều, có thể từ 10 lên đến 100 vết, tổn thương thành chúm, các vết thương nhỏ có thể lan rộng và kết hợp thành các mảng lớn, bệnh có thể lành trong khoảng thời gian từ 7 đến 30 ngày.
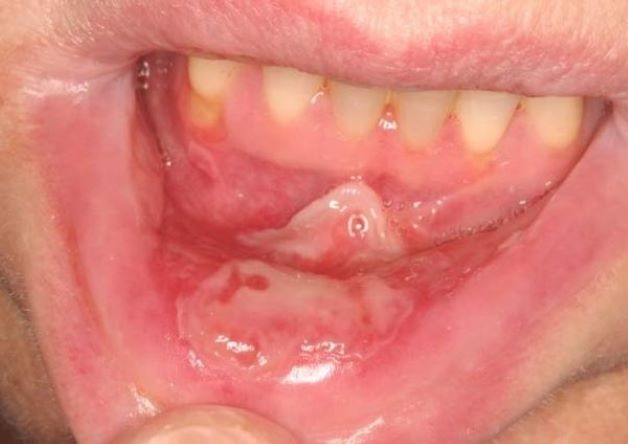
Dù ở các mức độ khác nhau, nhưng loét niêm mạc ở miệng đều có đặc điểm chung là có màu đỏ xung quanh, trung tâm có mảng màu vàng, gây cảm giác đau đớn trong 2 – 3 ngày đầu, bệnh sẽ giảm đau khi vết thương bắt đầu lành dần.

Loét niêm mạc miệng đều có đặc điểm chung là có màu đỏ xung quanh, trung tâm có mảng màu vàng, gây cảm giác đau đớn trong 2 – 3 ngày đầu
3. Những phương pháp điều trị và phòng bệnh viêm niêm mạc miệng
– Việc điều trị viêm loét niêm mạc vùng miệng chủ yếu là giảm đau vì đau là nguyên nhân khiến người bệnh cảm thấy khó chịu và mệt mỏi nhất. Thông thường, các trường hợp viêm nhẹ có thể tự khỏi sau từ 7 – 14 ngày.
– Tuy nhiên, với những trường hợp nặng và cần thiết, các sĩ có thể kê các đơn thuốc điều trị như: thuốc hạ sốt, dung dịch vệ sinh, súc miệng Hydrogen peroxide 1%; thuốc giảm đau tại chỗ; thuốc kháng viêm, sát khuẩn răng miệng; thuốc kháng virus; khi nhiễm khuẩn, bệnh nhân có thể được sử dụng thêm kháng sinh.
– Bên cạnh đó, người bệnh cũng có thể tự chăm sóc răng miệng đơn giản tại nhà bằng cách: duy trì lối sống lành mạnh, ngưng uống rượu bia, thuốc lá, cafe…
– Hạn chế những thực phẩm cay, mặn, chát, nóng. Đặc biệt, khi ăn uống bị đau, người bệnh có thể dùng uống hút hoặc sử dụng những thực phẩm loãng như cháo, súp…
– Khi đánh răng cần đặc biệt lưu ý tránh những khu vực bị đau, viêm loét để tránh gây tổn thương cho miệng, lưỡi do đánh răng.
– Khi có các biểu hiện như: viêm loét phát triển nhiều, lan rộng và to một cách bất thường; vết loét kéo dài quá 3 tuần không khỏi; dấu hiệu đau không thuyên giảm mặc dù đã uống thuốc giảm đau; người bệnh sốt cao kéo dài thì cần nhanh chóng tới bệnh viện để được thăm khám và điều trị.
– Để phòng viêm niêm mạc miệng, người bệnh cần chú ý vào những thực phẩm gây dị ứng, với những loại thuốc chữa bệnh gây dị ứng thuốc, người bệnh cũng cần ghi nhớ để tránh xa thì mới có thể tránh được viêm loét miệng do dị ứng thuốc gây ra.
– Bên cạnh đó, người bệnh cũng cần xây dựng chế độ ăn uống khoa học, đầy đủ dưỡng chất nhất là các loại thức ăn giàu vitamin C, PP, B6, B12 như: cam, bưởi, chanh, thịt cá, trứng, sữa để phòng viêm loét niêm mạc ở miệng do thiếu các loại vitamin này gây ra.

Khi có dấu hiệu của viêm niêm mạc, người bệnh cần nhanh chóng đến bệnh viện để thăm khám
Với những thông tin chúng tôi vừa chia sẻ ở trên đã hy vọng đã giúp các bạn hiểu rõ về bệnh viêm loét niêm mạc miệng cũng như nguyên nhân và cách điều trị, phòng tránh hiệu quả. Bệnh tuy không gây nguy hiểm đến tính mạng nhưng lại gây ảnh hưởng lớn đến đời sống sinh hoạt của người bệnh. Do đó, khi có dấu hiệu của bệnh, bạn cần nhanh chóng đến bệnh viện để được thăm khám và điều trị dứt điểm.