Cấp cứu:0901793122
English
Bệnh viện đa khoa Quốc Tế Thucuc | Hệ thống y tế TCI Hospital
Chăm sóc sức khoẻ trọn đời cho bạn
Tổng đài1900558892
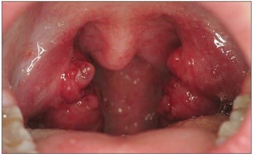
Viêm amidan cấp

Viêm amidan cấp

Trang chủ/Viêm amidan cấp
Điều trị viêm amidan cấp an toàn, hiệu quả

Điều trị viêm amidan cấp an toàn, hiệu quả

Viêm amidan cấp là một bệnh lý tai mũi họng phổ biến, gây ra nhiều triệu chứng khó chịu như đau họng, sốt, hoặc khó nuốt. Nếu không được điều trị kịp thời, bệnh có thể dẫn đến biến chứng nguy hiểm như áp xe quanh amidan hoặc viêm cầu thận. Tuy nhiên, với phương […]
Trẻ bị viêm amidan cấp và những điều cha mẹ nên lưu ý!

Trẻ bị viêm amidan cấp và những điều cha mẹ nên lưu ý!

Bé Đ.H.B.A (24 tháng) vừa qua đã nhập viện đa khoa quốc tế Thu Cúc TCI do chẩn đoán viêm amidan cấp. Trẻ bị viêm amidan cấp là tình trạng ngày càng phổ biến do nhiều yếu tố khác nhau gây ra. Cùng tìm hiểu về bệnh lý viêm amidan cấp cũng như câu chuyện của […]
Cắt viêm Amidan – 30 phút giải cứu nữ bệnh nhân 25 tuổi

Cắt viêm Amidan – 30 phút giải cứu nữ bệnh nhân 25 tuổi

Viêm Amidan có thể điều trị dứt điểm bằng phương pháp nội khoa. Tuy nhiên, trong nhiều trường hơp, nếu chỉ áp dụng phương pháp này, bệnh sẽ tái phát nhiều lần, khiến chất lượng cuộc sống của người mắc suy giảm trầm trọng. Lúc ấy, việc phải cắt viêm Amidan, như trường hợp của […]
3 cách điều trị viêm amidan cấp hiệu quả

3 cách điều trị viêm amidan cấp hiệu quả

Viêm amidan cấp nếu không được điều trị dứt điểm sẽ nhanh chóng kéo dài, tái đi tái lại và trở thành mạn tính. Vậy viêm amidan cấp là gì, làm thế nào để nhận biết? Bài viết dưới đây sẽ chia sẻ mọi thông tin về bệnh và 3 cách điều trị viêm amidan […]
Viêm amidan cấp ở trẻ em và những điều cha mẹ cần biết

Viêm amidan cấp ở trẻ em và những điều cha mẹ cần biết

Viêm amidan cấp ở trẻ em là tình trạng tổn thương viêm sung huyết, viêm mủ hoặc xuất tiết của amidan. Nếu không được điều trị dứt điểm, bệnh có thể khiến trẻ bị áp xe amidan, viêm amidan mạn tính. Lâu dài, bệnh sẽ lây lan, gây viêm họng, viêm tai, thậm chí là […]
Tìm hiểu về phương pháp điều trị khi trẻ bị viêm amidan cấp?

Tìm hiểu về phương pháp điều trị khi trẻ bị viêm amidan cấp?

Trẻ bị viêm amidan cấp là tình trạng mà trẻ bị viêm amidan tái phát nhiều lần và gây ảnh hưởng nghiêm trọng đến sức khỏe của trẻ. Bài viết dưới đây sẽ giúp các bạn hiểu rõ hơn về bệnh viêm amidan cấp tính ở trẻ và phương pháp điều trị bệnh sao cho […]
Tìm hiểu bệnh lý viêm amidan hốc mủ

Tìm hiểu bệnh lý viêm amidan hốc mủ

Viêm amidan hốc mủ là một trong những yếu tố gia tăng nguy cơ ung thư vòm họng nếu không được điều trị kịp thời. Vậy nguyên nhân gây bệnh và mức độ ảnh hưởng tới sức khỏe của bệnh như thế nào? 1. Viêm amidan hốc mủ là gì? Viêm amidan hốc mủ là […]
Viêm amidan ở trẻ điều tri hiệu quả bằng cách nào?

Viêm amidan ở trẻ điều tri hiệu quả bằng cách nào?

Trẻ em là đối tượng dễ mắc viêm amidan nhất do sức đề kháng còn yếu và chưa hoàn thiện. Bệnh lý này khiến trẻ gặp nhiều khó khăn trong ăn uống, giao tiếp, nếu để sang giai đoạn mạn tính sẽ gây nên nhiều biến chứng nguy hiểm. Bài viết dưới đây sẽ cung […]
Viêm amidan ở trẻ em: phụ huynh không nên xem nhẹ!

Viêm amidan ở trẻ em: phụ huynh không nên xem nhẹ!

Viêm amidan ở trẻ em là bệnh rất phổ biến, có ảnh hưởng không tốt đến sức khỏe và tinh thần của con. Bên cạnh đó, nếu cha mẹ không phát hiện sớm và điều trị kịp thời sẽ gây ra những biến chứng về đường hô hấp và toàn thân. 1. Viêm amidan ở […]
Những kiến thức bạn cần biết về viêm amidan cấp tính

Những kiến thức bạn cần biết về viêm amidan cấp tính

Viêm amidan cấp tính là giai đoạn đầu tiên khi bệnh mới bắt đầu khởi phát.. Bệnh gây ra các triệu chứng như đau họng, amidan sưng đỏ, gây cảm giác đau đớn, khó chịu. Viêm amidan cấp tính xảy ra khi 2 khối amidan bị nhiễm virus, vi khuẩn. 1. Nguyên nhân gây viêm […]
Phương pháp điều trị viêm amidan cấp

Phương pháp điều trị viêm amidan cấp

Hiện nay, phương pháp điều trị viêm amidan cấp chủ yếu là dùng thuốc. Bệnh có thể tiến triển thành mạn tính nếu không điều trị kịp thời. Vì thế người bệnh cần tuân thủ theo đúng chỉ định điều trị của bác sĩ để đạt hiệu quả cao nhất. 1. Bệnh viêm amidan cấp […]
Điều trị viêm amidan cấp kịp thời, triệt để nhanh chóng

Điều trị viêm amidan cấp kịp thời, triệt để nhanh chóng

Viêm amidan là nhóm bệnh hay gặp, đứng hàng đầu trong những bệnh lý về họng. Bệnh có thể tiến triển cấp tính hay mạn tính. Để bệnh không tiến triển thành mạn tính cần điều trị viêm amidan cấp kịp thời, triệt để. Viêm amidan rất hay tái phát và có thể gây các […]
Lưu ý khi bé bị viêm amidan cấp

Lưu ý khi bé bị viêm amidan cấp

Amidan là bệnh thường gặp ở cả trẻ em và người lớn. Nếu không điều trị sớm sẽ để lại các biến chứng như: viêm khớp, viêm cơ tim và viêm cầu thận… vô cùng nguy hiểm. Chính vì thế cha mẹ cần lưu ý khi bé bị viêm amidan cấp để chăm sóc, điều […]
Viêm amidan cấp là hiện tượng xung huyết

Viêm amidan cấp là hiện tượng xung huyết

Viêm amidan cấp tính là hiện tượng xung huyết và tăng tiết chế của niêm mạc họng và amidan. Bệnh thường gặp ở trẻ em 6 -10 tuổi, diễn biến từng đợt và thường tự khỏi. Theo các chuyên gia y tế, nguyên nhân gây viêm amidan cấp là do nhiễm trùng: thường là liên […]
1900558892
zaloChat