Cấp cứu:0901793122
English
Bệnh Viện Đa Khoa Quốc Tế Thu Cúc | TCI Hospital
Chăm sóc sức khoẻ trọn đời cho bạn
Tổng đài1900558892
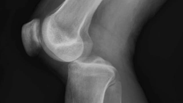
trật khớp đầu gối

trật khớp đầu gối

Trang chủ/trật khớp đầu gối
Nhận biết dấu hiệu trật khớp đầu gối và cách xử trí

Nhận biết dấu hiệu trật khớp đầu gối và cách xử trí

Trật khớp đầu gối là một chấn thương phổ biến trong cuộc sống hàng ngày, đặc biệt ở những người thường xuyên vận động hoặc tham gia thể thao. Khi khớp đầu gối bị trật, các cấu trúc xung quanh khớp như dây chằng, cơ và mô mềm có thể bị tổn thương, gây đau […]
1900558892
zaloChat