Cấp cứu:0901793122
English
Bệnh viện đa khoa Quốc Tế Thucuc | Hệ thống y tế TCI Hospital
Chăm sóc sức khoẻ trọn đời cho bạn
Tổng đài1900558892
bị gãy xương

bị gãy xương

Trang chủ/bị gãy xương
Gãy xương bánh chè đầu gối: Cách điều trị ngừa biến chứng

Gãy xương bánh chè đầu gối: Cách điều trị ngừa biến chứng

Gãy xương bánh chè thường xảy ra khi người bệnh ngã đập gối xuống đất. Gãy xương bánh chè đầu gối chiếm khoảng 2-4% tổng số các trường hợp gãy xương. Nếu không phát hiện và điều trị sớm có thể để lại biến chứng nặng nề. 1. Gãy xương bánh chè đầu gối dễ […]
Gãy Xương Tay Có Quan Hệ Được Không & Làm Gì cho Mau Lành?

Gãy Xương Tay Có Quan Hệ Được Không & Làm Gì cho Mau Lành?

Gãy xương tay có quan hệ được không? Gãy xương tay làm gì cho mau lành là thắc mắc chung của nhiều người bị gãy xương tay. Tình trạng này có thể cải thiện nếu người bệnh tuân thủ chế độ sinh hoạt hợp lý đồng thời hạn chế những thói quen không tốt cho […]
Gãy xương mác có cần bó bột không và cần phải chú ý gì?

Gãy xương mác có cần bó bột không và cần phải chú ý gì?

Trong các chấn thương xương khớp ở chân, gãy xương mác là trường hợp thường gặp. Vậy gãy xương mác có cần bó bột không? Gãy xương mác có cần bó bột không? Theo các bác sĩ cơ xương khớp, xương mác là xương phụ, chỉ chiếm 17% trọng lượng cơ thể. Xương mác có […]
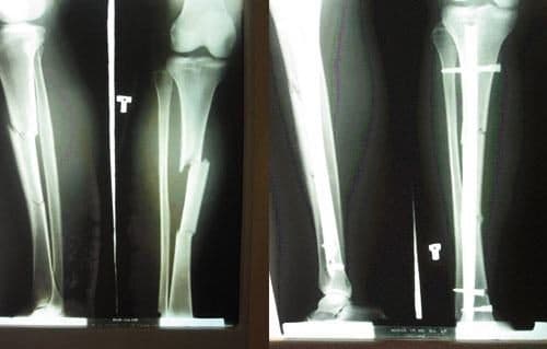
Xương chày nằm ở đâu? Gãy xương chày có nguy hiểm không?

Xương chày nằm ở đâu? Gãy xương chày có nguy hiểm không?

Xương chày nằm ở phía trước trong của căng chân và là xương có kích thước lớn nhất trong toàn bộ chi dưới. Vậy xương chày là xương gì, có cấu tạo, chức năng thế nào? Mời bạn đọc cùng theo dõi bài viết dưới đây. 1. Xương chày là xương gì? Xương chày hay […]
Giúp bạn xử lý nhanh chóng khi bị gãy xương cánh tay

Giúp bạn xử lý nhanh chóng khi bị gãy xương cánh tay

Gãy xương cánh tay là tình trạng một hoặc nhiều xương của cánh tay bị rạn/ dập nứt gãy. Khi bị gãy xương tay người bệnh cần được điều trị càng sớm càng tốt nếu không có thể gây nên những hậu quả biến chứng về sau này. Bạn có thể tham khảo ngay cách […]
Gãy xương là gì? Biểu hiện và cách làm xương mau lành nhất

Gãy xương là gì? Biểu hiện và cách làm xương mau lành nhất

Gãy xương là gì? Nó có biểu hiện như thế nào và làm sao để làm xương mau lành nhất? Cùng tham khảo ngay thông tin chi tiết về bệnh gãy xương và giải pháp điều trị cũng như cách làm xương mau lành nhất qua bài viết dưới đây. 1. Gãy xương là gì? […]
Gãy xương đòn bao lâu chạy xe lại được?

Gãy xương đòn bao lâu chạy xe lại được?

Chào bác sĩ! Em bị gãy 1/3 xương đòn vai phải và mổ phẫu thuật được hai tuần rồi ạ. Vai của em vẫn còn đau nên muốn hỏi gãy xương đòn bao lâu thì hồi phục hoàn toàn và gãy xương đòn bao lâu chạy xe máy lại được ạ? Cần lưu ý gì để […]
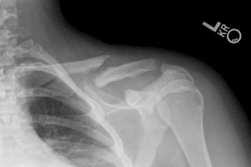
Gãy Xương Đòn Trường Hợp Nào Cần phẫu thuật & Phải Mổ?

Gãy Xương Đòn Trường Hợp Nào Cần phẫu thuật & Phải Mổ?

Xương đòn hay còn gọi là xương quai xanh, xương dẹt cong hình chữ S, một đầu tiếp với xương ức và một đầu tiếp giáp với xương bả vai. Xương đòn thường bị gãy trong các trường hợp tai nạn, chấn thương do va đập mạnh ở vùng bả vai. Vậy gãy xương đòn […]
Gãy Xương Cẳng Tay Điều Trị Trong Bao Lâu & Cách Chăm Sóc

Gãy Xương Cẳng Tay Điều Trị Trong Bao Lâu & Cách Chăm Sóc

Xin chào chuyên mục tư vấn Cơ Xương Khớp! Tôi muốn nhờ chuyên mục tư vấn giúp tôi ” gãy xương cẳng tay điều trị trong bao lâu thì lành”? Em trai tôi bị gãy xương cẳng tay do đá bóng. Em tôi mới phẫu thuật và bó bột được 2 ngày. Tôi và gia […]
Gãy Xương Đòn Đeo Đai Số 8 Bao Lâu thì có thể Tháo được?

Gãy Xương Đòn Đeo Đai Số 8 Bao Lâu thì có thể Tháo được?

Xin chào chuyên mục tư vấn Cơ Xương Khớp! Con trai tôi bị gãy xương đòn do tập thể thao. Hiện tại, con tôi đang điều trị bằng đeo đai số 8. Xin hỏi, gãy xương đòn đeo đai số 8 bao lâu thì sức khỏe con tôi hồi phục lại bình thường? Mong bác […]
Gãy tay kiêng ăn gì và nên ăn gì?

Gãy tay kiêng ăn gì và nên ăn gì?

Gãy tay kiêng ăn gì và không nên ăn gì là quan tâm đặc biệt của những người bị gãy tay. Vậy, gãy tay kiêng ăn gì và nên ăn gì là tốt nhất? Các bác sĩ chuyên khoa tư vấn những loại thực phẩm tốt và không tốt cho xương bị gãy qua bài […]
Gãy xương ngón chân giữa

Gãy xương ngón chân giữa

Chào bác sĩ, em trai cháu đi đá bóng bị chấn thương ngón giữa bàn chân. Lúc đầu em cháu chưa đau mấy nhưng đến tối thấy ngón chân em cháu tím bầm và sờ vào thấy đau nhiều, cháu nghi em cháu bị gãy xương nhưng nó cứ bảo không phải. Vậy bác sĩ […]
Gãy xương chân kiêng ăn gì?

Gãy xương chân kiêng ăn gì?

Gãy xương chân là tình trạng không chỉ xương bị tổn thương mà các cơ, gân, dây chằng cũng bị tổn thương. Tùy theo từng mức độ thương tổn, bệnh nhân được bó bột hay phải mổ nẹp đinh trong xương và khâu lại phần mềm bị rách, giập. Để bệnh nhanh hồi phục thì […]
Gãy xương bàn tay phải làm sao?

Gãy xương bàn tay phải làm sao?

Gãy xương bàn tay là một trong những loại gãy xương dễ nhận biết do cấu trúc của bàn tay mỏng và dẹt, hằn lên các vết xương lớn nhỏ nên có thể nhìn thấy sự gãy tay dễ dàng hơn các loại gãy xương ở các bộ phận khác. Vậy gãy xương bàn tay […]
Gãy xương bàn chân

Gãy xương bàn chân

Gãy xương bàn chân là chấn thương nguy hiểm cần được xử lý kịp thời để không ảnh hưởng đến khả năng hồi phục cũng như vận động của người bệnh. Vậy nhận biết gãy xương bàn chân như thế nào? Khám ở đâu tốt? Bài viết dưới đây sẽ giúp bạn đọc có thêm […]
Gãy xương chân bao lâu thì lành

Gãy xương chân bao lâu thì lành

Gãy xương chân là chấn thương ảnh hưởng nhiều đến hoạt động đi lại thậm chí thành tật nếu không được điều trị đúng cách. Vì vậy, nhiều người đặt ra câu hỏi gãy xương chân bao lâu thì lành và cần phải lưu ý gì khi xương chân bị gãy. Hãy cùng lắng nghe […]
Gãy xương gót chân

Gãy xương gót chân

Gãy xương gót chân là chấn thương nguy hiểm ảnh hưởng đến khả năng vận động của cơ thể đặc biệt là khi được phát hiện và điều trị muộn. Vậy gãy xương gót chân nhận biết như thế nào? Phòng tránh ra sao? Bài viết dưới đây sẽ giúp bạn đọc có thêm thông […]
Gãy xương đòn vai trái

Gãy xương đòn vai trái

Thưa bác sĩ, mấy hôm trước tôi bị ngã gãy xương đòn vai trái. Sau khi thăm khám, bác sĩ kết luận có thể mổ hoặc để tự lành. Tôi thấy không hiểu lắm vì cứ nghĩ gãy thì phải can thiệp chứ sao lại tự lành được. Không biết gãy xương đòn vai trái có […]
Xử trí thế nào khi trẻ bị gãy xương?

Xử trí thế nào khi trẻ bị gãy xương?

Trẻ nhỏ có bộ xương đang trong quá trình phát triển. Vì thế, chúng còn yếu, dễ bị tổn thương và có ảnh hưởng lớn tới sự phát triển của khung xương sau này. Vậy thì cha mẹ cần phải xử trí thế nào khi trẻ bị gãy xương và cách chăm sóc sau gãy xương cho bé […]
12
1900558892
zaloChat