Cấp cứu:0901793122
English
Bệnh Viện Đa Khoa Quốc Tế Thu Cúc | TCI Hospital
Chăm sóc sức khoẻ trọn đời cho bạn
Tổng đài1900558892
bệnh lao phổi

bệnh lao phổi

Trang chủ/bệnh lao phổi
Những thực phẩm người bệnh lao nên kiêng

Những thực phẩm người bệnh lao nên kiêng

Bệnh lao phổi là bệnh lý hô hấp khá phổ biến và gây nhiều tác hại nghiêm trọng. Hiện nay, đã có phác đồ điều trị căn bệnh này. Tuy nhiên, để có thể kiểm soát bệnh và bảo vệ sức khỏe hiệu quả, người bệnh cần chủ động áp dụng lối sống khoa học. […]
Phác đồ điều trị bệnh lao phổi của Bộ y tế

Phác đồ điều trị bệnh lao phổi của Bộ y tế

Lao phổi là bệnh lý có nguy cơ lây lan nhanh và khả năng kháng thuốc cao có thể dẫn tới tử vong nếu không được điều trị phù hợp và kịp thời. Đối với bệnh lao phổi – căn bệnh phổ biến hàng đầu trong tổng số các ca bệnh lao, Bộ y tế […]
Cách điều trị bệnh lao phổi tại nhà an toàn, hiệu quả

Cách điều trị bệnh lao phổi tại nhà an toàn, hiệu quả

Lao phổi là bệnh cần một quá trình khá lâu dài để điều trị. Những người bệnh ở mức độ nhẹ hoàn toàn có cách điều trị bệnh lao phổi tại nhà cũng như tại các cơ sở y tế. Bài viết sau đây sẽ cung cấp thông tin cụ thể về cách điều trị […]
Bệnh lao phổi: Nguyên nhân, triệu chứng nhận diện

Bệnh lao phổi: Nguyên nhân, triệu chứng nhận diện

Lao phổi là bệnh hô hấp có tính truyền nhiễm do vi khuẩn lao gây nên. Bệnh lao phổi chiếm 80 – 85% các trường hợp mắc bệnh lao. Bệnh có khả năng lây lan mạnh, đặc biệt trong thời gian chưa điều trị. Cùng tìm hiểu nguyên nhân và triệu chứng lao phổi để […]
Những điều cần biết về bệnh lao

Những điều cần biết về bệnh lao

Bệnh lao là một bệnh truyền nhiễm lây qua đường hô hấp, có khả năng “tấn công” phổi cũng như nhiều bộ phận khác trên cơ thể như thận, cột sống, não. Bệnh lao nếu chậm trễ điều trị có thể dẫn tới tử vong. 1. Bệnh lao là gì và con đường lây nhiễm? […]
Tìm hiểu phác đồ điều trị bệnh lao phổi

Tìm hiểu phác đồ điều trị bệnh lao phổi

Bệnh lao phổi là bệnh truyền nhiễm đặc biệt nguy hiểm, thuộc nhóm nguyên nhân hàng đầu gây tử vong. Nguyên nhân, triệu chứng và phác đồ điều trị bệnh lao phổi sẽ có ở bài viết sau đây của Thu Cúc TCI. 1. Hiểu đúng về bệnh lao phổi Bệnh lao phổi là bệnh […]
Cảnh báo tác hại của bệnh lao phổi

Cảnh báo tác hại của bệnh lao phổi

Lao phổi được xem là bệnh truyền nhiễm vì có thể lây qua đường không khí. Vi khuẩn lao di chuyển, lây lan từ phổi đến các cơ quan khác trong cơ thể. Tác hại của bệnh lao phổi vô cùng nghiêm trọng, vì vậy mỗi người cần có kiến thức để chăm sóc sức […]
4 Đối tượng nên tiêm phòng vaccin lao phổi

4 Đối tượng nên tiêm phòng vaccin lao phổi

Bệnh lao phổi là một trong những bệnh lý về phổi nguy hiểm tới con người. Nếu không được chữa trị kịp thời, căn bệnh này sẽ phá hủy phổi của chúng ta, thậm chí dẫn đến tử vong. Ngày nay, lao phổi đã có thể phòng ngừa bằng cách tiêm phòng vaccin. Vậy những […]
3 Lưu ý khi tiêm vắc xin phòng bệnh lao phổi cho trẻ

3 Lưu ý khi tiêm vắc xin phòng bệnh lao phổi cho trẻ

Khi trẻ vừa được sinh ra hệ miễn dịch còn non nớt, nếu không may tiếp xúc với vi khuẩn sẽ rất nguy hiểm tới tính mạng. Đặc biệt với những vi khuẩn nguy hiểm như trực khuẩn lao có khả năng lây truyền qua không khí và gây nguy cơ lây nhiễm cao. Vì […]
Vắc xin phòng lao phổi và 3 thông tin cần biết

Vắc xin phòng lao phổi và 3 thông tin cần biết

Bệnh lao phổi là một trong những căn bệnh nguy hiểm có tính lây truyền rất cao. Do đó, để hạn chế sự tàn phá của căn bệnh này đối với cuộc sống của mọi người, vắc xin phòng lao phổi được xuất hiện. Cùng tìm hiểu về loại vắc xin này trong bài viết […]
4 thông tin về vacxin lao phổi mà bạn nên biết

4 thông tin về vacxin lao phổi mà bạn nên biết

Hiện nay, lao phổi được xem là bệnh lý truyền nhiễm nguy hiểm trên toàn thế giới. Do vậy, để hạn chế tối đa những ảnh hưởng không tốt tới sức khỏe và tính mạng người bệnh, việc tiêm vacxin lao phổi ngay từ sớm cho trẻ được xem là giải pháp phòng ngừa hiệu […]
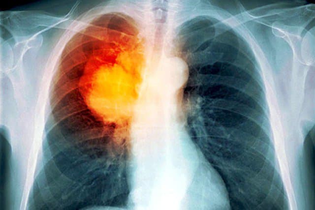
Vai trò của chụp X-quang trong chẩn đoán hình ảnh lao phổi

Vai trò của chụp X-quang trong chẩn đoán hình ảnh lao phổi

Chụp X-quang phổi là phương pháp đơn giản nhưng có độ nhạy cao. Vì vậy, đây là phương pháp được ứng dụng rộng rãi trong việc chẩn đoán các bệnh lý về phổi, trong đó bao gồm cả căn bệnh lao phổi. Vậy chụp X-quang phổi có vai trò như thế nào trong việc chẩn […]
Bệnh lao phổi có nguy hiểm không?

Bệnh lao phổi có nguy hiểm không?

Bệnh lao phổi do loại vi khuẩn Mycobacterium tuberculosis gây ra hoặc được lây lan từ người này sang người khác. Nguyên nhân gây ra bệnh lao phổi thường là do người bệnh hút thuốc lá, hít phải khí độc trong một thời gian dài… Vậy bệnh lao phổi có nguy hiểm không và ảnh […]
Bệnh lao phổi có lây không? nguyên nhân nào gây nên

Bệnh lao phổi có lây không? nguyên nhân nào gây nên

Hiện nay trên thế giới có khoảng 2 tỉ người nhiễm lao, chiếm khoảng ¼ dân số thế giới. Bệnh lao phổi có lây không là vấn đề nhiều người băn khoăn để được giải đáp cụ thể. 1. Bệnh lao phổi có lây không? Bệnh lao phổi có thể lây nhiễm qua các con […]
Các phương pháp điều trị lao phổi

Các phương pháp điều trị lao phổi

Nhờ sự phát triển của y học hiện đại, bệnh lao phổi hiện nay đã được chữa khỏi hoàn toàn. Dưới đây là các phương pháp điều trị lao phổi ai cũng nên biết. Bệnh lao phổi là gì? Tùy theo vị trí bị bệnh mà người ta chia bệnh lao thành 2 thể chính là […]
Cách phòng bệnh lao phổi

Cách phòng bệnh lao phổi

Lao phổi là bệnh lý ở đường hô hấp rất nguy hiểm. Bệnh này có thể lây lan từ người bệnh sang người lành nếu không có biện pháp ngăn ngừa bệnh hợp lý. Dưới đây là tổng hợp những cách phòng bệnh lao phổi hiệu quả mà chúng ta nên áp dụng hàng ngày. […]
16.000 người chết vì chủ quan với bệnh lao

16.000 người chết vì chủ quan với bệnh lao

Không tuân thủ phác đồ, bỏ giữa chừng lộ trình điều trị là nguyên nhân chính khiến 16.000 người chết vì bệnh lao trên cả nước.  16.000 người chết vì chủ quan với bệnh lao Kết quả thống kê sơ bộ của ngành y tế vừa được công bố vào đầu tháng 4/2018 cho thấy, […]
Triệu chứng của bệnh lao phổi

Triệu chứng của bệnh lao phổi

Lao phổi là bệnh lây nhiễm nguy hiểm nhưng thực tế có rất ít bệnh nhân không biết mình bị mắc bệnh cho đến khi tiến triển nặng. Biết được những triệu chứng của bệnh lao phổi thường gặp là gì sẽ giúp bạn chủ động hơn trong thăm khám sớm. Lao phổi là bệnh […]
Bệnh lao phổi nguy hiểm như thế nào?

Bệnh lao phổi nguy hiểm như thế nào?

Lao phổi là bệnh lý dễ gặp khó chữa trị và hay tái phát. Người bệnh lao phổi nếu không được chữa trị hiệu quả có thể gây nên biến chứng đe dọa tính mạng. Bệnh lao phổi nguy hiểm như thế nào? 1. Bệnh lao phổi coi chừng biến chứng nghiêm trọng Lao phổi […]
Mỗi năm 17.000 người Việt chết vì bệnh lao

Mỗi năm 17.000 người Việt chết vì bệnh lao

Lao là bệnh lý phổ biến cướp đi sinh mạng hàng ngàn người mỗi năm. Theo thống kê của Tổ chức y tế Thế giới năm 2016, mỗi năm có tới 17.000 người Việt chết vì bệnh lao vì vậy người bệnh cần hết sức cảnh giác với bệnh lý này. 1. Mỗi năm 17.000 […]
1900558892
zaloChat