U bánh nhau có nguy hiểm?
U bánh nhau là một bất thường hiếm gặp trong thai kỳ nhưng có thể tiềm ẩn nhiều rủi ro nếu không được phát hiện và theo dõi kịp thời. Khối u hình thành từ mô mạch máu của bánh nhau này có thể ảnh hưởng đến sự phát triển của thai nhi, làm tăng nguy cơ biến chứng cho cả mẹ và bé. Vì vậy, hiểu rõ về u bánh nhau sẽ giúp sản phụ chủ động thăm khám và xử trí đúng cách trong suốt quá trình mang thai.
1. U bánh nhau là gì?
U bánh nhau (u máu bánh nhau – chorioangioma) là một khối u mạch máu lành tính hình thành trong bánh nhau. Đây là loại u không xuất phát từ nguyên bào nuôi và là khối u bánh nhau thường gặp nhất, với tỷ lệ khoảng 1% thai kỳ.
Về bản chất, u bánh nhau là sự phát triển bất thường của các mạch máu trong mô nhau thai. Phần lớn các trường hợp là u nhỏ, không gây triệu chứng và chỉ được phát hiện tình cờ sau sinh khi kiểm tra bánh nhau. Những u nhỏ này thường không ảnh hưởng đến thai nhi và không liên quan đến dị tật bẩm sinh.

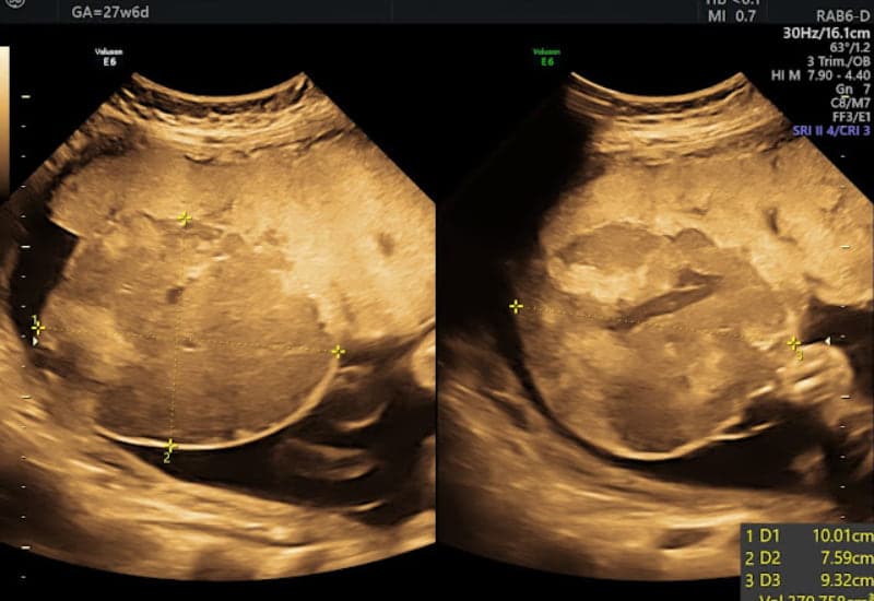
Tuy nhiên, khi khối u lớn (đặc biệt trên 6cm), nguy cơ biến chứng sẽ tăng lên. U lớn có thể làm thay đổi tuần hoàn trong bánh nhau, gây quá tải tim thai, đa ối, thai chậm tăng trưởng trong tử cung, sinh non hoặc thậm chí thai lưu. Trên siêu âm, u thường xuất hiện dưới dạng một khối tròn, ranh giới rõ, có thể quan sát được mạch máu nuôi bằng Doppler màu.
Các yếu tố ảnh hưởng nhiều nhất đến kết cục thai kỳ gồm:
- Kích thước khối u.
- Có xuất hiện thai tích dịch hay không.
- Thời điểm xuất hiện dấu hiệu suy tim thai.
2. U bánh nhau có nguy hiểm không?
U bánh nhau có nguy hiểm không là thắc mắc của nhiều thai phụ. Thực tế, mức độ nguy hiểm của u bánh nhau phụ thuộc chủ yếu vào kích thước khối u và mức độ ảnh hưởng đến thai nhi.
Phần lớn các khối u bánh nhau nhỏ, không gây triệu chứng và thường chỉ được phát hiện tình cờ sau sinh khi kiểm tra bánh nhau. Trong những trường hợp này, thai kỳ vẫn diễn tiến bình thường.
Tuy nhiên, nếu kích thước u tăng nhanh, nó có thể làm rối loạn tuần hoàn giữa mẹ và thai, khiến tim thai phải hoạt động quá mức để bù trừ. Hậu quả có thể là thai chậm tăng trưởng trong tử cung, thiếu máu, đa ối, suy tim thai hoặc phù thai (thai tích dịch). Khi tình trạng này nặng lên, nguy cơ sinh non, thai lưu hoặc tử vong chu sinh sẽ tăng cao.
Ở những thai kỳ có u máu bánh nhau lớn và không được can thiệp, tỷ lệ thai chết trong tử cung khoảng 8%, sinh non trước 37 tuần chiếm hơn 34% và nhiều trường hợp thai nhỏ so với tuổi thai. Nguy cơ biến chứng đặc biệt cao khi khối u lớn kèm theo dấu hiệu suy tim thai hoặc thai tích dịch.

Trong thực tế, có những trường hợp thai phải truyền máu trong tử cung do thiếu máu nặng, hoặc được chỉ định sinh mổ sớm để tránh nguy cơ ngừng tim đột ngột. Trẻ sinh non có thể cần hỗ trợ hô hấp và điều trị tim mạch tích cực, nhưng nếu được can thiệp kịp thời, nhiều bé vẫn hồi phục tốt.
3. Điều trị u bánh nhau như thế nào?
Khi phát hiện u bánh nhau, bác sĩ sẽ dựa vào kích thước khối u và mức độ ảnh hưởng đến mẹ và thai nhi để quyết định hướng xử trí phù hợp. Nếu khối u làm tăng nguy cơ biến chứng khi chuyển dạ như đứt dây rốn hoặc chảy máu, bác sĩ có thể chỉ định sinh mổ để đảm bảo an toàn.
Trong trường hợp khối u lớn, phát triển nhanh hoặc gây biến chứng nặng, một số biện pháp can thiệp có thể được áp dụng như:
- Thắt mạch nuôi khối u nhằm giảm lượng máu đến u, từ đó hạn chế sự phát triển.
- Truyền máu nếu thai nhi bị thiếu máu.
- Chọc ối khi có tình trạng đa ối để giảm áp lực trong tử cung.
Tóm lại, u bánh nhau tuy phần lớn là tổn thương lành tính nhưng vẫn tiềm ẩn nhiều nguy cơ đối với thai nhi nếu không được phát hiện và theo dõi kịp thời. Việc thăm khám thai định kỳ, siêu âm đúng mốc và tuân thủ hướng dẫn của bác sĩ đóng vai trò quan trọng trong kiểm soát biến chứng. Khi được chẩn đoán sớm, đa số trường hợp u bánh nhau có thể được theo dõi sát và xử trí phù hợp, giúp đảm bảo an toàn cho cả mẹ và bé trong suốt thai kỳ.












