Bảng chiều dài xương đùi thai nhi tuần từ 10-40
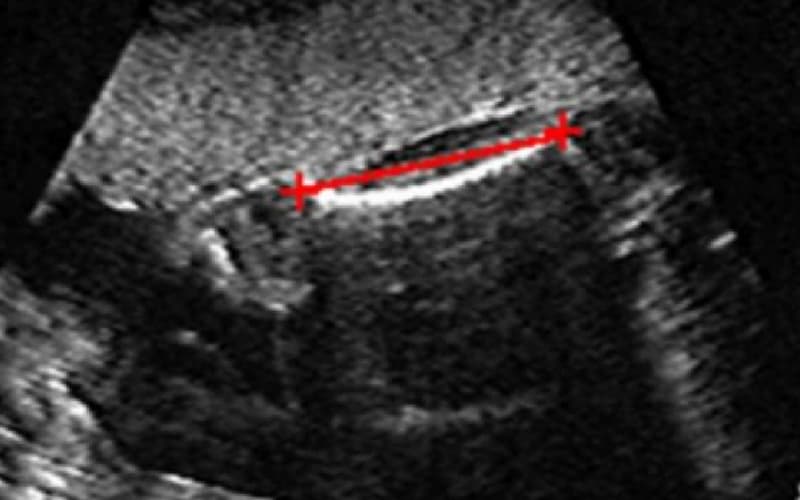
Trong hành trình mang thai, việc theo dõi các chỉ số sinh học qua siêu âm là cách cần thiết để đảm bảo bé yêu đang phát triển khỏe mạnh. Trong đó, chiều dài xương đùi thai nhi (FL – Femur Length) là một trong những thông số vàng giúp bác sĩ đánh giá sự tăng trưởng và phát hiện sớm các bất thường hình thái
1. Vì sao cần quan tâm đến chỉ số về chiều dài xương đùi thai nhi (FL)?
Xương đùi dù nhìn bằng mắt thường hay trên các kết quả đo lường cũng là xương dài nhất trong cơ thể của con người. Trong y học bào thai, chỉ số FL được đo để mang lại những giá trị chẩn đoán quan trọng:
1.1. Ước tính kích thước và trọng lượng thai nhi
Chỉ số FL là một trong bốn thông số cốt lõi (cùng với chu vi đầu, chu vi bụng và đường kính lưỡng đỉnh) để tính toán cân nặng ước tính của thai nhi (EFW). Điều này giúp bác sĩ xác định xem thai nhi có đang phát triển tương xứng với tuổi thai hay không.

1.2. Sàng lọc dị tật và các hội chứng di truyền
Việc theo dõi FL liên tục giúp sàng lọc các tình trạng như loạn sản xương hoặc các vấn đề liên quan đến sự phát triển của hệ xương . Đặc biệt, nếu xương đùi ngắn bất thường so với tuổi thai, đây có thể là dấu hiệu gợi ý nguy cơ mắc hội chứng Down (Trisomy 21).
2. Bảng chiều dài xương đùi thai nhi theo tuần (10–40)
Dưới đây là bảng tổng hợp chiều dài xương đùi thai nhi theo tuần dựa trên dữ liệu chuẩn từ các tổ chức y tế quốc tế (tính theo bách phân vị thứ 50 – chỉ số trung bình lý tưởng):
| Tuần thai | FL Trung bình (mm) | Tuần thai | FL Trung bình (mm) |
| 10 | 2.37 | 26 | 47.54 |
| 11 | 4.02 | 27 | 49.81 |
| 12 | 6.29 | 28 | 52.00 |
| 13 | 9.11 | 29 | 54.14 |
| 14 | 12.34 | 30 | 56.26 |
| 15 | 15.79 | 31 | 58.35 |
| 16 | 19.26 | 32 | 60.39 |
| 17 | 22.60 | 33 | 62.37 |
| 18 | 25.74 | 34 | 64.26 |
| 19 | 28.73 | 35 | 66.05 |
| 20 | 31.68 | 36 | 67.73 |
| 21 | 34.57 | 37 | 69.26 |
| 22 | 37.39 | 38 | 70.63 |
| 23 | 40.10 | 39 | 71.80 |
| 24 | 42.70 | 40 | 72.77 |
| 25 | 45.18 |
Lưu ý: Các chỉ số có thể dao động nhẹ tùy thuộc vào cơ địa và chủng tộc của cha mẹ.
3. FL bình thường là như thế nào? FL thấp có sao không?
Hiểu về các mốc bách phân vị giúp mẹ bầu có cái nhìn khoa học hơn về kết quả siêu âm.
3.1. Các ngưỡng bách phân vị an toàn
Một chỉ số FL được coi là bình thường khi nằm trong khoảng bách phân vị từ thứ 5 đến thứ 95 trong biểu đồ tăng trưởng .
- Bách phân vị thứ 50: Là mức phát triển trung bình lý tưởng.
- Dưới bách phân vị thứ 5: Được coi là xương đùi ngắn, cần được bác sĩ theo dõi chuyên sâu.

3.2. FL thấp có đáng lo ngại?
Nếu chiều dài xương đùi thai nhi theo tuần thấp hơn mức trung bình, nguyên nhân có thể do di truyền (bố mẹ thấp), sai số đo đạc do tư thế thai nhi khó quan sát, hoặc do tình trạng thai chậm phát triển trong tử cung (IUGR) . Trong trường hợp này, bác sĩ thường chỉ định siêu âm lại sau 1-2 tuần để đánh giá tốc độ tăng trưởng trước khi đưa ra kết luận.
4. Cách giúp thai nhi phát triển chiều dài xương đùi tốt
Để hỗ trợ bé phát triển hệ xương vững chắc và chiều cao lý tưởng ngay từ trong bụng mẹ, các chuyên gia sản khoa khuyên mẹ nên thực hiện các biện pháp sau:
- Bổ sung Canxi và Vitamin D: Đây là hai dưỡng chất then chốt. Mẹ nên ăn nhiều thực phẩm như sữa, tôm, cua, bông cải xanh và kết hợp tắm nắng sáng sớm.
- Duy trì chế độ ăn giàu Protein: Thịt nạc, cá, trứng và các loại đậu cung cấp nguyên liệu cần thiết cho quá trình tạo xương.
- Kiểm soát cân nặng hợp lý: Tránh tăng cân quá mức hoặc để cơ thể thiếu chất, vì cả hai đều ảnh hưởng tiêu cực đến sự phát triển của bào thai.
- Thăm khám định kỳ: Siêu âm theo đúng lịch hẹn giúp bác sĩ theo dõi sát sao sự thay đổi của chiều dài xương đùi thai nhi và có những can thiệp kịp thời nếu cần.

Việc theo dõi chiều dài xương đùi thai nhi là một phần không thể thiếu trong hành trình chăm sóc thai kỳ. Hy vọng qua bảng chiều dài xương đùi thai nhi theo tuần trên, mẹ đã có thêm kiến thức bổ ích để vững tâm hơn. Đừng quên lựa chọn các cơ sở y tế uy tín để được tư vấn chính xác nhất về sự phát triển của bé yêu nhé!











