Những thông tin bạn cần biết về hàn răng cửa bị sâu
Răng cửa bị sâu là tình trạng lớp men của răng cửa bên ngoài bị phá vỡ khiến cho vi khuẩn xâm nhập vào lớp ngà bên trong. Nếu không được điều trị kịp thời bằng phương pháp hàn răng cửa bị sâu thì có thể dẫn đến nguy cơ sâu lan vào tủy, ảnh hưởng lớn đến thẩm mỹ của nụ cười.
1. Hàn răng sâu có tác dụng gì?
Hàn răng sâu là một quy trình nha khoa được thực hiện để phục hồi và bảo vệ răng sau khi bị sâu hoặc hỏng. Quy trình này không chỉ giúp khắc phục những tổn thương do sâu răng gây ra mà còn mang lại nhiều lợi ích khác cho sức khỏe răng miệng và tổng thể của cơ thể.
Một trong những tác dụng chính của hàn răng sâu là tái tạo lại cấu trúc răng bị tổn thương. Khi một phần của răng bị mất do sâu răng, việc hàn răng sâu giúp lấp vào khoảng trống đó bằng các vật liệu phù hợp như composite resin hoặc GIC, sứ,… Quá trình này không chỉ giữ cho răng trở nên mạnh và chắc khỏe hơn mà còn ngăn ngừa sự tiếp tục phát triển của sâu răng.
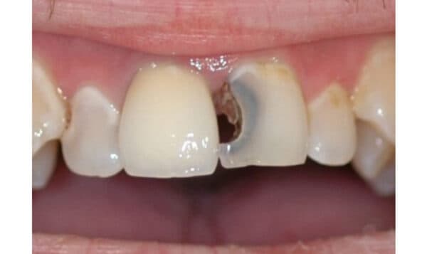
Hàn răng sâu để tránh vi khuẩn ăn sâu vào tủy
Ngoài ra, hàn răng sâu cũng giúp khôi phục lại chức năng nhai và cắn của răng. Khi một phần của răng bị hỏng, việc nhai thức ăn có thể trở nên khó khăn và gây ra đau đớn. Bằng cách tái tạo lại bề mặt cắn bằng phương pháp hàn răng sâu, trẻ hoặc người lớn có thể tiếp tục nhai thức ăn một cách thoải mái và hiệu quả hơn.
Hàn răng sâu cũng có tác dụng trong việc cải thiện thẩm mỹ răng miệng. Các vật liệu hàn răng hiện đại như composite resin có màu sắc và độ trong suốt tương tự như men răng tự nhiên, giúp răng trở nên đẹp hơn mà không làm mất đi sự tự nhiên, đặc biệt là đối với răng cửa bị sâu.
2. Những điều cần biết khi răng cửa bị sâu
2.1. Hàn răng cửa bị sâu liệu có khả thi?
Hàn răng cửa bị sâu là phương pháp được khuyến nghị thực hiện sớm. Liệu pháp hàn răng cửa bị sâu là một giải pháp khả thi và phổ biến trong nha khoa hiện đại. Quá trình này bắt đầu bằng việc loại bỏ vùng bị sâu và răng đã hỏng, sau đó sử dụng các vật liệu như composite resin hoặc vật liệu trám GIC để tái tạo lại phần bề mặt bị tổn thương của răng. Quá trình này có thể được thực hiện một cách hiệu quả và an toàn bởi các bác sĩ nha khoa.
Bằng cách tái tạo lại phần bề mặt bị tổn thương của răng cửa, liệu pháp hàn răng giúp phục hồi chức năng nhai của răng, sau hàn, khách hàng có thể nhai thức ăn một cách hiệu quả và thoải mái.
Ngăn ngừa sự tiến triển của sâu răng: Bằng cách lấp đầy và phục hồi vùng bề mặt bị tổn thương của răng, liệu pháp hàn răng cửa ngăn ngừa sự lan rộng của sâu răng vào các phần khác của răng và bảo vệ sức khỏe toàn bộ khu vực miệng.
Chọn lựa cơ sở nha khoa uy tín để hàn răng nhằm kéo dài tuổi thọ mối hàn
Răng cửa nằm ở phía ngoài, là phần dễ nhìn thấy nhất mỗi khi nói hoặc cười. Răng cửa bị sâu có thể mang đến vẻ ngoài không dễ nhìn và khiến người mắc cảm thấy tự tin. Quá trình hàn răng cửa không chỉ giúp bảo vệ răng khỏi sự tác động của sâu răng mà còn cải thiện ngoại hình của răng, giúp cho nụ cười trở nên tươi sáng hơn.
Giảm nguy cơ các biến chứng: Hàn răng cửa bị sâu giúp giảm nguy cơ mắc các biến chứng từ sâu răng, như viêm lợi hay viêm nha chu, bảo vệ răng lợi khỏi sự tấn công của các loại vi khuẩn trong miệng.
Tóm lại, liệu pháp hàn răng cửa bị sâu là một phương pháp khả thi và hiệu quả trong việc điều trị và phục hồi răng cửa bị sâu tấn công. Với kỹ thuật hàn răng hiện đại, khách hàng có thể hồi phục lại hình dáng và chức năng của răng gần như hoàn toàn.
2.2. Thực hiện hàn răng cửa bị sâu ra sao?
Hàn răng sâu là một quy trình nha khoa khá đơn giản và được tiến hành nhanh chóng. Cụ thể:
– Kiểm tra và chẩn đoán: Quy trình bắt đầu bằng việc thăm khám và kiểm tra tình trạng của răng cửa bị sâu. Bác sĩ nha khoa sẽ thực hiện các xét nghiệm và kiểm tra để xác định mức độ tổn thương của răng và quyết định liệu pháp hàn răng cửa có phù hợp hay không.
– Làm tê vùng điều trị: Trong một số trường hợp, trước khi bắt đầu điều trị, bác sĩ sẽ sử dụng thuốc tê để làm tê vùng răng cần điều trị, giúp cho khách hàng cảm thấy thoải mái và không đau trong quá trình thực hiện.
– Lấy đi vùng bị sâu: Bác sĩ sẽ sử dụng các dụng cụ nha khoa để lấy đi phần bề mặt của răng bị tổn thương do sâu. Quá trình này đảm bảo rằng mọi vi khuẩn và vùng bị hỏng đều được loại bỏ sạch sẽ.
– Hàn răng cửa: Bác sĩ sẽ sử dụng các vật liệu như composite hoặc xi măng trám chuyên dụng để tái tạo lại phần bề mặt bị tổn thương của răng. Vật liệu này sẽ được lấp và lỗ sâu và điều chỉnh để có hình dạng và màu sắc tự nhiên nhất.
– Sau khi hàn, bác sĩ sẽ điều chỉnh vật liệu hàn để đảm bảo sự thoải mái và chức năng hoàn hảo của răng.
2.3. Những chất liệu dùng trong hàn răng là gì?
Răng cửa là “gương mặt” của toàn bộ hàm răng. Khi thực hiện hàn răng cửa, việc sử dụng vật liệu hàn có tính thẩm mỹ cao là vô cùng quan trọng. Dưới đây là các lựa chọn về vật liệu trám răng cho răng cửa:
– Hàn răng bằng vàng: Trước đây, việc hàn răng bằng vàng thể hiện sự sang trọng và quý phái. Tuy nhiên, vật liệu này có chi phí cao và không đồng nhất với màu sắc tự nhiên của răng nên hiện nay đã ít được sử dụng.
Có nhiều chất liệu hàn răng đẻ người bệnh lựa chọn
– Hàn răng bằng Composite: Sử dụng vật liệu Composite để hàn răng mang lại màu sắc tự nhiên phù hợp cho răng cửa. Với nhiều tùy chọn màu sắc, vật liệu này dễ dàng phù hợp với từng răng của mỗi người. Đây là lựa chọn phổ biến và chi phí tiết kiệm cho bệnh nhân.
Phương pháp hàn răng cửa bị sâu là một kỹ thuật căn bản thường được thực hiện tại hầu hết các phòng khám nha khoa. Tuy nhiên, để đảm bảo kết quả tốt nhất, việc lựa chọn một đơn vị nha khoa uy tín là rất quan trọng. Với sự phát triển của công nghệ, cùng với sự khéo léo của các bác sĩ giàu kinh nghiệm, quá trình hàn răng cửa bị sâu sẽ được thực hiện đơn giản, nhanh chóng và hiệu quả. Khi quá trình hàn hoàn thành, răng cửa sẽ được phục hồi tính thẩm mỹ, khôi phục chức năng ăn nhai và ngăn ngừa các vấn đề về sức khỏe răng miệng.


















