Vôi răng: Quá trình xử lý và hướng dẫn hạn chế sự hình thành
Vôi răng hay cao răng có mối liên hệ chặt chẽ với nhiều bệnh lý nha khoa, từ đơn giản đến phức tạp. Tuy nhiên, nhiều người vẫn chưa thực sự hiểu quá trình lấy cao răng diễn ra như thế nào cũng như làm sao để hạn chế cao răng hình thành hiệu quả. Bài viết này của Thu Cúc TCI cung cấp cho bạn thông tin toàn diện về vôi răng, giúp bạn bảo vệ tốt răng và diện mạo của bản thân, đọc ngay bạn nhé!
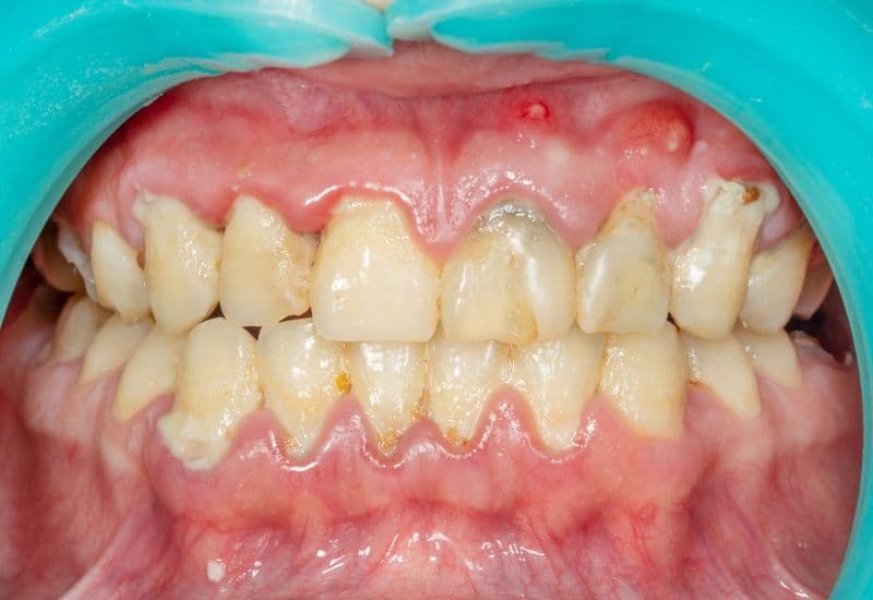
1. Quá trình hình thành vôi răng
Vôi răng là lớp cứng bám trên bề mặt răng, thường tích tụ dọc đường viền nướu. Cụ thể, dưới đây là các bước chính trong quá trình hình thành vôi răng:
– Tích tụ mảng bám: Mảng bám là tập hợp vi khuẩn, thức ăn thừa, protein trong nước bọt và các tế bào chết.
– Khoáng hóa mảng bám: Khi mảng bám tiếp xúc với khoáng chất trong nước bọt, như canxi và phốt phát, quá trình khoáng hóa xảy ra. Trong quá trình này, các khoáng chất trong nước bọt làm mảng bám từ từ cứng lại và trở thành cao răng. Cao răng tiếp tục tích tụ và cứng hóa theo thời gian nếu không được loại bỏ. Càng để lâu, cao răng càng cứng và càng bám chặt vào bề mặt răng, khiến việc loại bỏ càng trở nên khó khăn.
Tập hợp vi khuẩn, thức ăn thừa, protein trong nước bọt và các tế bào chết trên bề mặt răng gọi là mảng bám.
2. Quá trình lấy vôi răng diễn ra như thế nào?
2.1. Tại sao cần lấy vôi răng?
Vôi răng có nhiều tác hại, không chỉ cho sức khỏe răng miệng mà còn cho sức khỏe tổng thể. Dưới đây là một số tác hại chính của vôi răng:
– Mất thẩm mỹ: Cao răng thường có màu vàng hoặc nâu, làm giảm tính thẩm mỹ của nụ cười và có thể ảnh hưởng đến sự tự tin của bạn.
– Hôi miệng: Cao răng là môi trường lý tưởng cho vi khuẩn phát triển, gây ra tình trạng hôi miệng.
– Viêm nướu và bệnh nha chu: Cao răng tích tụ dưới viền nướu có thể gây kích ứng và viêm nướu. Nếu không được điều trị, tình trạng này có thể tiến triển thành bệnh nha chu, một bệnh lý nha khoa nghiêm trọng, gây tổn thương các mô nâng đỡ răng, có thể dẫn đến lung lay và mất răng.
– Tăng nguy cơ mắc các bệnh lý toàn thân: Nhiều nghiên cứu đã cho thấy mối liên hệ giữa bệnh nha chu do cao răng gây ra với các bệnh lý toàn thân khác như bệnh tim mạch, tiểu đường và các vấn đề về hô hấp.
Do đó, lấy cao răng là rất quan trọng để ngăn ngừa cũng như hạn chế các tác hại của cao răng.
2.2. Quy trình lấy vôi răng tại phòng khám nha khoa
Lấy vôi răng là một phần quan trọng của việc chăm sóc sức khỏe răng miệng nhằm duy trì hàm răng khỏe mạnh. Việc lấy vôi răng thường được thực hiện bởi nha sĩ. Quy trình lấy cao răng tại phòng khám nha khoa thường diễn ra theo các bước sau:
– Đánh giá và chuẩn bị: Nha sĩ sẽ tiến hành thăm khám để xác định mức độ tích tụ cao răng và tình trạng sức khỏe răng miệng tổng thể. Nếu cần, nha sĩ có thể yêu cầu bạn chụp X-quang, để xác định rõ hơn tình trạng xương và cao răng dưới nướu. Sau thăm khám, nha sĩ sẽ thông báo các bước trong quá trình lấy cao răng.
– Gây tê tại chỗ (nếu cần): Để đảm bảo sự thoải mái cho bạn, nha sĩ có thể sử dụng thuốc tê tại chỗ, nhất là khi cao răng quá nhiều hoặc bạn có ngưỡng chịu đau thấp.
– Lấy cao răng: Nha sĩ sử dụng dụng cụ lấy cao răng phát ra sóng siêu âm giúp phá vỡ cao răng một cách nhẹ nhàng mà không làm hại đến răng. Nha sĩ cũng có thể sử dụng các dụng cụ thủ công để loại bỏ các mảnh cao răng còn lại, đặc biệt là ở những khu vực khó tiếp cận.
Dụng cụ lấy vôi răng phát ra sóng siêu âm được sử dụng để giúp phá vỡ vôi răng một cách nhẹ nhàng.
– Đánh bóng răng: Sau khi cao răng đã được loại bỏ, nha sĩ sẽ đánh bóng răng, giúp giảm khả năng bám dính của mảng bám trong tương lai.
– Hướng dẫn chăm sóc răng miệng: Nha sĩ sẽ hướng dẫn bạn cách chăm sóc răng miệng tại nhà, bao gồm cách sử dụng bàn chải đánh răng, chỉ nha khoa và các sản phẩm chăm sóc răng miệng khác.
– Theo dõi và tái khám: Bạn sẽ được khuyến khích đặt lịch tái khám định kỳ để kiểm tra tình trạng răng miệng và xử lý các vấn đề nếu cần.
3. Làm sao để hạn chế vôi răng hình thành hiệu quả?
Dưới đây là những biện pháp bạn có thể thực hiện để hạn chế sự hình thành của vôi răng:
– Vệ sinh răng miệng thường xuyên: Đánh răng ít nhất hai lần một ngày, sử dụng kem đánh răng chứa fluor để vệ sinh răng và ngăn ngừa sự phát triển của mảng bám. Sử dụng chỉ nha khoa mỗi ngày sau khi ăn để loại bỏ mảng bám và thức ăn thừa giữa các kẽ răng, nơi bàn chải không thể tiếp cận.
– Thực hành chế độ ăn uống lành mạnh: Hạn chế tiêu thụ đồ ngọt và thực phẩm giàu tinh bột, vì chúng là nguyên liệu cho vi khuẩn sản sinh acid. Tăng cường ăn rau, trái cây và các thực phẩm giàu chất xơ khác để răng được vệ sinh một cách tự nhiên. Uống nhiều nước, đặc biệt là nước lọc, để giúp rửa trôi thức ăn và giảm tính acid trong miệng. Tránh hút thuốc lá và uống rượu; hút thuốc lá và uống rượu không chỉ làm tăng nguy cơ hình thành vôi răng mà còn ảnh hưởng tiêu cực đến sức khỏe răng miệng tổng thể.
– Quản lý stress: Stress có thể ảnh hưởng đến việc tiết nước bọt, từ đó làm tăng nguy cơ hình thành mảng bám và cao răng. Tìm cách giảm stress để cải thiện sức khỏe răng miệng.
– Khám răng định kỳ: Khám răng với nha sĩ 6 tháng một lần để kiểm tra sức khỏe răng miệng và thực hiện lấy cao răng nếu cần. Điều này giúp phát hiện sớm và loại bỏ cao răng trước khi chúng gây ra vấn đề nghiêm trọng.
Khám răng với nha sĩ 6 tháng một lần.
Hiểu biết đầy đủ về quy trình lấy vôi răng và các biện pháp hạn chế vôi răng hình thành sẽ giúp bạn duy trì hàm răng khỏe mạnh và nụ cười rạng rỡ. Hãy thực hiện các biện pháp vệ sinh răng miệng hàng ngày và thăm khám định kỳ để phát hiện và điều trị kịp thời, tránh để cao răng trở thành vấn đề sức khỏe răng miệng lớn, bạn nhé!


















