Giải đáp các thắc mắc liên quan đến vấn đề lấy vôi răng
Lấy vôi răng là việc làm mà các bác sĩ nha khoa khuyên bạn nên thực hiện hằng kỳ để phòng tránh các bệnh lý răng miệng. Tuy nhiên, rất nhiều người trong chúng ta chưa hiểu thực sự về vấn đề này. Bài viết dưới đây sẽ giúp bạn hiểu hơn về việc lấy vôi răng thông qua việc giải đáp các thắc mắc thường thấy với vấn đề này.
1. Các vấn đề về vôi răng
1.1. Vôi răng là gì? Cách nhận biết?
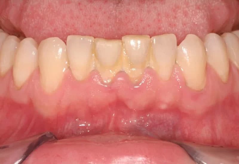
Vôi răng, hay còn gọi là cao răng, là lớp màng bị vôi hóa trên bề mặt răng và nướu từ mảng bám. Mảng bám này được hình thành từ cặn thức ăn, vi khuẩn và các khoáng chất trong nước bọt. Vôi răng bám chặt vào răng và khó loại bỏ bằng việc đánh răng thông thường.
Nhận biết vôi răng không khó:
– Quan sát bằng mắt thường: Vôi răng có màu trắng đục hoặc vàng nhạt, thường bám ở cổ răng, kẽ răng và dưới nướu.
– Cảm giác bằng lưỡi: Dùng lưỡi để cảm nhận bề mặt răng. Nếu bạn cảm thấy có những mảng bám sần sùi, cứng thì đó có thể là vôi răng.
– Khám nha khoa: Nha sĩ có thể quan sát bằng mắt, hoặc sử dụng dụng cụ chuyên dụng để kiểm tra và xác định xem bạn có vôi răng hay không.
Các mảng bám trên răng tạo thành vôi răng
1.2. Vôi răng có nguy hiểm không?
Vôi răng không liên quan trực tiếp đến các bệnh lý nguy hiểm. Những ảnh hưởng thường thấy do vôi răng gây ra có thể bao gồm: việc mất thẩm mỹ do răng ố vàng, xỉn màu, tụt lợi; hôi miệng; sâu răng; viêm nướu, bệnh nha chu;… Tuy nhiên, vôi răng được cho là có liên quan đến một số vấn đề sức khỏe tổng thể. Cụ thể, vôi răng làm tăng nguy cơ mắc bệnh tim mạch, đột quỵ, tiểu đường, sinh non…
1.3. Vôi răng có thể phòng ngừa không?
Vệ sinh răng miệng đúng cách, hạn chế các đồ ăn thức uống có đường, có ga là những cách cần thiết để phòng ngừa vôi răng. Đặc biệt, cần chú ý khám nha khoa định kỳ để loại bỏ vôi răng, làm sạch khoang miệng cũng như phòng ngừa các bệnh lý có thể xảy ra.
2. Việc lấy vôi răng
2.1. Ai nên lấy vôi răng? Khi nào nên lấy?
Mọi người đều nên lấy vôi răng định kỳ, lý tưởng nhất là 6 tháng một lần. Tuy nhiên, những người có nguy cơ cao bị vôi răng hoặc các vấn đề về nướu có thể cần phải lấy vôi thường xuyên hơn, ví dụ như:
– Người hút thuốc lá
– Người uống nhiều nước ngọt, đồ uống có gas
– Người có chế độ ăn uống nhiều đường, tinh bột
– Vệ sinh răng miệng kém
– Người mắc các bệnh lý về nướu như viêm nướu, bệnh nha chu
– Người mang thai
2.2. Lấy vôi răng có đau không?
Mức độ đau nhức khi cạo vôi răng phụ thuộc vào nhiều yếu tố như:
– Phương pháp cạo vôi răng được sử dụng
– Tình trạng vôi răng
– Mức độ nhạy cảm của nướu
– Kỹ thuật của nha sĩ
Thông thường, lấy vôi răng bằng máy siêu âm hoặc laser ít gây đau nhức hơn so với cạo vôi răng bằng dụng cụ cầm tay. Nha sĩ cũng có thể sử dụng thuốc tê để giảm đau nếu cần thiết.
Đồ ăn cay nóng là nguyên nhân gây vôi răng
2.3. Lưu ý sau khi lấy vôi răng
Sau khi bỏ vôi răng, bạn cần chú ý một số điều sau:
– Chải răng nhẹ nhàng và cẩn trọng trong vài ngày đầu tiên.
– Sử dụng nước súc miệng dành cho người sau khi lấy vôi răng.
– Tránh ăn thức ăn có tính chất cứng, dai trong vài ngày sau cạo vôi răng.
– Hạn chế đồ nhiều gia vị.
– Hạn chế đồ cay nóng.
– Uống nhiều nước.
– Đi khám nha sĩ định kỳ để kiểm tra sức khỏe răng miệng và cạo vôi răng nếu cần thiết.
2.4. Quy trình lấy vôi răng
Mỗi một cơ sở nha khoa có thể có những quy trình cạo vôi răng khác nhau. Điều này cũng phụ thuộc vào vấn đề phương pháp, công nghệ cạo vôi răng.
Hiện tại, loại bỏ vôi răng tại các bệnh viện lớn thường theo quy trình như sau:
– Khám, tư vấn
– Làm sạch khoang miệng
– Cạo vôi răng
– Đánh bóng
– Vệ sinh lần cuối
Quy trình loại bỏ vôi răng thường diễn ra trong khoảng 30-60 phút. Một số trường hợp có thể cảm thấy ê buốt hoặc khó chịu nhẹ trong quá trình lấy vôi này. Tuy nhiên, cảm giác ê buốt này thông thường sẽ nhanh chóng giảm đi và biến mất.
Bác sĩ tư vấn và thăm khám trực tiếp tại TCI
2.5. Lấy vôi răng liệu có ảnh hưởng đến men răng?
Nếu được thực hiện đúng kỹ thuật bởi nha sĩ có tay nghề, lấy cao răng sẽ không ảnh hưởng đến men răng. Tuy nhiên, nếu loại bỏ vôi răng bằng dụng cụ cầm tay không đúng cách có thể làm trầy xước men răng. Đây cũng là lý do vì sao hiện nay, phương pháp truyền thống cạo vôi răng này ít khi được chú ý.
2.6. Lấy vôi răng có ảnh hưởng đến thai nhi không?
Loại bỏ cao răng an toàn cho phụ nữ mang thai theo từng giai đoạn. Tuy nhiên, nên thông báo cho nha sĩ biết bạn đang mang thai để họ có thể lựa chọn phương pháp cạo vôi răng phù hợp.
2.7. Chi phí lấy vôi răng có giá bao nhiêu?
Chi phí loại bỏ vôi răng phụ thuộc vào nhiều yếu tố như: phương pháp lựa chọn, nha sĩ, phòng mạch, mức độ vôi răng,…
Thông thường, chi phí cạo vôi răng dao động từ vài trăm nghìn đến một triệu đồng. Riêng tại TCI, dịch vụ này đang có giá từ 110.000 đồng đến 330.000 đồng phân theo từng cấp độ.
Trên đây là những thông tin cơ bản về tình trạng vôi răng và vấn đề lấy vôi răng thường được mọi người quan tâm. Cần chú ý rằng, vôi răng là vấn đề có thể ảnh hưởng nhiều đến sức khỏe răng miệng và vấn đề thẩm mỹ. Do đó, cần chú ý phòng ngừa vôi răng hằng ngày. Đồng thời, cần chủ động khám sức khỏe răng miệng định kỳ và cạo vôi răng theo lịch để loại bỏ vôi răng, bảo vệ sức khỏe răng miệng. Nếu có bất cứ vấn đề gì cần hỗ trợ, hãy liên hệ với chúng tôi để được hỗ trợ nhanh chóng.


















