Viêm cuống răng do đâu? Chữa trị như thế nào?
Viêm cuống răng là một trong số các bệnh lý về răng miệng phổ biến ở người trưởng thành. Mặc dù không phải là tình trạng gây nguy hiểm nhưng bệnh lý này khiến người bệnh rất đau đớn, ảnh hưởng rất nhiều đến sinh hoạt hàng ngày và chất lượng cuộc sống. Điều trị bệnh sớm tại nha khoa là lựa chọn đúng đắn nhất khi bạn đang gặp phải tình trạng này.
1. Viêm cuống răng do đâu?
Viêm quanh cuống do nhiều nguyên nhân gây ra
Có nhiều nguyên nhân gây nên tình trạng viêm cuống răng, trong đó các nguyên nhân sau đây là nguyên nhân chính gây bệnh:
1.1 Do nhiễm khuẩn vùng quanh răng
– Khu vực quanh răng bị viêm, nhiễm khuẩn, vi khuẩn từ vùng mô này phát triển và xâm nhập vào vùng cuống răng gây viêm quanh cuống răng.
– Tình trạng viêm tủy, tủy hoại tử giải phóng hàng loạt các chất có độc tính gây nên biến chứng viêm quanh cuống răng bao gồm:
+ Nội và ngoại độc tố do vi khuẩn sản sinh,
+ Các enzym tiêu hủy protein, cấu trúc sợi chun và sợi tạo keo
+ Thành phần gây tiêu xương như Prostaglandin và interleukin 6.
1.2 Do răng bị sang chấn vì thói quen hàng ngày
– Đối với viêm quanh cuống răng cấp tính: Răng phải chịu sang chấn mạnh, khiến các mạch máu ở cuống răng bị đứt. Khi có sự xâm nhập của vi khuẩn vào vùng này sẽ dẫn tới viêm quanh cuống.
– Đối với viêm quanh cuống răng mạn tính: Gây ra bởi các sang chấn nhẹ như sang chấn khớp cắn, sang chấn mún phụ, sang chấn do thói quen xấu như cắn chỉ, cắn đinh, nghiến răng,…. Các hoạt động này lặp lại liên tục và dẫn tới viêm quanh cuống mạn tính.
1.3 Do gặp sai sót trong điều trị răng miệng
Nguyên nhân gây nên bệnh lý này có thể do nha khoa có sai sót trong quá trình điều trị răng cho bệnh nhân từ trước, tiêu biểu như:
– Chất hàn thừa ra, trồi lên quá cao so với dáng răng ban đầu gây sang chấn khớp cắn.
– Điều trị tủy gặp sai sót:
+ Trong khi lấy tủy và làm sạch ống tủy, vô tình đẩy chất bẩn ra vùng cuống gây bội nhiễm.
+ Ống tủy bị tắc do các tác nhân như gãy dụng cụ hoặc bị tạo nút ngà mùn trong lòng ống tủy.
+ Lạc hướng gây thủng ống tủy.
– Lỗ cuống răng bị di chuyển hoặc xé rộng so với bình thường.
– Các dị vật như bột tan từ găng tay, sợi cellulose từ côn giấy,… hoặc các ổ nhiễm khuẩn bị đẩy vào vùng cuống răng trong quá trình điều trị.
– Vi khuẩn trong khoang tủy kháng lại các chất sát trùng xảy ra ở các răng điều trị tủy lại.
– Dùng thuốc sát khuẩn quá mạnh hoặc có tính kích thích mạnh tác động trực tiếp vào vùng cuống răng như Trioxymethylen.
2. Viêm cuống răng có nhiều cấp độ
Viêm cuống răng xảy ra do các thành phần mô quanh cuống răng bị sưng viêm, nhiễm khuẩn. Thủ phạm gây tổn thương nhiễm khuẩn là các vi khuẩn ái khí và yếm khí. Những vi khuẩn này xâm nhập từ mô tủy viêm hoặc mô nha chu viêm, tấn công vào mô quanh cuống răng, từ đó gây ra phản ứng viêm tại các thành phần này. Điểm nhận biết đặc trưng của bệnh là người bệnh sẽ thấy đau nhức răng, nhất là khi chạm vào, có cảm giác răng chồi cao và lung lay răng, sưng vùng lợi quanh răng với mức độ khác nhau, tùy thuộc vào từng tình trạng bệnh.
Để chẩn đoán chính xác bệnh lý này, sau khi khám các bác sĩ thường chỉ định thêm chụp X quang, ngoài ra xét nghiệm máu sẽ thấy lượng bạch cầu đa nhân trung tính tăng, máu lắng tăng…
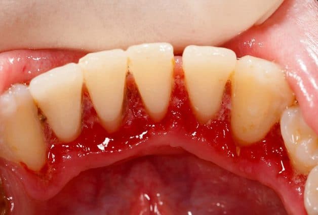
Sưng nề, tấy đỏ vùng quanh cuống răng là một biểu hiện đặc trưng của bệnh này
2.1. Viêm cuống răng bán cấp:
Đây là mức độ đầu tiên khi mắc bệnh, bệnh nhân thường xuyên cảm thấy khó chịu, đau đầu, khó chịu, không sốt hoặc sốt nhẹ dưới 38˚C cùng các biểu hiện đặc trưng:
– Đau liên tục và âm ỉ ở vị trí răng tổn thương, đau tăng khi 2 hàm chạm nhau, có cảm giác răng chồi cao.
– Hầu như không thấy sưng nề vùng da tương ứng với răng tổn thương. Có thể phát hiện có hạch nhỏ di động.
– Ngách lợi tại vị trí răng bị viêm sưng nề nhẹ, đỏ, hơi sưng, ấn đau.
– Màu răng có thể không thay đổi, cũng có thể chuyển sang màu xám.
– Các mặt răng có thể bị sâu.
– Răng có dấu hiệu lung lay độ 1, 2.
– Gõ vào răng theo chiều từ trên xuống đau hơn gõ ngang cạnh răng.
2.2. Viêm cuống răng cấp:
Người bị viêm cuống răng cấp thường sẽ có các biểu hiện sốt cao ≥ 38˚C, cơ thể mệt mỏi, có dấu hiệu của nhiễm trùng như lưỡi bẩn, môi khô, có thể có phản ứng hạch ở vùng dưới cằm, hàm. Các biểu hiện đặc trưng khác thường có chiều hướng nặng hơn so với viêm cuống răng bán cấp:
– Đau nhức răng liên tục dữ dội, lan lên đau nửa đầu, đau tăng cao khi nhai, thường ít đáp ứng với thuốc giảm đau, có thể tự xác định rõ vị trí răng bị đau.
– Cảm giác chồi răng khiến răng hàm trên dưới chưa chạm nhau hoàn toàn như khi cắn thì bệnh nhân đã thấy đau, không dám nhai.
– Vùng da ngoài tương ứng răng đang bị viêm sưng nề, đỏ, không rõ ranh giới, có hạch tại vị trí tương ứng, ấn vào đau.
– Răng có thể đổi màu hoặc không thay đổi.
– Khi khám sẽ thấy rõ tổn thương do sâu chưa được hàn hoặc những tổn thương khác không do sâu răng gây ra.
– Răng lung lay rõ rệt, thường ở độ 2 hoặc 3.
– Gõ vào răng theo chiều từ trên xuống thấy đau dữ dội.
– Niêm mạc ngách lợi tại vùng quanh cuống răng sưng nề, tấy đỏ, ấn đau, mô lợi lỏng lẻo.
2.3. Viêm cuống răng mạn tính:
Tình trạng này hay gặp ở bệnh nhân có tiền sử đau do viêm tủy cấp, viêm quanh cuống răng cấp hoặc bị áp xe quanh cuống cấp.
– Răng có biểu hiện đổi màu xám đục ở ngà răng ánh lên qua lớp men.
– Vùng ngách lợi tại vị trí cuống răng hơi nề, có lỗ rò tại vị trí tương ứng. Lỗ rò có thể không ở trong hốc miệng mà đôi khi ở ngoài da hoặc nền mũi tùy vào vị trí của nang và áp xe.
– Gõ vào răng không thấy đau hoặc chỉ đau nhẹ ở vùng cuống răng. Dấu hiệu này chỉ đúng khi xảy ra trong các đợt viêm cấp hoặc bán cấp của thể mạn tính.
– Răng có thể lung lay mạnh khi xương ổ răng bị tiêu đi nhiều.
– Chụp X quang có thể thấy hình ảnh ổ mủ.
3. Viêm quanh cuống răng và biến chứng nghiêm trọng
Bệnh viêm cuống chân răng nếu không được phát hiện sớm, điều trị kịp thời và đúng phương pháp phù hợp, bệnh có thể dẫn đến nhiều biến chứng phức tạp, ảnh hưởng trực tiếp tới sức khỏe người mắc. Biến chứng gồm 2 dạng là biến chứng tại chỗ và biến chứng toàn thân:
– Biến chứng tại chỗ là biến chứng có thể nhận thấy ngay khi đi thăm khám điều trị: viêm hạch và vùng quanh hạch, áp-xe vùng quanh cuống răng, viêm xương tủy.
– Biến chứng toàn thân là biến chứng tác động lên chức năng và ảnh hưởng đến các bộ phận khác trên cơ thể như gây bệnh tim mạch, gây đau nửa mặt như đau dây thần kinh V, viêm thận, viêm khớp, ngoài ra còn có nguy cơ gây sốt cao kéo dài, khó chẩn đoán chính xác bệnh bởi các xét nghiệm máu cơ bản như công thức máu không thấy có thay đổi, cấy máu âm tính…
4. Cách chữa viêm cuống răng phổ biến
Điều trị viêm quanh cuống răng dựa trên nguyên tắc loại trừ toàn bộ các mô nhiễm khuẩn và hoại tử trong ống tủy của răng bị bệnh. Tuy nhiên, tùy từng trường hợp viêm cuống cụ thể mà các bác sĩ sẽ có chỉ định phù hợp với tình trạng bệnh nhân.
Ngay từ khi mới có những dấu hiệu viêm quanh cuống răng để có biện pháp điều trị kịp thời và phù hợp
4.1. Điều trị viêm quanh cuống răng với kháng sinh toàn thân
– Đối với những thể bệnh gây đau đớn như viêm quanh cuống cấp, áp xe quanh cuống cấp, bác sĩ phải tiến hành điều trị viêm cuống răng cho bệnh nhân bằng kháng sinh toàn thân. Nhất là trong trường hợp bệnh nhân bị áp xe quanh cuống cấp kèm theo viêm mô tế bào, việc sử dụng kháng sinh là rất cần thiết.
– Đối với những răng bị viêm quanh cuống cấp hoặc bán cấp: cách điều trị sẽ là dẫn lưu buồng tủy. Sau đó sĩ sẽ chỉ định dùng kháng sinh có tác dụng với vi khuẩn yếm khí và Gram (-), kết hợp với thuốc giảm đau nhằm nâng cao thể trạng để tiến hành điều trị nội nha.
4.2. Điều trị nội nha cho bệnh nhân
Bước 1: Tiến hành làm sạch và tạo hình ống tủy.
Bước 2: Đặt Ca(OH)2 vào trong ống tủy với mục đích trung hòa mô viêm vùng cuống và sát khuẩn hệ thống ống tủy.
Bước 3: Hàn kín hệ thống ống tủy sau khi đã xử lý.
Bước 4: Thực hiện phục hồi thân răng bị viêm cuống.
Mục tiêu điều trị nội nha chủ yếu là dẫn lưu tốt mô viêm vùng cuống, hàn kín hệ thống ống tủy tại răng bị bệnh, từ đó tạo điều kiện cho mô cuống hồi phục. Trong trường hợp điều trị nội nha không đem lại kết quả khả quan, bác sĩ sẽ cân nhắc chỉ định phẫu thuật cắt cuống răng cho bệnh nhân.
4.3. Điều trị bằng phẫu thuật
Phẫu thuật là lựa chọn cuối cùng trong điều trị viêm quanh cuống răng, khi mà các biện pháp điều trị khác đều không đem lại kết quả như ý:
– Sau điều trị nội nha xuất hiện tổn thương quanh cuống răng, không thể phục hồi do nhiều nguyên nhân khác nhau.
– Sau khi đã được điều trị nội nha, theo dõi nhưng tổn thương cuống răng không có tiến triển tốt, lúc này bác sĩ phải tiến hành điều trị bằng phẫu thuật để lấy đi toàn bộ lớp vỏ nang,tùy vào tình trạng cụ thể, bác sĩ có thể cắt hoặt không cắt phần cuống răng nguyên nhân. Nếu cắt cuống răng thì sau đó bác sĩ phải tiến hành hàn ngược cuống răng.
Hi vọng rằng những thông tin được cung cấp trong bài viết đã giúp bạn đọc giải đáp thắc mắc “Viêm cuống răng do đâu? Chữa trị như thế nào?”. Để sức khỏe răng miệng được bảo vệ tốt nhất, bạn nên thăm khám với bác sĩ sớm, ngay từ khi mới có những dấu hiệu viêm quanh cuống răng để có biện pháp điều trị kịp thời và phù hợp.


















