Chữa viêm cuống răng có khó không?
Viêm cuống răng là bệnh rất dễ xảy ra do nhiều yếu tố và gây ảnh hưởng không nhỏ đến cuộc sống, công việc với những biểu hiện và biến chứng nghiêm trọng. Để ngăn chặn những rủi ro có thể xảy ra, cũng như bất kì bệnh lý răng miệng nói riêng và bệnh lý toàn thân nói chung, chúng ta cần phát hiện và chữa viêm cuống răng từ sớm một cách triệt để. Vậy chữa viêm cuống răng như thế nào? Để điều trị khỏi có khó không? Hãy cùng theo dõi bài viết dưới đây để có lời giải đáp rõ ràng nhé.
1. Dấu hiệu khi bị viêm cuống răng
Viêm cuống răng là tình trạng xảy ra khi phần mô xung quanh cuống răng bị tổn thương và xảy ra viêm nhiễm. Đây là dạng tổn thương có nhiễm khuẩn gây ra bởi các loại vi khuẩn ái khí và yếm khí. Những vi khuẩn có hại này luôn tồn tại trong khoang miệng của chúng ta, nhưng khi bị viêm tủy hoặc viêm nha chu, chúng sẽ phát triển nhiều hơn và dễ dàng xâm nhập từ mô bị viêm sang các mô quanh phần cuống của răng.

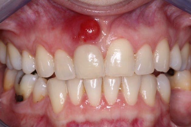
Tấy đỏ vùng lợi tương ứng răng viêm cuống là biểu hiện thường gặp
Viêm cuống răng được chia thành 3 loại gồm: viêm cuống răng cấp, viêm cuống răng bán cấp và viêm cuống răng mạn. 3 phân loại bệnh này có các biểu hiện gần như tương đồng nhưng khác nhau ở mức độ:
– Viêm cuống cấp: đau nhức răng tự nhiên, sốt cao ≥ 38˚C, mệt mỏi, có dấu hiệu của nhiễm trùng, có cảm giác chồi răng, răng lung lay mạnh, niêm mạc, lợi tương ứng vùng viêm bị sưng đỏ, ấn đau, mô lỏng lẻo.
– Viêm cuống bán cấp: đau liên tục và âm ỉ, sốt nhẹ dưới 38˚C hoặc không sốt, khó chịu và đau đầu, có cảm giác chồi răng, răng lung lay nhẹ, lợi tương ứng răng bị viêm tấy đỏ nhẹ, căng tức, ấn đau, có tổn thương sâu răng rõ
– Viêm cuống mạn: răng đổi màu xám đục, không sốt, răng có thể lung lay nếu bị tiêu xương, vùng lợi tương ứng có thể hơi nề và có lỗ rò.
2. Viêm cuống răng xảy ra do đâu?
Có nhiều nguyên nhân có thể dẫn đến tình trạng viêm cuống:
– Viêm tủy, hoại tử tủy khiến vi khuẩn sinh sôi, tấn công xuống vùng cuống răng.
– Viêm quanh răng cũng khiến tổn thương và vi khuẩn tăng cao, dễ dàng xâm nhập vào vùng cuống răng.
– Răng bị sang chấn mạnh làm đứt các mạch máu ở cuống răng, lúc này vi khuẩn xâm nhập vào gây viêm nhiễm.
– Các sang chấn nhẹ như sang chấn núm phụ, khớp cắn, tật nghiến răng, do thói quen xấu như cắn chỉ, cắn đinh… lặp đi lặp lại nhiều lần gây tổn thương quanh cuống, từ đó dẫn đến viêm quanh cuống.
– Do chất hàn thừa, chụp cao hơn răng ban đầu làm sang chấn khớp cắn.
– Sai sót trong điều trị tủy như tắc ống tủy, chất bẩn bị đẩy ra vùng cuống, lạc đường gây thủng ống tủy. lỗ cuống răng bị di chuyển hoặc xé rộng ra,…
– Dùng thuốc sát khuẩn quá mạnh trong quá trình điều trị răng.
3. Chữa viêm cuống răng có khó không?
Viêm cuống răng không phải chỉ là những cơn đau răng thông thường như khi sâu răng mà nó nghiêm trọng hơn nhiều do đã có sự viêm nhiễm xảy ra. Chính vì vậy người bệnh không nên chữa viêm cuống răng tại nhà với các công thức dân gian vì sẽ không đem lại hiệu quả, thậm chí có thể khiến tình trạng nhiễm trùng trở nên nặng hơn, nguy cơ biến chứng tăng cao:
– Áp xe quanh răng
– Viêm hạch, viêm xương tủy
– Biến chứng liên quan đến tim mạch, viêm thận, viêm khớp
– Đau nửa mặt giống đau dây thần kinh V, có thể dẫn đến sốt kéo dài

Biến chứng áp xe nướu
Khi thấy có một trong những dấu hiệu viêm cuống đã nêu bên trên, bạn nên đến các cơ sở nha khoa uy tín để được thăm khám và phát hiện bệnh. Thông thường, để xác định được tình trạng và đưa ra chẩn đoán chính xác, bác sĩ sẽ chỉ định chụp Xquang xương hàm trước khi đưa ra kết luận điều trị phù hợp:
– Đối với điều trị viêm cuống mạn, điều cần lưu ý là phải đảm bảo loại trừ toàn bộ các mô đã bị nhiễm khuẩn và hoại tử, bên cạnh đó cần hàn kín hệ thống ống tủy của răng, tạo điều kiện cho phần mô cuống hồi phục. Nếu tiên lượng điều trị nội khoa không đem lại hiệu quả, bác sĩ có thể chỉ định phẫu thuật cắt cuống răng.
– Đối với điều trị viêm cuống cấp hoặc bán cấp: bác sĩ cần dẫn lưu buồng tủy tốt, sau đó kết hợp giảm đau và kháng sinh để nâng cao thể trạng trước khi tiến hành điều trị nội nha.
4. Các cách chữa viêm cuống răng tại nha khoa
4.1. Chữa viêm cuống răng bằng cách điều trị toàn thân
Đối với những trường hợp viêm cuống gây đau đớn như viêm cuống cấp, áp xe cuống cấp, cần phải điều trị bằng sử dụng kháng sinh toàn thân, đặc biệt là khi bệnh nhân bị áp xe quanh cuống cấp và viêm mô tế bào.
4.2. Chữa viêm cuống răng bằng điều trị nội nha

Chữa viêm cuống răng nội nha cần lựa chọn cơ sở uy tín
Điều trị nội nha chữa viêm cuống răng sẽ trải qua các bước cơ bản sau:
– Làm sạch và tạo hình lại hệ thống ống tủy.
– Đặt chất Ca(OH)2 trong ống tủy để trung hòa mô viêm vùng cuống và sát khuẩn toàn bộ hệ thống ống tủy.
– Hàn kín lại hệ thống ống tủy đã điều trị.
– Thực hiện các phương pháp phục hồi thân răng theo nhu cầu của người bệnh.
4.3. Chữa viêm cuống răng bằng cách phẫu thuật
Không phải bất cứ trường hợp viêm cuống răng nào cũng cần điều trị bằng phẫu thuật, một số trường hợp cần điều trị bằng phẫu thuật bao gồm:
– Sau điều trị nội nha vẫn có tổn thương quanh cuống răng không thể phục hồi do nhiều nguyên nhân.
– Sau khi răng nguyên nhân và răng ảnh hưởng đều được điều trị nội nha nhưng tổn thương vùng cuống không có tiến triển tốt. Lúc này việc tiến hành phẫu thuật lấy toàn bộ vỏ nang đồng thời có thể cắt hoặc không cắt phần cuống. Nếu thực hiện cắt cuống răng, bác sĩ sẽ tiến hành thêm bước hàn ngược cuống răng.
5. Các biện pháp ngừa viêm quanh cuống răng đơn giản
Không phải mọi nguyên nhân viêm quanh cuống răng đều do việc chăm sóc răng hàng ngày không tốt gây nên, tuy nhiên chúng ra vẫn nên thực hiện tốt việc chăm sóc răng của mình trong cả quá trình ăn uống và vệ sinh răng, để hạn chế tối đa các nguy cơ có thể gây bệnh:
– Hạn chế ăn các thực phẩm chứa nhiều đường, tinh bột, có đặc điểm kéo, dính vào răng. Không ăn vặt, ngậm kẹo trước khi đi ngủ mà không vệ sinh lại răng miệng.
– Vệ sinh răng miệng cẩn thận: Chải răng đúng cách đều đặn, sử dụng chỉ tơ nha khoa để làm sạch kẽ răng kết hợp dùng nước súc miệng loại bỏ vi khuẩn.
– Nên sử dụng kem đánh răng có fluor, súc miệng nước fluor 0.2% mỗi tuần một lần, bôi verni fluor, tuy nhiên cần sử dụng theo hướng dẫn của nha sĩ.
– Điều trị sớm khi phát hiện ra sâu răng, lấy cao răng định kỳ 3-4 tháng/lần, khám răng mỗi 6 tháng để phát hiện các bệnh lý của răng và chữa trị kịp thời.
Tóm lại, bệnh viêm cuống răng có thể khiến người bệnh rất khó chịu, tuy nhiên không nên tự chữa trị tại nhà với mong muốn giảm đau tạm thời vì có thể dẫn đến nhiều biến chứng ảnh hưởng đến sức khỏe răng miệng nói riêng và sức khỏe tổng thể nói chung. Nếu bạn đang có dấu hiệu của bệnh viêm quanh cuống thì Nha khoa Thu Cúc TCI với đội ngũ bác sĩ chuyên môn cao và hệ thống trang thiết bị hiện đại chính là địa chỉ uy tín sẽ giúp bạn chữa viêm cuống răng hiệu quả và triệt để một cách an toàn.