Viêm chân răng sau sinh: nguyên nhân và cách chữa
Viêm chân răng sau sinh khiến các mẹ khó chịu, đau nhức, chảy máu chân răng,…ảnh hưởng đến ăn uống và giảm chất lượng sữa cho con bú. Chính vì thế, viêm nướu răng sau sinh không nên lơ là mà cần điều trị sớm khi xuất hiện những triệu chứng đầu tiên. Vậy nguyên nhân gây viêm chân răng sau sinh này do đâu? Cách xử lý chân răng viêm này ra sao? Trong bài viết dưới đây, Thu Cúc TCI sẽ giải đáp những câu hỏi và thắc mắc đó ngay nhé.
1. Nguyên nhân dẫn đến viêm chân răng sau sinh
Bệnh viêm chân răng sau sinh hay còn gọi là viêm nướu răng hoặc viêm lợi. Bệnh viêm chân răng thường phát triển dễ dàng trong giai đoạn mang thai và tiếp tục kéo dài sau khi con chào đời. Thậm chí kéo dài viêm nướu tới thời kỳ cho con bú. Nguyên nhân dẫn đến tình trạng này là khi phụ nữ mang thai đã gặp các vấn đề:
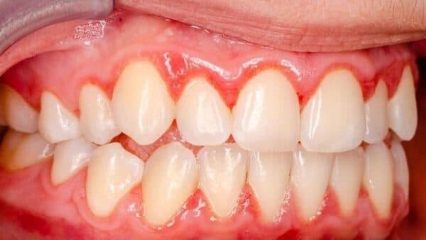
Viêm nướu sau sinh khiến nướu sưng đỏ và dễ chảy máu (minh họa).
– Sự tăng cao đột ngột của hormone progesterone trong cơ thể khi mang thai tạo môi trường thuận lợi cho vi khuẩn. Khi ấy, mảng bám phát triển mạnh trên nướu răng, gây ra viêm chân răng ở phụ nữ mang thai.
– Chế độ ăn uống không cân đối có thể làm giảm lượng canxi và tăng cường lượng đường trong cơ thể. Điều đó, có thể ảnh hưởng đến sức khỏe tổng thể của cả mẹ và thai nhi, và dẫn đến viêm nướu ở phụ nữ mang thai.
– Sự phát triển của vi khuẩn trong mảng bám trên bề mặt răng, đặc biệt là mảng bám trên răng cứng. Chúng được biết là khó tạo sạch thông qua việc chăm sóc răng miệng hàng ngày.
Tình trạng viêm nướu sau khi sinh có thể nặng hoặc nhẹ tùy thuộc vào tình trạng nướu của bạn trong thời gian mang thai. Do việc điều trị nha khoa trong thời kỳ thai nghén cần được hạn chế. Vì thế nếu bạn có bất kỳ triệu chứng nào liên quan đến viêm nướu nên tìm kiếm lời khuyên từ bác sĩ về cách ngăn ngừa và xử lý vấn đề một cách kịp thời.
2. Dấu hiệu của bệnh viêm chân răng sau sinh
Các triệu chứng thường gặp của bệnh viêm chân răng bao gồm việc nướu lợi sưng đỏ và dễ chảy máu khi chải răng. Ngoài những triệu chứng này, bệnh có thể diễn biến khác nhau tùy thuộc vào giai đoạn của viêm lợi sau sinh, bao gồm:
2.1 Giai đoạn ban đầu
Trong giai đoạn này, nướu lợi thường sưng to đột ngột và có xu hướng chảy máu dưới áp lực từ bàn tay khi chải răng. Mùi miệng có thể trở nên khá khó chịu. Mặc dù có thể gây ra đau nhức, nướu lợi vẫn bám chặt vào răng.
Người bệnh nên tới gặp bác sĩ để kiểm tra tình trạng răng miệng và điều trị viêm nướu sớm nhất có thể.
2.2 Giai đoạn nặng
Nếu không được điều trị kịp thời, bệnh viêm lợi sau sinh có thể diễn biến xấu hơn. Trong giai đoạn này, lớp nướu lợi bên trong và xương hàm có thể bị đẩy lùi ra phía sau. Từ đó, tạo nên nhiều khe hở xung quanh răng. Những khe hở này dễ dàng tích tụ mảng bám và mảnh thức ăn, dẫn đến viêm nhiễm kéo dài, thậm chí có thể dẫn đến viêm nha chu.
Nướu lợi trong giai đoạn này vẫn tiếp tục sưng đỏ, chảy máu và nhức cực kỳ khó chịu. Trong một số trường hợp, viêm lợi kéo dài có thể gây ra tụt lợi, làm lợi lùi sâu vào xương hàm, gây hủy hoại nghiêm trọng xương hàm và dẫn đến tình trạng răng lỏng lẻo và dễ bị gãy rụng.
3. Tác động của bệnh viêm lợi sau sinh
Bệnh viêm lợi sau sinh không chỉ gây khó ăn nhai mà còn giảm lượng sữa mẹ. Nguy hiểm nhất là viêm lợi còn tiềm ẩn nhiều biến chứng đáng lo ngại. Khi tình trạng viêm lợi kéo dài, vi khuẩn viêm nhiễm có thể lan rộng từ nướu xuống các cấu trúc xơ và xương (gọi là bệnh viêm nha chu). Khi xương hàm bị tổn thương và tiêu biến, răng trở nên lung lay và rụng hàng loạt.
Hơn nữa, một số nghiên cứu đã chỉ ra rằng viêm lợi, có thể dẫn đến bệnh viêm nha chu. Thậm chí, có thể tăng nguy cơ mắc bệnh đột qụy, bệnh tim mạch hoặc bệnh phổi. Trường hợp người đã mắc các bệnh lý như bệnh tim mạch hoặc tiểu đường, nguy cơ sẽ cao hơn. Vi khuẩn từ nướu có thể xâm nhập vào hệ tuần hoàn máu, gây tăng đường huyết. Từ đó, tăng khả năng mắc bệnh tim mạch, có thể đe dọa tính mạng của người bệnh.
4. Cách điều trị bệnh viêm chân răng ở phụ nữ sau sinh
Viêm nướu sau sinh xuất phát từ tình trạng sức khỏe răng miệng trong thời kỳ mang thai. Trong giai đoạn này, việc quan tâm đến sức khỏe răng miệng là điều cực kỳ quan trọng. Cụ thể bao gồm việc duy trì sạch sẽ khoang miệng và chế độ ăn uống đáp ứng đủ dinh dưỡng cho cả mẹ và thai nhi.
Răng bị viêm nướu so với răng bình thường có sự khác biệt rõ rệt về màu sắc (minh họa).
Nếu bạn phát hiện mình mắc bệnh viêm nướu sau khi sinh, hãy thăm bác sĩ nha khoa sớm. Điều trị bệnh viêm lợi và viêm nướu liên quan đến việc loại bỏ mảng bám và vi khuẩn gây hại trong khoang miệng. Bác sĩ sẽ điều trị viêm thông qua vệ sinh và tẩy răng. Phương pháp này rất an toàn cho các bà mẹ, không đòi hỏi sử dụng thuốc. Điều đó tức là không có tác động gì đến chất lượng sữa mẹ cho con.
Việc lấy cao răng thường diễn ra nhanh chóng, chỉ trong khoảng 15 – 30 phút. Thậm chí 1 tiếng, tùy thuộc vào tình trạng mảng bám và viêm lợi của mẹ. Việc sử dụng công nghệ hiện đại, quá trình này diễn ra nhẹ nhàng, không gây đau đớn. Thậm chí cũng không xâm phạm vào cấu trúc của răng và nướu. Sau điều trị, nướu sẽ hồi phục và trở nên khỏe mạnh hơn, đảm bảo sức khỏe răng miệng của bạn và sự an toàn của bé.
5. Cách chăm sóc răng miệng tránh viêm nướu cho phụ nữ sau khi sinh
Để ngăn viêm nướu sau sinh và đảm bảo răng miệng khỏe mạnh, việc chăm sóc răng miệng đúng cách trong giai đoạn này là quan trọng. Viêm chân răng có thể do vi khuẩn và nó cũng có thể được truyền cho con. Dưới đây là một số lời khuyên về việc chăm sóc răng miệng chuẩn sau sinh:
– Chọn bàn chải lông mềm và đánh răng nhẹ nhàng để tránh làm tổn thương nướu.
– Súc miệng bằng nước muối sinh lý hoặc nước muối ấm pha loãng sau khi ăn hoặc sau đánh răng.
– Sử dụng chỉ nha khoa thay vì tăm xỉa răng để loại bỏ mảng bám còn sót lại trên răng.
– Kiểm tra răng định kỳ bằng cách đến nha khoa để phát hiện sớm và điều trị đúng.
– Bổ sung dinh dưỡng bằng cách ăn nhiều trái cây và rau có chứa canxi, vitamin C và K.
– Hạn chế thức ăn và đồ uống quá nóng hoặc quá lạnh và tránh ăn thực phẩm quá chua cay.
– Tăng cường sử dụng rau quả tươi để giúp làm sạch răng miệng hiệu quả.
Việc chăm sóc răng miệng đúng cách sau khi sinh là quan trọng để duy trì sức khỏe răng miệng và ngăn ngừa các vấn đề về răng và nướu.
Hy vọng những thông tin về nguyên nhân và cách chữa viêm chân răng sau sinh hữu ích với bạn đọc. Khi thấy có dấu hiệu viêm chân răng, hãy đi khám và điều trị ngay từ sớm bạn nhé.
















