Dấu hiệu bệnh viêm chân răng ở trẻ em
Viêm chân răng là bệnh rất dễ mắc phải do thói quen vệ sinh răng miệng không đúng cách, vi khuẩn tích tụ gây nên tình trạng viêm nhiễm. Bệnh mang lại những cơn đau nhức, khó chịu. Nếu đối tượng mắc là trẻ em thì sẽ ảnh hưởng rất lớn đến thể trạng của trẻ khi viêm chân răng khiến trẻ đau răng, khó ăn, chán ăn. Bệnh viêm chân răng ở trẻ em nếu không được xử lý kịp thời sẽ ảnh hưởng đến cả quá trình phát triển hàm răng trọn vẹn của trẻ ở tương lai.
Trẻ em rất dễ mắc viêm chân răng do nhiều nguyên nhân.
1. Hiểu về bệnh viêm chân răng
Viêm chân răng là trạng thái nướu răng hình thành các ổ áp xe có mủ hoặc không do vi khuẩn gây hại. Nướu răng bình thường có màu hồng, nướu răng khi đã viêm có thể chuyển sang màu đỏ thẫm. Bệnh là hậu quả của bệnh viêm lợi khi không được điều trị kịp thời.
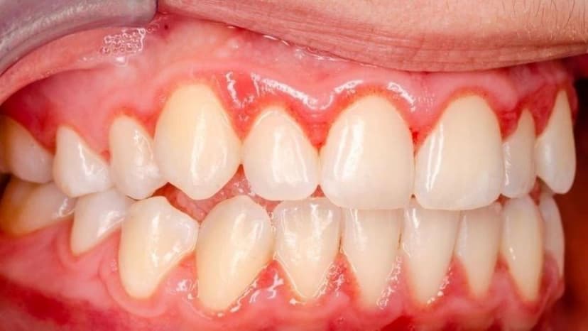
2. Dấu hiệu bệnh viêm chân răng ở trẻ em
Bệnh viêm chân răng có các dấu hiệu rất dễ nhận biết, bố mẹ có thể nhận biết bệnh thông qua các biểu hiện bất thường như:
– Chú ý khi trẻ có biểu hiện lấy tay ôm má, cho tay sờ vào lợi. Có thể các bọc mủ đang hình thành khiến trẻ bị đau nhức, khó chịu, sưng lợi, sưng má và muốn ấn cho chảy mủ để giảm cơn đau tức.
– Quan sát lợi của trẻ thấy sưng tấy đỏ, ấn vào thấy mềm
– Trẻ thường xuyên bị chảy máu chân răng khi đánh răng, ăn uống là một dấu hiệu đáng ngờ
– Khi tiến triển đến giai đoạn nặng, lợi trẻ có dấu hiệu tụt. Bố mẹ có thể tự kiểm tra dấu hiệu này.
– Nếu để bệnh tiến triển nghiêm trọng thì răng trẻ có thể bị lộ chân, ê buốt, đau đớn. Tình trạng viêm còn có thể lan sang các chân răng khác.
Các biểu hiện bệnh ảnh hưởng ít nhiều đến quá trình ăn uống thường ngày của trẻ, lâu dài còn ảnh hưởng đến ổ xương răng và răng. Tuy nhiên, nhiều trẻ không tự nói ra được các biểu hiện khi khó chịu. Vì vậy, bố mẹ cần cực kỳ chú ý để phát hiện bệnh từ giai đoạn sớm giúp bảo tồn hàm răng của trẻ. Trường hợp xấu, trẻ có thể phải nhổ bỏ răng khi tình trạng viêm nhiễm đã quá nặng.
Trẻ em bị viêm chân răng có mủ có thói quen đưa tay ôm má.
3. Nguyên nhân dẫn đến bệnh ở trẻ
Trẻ em có thể mắc bệnh viêm chân răng do các yếu tố như:
– Vi khuẩn là tác nhân điển hình nhất. Khoang miệng không được vệ sinh sạch sẽ sẽ trở thành ổ cho vi khuẩn trú ngụ. Các vi khuẩn có thể tồn tại ở mọi nơi, điển hình như cao răng, vùng lưỡi, các kẽ răng. Trẻ em không được chú ý hướng dẫn và theo sát việc vệ sinh răng miệng có nguy cơ cao mắc các bệnh lý răng miệng.
– Chế độ ăn nghèo nàn, thiếu canxi khiến răng trẻ yếu hơn
– Chế độ ăn không lành mạnh, thường xuyên tiêu thụ đồ ăn nhanh, nhiều đường, nước có gas tạo điều kiện thuận lợi cho vi khuẩn sinh sôi, hình thành các mảng bám gây hại
– Trẻ bị suy giảm miễn dịch do các nguyên nhân: bệnh lý hoặc thuốc
– Trẻ đang trong quá trình thay răng, mọc răng
Có rất nhiều nguyên nhân khiến trẻ mắc viêm chân răng. Nhưng để giảm nguy cơ mắc bệnh, bố mẹ hãy chú ý hơn đến vấn đề vệ sinh răng miệng hàng ngày của trẻ.
4. Điều trị dứt điểm bệnh
Viêm chân răng có biểu hiện gần tương đồng với viêm nướu và có các biểu hiện bệnh trên nướu. Nếu không chữa trị kịp thời cho trẻ, khi bước vào độ tuổi thanh thiếu niên và trưởng thành, bệnh có thể tiến triển thành bệnh viêm nha chu. Việc điều trị bệnh cần đảm bảo:
– Thuyên giảm triệu chứng khó chịu, đảm bảo chức năng ăn nhai được bình thường
– Bảo tồn chân răng bị viêm, ngăn chặn ảnh hưởng đến các chân răng khác
– Tiêu diệt triệt để ổ viêm bằng nhiều biện pháp
Trẻ có thể được bác sĩ chỉ định sử dụng thuốc khi tình trạng viêm còn nhẹ. Các loại thuốc kháng viêm, kháng sinh được dùng theo đơn của bác sĩ, tuyệt đối không tự ý mua thuốc điều trị cho trẻ. Bên cạnh đó, trẻ có thể được sử dụng một số loại thuốc bôi tại chỗ giúp giảm tình trạng sưng nề nướu. Bố mẹ có thể hỗ trợ trẻ nhưng cần rửa tay sạch sẽ trước khi bôi thuốc. Song song dùng thuốc, trẻ có thể sử dụng một số loại nước súc miệng giúp làm sạch khoang miệng tốt hơn.
Chú ý đưa trẻ đến gặp bác sĩ để được điều trị bệnh kịp thời.
Nếu tình trạng viêm nặng nề hơn, trẻ có thể được chỉ định chích rạch bọc mủ. Ngoài ra, bác sĩ có thể tiến hành lấy tủy răng và phục hình răng cho trẻ. Bố mẹ có thể yên tâm vì phương pháp này hoàn toàn an toàn. Bên cạnh đó, các biện pháp làm sạch chân răng là cần thiết để loại bỏ tối đa vi khuẩn. Trường hợp xấu, bác sĩ có thể chỉ định nhổ bỏ răng viêm nặng hoặc răng liên quan.
5. Phòng tránh bệnh, bảo vệ răng cho trẻ
Bố mẹ có thể chủ động phòng tránh bệnh cho trẻ bằng các biện pháp đơn giản như:
– Theo sát việc vệ sinh răng miệng hàng ngày của trẻ. Đảm bảo trẻ chải răng và vệ sinh răng đầy đủ. Bố mẹ có thể kiểm tra sau khi con vệ sinh răng miệng khi con còn nhỏ và dần để con tự lập.
– Luôn chú ý quan sát đến các biểu hiện bất thường dù là nhỏ nhất. Viêm chân răng có thể đem đến các cơn sốt nhẹ nhưng không vì thế mà bố mẹ chủ quan. Khi kiểm tra, bố mẹ hãy nhớ đừng bỏ qua hàm răng của con.
– Chú ý không cho trẻ đưa tay vào miệng. Vi khuẩn có thể từ tay của con vào khoang miệng, gây hại cho răng miệng.
– Lựa chọn những loại kem đánh răng, nước súc miệng phù hợp giúp bảo vệ men răng của trẻ
– Đảm bảo kẽ răng được làm sạch
– Chú ý đến chế độ ăn của trẻ. Bố mẹ cần hạn chế đến mức tối đa đồ ăn, đồ uống nhiều đường, có gas vì chúng sẽ là môi trường cho vi khuẩn ăn mòn men răng.
– Bổ sung thực phẩm giàu canxi vào chế độ ăn của trẻ từ những năm tháng đầu đời
Trẻ em cần gấp đôi sự chăm sóc. Các con không chỉ cần học được cách tự chăm sóc bản thân mà còn cần sự đồng hành và hỗ trợ từ bố mẹ. Bố mẹ hãy chú ý đến các biểu hiện bất thường của con để có thể giúp con được chữa trị sớm. Để phòng tránh tối đa bệnh viêm chân răng và các bệnh lý răng miệng khác, bố mẹ hãy chú ý cho trẻ đi khám nha khoa định kỳ 6 tháng/lần. Lựa chọn Nha khoa Thu Cúc TCI để chăm sóc sức khỏe con được tốt hơn, toàn diện hơn.
















