Tụt lợi chân răng, có thể phục hồi lại?
Hiện nay, không ít người gặp phải tình trạng tụt lợi chân răng. Vấn đề này gây ra nhiều phiền toái, khó khăn cho người bệnh trong sinh hoạt hàng ngày. Và thậm chí nếu không được điều trị phù hợp, bệnh có thể dẫn tới những biến chứng nguy hiểm. Vậy sau khi bị tụt lợi có thể phục hồi lại không? Đâu là phương pháp tối ưu nhất cho vấn đề?
1. Tổng quan về tụt lợi chân răng
1.1 Thế nào là tình trạng tụt lợi chân răng?
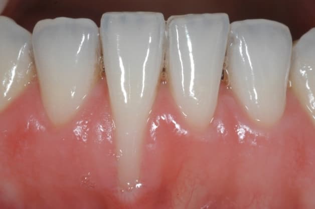
Khi bị tụt lợi, phần chân răng của người bệnh thường có cảm giác bị dài ra nhưng thực chất là do phần lợi bị khuyết thiếu
Tụt lợi là một trong những bệnh lý rất phổ biến về răng miệng trong những năm gần đây. Đây là tình trạng khi các mô lợi ở xung quanh răng bị viêm, lão hóa…co lại. Chúng hạ thấp xuống, phần xi măng tạo sự liên kết giữa chân răng. Từ đó, bề mặt chân răng bị lộ ra. Do đó, khi bị tụt lợi, phần chân răng của người bệnh thường có cảm giác bị dài ra. Tuy nhiên thực tế, đó là do phần lợi bị khuyết thiếu.
Khi bị tụt nướu, bệnh nhân sẽ thường cảm thấy ê buốt khi ăn uống. Thức ăn sẽ dễ bị mắc lại ở kẽ chân răng. Lâu ngày, điều này sẽ khiến vi khuẩn xâm nhập, phát triển gây nên nhiều bệnh lý về răng miệng khác.
Ngoài ra, khi không còn được bao bọc bởi nướu, cổ răng và chân răng sẽ dễ bị tổn thương. Chúng dễ bị mài mòn do quá trình vệ sinh răng miệng hoặc lượng axit có trong thức ăn hàng ngày.
1.2 Nguyên nhân gây tụt lợi
Có rất nhiều nguyên nhân dẫn tới tình trạng tụt nướu:
1.2.1 Tình trạng sức khỏe răng miệng yếu kém
Khi răng miệng bị tích tụ nhiều mảng bám lâu ngày sẽ khiến vi khuẩn có cơ hội phát triển. Điều này khiến phần lợi bao bọc quanh răng dễ bị viêm nhiễm. Tình trạng này nếu không được điều trị kịp thời sẽ dễ dẫn tới nhiều hậu quả nghiêm trong như hư hại nướu, viêm nha chu, …
1.2.2 Vệ sinh răng miệng quá mạnh
Việc ý thức cần vệ sinh răng miệng kỹ càng là điều rất tốt. Tuy nhiên, không phải cứ chải càng mạnh, càng lâu, vệ sinh răng miệng càng được đảm bảo. Ngược lại, những hành động này có thể khiến răng bị tổn hại, nguy cơ mòn men răng, tổn thương lợi.
1.2.3 Yếu tố di truyền
Nhiều lúc, những vấn đề răng miệng có thể bắt nguồn từ yếu tố di truyền. Khi bố mẹ hoặc người thân có tiền sử về tụt nướu, nguy cơ bản thân mắc bệnh cũng sẽ cao hơn.
1.2.4 Thói quen xấu
Rất nhiều trường hợp, những vấn đề răng miệng bắt nguồn từ chính thói quen hàng ngày. Ví dụ như việc nghiến răng hay cắn răng quá chặt mà còn gọi là chứng nghiến răng. Đây là thói quen của nhiều người và cũng là yếu tố gây nên các vấn đề nha khoa bao gồm tụt lợi. Khi nghiến răng, một lực mạnh sẽ tác động và lâu ngày sẽ gây mòn nướu răng.
1.2.5 Sự thay đổi hormone
Sự thay đổi hormone này thường diễn ra ở phụ nữ. Trong cuộc đời sẽ có những giai đoạn phụ nữ trải qua quá trình thay đổi hormone mạnh mẽ. Điển hình là thời điểm mang thai và mãn kinh. Và trong những giai đoạn thay đổi tự nhiên này, phụ nữ sẽ rất dễ mắc phải các bệnh lý về nướu răng.
1.2.6 Hút thuốc lá
Khi hút nhiều thuốc lá, người hút sẽ bị ảnh hưởng, suy yếu hệ thống miễn dịch. Và đặc biệt, dòng chảy của tuyến nước bọt sẽ bị ức chế dẫn tới hình thành nhiều hơn những mảng bám ở khoang miệng. Bên cạnh đó các chất hóa học trong thuốc lá gây ảnh hưởng xấu tới quá trình vận mạch của lợi. Từ đó, răng miệng sẽ có nguy cơ mắc nhiều các bệnh lý, trong đó có tụt nướu.
2. Những ảnh hưởng của tụt lợi
Tình trạng tụt lợi nếu không được phát hiện sớm và điều trị kịp thời sẽ gây ra nhiều hậu quả nghiêm trọng. Những hậu quả này tác động vào cả tính thẩm mỹ và sức khỏe của người bệnh.
2.1 Ảnh hưởng tính thẩm mỹ
Răng bị tụt nướu sẽ thường dài hơn so với những răng còn lại. Bên cạnh đó, phần lợi bị hở rộng khiến thức ăn dễ mắc vào hơn. Điều này khiến hàm răng bị mất thẩm mỹ, gây trở ngại trong giao tiếp và khiến người bệnh kém tự tin hơn.
2.2 Nguy cơ bị mất răng
Tình trạng tụt lợi chân răng nếu không khắc phục sớm sẽ là mối nguy hại với cấu trúc xương răng. Phần cấu trúc xương răng cũng như các mô lợi sẽ chịu tổn thương nghiêm trọng. Từ đó, nguy cơ cao người bệnh sẽ bị mất răng.
2.3 Răng nhạy cảm hơn
Tụt nướu khiến cho phần ngà răng lộ ra bên ngoài nhiều hơn. Điều này khiến cho răng của người bệnh nhạy cảm hơn, gây cảm giác ê buốt, khó chịu. Đặc biệt là khi sử dụng những đồ uống quá nóng, quá lạnh, chua, ngọt, … Tình trạng nghiêm trọng hơn, ngay cả khi người bệnh chải răng hay hít không khí cũng thấy ê buốt, khó chịu.
3. Tụt lợi chân răng có thể phục hồi lại không?
Trường hợp tụt lợi nhẹ, ta chỉ cần thay đổi một số thói quen chăm sóc răng miệng là có thể khắc phục
Thực tế, khi mô nướu đã tụt khỏi răng thì không thể hồi phục hoàn toàn lại như trước. Thế nhưng, vẫn có một số cách giúp cải thiện tình trạng này.
Đầu tiên, người bệnh cần tới gặp bác sĩ để xác định tình trạng bệnh. Với những trường hợp tụt lợi nhẹ, ta chỉ cần thay đổi một số thói quen chăm sóc răng miệng. Ví dụ như chải răng nhẹ nhàng hơn theo vòng tròn, đổi loại bàn chải, làm sạch vôi răng, … Tuy nhiên, với những trường hợp bệnh nặng, bệnh nhân sẽ cần được can thiệp các thủ thuật nha khoa để giải quyết triệt để. Điển hình là phẫu thuật ghép nướu.
Trong trường hợp cần thiết, bác sĩ sẽ chỉ định phẫu thuật ghép nướu để điều trị
Trong trường hợp nướu bệnh nhân bị tụt trầm trọng, bác sĩ sẽ chỉ định phẫu thuật ghép nướu. Cụ thể, trong quá trình phẫu thuật, một mảnh nhỏ mô nướu sẽ được bác sĩ lấy ra từ vị trí khác. Mảnh mô nướu này sẽ được dùng để che lại những vùng chân răng bị lộ. Việc phẫu thuật này giúp ngăn ngừa nguy cơ bị tiêu xương hoặc tình trạng tụt lợi thêm trầm trọng. Đồng thời, phương pháp này cũng có thể hỗ trợ bảo vệ phần chân răng khi bị lộ do bệnh lý sâu răng.
Vừa rồi, chúng ta đã tìm hiểu những thông tin tổng quan về tình trạng tụt lợi. Hy vọng những thông tin này sẽ có ích và giúp người đọc có thêm kiến thức để bảo vệ sức khỏe răng miệng của bản thân cũng như gia đình.


















