Tình trạng viêm nướu tụt lợi: Nguyên nhân và điều trị
Viêm nướu tụt lợi là một trong những vấn đề răng miệng phổ biến mà nhiều người gặp phải. Tình trạng này không chỉ gây ra những khó chịu trong sinh hoạt hàng ngày. Nếu không được xử trí sớm có khả năng sẽ gây ra những nguy cơ về biến chứng. Bài viết này sẽ cung cấp cho bạn những thông tin chi tiết về nguyên nhân, triệu chứng, cách phòng ngừa và điều trị viêm nướu tụt lợi hiệu quả.
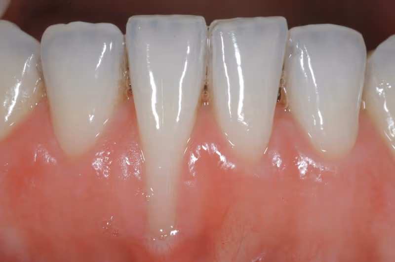
1. Viêm nướu tụt lợi là gì?
1.1. Định nghĩa về tình trạng viêm nướu tụt lợi
Viêm nướu kèm tụt lợi là tình trạng viêm nhiễm và sưng tấy của mô nướu, kèm theo hiện tượng tụt lợi, làm lộ ra phần chân răng. Đây là một dạng bệnh nha chu phổ biến, có thể gây ra nhiều biến chứng nghiêm trọng nếu không được điều trị đúng cách và kịp thời.
1.2. Các giai đoạn của viêm nướu tụt lợi
Viêm nướu và tụt lợi thường diễn ra qua ba giai đoạn chính:
– Giai đoạn đầu: Viêm nướu nhẹ, nướu có dấu hiệu sưng đỏ và dễ chảy máu khi đánh răng.
– Giai đoạn tiến triển: Viêm nướu trở nên nghiêm trọng hơn, nướu bắt đầu tụt xuống và lộ ra phần chân răng.
– Giai đoạn nặng: Nướu tụt mạnh, lộ ra phần chân răng nhiều hơn, có thể gây ra tình trạng ê buốt và lung lay răng.
Để càng lâu thì tình trạng này sẽ càng trở nên nghiêm trọng hơn.
2. Nguyên nhân gây ra tình trạng
Có nhiều nguyên nhân có thể dẫn đến tình trạng viêm nướu đi kèm tụt lợi. Hiểu rõ về các nguyên nhân này sẽ giúp bạn phòng ngừa và điều trị bệnh hiệu quả hơn.
2.1. Vệ sinh răng miệng kém
Đây là nguyên nhân phổ biến nhất gây ra viêm nướu kèm tụt lợi. Khi bạn không vệ sinh răng miệng đúng cách và thường xuyên, mảng bám và vi khuẩn sẽ tích tụ trên bề mặt răng và dưới nướu. Điều này tạo điều kiện thuận lợi cho vi khuẩn phát triển, gây viêm nhiễm và tổn thương nướu.
2.2. Hút thuốc lá
Sức khỏe tổng thể hay sức khỏe răng miệng đều có thể ảnh hưởng khi bạn hút thuốc lá. Nicotine trong thuốc lá làm giảm lưu lượng máu đến nướu, khiến nướu dễ bị viêm nhiễm và tụt. Ngoài ra, hút thuốc lá còn làm giảm khả năng chống lại vi khuẩn của cơ thể, tạo điều kiện cho viêm nướu phát triển.
2.3. Căng thẳng tâm lý và sức khỏe
Stress kéo dài có thể làm suy yếu hệ miễn dịch, khiến cơ thể khó chống lại các tác nhân gây viêm nhiễm, trong đó có viêm nướu. Ngoài ra, một số bệnh lý như tiểu đường, HIV/AIDS cũng có thể làm tăng nguy cơ mắc viêm nướu kèm tụt lợi.
2.4. Sử dụng thuốc
Một số loại thuốc có thể gây ra tác dụng phụ là làm khô miệng, giảm tiết nước bọt. Điều này làm giảm khả năng bảo vệ tự nhiên của miệng đối với vi khuẩn, tăng nguy cơ viêm nướu và tụt lợi.
Có nhiều nguyên nhân chính gây ra tình trạng tụt lợi viêm nướu.
2.5. Yếu tố di truyền
Một số người có thể có xu hướng mắc viêm nướu do yếu tố di truyền. Nếu trong gia đình bạn có người bị viêm nướu, bạn cũng có thể có nguy cơ cao mắc bệnh này.
3. Triệu chứng của viêm nướu tụt lợi
Nhận biết sớm các triệu chứng của viêm nướu tụt lợi sẽ giúp bạn có biện pháp can thiệp kịp thời, ngăn chặn sự tiến triển của bệnh.
Nướu sưng đỏ và dễ chảy máu. Đây là dấu hiệu đầu tiên và phổ biến nhất của viêm nướu. Nướu răng của bạn có thể trở nên đỏ, sưng và dễ chảy máu khi đánh răng hoặc khi ăn thức ăn cứng.
Hơi thở có mùi. Viêm nướu thường đi kèm với mùi hôi miệng khó chịu do vi khuẩn tích tụ trong khoang miệng.
Nướu bị tụt. Khi bệnh tiến triển, bạn có thể nhận thấy nướu răng bắt đầu tụt xuống, làm lộ ra phần chân răng. Điều này có thể gây ra cảm giác ê buốt khi tiếp xúc với thức ăn nóng hoặc lạnh.
Răng lung lay. Trong giai đoạn nặng, tình trạng này có thể làm cho răng trở nên lung lay do mất đi sự hỗ trợ từ nướu và xương ổ răng.
Khớp cắn có sự thay đổi. Khi nướu tụt và răng lung lay, bạn có thể nhận thấy sự thay đổi trong cách răng khớp với nhau khi cắn hoặc nhai.
4. Cách phòng ngừa viêm nướu tụt lợi
Dưới đây là một số biện pháp hiệu quả để phòng ngừa viêm nướu kéo theo tụt lợi:
– Làm sạch răng đúng chuẩn. Đánh răng ít nhất hai lần một ngày, sử dụng chỉ nha khoa hàng ngày để loại bỏ mảng bám và thức ăn còn sót lại giữa các kẽ răng. Việc này giúp ngăn ngừa sự tích tụ của vi khuẩn gây viêm nướu.
– Lựa chọn những loại bàn chải và kem đánh răng hợp lý. Dùng bàn chải loại mềm để tránh gây tổn thương cho nướu. Sử dụng kem đánh răng có chứa fluoride để tăng cường sức khỏe răng miệng.
– Thăm khám nha sĩ định kỳ. Thăm khám nha sĩ ít nhất 6 tháng một lần để được kiểm tra và vệ sinh răng miệng chuyên sâu, phát hiện sớm các vấn đề răng miệng.
– Bỏ thuốc lá. Cố gắng cai thuốc lá nếu bạn là người đang hút thuốc. Điều này không chỉ tốt cho sức khỏe răng miệng mà còn tốt cho sức khỏe tổng thể của bạn.
– Thực hiện chế độ ăn “xanh” một cách lâu dài. Ăn nhiều rau xanh, trái cây và thực phẩm giàu vitamin C và canxi để tăng cường sức khỏe nướu và răng.
5. Cách điều trị viêm nướu tụt lợi
Nếu bạn đã mắc phải tình trạng này, đừng lo lắng. Có nhiều phương pháp điều trị hiệu quả có thể giúp bạn khắc phục tình trạng này.
5.1. Điều trị tại nhà
Trong giai đoạn đầu của viêm nướu, bạn có thể áp dụng một số biện pháp điều trị tại nhà:
– Súc miệng bằng nước muối ấm: Giúp giảm viêm và diệt khuẩn.
– Sử dụng gel bôi nướu: Có thể mua tại các hiệu thuốc, giúp giảm đau và viêm.
– Tăng cường vệ sinh răng miệng: Đánh răng và sử dụng chỉ nha khoa thường xuyên hơn.
5.2. Điều trị tại nha khoa
Khi tình trạng trở nên nặng hơn, bạn nên đến gặp nha sĩ để được xử trí.
Nếu tình trạng viêm nướu không cải thiện sau khi điều trị tại nhà, bạn nên đến gặp nha sĩ để được điều trị chuyên sâu:
– Lấy vôi răng: Loại bỏ mảng bám và cao răng tích tụ trên bề mặt răng và dưới nướu.
– Nạo túi nướu: Trong trường hợp nặng, nha sĩ có thể thực hiện thủ thuật nạo túi nướu để loại bỏ vi khuẩn và mô bị tổn thương.
– Phẫu thuật nướu: Đối với các trường hợp tụt lợi nghiêm trọng, có thể cần phẫu thuật để tái tạo nướu.
– Sử dụng thuốc: Trong một số trường hợp, nha sĩ có thể kê đơn thuốc kháng sinh hoặc thuốc chống viêm để hỗ trợ điều trị:
+ Thuốc kháng sinh: Giúp kiểm soát nhiễm trùng.
+ Thuốc chống viêm
Viêm nướu tụt lợi là một vấn đề răng miệng nghiêm trọng nhưng có thể phòng ngừa và điều trị hiệu quả. Bạn có thể bảo vệ nướu và răng của mình khỏi tình trạng này với những cách đã nêu trong bài viết trên. Nếu bạn nhận thấy bất kỳ dấu hiệu nào của viêm nướu tụt lợi, cần nhanh chóng đến các cơ sở Nha khoa tin cậy để kiểm tra. Hãy nhớ rằng, sức khỏe răng miệng tốt không chỉ mang lại nụ cười đẹp mà còn đóng vai trò quan trọng trong sức khỏe tổng thể của bạn.


















