Tìm hiểu liệu công nghệ dán phủ sứ răng có tốt không
Kỹ thuật dán sứ cho răng là phương pháp được áp dụng để khắc phục những tổn thương hoặc nâng cao vẻ đẹp của những chiếc răng bị hỏng. Hiện nay, nhiều người vẫn thắc mắc dán phủ sứ răng có tốt không?
Phương pháp này đang được áp dụng rộng rãi do những ưu điểm vượt trội mà nó mang lại. Đặc biệt, kỹ thuật này giới hạn mức tối thiểu việc mài răng gốc, mang đến vẻ đẹp tự nhiên và độ thẩm mỹ cao, đồng thời phù hợp về mặt chi phí.
1. Khái quát về phương pháp dán phủ sứ răng
1.1 Dán phủ sứ răng là gì?
Phương pháp sử dụng lớp mão sứ mỏng có độ dày từ 0,5 đến 0,8mm để bọc bề mặt răng gốc được gọi là Veneer. Mục đích của phương pháp này là che đi những khuyết điểm trên bề mặt răng. Với việc áp dụng phủ răng sứ, chỉ cần mài mỏng một lớp trên răng gốc, giúp bảo đảm tính an toàn và giảm thiểu nguy cơ ảnh hưởng tới tủy răng. Với phương pháp Veneer, người ta có thể có được hàm răng tự nhiên, trắng sáng và vững chắc, mang lại lợi ích cho sức khỏe răng miệng.
1.2. Những trường hợp nên làm và không nên làm phủ sứ
Việc phủ sứ là một phương pháp điều trị nha khoa phổ biến được sử dụng để cải thiện thẩm mỹ và chức năng của răng. Tuy nhiên, không phải tất cả các trường hợp đều thích hợp cho việc làm này. Dưới đây là một số trường hợp nên và không nên làm phủ sứ:
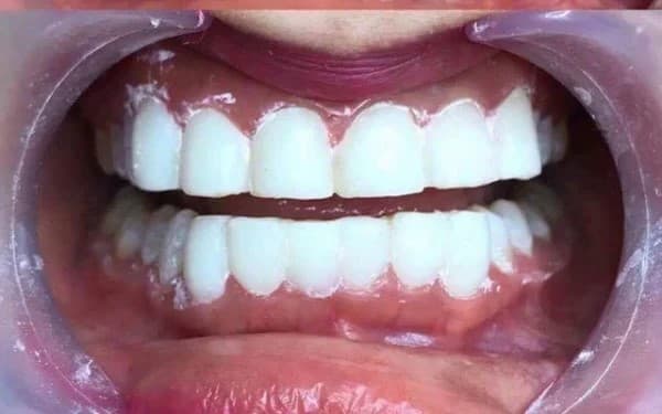
Phương pháp dán phủ sứ răng có thể thích hợp trong một số trường hợp
– Răng bị xỉn màu: Phủ sứ là một giải pháp hiệu quả để cải thiện màu sắc của răng, đặc biệt là đối với những trường hợp tẩy trắng không đem lại kết quả mong muốn.
– Răng bị mòn: Sứ có độ bền cao và khả năng chống mòn tốt, nên phủ sứ có thể giúp bảo vệ răng khỏi các tác động môi trường và ngăn chặn việc mòn men răng.
– Răng bị sứt, mẻ: Sứ có khả năng tái tạo cấu trúc răng và giúp khắc phục vấn đề răng bị sứt, mẻ và tái tạo chức năng nhai.
– Hình dáng không đều: Phủ sứ có thể điều chỉnh màu sắc và hình dáng của răng để tạo ra một nụ cười đẹp và hài hòa hơn.
Những trường hợp không nên làm phủ sứ:
– Răng bị viêm nha chu.
– Răng mọc không đúng hình dạng hoặc có vấn đề về khớp cắn nghiêm trọng.
– Men răng bị mòn hoàn toàn hoặc có lỗ lớn do bị sâu răng.
– Người có những vấn đề sức khỏe như cao huyết áp nghiêm trọng, bệnh tim mạch, động kinh, và các bệnh lý nghiêm trọng khác.
– Trẻ em dưới 18 tuổi hoặc những người đang trải qua vấn đề tâm lý.
Cần thận trọng và tham khảo ý kiến chuyên gia trước khi quyết định sử dụng phương pháp phủ răng sứ cho bất kỳ tình huống nào.
1.2. Dán phủ sứ răng có tốt không?
Việc dán phủ sứ răng là một phương pháp nha khoa hiệu quả và đáng tin cậy, mang lại nhiều lợi ích đáng kể cho sức khỏe và thẩm mỹ răng miệng của bạn.
– Dán phủ sứ là một phương pháp hiệu quả để che giấu và điều chỉnh các khuyết điểm của răng như răng nứt, sứt mẻ, hoặc không đều màu, tạo ra một nụ cười đều đặn và tự nhiên hơn.
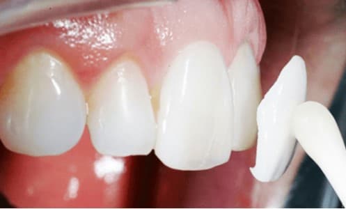
Dán phủ răng có thể khắc phục nhiều khuyết điểm của răng
– Sứ răng được thiết kế để phù hợp với hình dáng, màu sắc và kích thước của răng thật, mang lại kết quả thẩm mỹ cao và tự nhiên.
– So với việc phục hình bằng răng sứ, việc dán phủ sứ ít đòi hỏi việc mài răng gốc, giúp bảo vệ cấu trúc răng tự nhiên.
– Sứ răng là vật liệu an toàn và không gây kích ứng cho nướu và mô mềm xung quanh, giúp tránh được các vấn đề sức khỏe nghiêm trọng.
Tóm lại, việc dán phủ sứ răng mang lại nhiều lợi ích không chỉ về mặt thẩm mỹ mà còn về sức khỏe và chức năng của răng miệng, đồng thời đảm bảo tính an toàn và thoải mái cho người sử dụng.
Lựa chọn nha khoa rất quan trọng trong việc có được hàm răng đẹp hay không
2. Chất liệu phủ sứ
Trong phương pháp phủ sứ răng, chất liệu mặt sứ cũng có sự đa dạng. Mỗi loại chất liệu đều mang những ưu điểm và hạn chế riêng biệt.
Ngày nay, trong công nghệ dán sứ răng thẩm mỹ, thường sử dụng các loại chất liệu sau:
2.1. Răng toàn sứ
Đây là loại chất liệu rộng rãi được sử dụng. Mặt phủ sứ này thường được tạo ra bằng cách sử dụng phần mềm CAD/CAM hiện đại, đảm bảo độ chính xác cao. Nó có cấu trúc lớp men bên ngoài và lớp sườn bên trong hoàn toàn bằng sứ. Răng toàn sứ có màu sắc tự nhiên, tương tự như răng thật, đặc trưng bởi độ chịu lực và bền bỉ, hoàn toàn tương thích với cơ thể, không gây dị ứng và mang tính thẩm mỹ cao.
2.2. Răng sứ thủy tinh
Loại chất liệu này thuộc dòng sứ cao cấp, với lớp sườn bên trong làm từ sợi gốm sứ thủy tinh công nghệ cao. Mặt ngoài của răng được phủ bởi 5 lớp sứ, tạo ra hiệu ứng thấu quang và độ trong suốt gần giống với răng thật. Răng sứ thủy tinh thường được ưa chuộng vì tính lành tính, an toàn cho cơ thể, khả năng chịu lực cao, và tuổi thọ lâu dài, có thể lên tới 25 năm hoặc thậm chí còn hơn.
2.3. Nhược điểm
Mặc dù việc dán răng sứ mang lại nhiều lợi ích, nhưng cũng tồn tại một số nhược điểm cần xem xét trước khi quyết định sử dụng phương pháp này:
– Răng sứ không phải là phương pháp phù hợp cho mọi trường hợp. Ví dụ, trong trường hợp răng bị yếu, việc dán sứ có thể không đủ mạnh để giữ chặt. Ngoài ra, trẻ em và thanh thiếu niên đang trong quá trình phát triển răng có thể không thích hợp cho việc dán sứ.
– Trong quá trình chuẩn bị bề mặt răng cho việc dán sứ, mài răng quá mức có thể gây tổn thương cho tủy răng. Điều này có thể dẫn đến đau nhức và cần phải điều trị tủy răng.
– Người nghiến răng hoặc có thói quen cắn nghiến mạnh có thể làm hỏng hoặc làm rơi sứ, dẫn đến việc cần phải sửa chữa hoặc thay thế sứ thường xuyên.
– Chi phí dán răng sứ cao: Dán răng sứ thường là một dịch vụ đắt đỏ, đặc biệt là khi cần phải sửa chữa hoặc thay thế sau một thời gian sử dụng. Chi phí này có thể là một trở ngại đối với một số người và không phải lúc nào cũng phù hợp với ngân sách cá nhân.
Phương pháp phủ sứ răng là lựa chọn tốt để cải thiện vẻ đẹp cho những vấn đề về thẩm mỹ của răng. Tuy nhiên, khi quyết định thực hiện phương pháp này, bệnh nhân cần tìm đến các cơ sở y tế uy tín để đảm bảo được áp dụng công nghệ mới nhất và được chăm sóc, điều trị bởi các bác sĩ có kỹ năng, kinh nghiệm chuyên môn. Trên đây là những thông tin dành cho ai còn đang thấc mắc dán phủ sứ răng có tốt không, hy vọng nhiều bạn đọc cảm thấy hữu ích.


















