Sự thật về sâu răng gây viêm xoang và cách điều trị tận gốc
Bạn đã bao giờ trải qua những cơn đau đầu, nghẹt mũi dai dẳng mà không thể tìm ra nguyên nhân? Ít ai ngờ rằng, “thủ phạm” có thể đang ẩn mình ngay trong khoang miệng. Sâu răng gây viêm xoang là một bệnh ý hiếm gặp nên thường bị bỏ qua, dẫn đến việc điều trị không dứt điểm. Bài viết này không chỉ giúp bạn hiểu rõ cơ chế gây bệnh mà còn cung cấp phác đồ điều trị chuyên sâu, giúp bạn giải quyết tận gốc vấn đề. Cùng TCI tìm hiểu ngay nhé.
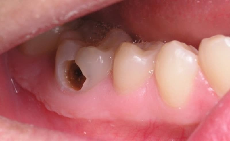
1. Vì sao sâu răng lại là mầm mống gây viêm xoang?
Khi nói về sâu răng, chúng ta thường chỉ nghĩ đến việc phải nhổ hoặc trám. Tuy nhiên, nếu không được điều trị triệt để, vi khuẩn từ chiếc răng sâu sẽ bắt đầu cuộc hành trình “xâm lấn” của mình.
1.1. Sâu răng gâu viêm xoang vì răng có cấu trúc giải phẫu đặc biệt

Xoang hàm trên nằm ngay phía trên các chân răng hàm trên, đặc biệt là răng số 4, 5, 6 và 7. Đây là những chiếc răng có chân răng gần hoặc thậm chí nằm lọt vào trong xoang hàm. Khi răng sâu lâu ngày, vi khuẩn sẽ ăn mòn đến tận tủy và cuống răng, tạo ra các ổ nhiễm trùng, áp xe.
1.2. Sâu răng gây viêm xoang do con đường lây lan “ngầm”
Vi khuẩn từ ổ áp xe này, chủ yếu là các vi khuẩn kỵ khí, sẽ phá vỡ vách xương mỏng ngăn cách giữa chân răng và xoang hàm. Quá trình này tạo ra một “đường hầm” để mủ, vi khuẩn và các độc tố tràn vào xoang. Tình trạng này được gọi là viêm xoang do răng, một dạng viêm xoang khó điều trị nếu không xử lý triệt để nguyên nhân từ răng miệng. Việc xác định chính xác đây có phải là tình trạng sâu răng gây viêm xoang hay không là chìa khóa để điều trị thành công.
2. 5 dấu hiệu cảnh báo viêm xoang hàm bạn cần biết
Viêm xoang do răng có những triệu chứng đặc trưng khác với viêm xoang thông thường, giúp bạn nhận biết sớm và hành động kịp thời.

2.1. Cơn đau mặt chỉ ở một bên
Nếu bạn chỉ cảm thấy đau nhức ở một bên má, vùng dưới hốc mắt hoặc thái dương, rất có thể nguyên nhân bắt nguồn từ chiếc răng sâu cùng bên. Cơn đau có thể tăng lên khi bạn cúi đầu hoặc nằm xuống, khác với cơn đau lan tỏa thường thấy ở viêm xoang thông thường.
2.2. Hơi thở có mùi “khác thường”
Mùi hôi thối, tanh nồng từ khoang miệng hoặc mũi, đặc biệt là khi cúi đầu, là kết quả của dịch mủ ứ đọng trong xoang do vi khuẩn răng gây ra. Mùi này thường rất khó chịu và không biến mất dù bạn đã vệ sinh răng miệng kỹ lưỡng.
2.3. Dịch mũi chảy một bên, kèm theo cảm giác nặng đầu
Dịch nhầy có thể chảy ra từ một bên mũi, có màu vàng hoặc xanh, đặc quánh. Đây là dấu hiệu của việc xoang hàm đang bị tắc nghẽn. Cảm giác nặng đầu, đau nhức vùng trán hoặc giữa hai lông mày cũng là triệu chứng phổ biến khi sâu răng gây viêm xoang.
2.4. Răng nhạy cảm và đau khi ăn nhai
Viêm nhiễm từ xoang hàm có thể gây áp lực lên chân răng, khiến răng trở nên lung lay hoặc nhạy cảm hơn khi bạn ăn nhai, ngay cả khi chiếc răng sâu đã được điều trị.
2.5. Sốt nhẹ, mệt mỏi và cảm giác khó chịu kéo dài
Viêm nhiễm trong xoang là một phản ứng của cơ thể. Nếu bạn sốt nhẹ, mệt mỏi mà không rõ lý do, hãy xem xét khả năng có một ổ nhiễm trùng tiềm ẩn đang hoạt động.
3. Phác đồ điều trị chuyên sâu để giải quyết tận gốc viêm xoang hàm
Viêm xoang do sâu răng không thể chữa khỏi bằng cách chỉ điều trị xoang đơn thuần. Cần có sự phối hợp chặt chẽ giữa chuyên khoa Răng Hàm Mặt và Tai Mũi Họng.
3.1. Giai đoạn điều trị nguyên nhân từ răng
– Nhổ bỏ răng sâu/viêm: Đây là bước quan trọng nhất để loại bỏ hoàn toàn ổ nhiễm trùng. Bác sĩ sẽ nhổ chiếc răng bị tổn thương nặng, làm sạch toàn bộ ổ nhiễm trùng tại cuống răng và xương hàm.
– Lấp đầy lỗ rò và hàn răng: Trong một số trường hợp, nếu răng chưa bị tổn thương quá nặng, bác sĩ có thể cố gắng bảo tồn bằng cách điều trị tủy, sau đó trám hoặc bọc sứ để ngăn vi khuẩn tái xâm nhập. Đồng thời, các lỗ rò giữa chân răng và xoang cũng sẽ được xử lý để ngăn chặn sự lây lan.

3.2. Giai đoạn điều trị triệu chứng sâu răng gây viêm xoang
– Điều trị nội khoa: Bác sĩ Tai Mũi Họng sẽ kê đơn thuốc kháng sinh phổ rộng để tiêu diệt vi khuẩn, thuốc chống viêm, giảm đau và thuốc thông mũi để giảm triệu chứng. Việc rửa mũi bằng nước muối sinh lý thường xuyên cũng rất quan trọng để loại bỏ dịch mủ và làm sạch xoang.
– Can thiệp phẫu thuật (nếu cần thiết): Nếu tình trạng viêm xoang đã trở thành mạn tính, hoặc có quá nhiều dịch mủ ứ đọng, bác sĩ có thể chỉ định phẫu thuật nội soi xoang. Đây là phương pháp hiện đại, ít xâm lấn, giúp loại bỏ toàn bộ mô viêm, dịch mủ, dị vật (nếu có) và phục hồi chức năng thông khí tự nhiên của xoang.
4. Phòng ngừa triệt để: Đừng để sâu răng trở thành nỗi ám ảnh
Phòng bệnh hơn chữa bệnh. Việc phòng ngừa sâu răng gây viêm xoang hiệu quả nhất bắt đầu từ chính thói quen hàng ngày của bạn.
– Khám nha khoa định kỳ: Dù bận rộn đến mấy, hãy duy trì thói quen khám răng 6 tháng/lần. Bác sĩ sẽ phát hiện sớm các vấn đề như sâu răng, viêm nướu, và có biện pháp xử lý kịp thời trước khi chúng trở nên nghiêm trọng.
– Vệ sinh răng miệng đúng cách: Đánh răng ít nhất 2 lần/ngày, sử dụng chỉ nha khoa để làm sạch kẽ răng và nước súc miệng để diệt khuẩn. Điều này sẽ giúp ngăn chặn sự phát triển của vi khuẩn, bảo vệ men răng và nướu.
– Chế độ ăn uống lành mạnh: Hạn chế đồ ngọt, nước có ga và các thực phẩm có tính axit. Tăng cường các loại rau xanh, trái cây và thực phẩm giàu canxi để củng cố sức khỏe răng miệng từ bên trong.
Sâu răng gây viêm xoang là một lời cảnh tỉnh nghiêm túc về tầm quan trọng của việc chăm sóc sức khỏe răng miệng. Đừng bao giờ chủ quan với những chiếc răng sâu, bởi có thể ảnh hưởng tới những bộ phận liên quan. Hãy chủ động thăm khám nha khoa định kỳ, điều trị sâu răng triệt để và lắng nghe cơ thể để phát hiện sớm những dấu hiệu bất thường. Một hàm răng khỏe mạnh không chỉ mang lại nụ cười tự tin mà còn là lá chắn bảo vệ sức khỏe toàn diện của bạn.


















