Răng sữa bị sâu có nên nhổ?
Răng sữa đóng vai trò rất quan trọng trong quá trình phát triển của trẻ nhỏ, không chỉ giúp ăn nhai mà còn ảnh hưởng đến phát âm và định hướng mọc răng vĩnh viễn. Tuy nhiên, tình trạng sâu răng sữa lại khá phổ biến, khiến nhiều phụ huynh lo lắng và băn khoăn răng sữa bị sâu có nên nhổ hay không. Bài viết dưới đây sẽ giúp bạn hiểu rõ bản chất của sâu răng sữa, từ đó giải đáp câu hỏi răng sữa bị sâu có nên nhổ và đưa ra hướng điều trị phù hợp, an toàn cho trẻ.
1. Răng sữa bị sâu là tình trạng gì?
Răng sữa bị sâu là hiện tượng mô cứng của răng (men răng và ngà răng) bị phá hủy do vi khuẩn trong khoang miệng tạo axit từ đường và tinh bột. Theo công bố của Tổ chức Y tế Thế giới (WHO), sâu răng được xem là một trong những bệnh mạn tính phổ biến nhất ở trẻ em trên toàn cầu, ảnh hưởng đến hàng trăm triệu trẻ mỗi năm.
Tại Việt Nam, các báo cáo từ Bộ Y tế cũng chỉ ra rằng tỷ lệ trẻ em mắc sâu răng sữa ở mức cao, đặc biệt tập trung ở nhóm tuổi mầm non. Thực trạng này có liên quan mật thiết đến chế độ ăn nhiều đường và việc chăm sóc răng miệng chưa đúng cách.
1.1. Nguyên nhân khiến răng sữa bị sâu
Những phân tích được Trung tâm Kiểm soát và Phòng ngừa Dịch bệnh Hoa Kỳ (CDC) đưa ra cho thấy sâu răng sữa thường hình thành từ sự kết hợp của nhiều yếu tố:
- Vi khuẩn trong miệng chuyển hóa đường thành axit
- Thói quen ăn đồ ngọt, uống sữa trước khi ngủ
- Không vệ sinh răng miệng đúng cách
- Men răng sữa mỏng và yếu hơn răng vĩnh viễn
Các yếu tố này khiến răng sữa dễ bị tổn thương và tiến triển sâu nhanh hơn so với răng vĩnh viễn.

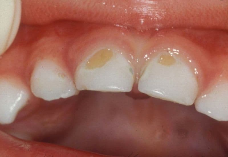
1.2. Dấu hiệu nhận biết răng sữa bị sâu
Dựa trên hướng dẫn từ Dịch vụ Y tế Quốc gia Anh (NHS), phụ huynh có thể nhận biết sâu răng sữa thông qua một số dấu hiệu đặc trưng:
- Xuất hiện đốm trắng đục hoặc nâu trên răng
- Trẻ kêu đau khi ăn đồ nóng, lạnh hoặc ngọt
- Răng bị lỗ hoặc vỡ
- Hơi thở có mùi khó chịu
Nếu không được xử lý kịp thời, sâu răng có thể lan rộng và gây viêm tủy hoặc áp xe răng.
2. Răng sữa bị sâu có nên nhổ không? Khi nào cần/ không cần nhổ răng sữa bị sâu?
Đây là vấn đề khiến nhiều phụ huynh băn khoăn khi trẻ gặp phải tình trạng sâu răng. Vậy, có nên nhổ răng sữa bị sâu cho bé không?
2.1. Trường hợp không cần nhổ răng sữa bị sâu
Theo khuyến nghị được Hiệp hội Nha khoa Hoa Kỳ (ADA) công bố, không phải tất cả các trường hợp sâu răng sữa đều cần nhổ bỏ. Trong nhiều tình huống, bác sĩ sẽ ưu tiên bảo tồn răng:
- Sâu răng ở mức độ nhẹ hoặc trung bình
- Chưa ảnh hưởng đến tủy răng
- Răng vẫn còn chức năng ăn nhai
- Thời điểm thay răng còn xa
Việc giữ lại răng sữa trong các trường hợp này giúp duy trì chức năng ăn nhai và đảm bảo khoảng trống cho răng vĩnh viễn mọc đúng vị trí.

2.2. Khi nào cần nhổ răng sữa bị sâu?
Theo các tài liệu chuyên môn do Bộ Y tế Việt Nam ban hành, chỉ định nhổ răng sữa thường được đưa ra trong những trường hợp sau:
- Răng bị sâu nặng, gần như phá hủy toàn bộ thân răng
- Xuất hiện viêm tủy hoặc áp xe gây đau kéo dài
- Nhiễm trùng lan rộng, có nguy cơ ảnh hưởng mầm răng vĩnh viễn
- Răng lung lay bất thường kèm theo viêm
Trong những tình huống này, nhổ răng là giải pháp cần thiết để phòng tránh biến chứng nghiêm trọng hơn.
3. Các phương pháp điều trị thay thế nhổ răng sữa khi bị sâu
Trong nhiều trường hợp, thay vì nhổ bỏ, bác sĩ có thể áp dụng các phương pháp điều trị nhằm bảo tồn răng sữa.
3.1. Sử dụng fluoride
Theo thông tin được WHO cập nhật, fluoride có tác dụng tái khoáng hóa men răng và làm chậm quá trình sâu răng. Việc sử dụng fluoride đúng cách có thể giúp kiểm soát sâu răng ở giai đoạn sớm.
3.2. Trám răng sữa
Theo hướng dẫn chuyên môn từ Hiệp hội Nha khoa Thế giới (FDI), trám răng là phương pháp hiệu quả trong điều trị sâu răng ở giai đoạn nhẹ đến trung bình. Bác sĩ sẽ loại bỏ phần mô răng bị sâu và sử dụng vật liệu phù hợp để phục hồi hình dạng răng.
Phương pháp này giúp cải thiện chức năng ăn nhai và hạn chế sự tiến triển của sâu răng.
3.3. Điều trị tủy răng sữa
Các nghiên cứu của National Institute of Dental and Craniofacial Research (NIDCR) cho thấy điều trị tủy là giải pháp cần thiết khi sâu răng đã lan đến tủy. Quá trình này giúp loại bỏ phần tủy bị viêm, đồng thời bảo tồn cấu trúc răng còn lại.
Nhờ đó, trẻ vẫn có thể giữ được răng sữa cho đến thời điểm thay răng tự nhiên.
3.4. Bọc mão răng sữa
Dựa trên khuyến nghị từ CDC, bọc mão răng thường được áp dụng khi răng bị tổn thương lớn nhưng vẫn có thể giữ lại. Phương pháp này giúp bảo vệ răng khỏi tác động bên ngoài và kéo dài thời gian sử dụng răng sữa.

Việc quyết định răng sữa bị sâu có nên nhổ không thể áp dụng chung cho mọi trường hợp mà cần dựa vào mức độ tổn thương cụ thể. Trong nhiều tình huống, việc bảo tồn răng sữa vẫn là ưu tiên hàng đầu để đảm bảo sự phát triển toàn diện cho trẻ.
Như các tổ chức y tế uy tín đã chỉ ra, can thiệp đúng thời điểm và đúng phương pháp sẽ giúp hạn chế tối đa biến chứng. Vì vậy, khi có dấu hiệu sâu răng, phụ huynh nên đưa trẻ đi thăm khám sớm để được tư vấn phù hợp, thay vì tự quyết định nhổ răng.

















