Răng số 8 bị sâu vỡ xử lý thế nào?
Răng số 8 bị sâu vỡ là tình trạng phổ biến mà người bệnh hay gặp do răng số 8 nằm ở vị trí khuất, sâu cùng ở bên trong. Vậy làm sao để xử lý hiệu quả và triệt để tình trạng này?
1. Răng số 8 bị sâu vỡ là do đâu?
Răng số 8 (răng khôn, răng hàm số 3) là loại răng được mọc trong cùng của hàm, khi các răng khác vĩnh viễn đã phát triển đủ. Loại răng này không có tác dụng gì trên cung hàm, ngược lại còn có nguy cơ gây ra nhiều bệnh lý răng miệng và ảnh hưởng đến những răng xung quanh.
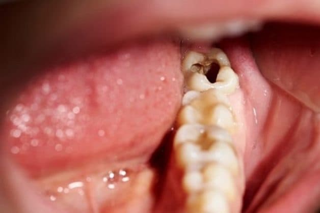
Răng số 8 sâu vỡ là tình trạng xảy ra vì răng số 8 thường mọc lệch tạo khe hở với những răng khác gây tích tụ thức ăn và mảng bám không được vệ sinh sạch sẽ, lâu dần tích tụ gây sâu răng, viêm nhiễm và hôi miệng.Ở mức độ nhẹ, bề mặt răng sẽ xuất hiện những lỗ nhỏ và vết đen li ti. Nhưng nếu không được phát hiện sớm và điều trị kịp thời thì lỗ sâu sẽ ngày càng lớn hơn, răng mất lớp men, ngà răng và chỉ còn lại chân răng. Từ đó dẫn đến nhiều bệnh lý răng miệng nguy hiểm.
Răng số 8 sâu vỡ khiến nguy cơ mắc các bệnh lý răng miệng tăng lên đáng kể
2. Tác hại của răng số 8 sâu vỡ
– Thân răng bị phá hủy, răng sứt mẻ và chỉ còn lại chân răng. Do đó, chức năng ăn nhai bị ảnh hưởng nghiêm trọng.
– Khi răng vỡ sẽ tạo khe hở trên răng, tích tụ mảng bám và thức ăn thừa, khiến tình trạng hôi miệng xảy ra.
– Phần lợi sẽ bị lan vào hốc sâu răng. Từ đó, lợi sưng lên, gây đau nhức và chảy máu khi ăn nhai và hiện tượng viêm nhiễm xảy ra.
– Đau nhức, khó chịu và ảnh hưởng đến chất lượng cuộc sống.
– Có nguy cơ lây lan ra những răng bên cạnh.
– Nếu để tình trạng trầm trọng hơn thì có thể bị sâu răng ăn vào tủy, gây ra viêm chóp răng hay áp xe xương ổ răng.
3. Điều trị răng số 8 sâu vỡ bằng cách nào?
Do răng số 8 không có chức năng gì, ngược lại còn có nguy cơ gây ra nhiều biến chứng ảnh hưởng đến sức khỏe nên người bệnh thường được bác sĩ khuyến cáo nhổ bỏ. Hiện nay, có 2 phương pháp nhổ răng để khách hàng có thể lựa chọn:
3.1 Nhổ răng số 8 bằng phương pháp truyền thống
Nha sĩ tiến hành bằng cách dùng dao rạch để mở nướu để giúp lộ ra phần răng khôn. Sau đó, dùng lực sinh ra từ kìm và bẩy để lấy răng số 8 ra. Cuối cùng, khâu vết nhổ răng lại và vệ sinh khoang miệng sạch sẽ bằng dung dịch sát khuẩn chuyên dụng. Tuy có giá thành thấp nhưng nếu thực hiện ở các cơ sở nha khoa kém chất lượng, người bệnh có nguy cơ bị xuất huyết nhiều, đau nhức và biến chứng.
3.2 Nhổ răng số 8 bằng phương pháp Piezotome
Nhổ răng khôn Piezotome nhẹ nhàng đưa răng khôn ra ngoài với mũi khoan mỏng và mảnh
Thông qua biến điệu của tần số sóng siêu âm, mũi khoan của máy Piezotome trực tiếp tác động lên phần mô cứng của răng, làm đứt dây chằng chân răng và giúp tách phần nướu ra khỏi chân răng. Sau đó, răng khôn được đưa ra khỏi hàm và sóng siêu âm nhanh chóng khóa mạch máu lại. Phương pháp này được đánh giá cao vì hạn chế tối đa tình trạng chảy máu, đau nhức hay biến chứng cho người bệnh.
4. Sau khi nhổ răng số 8 cần lưu ý điều gì?
– Trong vòng 24h sau nhổ răng, chỉ nên vệ sinh răng miệng bằng nước súc miệng và đánh răng nhẹ nhàng, tuyệt đối không tác động vào vùng nhổ răng.
– Uống thuốc giảm đau theo đúng liều lượng được bác sĩ kê đơn.
– Chườm đá ở vùng má ngoài khu vực nhổ răng để giảm cảm giác đau nhức, ê buốt khi nhổ răng.
– Ăn những đồ mềm, lỏng, dễ nuốt để vừa không tác động lên vùng nhổ răng, vừa cung cấp đủ các chất dinh dưỡng cho cơ thể.
– Không ăn những đồ cay nóng, thức ăn quá cứng hay quá dai.
– Không sử dụng bánh kẹo, đồ ngọt, nước có ga.
– Không tập các bài tập thể chất trong vòng 1 ngày sau khi nhổ răng, cố gắng nghỉ ngơi tránh vận động để vết thương có thời gian phục hồi.
– Nằm gối cao đầu, không nằm nghiêng về phía nhổ răng vì dễ gây áp lực cho khu vực nhổ răng.
– Ngồi ở tư thế thẳng, hạn chế tối đa việc gập người hay mang vác nặng.
Sau khi nhổ răng khôn, cần tuân theo đúng chỉ dẫn của bác sĩ để vết thương nhanh lành và không xảy ra biến chứng
Hy vọng bài viết trên của chúng tôi đã cung cấp những thông tin hữu ích về “răng số 8 sâu vỡ”. Cần lưu ý, để thực hiện điều trị tình trạng này hiệu quả và không để lại biến chứng, bạn nên đến các cơ sở nha khoa uy tín trên cả nước nhé.


















