Răng số 8 bị sâu vỡ: Nguyên nhân và giải pháp khắc phục
Răng số 8 bị sâu vỡ không phải là tình trạng hiếm gặp ở người trưởng thành. Không chỉ gây ảnh hưởng tới sức khỏe răng miệng, nếu bạn chủ quan để kéo dài mà không điều trị thì khả năng dẫn đến biến chứng nguy hiểm là rất cao. Vậy với răng số 8 sâu, vỡ, đâu là nguyên nhân cũng như giải pháp khắc phục thế nào, cùng tìm hiểu bài viết dưới đây để có lời giải đáp chi tiết bạn nhé!
1. Một số nguyên nhân khiến răng số 8 sâu, vỡ
Răng số 8 hay còn gọi răng khôn là răng mọc cuối cùng của hàm, thường mọc trong độ tuổi 17 đến 25. Do thuộc nhóm răng cối nên răng khôn thường có kích thước rất to và chắc khỏe, đặc biệt, răng khôn hàm trên thường có đến tận 3 chân, răng khôn hàm dưới có 2 chân. Bởi vì mọc ở vị trí phức tạp và có nhiều chân nên việc nhổ răng khôn thường khó khăn hơn rất nhiều so với những chiếc răng mọc ở vị trí thông thường.
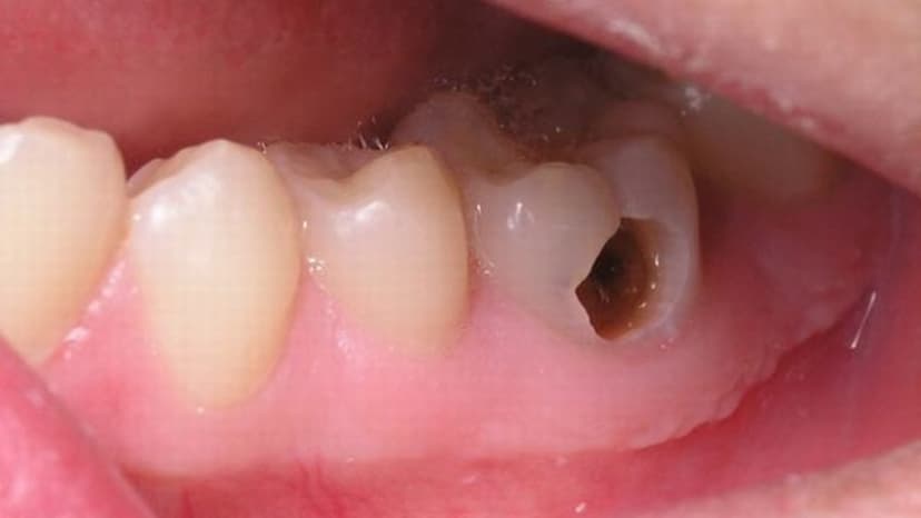
Răng số 8 bị sâu vỡ xuất phát từ nhiều nguyên nhân, chủ yếu là do người bệnh chủ quan không điều trị khi răng 8 có hiện tượng sâu
Nguyên nhân phổ biến nhất của hiện tượng răng khôn bị sâu vỡ đó là do người bệnh chủ quan không điều trị khi răng 8 có hiện tượng sâu. Lúc này, vi khuẩn có cơ hội lý tưởng để xâm nhập và phát triển sau đó ăn mòn chân răng. Bên cạnh đó, trong quá trình ăn uống, nếu như phải chịu một tác động lớn thì răng cũng dễ bị nứt và vỡ. Bên cạnh đó, một số nguyên nhân khiến răng khôn bị sâu, vỡ bao gồm:
– Chấn thương: Chấn thương hoặc những ngoại lực bên ngoài tác động vào làm mẻ răng.
– Thiếu canxi: Thiếu canxi hoặc ăn uống không đủ dinh dưỡng là nguyên nhân làm giòn răng và bị vỡ.
– Nghiến răng: Nghiến răng là thói quen không tốt mà rất nhiều người mắc phải. Trong khi ngủ, chúng ta thường nghiến răng trong vô thức, lâu dần thói quen này sẽ gây mòn răng, khiến răng dễ bị vỡ dù phải chịu một tác động rất nhỏ.
– Ăn nhiều đồ ăn cứng: Việc sử dụng đồ ăn cứng trong một thời gian dài khiến răng dễ bị nứt và gây vỡ men răng.
2. Những ảnh hưởng khi răng khôn bị sâu, vỡ
Sâu, vỡ răng khôn không chỉ gây hôi miệng, mất thẩm mỹ mà còn kéo theo hàng loạt tác hại như:
– Trường hợp răng khôn bị đau nhức nếu không được điều trị kịp thời có thể khiến cho toàn bộ thân răng bị phá hủy, từ đó dễ khiến răng khôn bị vỡ và chỉ còn sót lại chân răng.
– Răng khôn bị vỡ tạo thành những khẽ hở lớn trên răng, đây chính là vị trí thuận lợi để mảng bám tích tụ từ đó dẫn đến tình trạng hôi miệng.
– Khi răng khôn bị vỡ, nứt khiến cho phần lợi lan vào sâu bên trong hốc răng, hiện tượng này kéo dài dễ gây ra tình trạng sưng lợi và thậm chí chảy máu khi người bệnh ăn uống hàng ngày, thậm chí có khả năng cao dẫn đến viêm nhiễm nguy hại.
– Răng khôn bị sâu và vỡ khiến người bệnh thường xuyên phải chịu cảm giác đau nhức âm ỉ, dai dẳng, nếu tình trạng này tiếp diễn và kéo dài sẽ gây ảnh hưởng rất nhiều đến sinh hoạt hàng ngày cũng như tinh thần của người bệnh.
– Nguy cơ sâu răng lan sang các răng kế cận khác, điển hình là răng số 7, ảnh hưởng đến chức năng ăn nhai của người bệnh.
– Nguy cơ mắc các bệnh lý như viêm chóp răng, áp xe xương ổ răng vô cùng nguy hiểm.
3. Giải pháp nào cho tình trạng răng khôn sâu, vỡ?
Răng số 8 bị sâu vỡ phải xử lý thế nào , có nên nhổ không là băn khoăn của rất nhiều người. Lời khuyên hữu ích dành cho bạn trong trường hợp này là hãy đến bệnh viện hoặc các cơ sở nha khoa để thăm khám và được tư vấn phương hướng xử lý phù hợp với tình trạng răng miệng hiện tại của bạn.
Hầu hết trường hợp răng số 8 bị sâu, vỡ đều được chỉ định nhổ bỏ. Thứ nhất là bởi những chiếc răng này không có chức năng ăn nhai. Hơn nữa, răng số 8 sâu vỡ nếu để lại có thể gây nhiều biến chứng nguy hiểm khó lường ảnh hưởng tới sức khỏe của bạn. Sau khi nhổ răng, bạn không chỉ được “giải thoát” khỏi cảm giác đau nhức mà còn phòng tránh nguy cơ sâu răng lây lan sang các răng kế cận.
Tuy nhiên, bên cạnh đó cũng có số ít trường hợp răng khôn bị sâu vỡ sẽ được điều trị bằng kế hoạch khác thay vì nhổ răng. Những trường hợp này thường phải đảm bảo điều kiện răng khôn mọc thẳng, hoặc răng chỉ sâu ở mức độ nhẹ. Lúc này, khách hàng có thể lựa chọn giữa các phương pháp trám răng hoặc bọc sứ để phục hình.
Hầu hết các trường hợp răng số 8 bị sâu, vỡ đều được các bác sĩ khuyên nhổ bỏ
4. Lưu ý quan trọng sau khi nhổ răng khôn sâu, vỡ
Sau khi nhổ răng khôn bị sâu, vỡ, cần có thời gian để vết mổ hồi phục và lành lại, do đó, bạn cần lưu ý một số điều dưới đây:
– Sau khi nhổ răng, bạn cần cắn chặt vào miếng bông gòn đã được tiệt trùng trong khoảng từ 30 đến 40 phút. Việc này sẽ giúp nhanh đông máu, làm máu không chảy tràn trong khoang miệng dễ gây nhiễm trùng.
– Trong vòng 24 giờ sau khi nhổ răng, không được đánh răng vào vị trí mới nhổ răng hoặc súc miệng mạnh hay hút thuốc.
– Lúc mới nhổ răng xong, bạn có thể sẽ cảm thấy khó chịu, ê buốt và thậm chí là đau nhức, tuy nhiên đừng lo lằng bởi những phản ứng này hoàn toàn bình thường. Nếu cơn đau vượt ngưỡng kiểm soát thì bạn cũng có thể sử dụng thuốc giảm đau do bác sĩ kê toa. Lưu ý cần thực hiện nghiêm túc theo chỉ định của bác sĩ, tránh việc tự ý sử dụng thuốc dẫn đến những tác dụng phụ không mong muốn.
– Không được ăn đồ ăn quá nóng hoặc quá lạnh dễ gây ảnh hưởng đến vết thương
Hi vọng qua bài viết trên, bạn đã tìm được giải pháp cho răng số 8 bị sâu vỡ. Nếu có bất kỳ dấu hiệu bất thường nào, bạn cần đi thăm khám với các bác sĩ càng sớm càng tốt.
Công nghệ nhổ răng khôn Piezotome tại Khoa Răng Hàm Mặt Thu Cúc TCI
Hiện nay, Khoa Răng Hàm Mặt – Hệ thống Y tế Thu Cúc TCI đang áp dụng công nghệ nhổ răng khôn truyền thống và nhổ răng khôn Piezotome – công nghệ nhổ răng bằng sóng siêu âm. Được đánh giá là phương pháp nhổ răng hiện đại nhất hiện nay, thông qua sóng siêu âm tác động trực tiếp lên phần răng cần loại bỏ và đặc biệt là hoàn toàn không gây ảnh hưởng tới xương hàm, hạn chế tối đa tình trạng sưng, nhức sau khi nhổ răng. Được thực hiện trực tiếp bởi đội ngũ bác sĩ Răng Hàm Mặt đầu ngành có hơn 15 năm kinh nghiệm cùng sợ “trợ giúp đắc lực” của hệ thống thiết bị hiện đại, tân tiến, khách hàng hoàn toàn có thể an tâm với mức độ hiệu quả, an toàn khi trải nghiệm dịch vụ nhổ răng tại Thu Cúc TCI.
















