Răng số 4 là gì? Nhổ răng số 4 có nguy hiểm không?
Răng số 4 là răng tiền hàm, được chỉ định nhổ trong nhiều trường hợp khác nhau. Vậy khi nào nên nhổ răng số 4? Nhổ răng số 4 có nguy hiểm không?
1. Răng số 4 là răng gì?
Răng số 4 là một loại răng thuộc nhóm răng hàm nhỏ (răng cối nhỏ). Một người có đủ tổng cộng 4 răng số 4, bao gồm 2 răng ở hàm trên và 2 răng ở hàm dưới. Hình dạng của răng này tương tự ngọn giáo, mũi răng dày, nhọn và dài, có mặt xung quanh đều có độ sắc nhất định. Chính vì vậy, loại răng này đảm nhận đồng thời cả việc cắn xé cũng như nghiền thức ăn như răng nanh và răng hàm.
Răng số 4 đảm nhận đồng thời cả việc cắn xé cũng như nghiền thức ăn như răng nanh và răng hàm
2. Khi nào chỉ định nhổ răng số 4 được đưa ra?
Nguyên tắc của việc điều trị nha khoa là bảo toàn tối đa răng thật, chỉ trường hợp nào răng không cứu được thì nha sĩ mới cân nhắc nhổ bỏ. Một số trường hợp răng số 4 được bác sĩ chỉ định nhổ bao gồm:
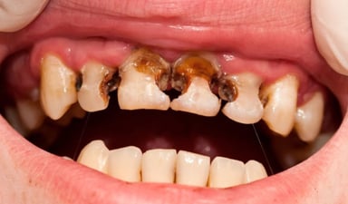
– Răng bị sâu nặng, đã sâu hết phần thân răng. Điều này khiến cho răng bị đau nhức trầm trọng và không còn đảm bảo được chức năng ăn nhai vốn có.
– Răng bị viêm tủy nặng do bị sâu răng hay viêm nha chu gây ra.
– Người bị bị áp xe răng, có xuất hiện ổ mủ nhiễm trùng lớn ở dưới răng. Do đó, răng có hiện tượng lung lay, không còn đứng vững trong xương ổ răng.
– Gặp các tai nạn va đập khiến cho răng bị gãy vỡ và hư hại nhiều.
– Răng số 4 bị các bệnh lý nguy hiểm, có thể gây ảnh hưởng nghiêm trọng đến những răng bên cạnh và đe dọa đến sức khỏe răng miệng.
– Trong một số trường hợp khi chỉnh nha, bác sĩ có thể chỉ định nhổ răng số 4 để có thể thực hiện niềng răng, có chỗ trống cho các răng khác di chuyển.
3. Nhổ răng số 4 nguy hiểm không?
Để nhổ răng an toàn và không xảy ra biến chứng, bạn nên lựa chọn các cơ sở nha khoa uy tín với đội ngũ y bác sĩ tay nghề cao
Nhổ răng số 4 được đánh giá không phải là một thủ thuật phức tạp. Tuy nhiên, nếu bạn lựa chọn nhổ răng ở các cơ sở nha khoa không uy tín thì có nguy cơ gặp phải hậu quả như:
– Bị mất máu nhiều.
– Nhiễm trùng nặng.
– Gây xâm lấn, ảnh hưởng đến những răng bên cạnh.
– Sức khỏe không được cơ sở nha khoa đảm bảo trách nhiệm.
Chính vì vậy, người bệnh cần cân nhắc kỹ lưỡng các yếu tố như: Cơ sở y tế, tay nghề bác sĩ, hệ thống trang thiết bị tân tiến, phương pháp nhổ răng….thì việc nhổ răng sẽ diễn ra nhẹ nhàng và hạn chế tối đa nguy cơ biến chứng.
4. Phương pháp phục hình cho răng số 4
Vì răng số 4 có vai trò quan trọng nên chúng ta phải có những biện pháp phục hình phù hợp để tránh ảnh hưởng xấu đến sức khỏe và đảm bảo việc ăn nhai như bình thường.
4.1 Hàm giả tháo lắp
Đây là phương pháp thường được dùng cho những người già mất nhiều răng cùng lúc do quá trình bị lão hóa của cơ thể. Tuy nhiên, hàm tháo lắp có sức nhai không mạnh như răng thật và cần phải vệ sinh hàm giả sạch sẽ mỗi ngày vi khuẩn không từ hàm giả xâm nhập vào khoang miệng.
4.2 Cầu răng sứ
Nếu muốn phục hình răng số 4 với phương pháp cầu răng sứ thì bác sĩ phải tiến hành mài 2 răng số 3 và số 5. Sau đó, sẽ bọc mão răng sứ lên toàn bộ để làm điểm tựa cho mão răng sứ số 4. Tuy có tính thẩm mỹ cao nhưng việc mài mòn 2 răng có thể làm 2 răng này bị yếu đi phần nào.
4.3 Trồng răng implant
Đây là một phương pháp hiệu quả, được coi là một phương pháp bước ngoặt đối với những người bị mất răng. Đầu tiên, trụ implant sẽ được cắm vào xương hàm, đóng vai trò như một chân răng thật. Tiếp theo trụ implant sẽ được kết nối với mão răng sứ trên cùng thông qua khớp nối abutment. Mão răng sứ có màu sắc và độ cứng như răng thật, đảm bảo được chức năng ăn nhai và tính thẩm mỹ cao.
Trồng răng implant là phương pháp được ưa chuộng hơn cả với tính hiệu quả cao và có thể dùng được cả đời
Hy vọng rằng, bài viết trên của chúng tôi đã giải đáp được thắc mắc “nhổ răng số 4 nguy hiểm không”. Nếu có bất kỳ câu hỏi gì về chủ đề nhổ răng số 4, bạn có thể liên hệ với nha sĩ ở các cơ sở nha khoa uy tín để được giải đáp nhé.


















