Răng bị bể lớn có bọc sứ được không?
Răng bị bể lớn có bọc sứ được không là câu hỏi nhiều bạn quan tâm khi không may bị chấn thương hoặc vì lý do nào đó răng bị tổn hại. Vậy trường hợp này có thể bọc sứ hay không?
1. Răng bể lớn do đâu?
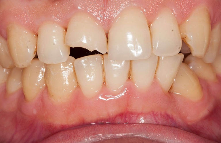
Răng bị bể lớn có bọc sứ được không là chủ đề nhiều người quan tâm
Răng bể lớn không chỉ gây mất thẩm mỹ mà còn ảnh hưởng nghiêm trọng tới chức năng ăn nhai hàng ngày. Có vô vàn lý do từ chủ quan đến khách quan khiến răng có thể bị bể mà bạn không thể đoán trước được, trong đó phổ biến là:
1.1. Bể răng do thiếu hụt trầm trọng canxi
Không ít trường hợp đang dùng bữa bạn nghe tiếng “cộc” va vào răng và nguyên nhân chính là một mảnh răng nào đó bị “rơi ra bất ngờ”. Điều tương tự cũng thường xảy ra với các mẹ bầu hoặc với những bạn có chế độ ăn bị thiếu chất.
Nguyên nhân chính của tình trạng này chính là thiếu hụt canxi – một thành phần quan trọng cấu thành nên răng. Khi canxi bị thiếu hụt, đồng nghĩa với việc thiếu chất nuôi răng. Răng của chúng ta sẽ trở nên “xốp” hơn và dễ dàng bị tác động khi có lực tác dụng hoặc nhiệt nóng, lạnh bất thường. Các mảng răng có xu hướng rơi ra và sẽ là yếu tố thúc đẩy răng bị bể nhiều hơn nếu không nhanh chóng khắc phục.
1.2. Bể răng do gặp chấn thương
Một nguyên nhân khác có thể gây nên tình trạng răng bể lớn và thậm chí mất răng là chấn thương. Trong rất nhiều vụ tai nạn, nạn nhân gặp tổn thương nghiêm trọng về răng miệng, bể răng, gãy răng,…. và cần được tạo hình phục hồi.
1.3. Bể răng do bệnh lý
Một nguyên nhân khác chính là bể răng do bệnh lý. Các bệnh về răng như sâu răng, viêm nha chu,… hoặc thiểu sản men răng đều có thể gây ra những vết bể lớn.
Sâu răng, viêm nha chu,…hầu hết do quá trình vệ sinh răng miệng chưa được tốt. Thiểu sản men răng hầu hết liên quan tới chế độ dinh dưỡng trong thai kỳ của mẹ thiếu flour, canxi cho quá trình hình thành men răng. Các trường hợp bị thiểu sản men răng khiến men răng không được hoàn thiện và sinh ra những vết nứt, bể trên răng hoặc men răng mất hoàn toàn.
2. Răng bị bể lớn có bọc sứ được không?
Trước và sau bọc sứ cho răng bể lớn
Có nhiều dạng bể răng do các nguyên nhân khác nhau gây ra. Nhiều bạn không khỏi lo lắng vì chiếc răng bể ảnh hưởng tới thẩm mỹ của khuôn mặt. Tuy nhiên hiện nay, mọi trường hợp bể răng đều đã có thể xử lý hoàn toàn về mặt thẩm mỹ đồng thời giúp phục hồi phần lớn chức năng ăn nhai và hạn chế tối đa sự tấn công của vi khuẩn tại vị trí vết bể.
Một trong những biện pháp hiệu quả nhất khắc phục tình trạng răng bể lớn chính là bọc răng sứ. Bọc răng sứ mang lại nhiều lợi ích cho người bị tổn thương răng như:
2.1. Đảm bảo chức năng ăn
Ngày nay, công nghệ bọc sứ đã rất tiên tiến và hiện đại. Các răng bọc sứ có độ bền được tăng cường, chịu lực tốt, thậm chí còn tốt hơn so với răng thật. Chính vì vậy mà người bọc răng sứ tại các địa chỉ uy tín không có cảm giác khó chịu khi ăn nhai và tránh được răng bị bể, mẻ trở lại.
2.2. Giúp bảo vệ khỏi vi khuẩn gây hại
Tại các vết răng bể lớn, men răng, ngà răng hoặc tủy răng có thể bị vi khuẩn xâm nhập gây ố nhàu hoặc mắc các bệnh răng miệng. Tuy nhiên với bọc răng, dán sứ thì vấn đề này lại được đảm bảo gần như tuyệt đối .
2.3. Không ảnh hưởng tới thẩm mỹ của răng
Thực tế răng bọc sứ và răng thật hoàn toàn không có sự khác biệt. Lý do bởi công nghệ hiện nay giúp pha tỷ lệ và tạo màu sứ sao cho giống nhất với màu men răng hiện tại nên bạn có thể hoàn toàn yên tâm với phương pháp bọc sứ. Độ bền của bọc sứ cũng khá cao, có thể duy trì tới 10 năm và không lo lắng bị ố màu.
3. Các dòng sứ được sử dụng phổ biến hiện nay
Hiện nay có rất nhiều dòng sứ được sử dụng để khắc phục tình trạng răng bể lớn. Tùy theo nhu cầu và kinh tế hiện của mình, bạn nên nhờ bác sĩ nha khoa tư vấn để có được lựa chọn hoàn hảo nhất.
Dưới đây là một số dòng sứ chất lượng ổn định và giá cả hợp lý bạn có thể lựa chọn khi bọc sứ:
3.1. Bọc răng sứ toàn phần Katana
Bọc răng sứ toàn phần Katana
Đây là loại sứ thương hiệu Nhật Bản có cấu tạo từ Zirconia – một loại oxit kim loại có độ cứng cao và khá bền. Bọc sứ toàn phần bằng sứ Kantana cũng có tính tương sinh học rất tốt và gần như không gây bất cứ dị ứng nào cho người bọc, cũng không bị thâm, đổi màu nên thời gian sử dụng có thể lên tới 5 đến 15 năm. Bọc sứ toàn phần Katana được sử dụng chủ yếu với vùng răng cửa.
3.2. Bọc răng sứ Cercon
Cercon là vật liệu được chế tạo từ hợp kim không chứa kim loại gồm lớp sườn Zirconia bên trong và lớp sứ kép Cercon bên ngoài. Mặc dù lớp sườn Zirconia chỉ mỏng khoảng 5mm nhưng răng sứ Cercon vượt trội về độ cứng và độ bền. Tuy nhiên nhược điểm duy nhất là lớp sườn trong suốt tạo độ bóng sáng này lại không phù hợp với các răng bị nhiễm màu nặng bởi không thể che hết hoàn toàn những khuyết điểm của răng cũ.
3.3. Chụp răng sứ toàn phần Venus
Tư vấn lựa chọn phương pháp dán sứ phù hợp cho khách hàng tại BV ĐKQT Thu Cúc
Chụp răng sứ toàn phần Venus là một trong những loại bọc sứ nổi bật hiện nay. Không chỉ mỏng, mà răng sứ Venus còn được gia tăng vượt trội hơn những loại trên về độ cứng của ra. Tuy nhiên nhược điểm của dòng răng bọc sứ này là độ trăng sáng còn chưa cao.
3.4. Chụp răng sứ toàn phần HT Smile
Chụp răng sứ toàn phần HT Smile là giải pháp lý tưởng hiện nay bởi độ chịu lực lên tới 1400 Mpa và độ uốn cong lên tới 700 Mpa. Răng sứ HT Smile được chế tạo với vật liệu bên trong là Zirconia và vật liệu bên ngoài là lớp ứ kép Cercon. Răng sứ HT Smile có tính năng cách nhiệt nóng và lạnh rất tốt, giúp cho cùi răng tránh được những kích thích từ nhiệt. Đồng thời vật liệu này cũng có tình tương sinh sinh học tốt nên còn là vật liệu để sản xuất khớp ngón chân, ngón tay nhân tạo cho người bệnh.
Ngoài một số dòng răng sứ được gợi ý bên trên, bạn có thể cân nhắc lựa chọn một số thương hiệu răng sứ khác như Zircon Fuji, Smile Diamond,…..
Trên đây là một số thông tin giúp bạn trả lời câu hỏi bị bể răng thì có nên bọc răng sứ hay không. Trên thực tế, bọc răng sứ ít gây đau đớn và thực hiện nhanh chóng. Khi bị bể răng lớn, việc bọc, trám bảo vệ là vô cùng cần thiết để tránh vết bể thêm rộng và không gây tổn hại đến tủy răng bên trong. Tuy nhiên, trước khi bọc sứ cho răng bể, hãy tìm kiếm địa chỉ uy tín nhất bạn nhé!


















