Bọc răng sứ venus: Phân loại và chi phí hiện nay
Sản xuất 100% từ sứ nguyên chất là một trong những điểm nổi bật của vật liệu bọc răng sứ Venus. Ngoài ra, bọc răng sứ Venus còn an toàn, thẩm mỹ, lành tính, độ bền cao… Hiện nay, đang có rất nhiều loại mão sứ Venus khác nhau như: sứ Venus của Hàn, Mỹ, Đức,… Bạn không biết chọn bọc loại sứ Venus nào để phù hợp với mình nhất? Bài viết dưới đây, Thu Cúc TCI sẽ phân loại và chỉ ra chi phí hiện nay của bọc răng sứ Venus để bạn tham khảo nhé.
1. Tìm hiểu bọc răng sứ Venus là gì?
Răng sứ Venus khá nổi tiếng trong lĩnh vực răng sứ, được sản xuất tại Đức. Sản phẩm này đại diện cho sự hoàn hảo với việc sử dụng sứ nguyên chất. Chính vì thế không để lại vết đen viền nướu không mong muốn sau thời gian sử dụng.
Răng sứ Venus được làm từ sứ nguyên chất có độ bền cao (minh họa).
Mỗi chiếc răng sứ Venus bao gồm hai thành phần chính: khung sườn và lớp phủ bên ngoài. Tất cả đều làm bằng sứ cao cấp đạt độ cứng cao. Sản phẩm này có độ bền vượt trội, màu sắc tự nhiên khó phân biệt với răng thật. Bên cạnh đó, nó có khả năng chịu lực mạnh, làm từ chất liệu nhẹ, và dễ dàng tương thích với cấu trúc răng tự nhiên của mỗi người. Hơn nữa, Venus được sản xuất bằng công nghệ CAD/CAM tiên tiến, giúp đảm bảo sự chính xác và hiện đại trong quá trình sản xuất.
2. 6 Ưu điểm của bọc răng sứ Venus
Chúng ta thấy rất nhiều ưu điểm nổi bật dưới đây trong răng sứ Venus:
2.1 Khả năng chịu lực vượt trội:
Răng sứ Venus được chế tác ở nhiệt độ 1200 độ C, giúp chúng trở nên vô cùng cứng và có khả năng chịu lực cao. So sánh với các dòng răng sứ khác như Zirconia hay Katana, Venus nổi bật với khả năng chịu lực ấn tượng.
2.2 An toàn và không gây kích ứng vùng lợi:
Răng Venus được tạo hoàn toàn từ phôi sứ nguyên chất, mang lại tính tương thích sinh học cao. Ngay cả sau một thời gian dài sử dụng, chúng không gây ra các vấn đề về kích ứng cho người dùng.
2.3 Không bị đen viền nướu:
Điểm mạnh của răng toàn sứ là khả năng không bị oxy hóa trong môi trường có tính axit cao. Trong khi các loại răng sứ kim loại giá rẻ có thể dẫn đến tình trạng đen viền nướu khi sử dụng lâu dài, răng Venus giải quyết vấn đề này một cách xuất sắc.
2.4 Tính thẩm mỹ đỉnh cao:
Răng Venus được sản xuất dựa trên công nghệ hiện đại, đảm bảo mỗi chiếc răng sứ thiết kế với độ chính xác tối đa. Điều này giúp răng Venus vừa khít với viền nướu và cùi răng thật, không gây ra vướng víu hoặc cảm giác không thoải mái khi ăn nhai.
2.5 Tuổi thọ sử dụng dài lâu:
Răng Venus được đánh giá cao bởi bác sĩ nha khoa vì khả năng sử dụng lâu dài. Nếu chăm sóc tốt có thể kéo dài lên đến 15 năm tuổi thọ.
2.6 Giá cả hợp lý:
Mặc dù là răng toàn sứ, giá của răng sứ Venus vô cùng hợp lý và không gây áp lực về tài chính cho khách hàng. Điều này làm cho Venus trở thành lựa chọn ưa thích của nhiều người khi cần phục hình răng mà không muốn tốn kém.
3. Nhược điểm của răng sứ Venus
Mặc dù răng sứ Venus có nhiều ưu điểm nổi bật, nhưng vẫn tồn tại một số nhược điểm:
3.1 Không phù hợp cho việc phục hình răng hàm:
Dù có độ chịu lực cao, răng Venus vẫn dễ bị sứt và mẻ hơn so với một số dòng mão sứ cao cấp khác. Vì vậy, nếu bạn cần phục hình răng hàm, Venus có thể không phải là lựa chọn tốt nhất.
3.2 Cảm nhận khi nhai thức ăn kém:
Do có độ dày lớn, răng Venus không cảm nhận thức ăn tốt như các dòng mão sứ cao cấp khác.
3.3 Yêu cầu mài nhiều men răng khi phục hình:
Vì thân răng dày, việc phục hình răng Venus đòi hỏi bác sĩ phải mài nhiều men răng hơn để đảm bảo sự cố định chặt chẽ và tránh tình trạng cộm, lệch khớp cắn.
3.4 Thiếu độ phản quang:
Mặc dù răng Venus được thiết kế tinh xảo, nhưng độ phản quang của chúng không cao. Do đó, có thể thấy rằng răng Venus có mức độ tự nhiên hơi kém khi được quan sát kỹ lưỡng.
4. Các dạng răng sứ Venus hiện nay
Răng sứ Venus được phân loại dựa trên nguồn gốc sản xuất, và có nhiều loại khác nhau. Trong đó, bao gồm răng sứ Venus của Đức, Hàn Quốc và Mỹ. Trong số này, răng sứ Venus của Đức thường được đánh giá cao về chất lượng và là sự lựa chọn phổ biến.
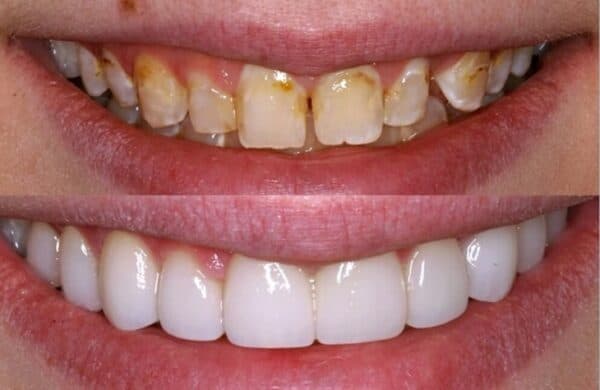
Răng trở nên trắng sáng và đều hơn sau khi bọc sứ Venus (minh họa).
Sự đa dạng này cho phép người dùng lựa chọn dựa trên nhu cầu tài chính của họ. Nếu bạn ước mơ có một nụ cười tự nhiên thì răng sứ Venus là lựa chọn tuyệt vời. Tuy nhiên, để đạt được kết quả tốt nhất, luôn nên tìm kiếm sự tư vấn từ bác sĩ nha khoa và chọn một cơ sở nha khoa uy tín để thực hiện quy trình răng sứ.
5. Mức chi phí của răng sứ Venus hiện nay bao nhiêu?
Giá của răng sứ Venus dao động từ 3.500.000 VNĐ đến 4.000.000 VNĐ cho mỗi răng, tùy thuộc vào chính sách của từng cơ sở nha khoa. Các nha khoa hàng đầu luôn ưu tiên mang đến khách hàng các dòng răng sứ cao cấp, đáp ứng nhiều nhu cầu khác nhau.
6. Quy trình bọc răng sứ Venus tiêu chuẩn
Bất kể loại răng sứ Venus nào, quy trình bọc răng sứ luôn bao gồm các bước sau:
Bác sĩ đang tiến hành bọc răng sứ Venus cho bệnh nhân (minh họa).
6.1 Bước 1: Kiểm tra sức khỏe răng miệng
Trước khi bắt đầu quy trình bọc răng sứ, bác sĩ sẽ tiến hành kiểm tra tình trạng tổng quát của răng miệng. Sau đó, nha sĩ sẽ loại bỏ mọi vết thức ăn thừa còn tồn đọng. Mục tiêu là đảm bảo sức khỏe răng và tránh các vấn đề tiềm ẩn. Bác sĩ sẽ cho thực hiện chụp CT để đánh giá chi tiết hơn.
6.2 Bước 2: Lập phác đồ điều trị và chọn mẫu răng
Dựa vào hình ảnh vừa chụp, bác sĩ sử dụng phần mềm để đánh giá và tạo phác đồ điều trị phù hợp cho từng bệnh nhân. Tại đây, bạn sẽ được tư vấn về các răng sứ Venus, bao gồm Venus Multi và Venus Zirconia. Tiếp đó, bạn sẽ được mô phỏng hình ảnh răng sau khi được bọc.
6.3 Bước 3: Đo đạc và lấy dấu răng
Bác sĩ sẽ tiến hành tê răng và tiến hành mài. Dựa vào việc mài và đo đạc, bác sĩ sẽ kiểm tra độ hài hòa của răng bọc sứ với răng thật về màu sắc và hình dáng. Điều này bao gồm kiểm tra chân nướu, các tiếp xúc mặt bên, và khớp cắn. Mục đích để đảm bảo sự phù hợp với mỗi cá nhân. Sau khi kiểm tra hoàn tất, thông tin sẽ được gửi đến phòng chế tác để làm răng sứ.
6.4 Bước 4: Lắp răng sứ
Quá trình chế tác răng sứ hoàn tất sau 2-3 ngày là có thể sử dụng. Bác sĩ sẽ gọi bạn trở lại để thực hiện lắp răng sứ. Bác sĩ sẽ sử dụng xi măng nha khoa chuyên dụng để đảm bảo răng sứ vững chắc nhất. Bên cạnh đó, bác sĩ cũng sẽ điều chỉnh và sủ lý sao cho phù hợp với cùi răng. Cuối cùng, bác sĩ sẽ hướng dẫn bạn cách chăm sóc răng miệng và các điều cần ghi nhớ để bảo đảm tuổi thọ và hiệu quả của răng sứ.
Hy vọng những thông tin về phân loại và chi phí của bọc răng sứ Venus hữu ích với bạn. Mọi thắc mắc liên quan khác sẽ được bác sĩ giải đáp kĩ càng khi bạn ghé thăm Thu Cúc TCI nhé.
















