Phương pháp trị cao răng hiện đại
Việc lấy cao răng theo phương pháp truyền thống có thể đem lại hiệu quả nhất định. Tuy nhiên, đó chưa phải là lựa chọn với kết quả tối ưu. Để có thể đem tới những kết quả tốt hơn, ngăn ngừa sự trở lại của cao răng lâu hơn, nhiều phương pháp trị cao răng hiện đại đã ra đời.
1. Thế nào là thực hiện lấy cao răng?
Lấy cao răng là những mảng vôi răng, mảng bám trong khoang miệng
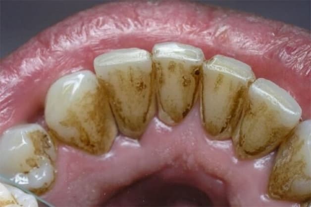
Cao răng chính là hậu quả sau thời gian không thực hiện kỹ vệ sinh khoang miệng. Từ đó, những vụn thức ăn thừa, mảng bám mắc ở kẽ răng, dưới nướu hoặc có thể xung quanh cổ chân răng. Những mảng cao răng thường có màu vàng nhạt hay vàng, trắng đục tùy vào từng trường hợp. Nếu như ta vô tình bị chảy máu chân răng, cao răng khi bị ngấm máu sẽ dần chuyển nâu đỏ. Đây được gọi là huyết thanh cao răng.
Lấy cao răng chính là quy trình thực hiện làm sạch những mảng vôi răng, mảng bám ấy. Khi đó, bác sĩ sẽ sử dụng những dụng cụ chuyên dụng để dần loại bỏ chúng. Nếu việc lấy cao răng không được thực hiện định kỳ có thể dẫn tới nhiều bệnh lý răng miệng như viêm nướu. Và đây chính là nền móng dẫn tới sự phát triển thành viêm nha chu, gây mủ, lung lay răng, rụng răng, …
2. Nguyên nhân cần thực hiện phương pháp trị cao răng
Cao răng cần phải được xử lý sớm. Nếu như cao răng tồn tại lâu trong khoang miệng sẽ biến nơi đây thành môi trường lý tưởng cho tới hơn 500 loại vi khuẩn tồn tại, phát triển. Chúng sẽ gây ra các vấn đề răng miệng ở những cấp độ khác nhau. Từ hôi miệng, viêm nướu, … cho tới nặng hơn là viêm nha chu kéo theo tiêu xương, răng lung lay.
Cao răng nếu không sớm loại bỏ có thể gây ra nhiều vấn đề bệnh lý nghiêm trọng
Ngoài tình trạng sức khỏe răng miệng, tính thẩm mỹ cũng sẽ ảnh hưởng nghiêm trọng nếu cao răng không sớm được xử lý. Cao răng sẽ làm hàm răng loang lổ, không đều màu. Những mảng màu vàng, nâu vàng bám ở quanh thân răng hay cổ răng rất dễ nhận thấy.
3. Các phương pháp cạo cao răng hiện đại
3.1 Phương pháp trị cao răng với máy thổi cát
Trị cao răng bằng máy thổi cát là phương pháp với thiết bị được sử dụng là máy có chức năng thổi cát áp suất. Những hạt cát muối được thổi ra tạo tác động ma sát lên cao răng. Từ đó, chúng sẽ dần bong tróc, loại bỏ dễ dàng hơn.
Phương pháp loại bỏ cao rằng bằng máy thổi cát muối đã không còn quá mới mẻ. Công nghệ hiện đại này đem tới nhiều lợi ích cho người sử dụng:
– Xử lý sạch sẽ cao răng: Những hạt cát muối rất nhỏ sẽ nhanh chóng tạo ma sát. Chúng sẽ gây hao mòn, thổi bay lớp cao răng ở trên bề mặt khá hiệu quả.
– Không gây cảm giác bị ê buốt: Những áp lực từ cát thổi được tạo ra vừa đủ. Nhờ vậy, người bệnh sẽ không bị đau hay ê buốt răng. Bên cạnh đó, phương pháp này có thể làm sạch những vùng cao răng dưới nướu mà không cần phải tách nướu, tránh được đau nhức.
– Hạn chế tình trạng bị lây nhiễm chéo: Vì phần lớn những yếu tố tác động lên răng suốt quá trình thực hiện là cát muối được phun với áp suất vừa từ trực tiếp máy thổi, ta có thể hạn chế được những sự lây nhiễm không đáng có.
Tuy nhiên, phương pháp này vẫn còn hạn chế, làm rỗ bề mặt răng. Điều này là do men răng dễ bị cát phun áp suất lớn dẫn tới chà sát, mài mòn. Bề mặt răng sẽ xuất hiện độ nhám, dễ bám bẩn.
3.2 Trị cao răng bằng công nghệ sóng siêu âm
Công nghệ lấy cao răng bằng sóng siêu âm sử dụng những bước sóng siêu âm giúp làm sạch khoang miệng. Cụ thể, những dụng cụ chuyên dụng được tích hợp khả năng phát sóng siêu âm ở đầu bụng scaler. Khi ta thực hiện, những bước sóng với âm tần phù hợp sẽ tác động lên cao răng, phá vỡ cấu trúc vôi hóa và khiến ta dễ dàng trị cao răng.
Đây là phương pháp được khá nhiều người lựa chọn và yêu thích. Nguyên do là bởi những ưu điểm nổi bật phương pháp này đem lại:
– Không đau nhức, ê buốt: Công nghệ sóng siêu âm sử dụng những bước sóng với âm tần vừa phải. Trong quá trình thực hiện, sóng siêu âm tiếp xúc với mô cứng quanh răng nhẹ nhàng. Nhờ vậy, răng, nướu không bị đau nhức, ê buốt.
– Làm sạch được cao răng ở nhiều vị trí: Nhờ thiết kế đầu mũi linh hoạt, bác sĩ có thể dùng máy siêu âm thao tác tại nhiều vị trí ở trong khoang miệng. Những bước sóng siêu âm sẽ tác động sâu, linh hoạt kể cả vôi răng dưới nướu.
– Ngăn ngừa tình trạng mảng bám: những bước sóng sẽ kích thích quá trình tự sản sinh collagen răng. Nhờ đó, khoảng trống trên răng sẽ được bù đắp nhanh chóng, răng có độ trơn láng, hạn chế hình thành mảng bám.
– Thời gian thực hiện nhanh: Kỹ thuật sử dụng sóng siêu âm giúp tác động nhanh chóng, hiệu quả lên cao răng. Từ đó, chúng sẽ bị phá hủy kết cấu nhanh, tiết kiệm được khá nhiều thời gian thực hiện.
4. Lưu ý sau khi vừa thực hiện lấy cao răng
Lấy cao răng cần được duy trì thực hiện định kỳ mỗi năm 2 lần
Sau khi thực hiện lấy cao răng, để giảm sự hình thành mảng bám, cao răng, ta cần lưu ý chăm sóc phù hợp. Cụ thể:
– Vệ sinh răng miệng phù hợp: Ta nên đánh răng đều đặn, đúng cách với 2 lần/ngày. Loại bàn chải được sử dụng cần có kích thước phù hợp, đầu lông mềm cùng kem đánh răng chứa Fluor. Bên cạnh đó, để tăng thêm hiệu quả làm sạch, ta cần kết hợp sử dụng cả chỉ nha khoa, nước súc miệng với liều lượng phù hợp.
– Chế độ ăn với nhiều rau củ quả tươi: Đây là nhóm thức ăn giúp thúc đẩy cơ chế nhai của hàm. Khi nhai kỹ, khoang miệng sẽ tiết nhiều nước bọt. Từ đó, những vi khuẩn gây ra mảng bám sẽ được hạn chế.
– Kiểm tra nha khoa và thực hiện phương pháp trị cao răng định kỳ: Việc lấy cao răng không chỉ thực hiện một lần là xong. Nếu không kiểm tra và chăm sóc cẩn thận, cao răng sẽ lại quay lại tấn công. Do đó, ta cần duy trì thói quen kiểm tra răng miệng và trị cao răng 2 lần mỗi năm.
Bài viết trên đã đề cập cho ta thấy những phương pháp trị cao răng. Giữa các công nghệ trên thì phương pháp sử dụng sóng siêu âm được hầu hết mọi người đánh giá cao. Tuy nhiên tùy từng trường hợp, điều kiện cụ thể, mỗi người sẽ có lựa chọn phù hợp riêng. Hy vọng qua bài viết, mọi người đã tìm ra được phương pháp trị cao răng cho bản thân.


















