Niềng răng ở đâu tốt Hà Nội, bạn đã biết chưa?
Với mong muốn sở hữu một hàm răng đẹp và phòng ngừa các bệnh lý răng miệng, nhiều người đã lựa chọn phương pháp niềng răng. Bài viết hôm nay sẽ giúp các bạn giải đáp thắc mắc “niềng răng ở đâu tốt Hà Nội“.
1. Niềng răng là phương pháp như thế nào?
Niềng răng được đánh giá là một trong những phương pháp thẩm mỹ hiệu quả được nhiều khách hàng ưa chuộng vì mang đến hiệu quả cao và an toàn với sức khoẻ người dùng. Phương pháp này sử dụng khí cụ chỉnh nha để điều chỉnh những khuyết điểm của răng, giúp răng về đúng vị trí trên cung hàm. Hiện nay có 2 kiểu niềng để người dùng có thể lựa chọn: Niềng răng mắc cài và niềng răng không mắc cài.
Niềng răng là phương pháp thẩm mỹ hiệu quả, được rất nhiều nhiều khách hàng lựa chọn
2. Những phương pháp niềng răng được ưa chuộng nhất hiện nay
2.1 Niềng răng mắc cài kim loại
Với phương pháp này, người dùng sẽ dùng những khí cụ truyền thống như mắc cài kim loại, dây cung, dây chun để thực hiện nắn chỉnh răng. Điểm đặc trưng của loại niềng này chính là mắc cài được làm bằng chất liệu kim loại. Mặc dù có hiệu quả cao và chi phí thấp nhưng màu sắc kim loại dễ lộ khi giao tiếp nên không được đánh giá cao về tính thẩm mỹ.
2.2 Niềng răng mắc cài nắp tự động (tự buộc)
Vẫn là mắc cài được làm bằng chất liệu kim loại, tuy nhiên mắc cài đã được thiết kế có nắp tự động. Khi dây cung được lắp vào sẽ tự động trượt vào rãnh mắc cài và cố định tại các điểm mà không cần dây chun giữ. Chính vì vậy, phương pháp này loại bỏ hoàn toàn những tác hại do dây chun mang đến như dây chun tuột, dây chun bắn vào lợi, nuốt phải dây chun…đồng thời giảm thiểu số lần cần tái khám với nha sĩ.
2.3 Niềng răng mắc cài sứ
Với loại niềng răng này, tính thẩm mỹ đã được cải tiến đáng kể bằng cách sử dụng mắc cài làm bằng sứ. Chất liệu này có màu sắc tự nhiên như răng thật nên khó nhận ra khi giao tiếp hay khi cười. Tuy nhiên, thời gian niềng răng sẽ dài hơn và chất liệu sứ sẽ dễ vỡ nếu gặp tác động mạnh.
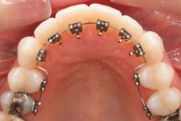
2.4 Niềng răng mặt trong (mặt lưỡi)
Niềng răng mặt trong được coi là một loại niềng răng mang tính “cách mạng” đối với phương pháp niềng răng
Đây là loại niềng răng mang tính “cách mạng” đối với phương pháp niềng răng. Vị trí của mắc cài đã được thay đổi, lắp vào phía trong của răng thay vì ở phía ngoài như các phương pháp truyền thống trước đây. Điều này giúp mang đến tính thẩm mỹ cao, người khác rất khó phát hiện ra bạn đeo niềng răng. Tuy nhiên, vì vị trí răng phía trong bị che khuất nên đòi hỏi bác sĩ thực hiện phải có tay nghề cao, giàu kinh nghiệm và phải được thực hiện với hệ thống trang thiết bị nha khoa hiện đại.
2.5 Niềng răng khay trong suốt Invisalign
Loại niềng răng này khác biệt hoàn toàn so với các phương pháp trước đây. Toàn bộ các khí cụ truyền thống được thay thế hoàn toàn chỉ với khay niềng trong suốt đeo lên hàm răng. Khay niềng này có thể dễ dàng tháo lắp khi ăn uống, vệ sinh răng miệng và vào những dịp quan trọng với bạn. Bên cạnh đó, khay niềng được làm bằng nhựa trong suốt nên rất khó nhận ra khi giao tiếp hay khi cười.
3. Địa chỉ niềng răng tốt ở Hà Nội
Bạn chỉ niềng răng một lần trong đời, vì vậy hãy lựa chọn các cơ sở uy tín để giúp đạt được hiệu quả như mong muốn và tránh gặp phải những biến chứng ảnh hưởng đến sức khoẻ. Hệ thống Y tế Thu Cúc TCI là một địa chỉ niềng răng uy tín được nhiều khách hàng lựa chọn với những điểm nổi bật như:
– Đội ngũ y bác sĩ có hơn 15 năm kinh nghiệm, từng tu nghiệp tại nước ngoài và luôn tận tâm, nhẹ nhàng với người bệnh.
– 100% trang thiết bị đều được nhập khẩu từ các nước có nền nha khoa hàng đầu.
– Có đa dạng các phương pháp niềng răng để khách hàng có thể lựa chọn, phù hợp với tình trạng răng, nhu cầu và tình hình tài chính của bản thân.
– Khí cụ chỉnh nha chất lượng, được sản xuất đúng chuẩn và chất lượng.
– Điều dưỡng nhẹ nhàng và tận tình hướng dẫn, giải đáp thắc mắc cho khách hàng.
– Vô vàn tiện ích hấp dẫn dành cho khách hàng đến từ bệnh viện tư top đầu của thành phố Hà Nội.
Niềng răng là một trong những dịch vụ nổi bật của Hệ thống Y Tế Thu Cúc TCI
Hy vọng rằng bài viết trên của chúng tôi đã cung cấp những thông tin hữu ích về chủ đề “niềng răng ở đâu tốt Hà Nội“. Để đạt được hiệu quả niềng răng cao nhất, hãy cân nhắc kỹ lưỡng các yếu tố trước khi lựa chọn cơ sở nha khoa nhé.


















