Những việc cần làm khi phát hiện bị sâu răng lỗ to
Sâu răng lỗ to là dấu hiệu cho thấy tình trạng râu của răng đã trở nên nghiêm trọng. Để giúp bảo tồn răng hiệu quả, cần phải khắc phục sớm tình trạng này. Dưới đây là một số thông tin bệnh và các giải pháp tối ưu để xử trí cho bạn tham khảo.
1. Đôi nét về tình trạng răng bị sâu lỗ to
1.1. Nguyên nhân
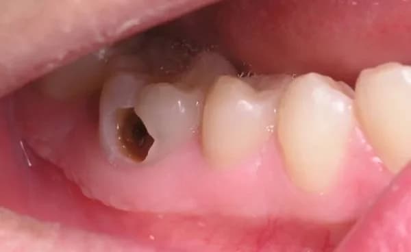
Tình trạng răng bị sâu lỗ to xảy ra khi sâu răng đã kéo dài mà không được điều trị triệt để. Vi khuẩn gây sâu răng lan tỏa, tấn công và ăn mòn răng, tạo ra các lỗ to màu đen trên bề mặt răng. Ban đầu, lỗ sâu răng nhỏ chỉ như một chấm đen nhỏ, dễ bỏ qua. Tuy nhiên, nếu người bệnh không tuân thủ vệ sinh răng miệng đúng cách, lỗ sâu này có thể nhanh chóng phát triển thành lỗ to hơn.
Sâu răng lỗ to là tình trạng răng khá nặng
Hầu hết các trường hợp sâu răng lớn xảy ra ở răng hàm. Điều này xuất phát từ vị trí ẩn sâu bên trong răng hàm, nơi răng hàm đóng vai trò chính trong việc nhai thức ăn. Sự tích tụ thức ăn cộng với khó khăn trong việc vệ sinh đã tạo điều kiện thuận lợi cho vi khuẩn gây sâu răng phát triển. Sâu răng với lỗ to kéo dài có thể dẫn đến tình trạng răng ê buốt khi tiếp xúc với thức ăn nóng hoặc lạnh, và gây khó khăn trong việc nhai thức ăn.
Vì các dây thần kinh và mạch máu tập trung nhiều ở phần chân răng, khi lỗ sâu răng lớn lan rộng đến tủy, sẽ gây ra cảm giác đau đớn, ê buốt răng ngày càng trầm trọng. Sâu răng lỗ to kết hợp với việc kẽ răng bị sâu kéo dài có thể tăng nguy cơ mất răng vĩnh viễn cho bệnh nhân.
1.2. Các mức độ sâu răng lỗ to
Tình trạng răng bị sâu lỗ to được phân loại thành ba mức độ khác nhau, dựa trên mức độ tổn thương của men răng, ngà răng và tủy răng bên trong. Mỗi mức độ sẽ có các triệu chứng cụ thể tương ứng:
– Mức độ 1:
Răng bị sâu có lỗ nhỏ, thường xuất hiện như các điểm xám nhạt trên bề mặt răng. Đây là biểu hiện ban đầu của vấn đề, thường không được chú ý. Tuy nhiên, vi khuẩn tiếp tục tấn công men răng và làm cho mô răng bị tổn thương hơn, tạo ra các lỗ sâu lớn hơn.
– Mức độ 2:
Sâu răng có lỗ thủng, cho thấy mức độ nặng hơn khi men răng và ngà răng đã bị phá hủy. Răng trở nên nhạy cảm, gây đau nhức khi ăn uống thức ăn nóng hoặc lạnh. Nếu có thức ăn bị mắc kẹt trong lỗ thủng, cảm giác khó chịu sẽ tăng lên đáng kể.
– Mức độ 3:
Nếu sâu răng có lỗ thủng không được điều trị kịp thời, vi khuẩn sẽ tiếp tục xâm nhập vào mô tủy bên trong. Đây là nguyên nhân của những cơn đau nhức mạnh và kéo dài. Tình trạng này có thể tiến triển nghiêm trọng hơn, gây ra viêm nhiễm lan rộng hoặc thậm chí gây chết tủy răng. Điều này làm răng trở nên yếu và có nguy cơ bị gãy vỡ.
Việc phân loại tình trạng răng bị sâu lỗ to thành ba mức độ khác nhau dựa trên mức độ tổn thương của men răng, ngà răng và tủy răng bên trong. Mỗi mức độ sẽ có các triệu chứng riêng biệt, từ những biểu hiện ban đầu đến những tình trạng nghiêm trọng hơn có thể gây nguy hiểm cho sức khỏe răng.
1.3. Sâu răng lỗ to có thể có những hậu quả gì?
Vấn đề sâu răng là một thách thức rất phổ biến trong lĩnh vực nha khoa ngày nay và có thể ảnh hưởng đến bất kỳ ai. Khi tình trạng răng bị sâu lỗ to không được giải quyết hiệu quả và kịp thời, bạn có thể gặp phải các vấn đề sau:
– Gây hại cho dây thần kinh: Thường thì dây thần kinh và mạch máu tập trung tại chân răng. Khi bị sâu răng, vùng này có thể bị tác động và lây lan tới tủy răng, gây ra cảm giác đau nhức nghiêm trọng và kéo dài, thậm chí trong vài ngày liền.
Có nhiều hậu quả nếu để răng của bạn bị sâu lỗ to
– Chết tủy răng: Nếu tình trạng sâu răng lây lan đến tủy răng, dây thần kinh có thể bị nhiễm trùng, dẫn đến sưng đau và làm tắc nghẽn nguồn cung cấp máu đến dây thần kinh, gây chết tủy răng. Trong tình huống này, cơn đau sẽ mất đi, nhưng bạn sẽ phải đối mặt với tình trạng mất răng.
– Gây nhiễm trùng trong khoang miệng: Các mảng tế bào chết tại chân răng có thể gây nhiễm trùng cho vùng này. Vấn đề này có thể lan tỏa và gây viêm nhiễm hàm cũng như các tuyến trong khoang miệng. Bạn có thể bị sốt cao và nghiêm trọng hơn, có thể gây áp xe răng và đe dọa tính mạng.
– Răng bị vỡ thành nhiều mảnh: Khi xuất hiện lỗ to trên bề mặt răng, khả năng răng bị vỡ thành nhiều mảnh sẽ tăng lên.
Như vậy, sâu răng không chỉ gây ra vấn đề về sức khỏe răng miệng mà còn có thể ảnh hưởng đến sức khỏe tổng thể của cơ thể.
2. Những việc cần làm khi răng bị sâu lỗ to
Tình trạng răng bị sâu lỗ to, dù có chảy máu hay không, đều tạo ra những tác động đáng kể đối với người mắc phải. Trong tình huống này, bạn có một số phương án để chọn lựa như sau:
2.1. Hàn răng
Phương pháp này thường được áp dụng cho các trường hợp lỗ sâu răng chưa quá nghiêm trọng. Bằng cách này, các chuyên gia sẽ tiến hành làm sạch vùng răng bị sâu, sau đó sử dụng các vật liệu trám chất lượng để điền vào các lỗ thủng. Cuối cùng, vật liệu trám răng sẽ được đông cứng bằng đèn chiếu halogen, giúp răng trở nên vững chắc như trước. Phương pháp này phụ thuộc vào mức độ nghiêm trọng của tình trạng sâu răng. Trong trường hợp sâu răng quá nặng, việc hàn trám thường không phù hợp, và chọn lựa phương pháp khác là cần thiết.
Đến các cơ sở Nha khoa có tiếng để được xử lý
2.2. Bọc răng sứ
Đối với răng bị sâu lỗ to, bọc răng sứ được coi là lựa chọn bảo tồn răng tối ưu hơn.
Trong phương pháp này, bác sĩ sử dụng lớp vỏ sứ, với hình dáng và màu sắc tương tự răng thật, để bọc quanh phần cùi răng. Đồng thời, mão sứ được thiết kế và đặt lên trên để ngăn chặn vi khuẩn gây sâu răng. Đây là giải pháp không chỉ giúp khôi phục hình dáng của răng mà còn bảo vệ răng thật khỏi tác động xấu từ môi trường bên ngoài.
2.3. Nhổ và trồng mới
Trong trường hợp sâu răng nặng, khi vi khuẩn đã lan ra hầu hết các mô răng và không thể khôi phục, việc nhổ răng sâu là lựa chọn để ngăn ngừa biến chứng. Sau đó, việc trồng răng thay thế là cần thiết để duy trì chức năng ăn nhai và tạo ra một hàm răng có tính thẩm mỹ.
Về việc xử lý tình trạng răng bị sâu lỗ to, bạn không cần quá lo lắng. Sau khi thăm khám, các chuyên gia sẽ đề xuất giải pháp điều trị tối ưu cho bạn. Điều quan trọng là bạn cần tập trung vào việc chăm sóc răng miệng, ngăn chặn sự tiến triển của tình trạng sâu răng để tránh làm cho quá trình điều trị trở nên phức tạp hơn.

















