Những trường hợp có thể hàn trám răng sâu lỗ to
Hàn trám răng là một quy trình nha khoa quan trọng giúp phục hồi và bảo vệ răng khỏi tổn thương và vi khuẩn. Phương pháp này thường được áp dụng điều trị khi răng bị sâu. Tuy nhiên, việc hàn trám răng sâu lỗ to thì có thể thực hiện không?
1. Giai đoạn tiến triển của tình trạng sâu răng
1.1 Răng chớm sâu
Ban đầu, sâu răng thường bắt đầu ở lớp men răng bề mặt và gần nửa trên của răng. Khi đó, mảng vi khuẩn tạo axit làm hỏng men răng và hình thành lỗ nhỏ. Đây chính là dấu hiệu thời điểm ban đầu của sâu răng. Giai đoạn này có thể không có triệu chứng rõ ràng, nhưng men răng đã bị ảnh hưởng.
1.2 Sâu răng nặng
Nếu không được điều trị kịp thời, sâu răng sẽ tiến triển sâu hơn vào các lớp răng. Điều này có thể gây đau và làm cho răng nhạy cảm hơn. Đặc biệt khi răng tiếp xúc với thức ăn nóng, lạnh hoặc ngọt sẽ đau nhức. Ngoài ra, sâu răng nặng có thể gây viêm nhiễm và hậu quả nghiêm trọng cho sức khỏe nếu không được chữa trị kịp thời.
1.3 Răng sâu lỗ to, nghiêm trọng
Trong trường hợp sâu răng phát triển và không được chữa trị sẽ dẫn đến tình trạng răng sâu lỗ to, nghiêm trọng. Đây là khi sâu xâm nhập sâu vào cấu trúc răng. Điều này gây ra lỗ lớn và tổn thương nghiêm trọng cho răng. Răng có thể trở nên yếu, dễ gãy và có nguy cơ mất răng cao.
2. Các phương pháp thực hiện điều trị răng sâu
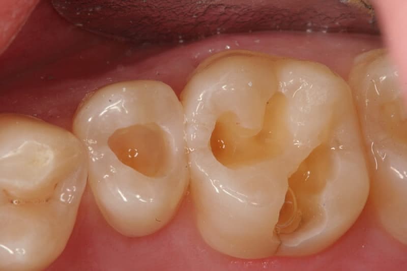
2.1 Trám răng sâu
Lỗ sâu sẽ được làm sạch, loại bỏ phần sâu trước khi hàn trám
Trám răng sâu là một phương pháp điều trị phổ biến cho các vấn đề sâu răng. Quá trình trám răng sâu bao gồm các bước sau:
– Kiểm tra và chẩn đoán: Bác sĩ nha khoa sẽ thực hiện các bước kiểm tra răng của bạn để xác định mức độ tổn thương và xác định liệu trám răng có phù hợp hay không.
– Làm sạch lỗ sau: Trước khi bắt đầu quá trình trám răng, vùng răng bị sâu sẽ được làm sạch. Bước này để loại bỏ vi khuẩn, tránh tình trạng tái sâu sau khi hàn trám.
– Chuẩn bị trám: Bao gồm việc lấy dấu răng, chế tác miếng dán, gây tê.
– Thực hiện hàn trám: Bước tiếp theo, bác sĩ sẽ sử dụng vật liệu chuyên dụng để trám răng. Các loại vật liệu thường được sử dụng bao gồm composite, sứ, GIC,…
– Kiểm tra và điều chỉnh: Cuối cùng, bác sĩ sẽ kiểm tra xem lối lấp có vừa vặn và thoải mái không. Nếu cần thiết, răng sau hàn trám có thể điều chỉnh thêm.
2.2 Bọc răng sứ
Bọc răng sứ là một phương pháp điều trị hiệu quả cho các trường hợp răng sâu. Phương pháp này thường được áp dụng trong trường hợp răng sâu khá nặng và cần phục hình sau điều trị. Dưới đây là các bước trong quy trình điều trị:
– Kiểm tra và chẩn đoán: Bước đầu tiên là bác sĩ sẽ kiểm tra răng để đánh giá mức độ tổn thương. Từ đó, chúng ta xác định xem liệu bọc răng sứ có phù hợp không.
– Làm sạch lỗ sâu và mài răng: Trước khi bọc răng sứ, răng cần được làm sạch lỗ sâu. Sau đó, răng sẽ được mài bớt theo tỉ lệ thích hợp.
– Lấy dấu răng: Tiếp đến, bác sĩ sẽ lấy dấu răng để chế tạo răng sứ phù hợp với hình dáng, màu sắc và kích thước của răng gốc.
– Chế tạo mão răng sứ: Dựa trên dữ liệu được thu thập từ bước trước, răng sứ sẽ được chế tạo phù hợp.
– Chụp mão sứ lên răng thật: Khi răng sứ đã hoàn thành, răng sẽ được chụp lên cùi răng thật. Bác sĩ nha khoa sẽ điều chỉnh và kiểm tra răng sứ để đảm bảo sự vừa vặn và thoải mái.
2.3 Nhổ răng
Để thực hiện điều trị răng sâu bằng cách nhổ bỏ răng, chúng ta cần lưu ý những bước sau:
– Kiểm tra và xác định răng cần nhổ: Bác sĩ sẽ xác định mức độ tổn thương của răng và xem xét liệu răng có thể điều trị bảo tồn không.
– Tiêm thuốc tê và nhổ răng: Trước khi nhổ răng, vùng xung quanh răng sẽ được tiêm tê để làm giảm cảm giác đau. Tiếp đến bác sĩ sẽ thực hiện nhổ răng với những dụng cụ chuyên dụng, tùy theo phương pháp được lựa chọn.
– Kiểm tra và hồi phục: Sau khi răng đã được nhổ, bác sĩ sẽ kiểm tra và chăm sóc khu vực nhổ. Điều này để đảm bảo sự lành lặn và hạn chế nguy cơ nhiễm trùng. Sau đó, vết thương sẽ cần thời gian để ổn định.
– Phục hình răng: Sau khi vết nhổ răng ổn định, quá trình phục hình răng sẽ được tiếng hành. Cụ thể, phương pháp thường được sử dụng là trồng răng Implant hoặc cầu răng sứ. Điều này là tùy theo nhu cầu và điều kiện cụ thể.
3. Răng sâu lỗ to có hàn trám được không?
3.1 Những trường hợp có thể trám răng sâu lỗ to
Việc hàn trám răng sâu có được thực hiện không còn phụ thuộc nhiều yếu tố
Răng sâu lỗ to có thể được điều trị bằng việc hàn trám. Tuy nhiên, cụ thể về vấn đề này còn phụ thuộc vào nhiều yếu tố:
– Kích thước lỗ sâu răng: Việc hàn trám thường được sử dụng cho các lỗ răng sâu lớn vừa, còn có thể khắc phục. Đối với các lỗ sâu quá to, không thể thực hiện, bác sĩ sẽ tư vấn bọc răng sứ hoặc trồng răng giả sau khi điều trị.
– Vị trí lỗ sâu: Các lỗ răng ở vùng sau hàm là nơi áp lực nhai lớn hơn. Những vị trí này thường đòi hỏi một vật liệu trám tốt để đảm bảo rằng răng không bị hỏng. Nếu không thể đảm bảo hoặc vị trí lỗ sâu khó thao tác, phương pháp hàn trám có thể không phù hợp.
– Tình trạng răng xung quanh: Để đảm bảo an toàn, hiệu quả, bác sĩ nha khoa cần xác định xem liệu việc hàn trám có ảnh hưởng đến cấu trúc xung quanh của răng sâu hay không.
– Tình trạng sức khỏe răng miệng: Bác sĩ nha khoa sẽ đánh giá tình trạng tổng thể của răng và nướu của bạn để đảm bảo rằng việc điều trị sẽ không gây ra các vấn đề phụ khác.
3.2 Những trường hợp răng không thể trám răng sâu lỗ to
Có một số trường hợp mà việc trám răng sâu lỗ to có thể không phù hợp:
– Mức độ sâu nghiêm trọng: Trong một số trường hợp, răng có thể đã bị sâu nghiêm trọng. Khi đó, việc trám răng có thể không giải quyết được vấn đề.
– Vị trí lỗ sâu không phù hợp: Đối với những trường hợp lỗ răng có thể nằm ở vị trí khó tiếp cận hoặc không thuận lợi để trám. Lúc này, việc trám răng có thể không khả thi.
Chúng ta nên thăm khám và nghe tư vấn từ bác sĩ để xác định phương pháp điều trị phù hợp cụ thể
– Tình trạng tổng thể của răng, nướu không tốt: Khi tình trạng tổng thể của răng và nướu của người bệnh không tốt thì có thể không phù hợp để tiến hành việc trám răng.
Trên đây là một số thông tin giải đáp hàn trám răng sâu lỗ to có thể thực hiện không. Để xác định được đáp án phù hợp cho bản thân, điều quan trọng là tới thăm khám và lắng nghe tư vấn từ bác sĩ sau khi đã kiểm tra cụ thể.


















