Những thông tin về vấn đề hôi miệng chảy máu chân răng
Có nhiều nguyên nhân khác nhau dẫn đến tình trạng chảy máu chân răng. Chẳng hạn, có thể xuất phát từ việc sử dụng chỉ nha khoa hoặc tăm để làm sạch thức ăn ở giữa các răng. Tuy nhiên, nếu bạn gặp tình trạng hôi miệng chảy máu chân răng, cần xem xét các nguy cơ tiềm ẩn.
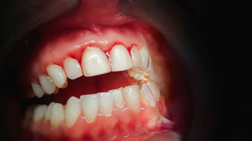
1. Khái quát về bệnh hôi miệng chảy máu chân răng
1.1. Tình trạng hôi miệng chảy máu chân răng là sao?
Tình trạng hôi miệng kèm chảy máu chân răng có thể là một dấu hiệu của nhiều vấn đề khác nhau liên quan đến sức khỏe nướu và răng.
Khi bạn gặp phải vấn đề này, bạn có thể sẽ cảm thấy:
– Miệng có mùi hôi: Hôi miệng thường là một trong những biểu hiện đầu tiên của tình trạng này. Mùi có thể xuất phát từ vi khuẩn tích tụ trong mảng bám nướu và các khe răng.
– Chảy máu chân răng: Nướu chảy máu, đặc biệt là sau khi chải răng hoặc sử dụng chỉ nha khoa, có thể là dấu hiệu của viêm nướu hoặc các vấn đề nướu khác.
– Nướu có thể trở nên đau và sưng, đặc biệt là khi bạn chải răng hoặc ăn nhai mạnh. Tình trạng chảy máu chân răng có thể đi kèm với những vấn đề khác như răng nhạy cảm, răng lung lay,…
Nếu bạn gặp bất kỳ dấu hiệu nào kể trên, đặc biệt là khi chúng kéo dài, bạn nên đến bác sĩ nha khoa sớm. Họ có thể đánh giá tình trạng của bạn, xác định nguyên nhân và đề xuất kế hoạch điều trị phù hợp
Chảy máu chân răng kèm hôi miệng có thể là dấu hiệu tiềm ẩn của bệnh lý khác
1.2. Nguyên nhân khiến hôi miệng chảy máu chân răng
Hôi miệng kèm chảy máu chân răng có thể xuất phát từ nhiều nguyên nhân khác nhau, và dưới đây là mô tả chi tiết về một số nguyên nhân chính:
– Vệ sinh răng miệng kém: Việc chải răng không đúng cách hoặc không đủ thường dẫn đến tích tụ mảng bám, cao răng và vi khuẩn, gây ra viêm nướu và chảy máu chân răng.
– Do viêm lợi: thường đi kèm với sưng, đau, và chảy máu khi chải răng.
– Sâu răng và viêm nha chu: Sâu răng và viêm nha chu cũng có thể gây chảy máu chân răng do tác động tiêu cực lên mô nướu và xung quanh răng.
– Thiếu canxi có thể gây làm yếu cơ nướu, tăng nguy cơ chảy máu khi chải răng.
– Tác dụng phụ của thuốc: Một số loại thuốc có thể gây tác dụng phụ như làm khô miệng hoặc làm yếu cơ nướu, tăng nguy cơ chảy máu.
– Stress và rối loạn nội tiết tố như các bệnh về tuyến giáp cũng có thể gây chảy máu chân răng.
– Hút thuốc lá: Việc hút thuốc lá không chỉ làm yếu cơ nướu mà còn làm tăng nguy cơ các vấn đề răng miệng, bao gồm chảy máu chân răng.
Để điều trị trước tiên cần tìm ra nguyên nhân của tình trạng
– Bệnh tiểu đường: có thể ảnh hưởng đến sức khỏe của răng và nướu, góp phần vào tình trạng chảy máu chân răng. Bệnh tiểu đường có thể làm suy giảm khả năng miễn dịch của cơ thể. Nếu nướu bị tổn thương, khả năng tự bảo vệ của cơ thể giảm đi, dẫn đến tăng nguy cơ viêm nướu và chảy máu chân răng. Người bị tiểu đường thường gặp khó khăn hơn trong việc duy trì sức khỏe nướu và răng, do đó, việc điều trị tình trạng chảy máu chân răng trong trường hợp này có thể đòi hỏi sự chăm sóc chuyên sâu hơn.
– Ung thư máu: Trong một số trường hợp, chảy máu chân răng có thể là một dấu hiệu của các bệnh ung thư máu, đặc biệt là trong trường hợp của bệnh máu trắng.
2. Chảy máu chân răng kèm theo mùi hôi có gây nguy hiểm không?
Trong nhiều trường hợp, chảy máu chân răng và mùi hôi có thể xuất phát từ vấn đề vệ sinh răng miệng. Nếu đây là nguyên nhân chủ yếu, cải thiện vệ sinh cá nhân và thói quen chải răng có thể giúp khắc phục tình trạng này.
Viêm nướu hoặc sâu răng cũng có thể dẫn đến chảy máu chân răng và tạo ra mùi hôi. Việc chăm sóc răng miệng đúng cách và thăm khám nha sĩ để điều trị dứt điểm các vấn đề này cũng có thể khiến tình trạng chảy máu chân răng kèm hôi miệng chấm dứt.
Trong trường hợp nguyên nhân của chảy máu chân răng và mùi hôi là các bệnh nặng như tiểu đường hoặc ung thư, điều trị có thể trở nên phức tạp hơn. Người bệnh cần thăm bác sĩ hoặc chuyên gia nha khoa để xác định nguyên nhân cụ thể và kế hoạch điều trị.
Chảy máu chân răng có thể tạo điều kiện cho vi khuẩn xâm nhập, gây ra nguy cơ nhiễm trùng. Ngoài ra, nó cũng có thể làm tăng nguy cơ các vấn đề sức khỏe tổng thể.
Tóm lại, nếu chảy máu chân răng và mùi hôi xuất phát từ vấn đề vệ sinh hoặc răng miệng, việc cải thiện thói quen chăm sóc răng và nướu có thể giúp giải quyết vấn đề. Tuy nhiên, nếu nguyên nhân là các bệnh lý nặng như tiểu đường hoặc ung thư, quản lý và điều trị sẽ đòi hỏi sự chăm sóc chuyên sâu và theo dõi định kỳ từ các chuyên gia y tế.
3. Cách điều trị
Nếu chảy máu chân răng kèm hôi miệng xuất phát từ tiểu đường và ung thư máu, cần tham khảo bác sĩ tại bệnh viện để được điều trị theo phác đồ riêng biệt. Trong trường hợp nguyên nhân khác, bác sĩ nha khoa có thể áp dụng một số biện pháp điều trị sau đây:
– Phương pháp y tế:
+ Thuốc kháng sinh: Sử dụng khi có nhiễm trùng mô nướu và chân răng.
+ Cạo vôi răng: Loại bỏ vi khuẩn và mảng bám trên răng.
+ Men răng tái sinh: Kích thích sự tái sinh và khỏe mạnh của răng.
+ Bào láng gốc răng: Ngăn chặn quá trình tích tụ cao răng và giúp loại bỏ vi khuẩn gây viêm nhiễm.
+ Ghép mô mềm ở vòm họng: Được thực hiện để tái tạo mô nướu bị ảnh hưởng và ổn định chân răng.
Đi khám nha khoa để được kiểm tra kỹ càng và đưa ra kết quả chính xác
– Điều trị tại nhà:
+ Súc miệng nước muối: Dùng nước muối để súc miệng 2 lần/ngày để giảm vi khuẩn, hạn chế nhiễm trùng và loại bỏ mùi hôi miệng.
+ Uống trà gừng và mật ong: Loại bỏ vi khuẩn gây hại, khử mùi hôi miệng, làm dịu niêm mạc, và giảm sưng đau.
+ Trà đinh hương: Giúp loại bỏ mùi, ngăn chặn chảy máu chân răng.
Việc thực hiện những biện pháp điều trị tùy thuộc vào nguyên nhân cụ thể của tình trạng. Trước khi tự ý áp dụng bất kỳ phương pháp nào, nên hỏi ý kiến của bác sĩ nha khoa để đảm bảo rằng cách bạn đang thực hiện là đúng và an toàn.
Trên đây là những thông tin về tình trạng hôi miệng đi kèm chảy máu chân răng. Nếu bạn gặp vấn đề này, nên đến nha khoa để được thăm khám cụ thể bạn nhé.


















