Những điều cần biết khi bạn muốn dán sứ veneer răng cửa
Chăm sóc răng là việc làm rất quan trọng để ngăn chặn sâu răng, xây dựng thói quen vệ sinh răng và giúp răng khỏe mạnh. Điều này còn giúp tránh tình trạng viêm nướu, tăng cường chức năng ăn nhai, cũng như bảo vệ răng.
1. Khái niệm và đối tượng được khuyên nên dán sứ Veneer
1.1 Định nghĩa về dịch vụ dán sứ răng Veneer
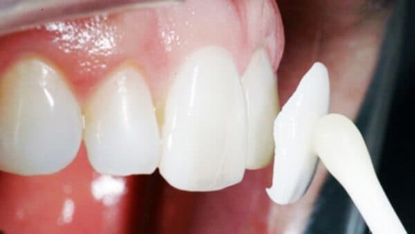
Dịch vụ dán sứ răng Veneer là một quá trình nha khoa thẩm mỹ hiện đại, được sử dụng để cải thiện vẻ ngoại hình của răng và tăng cường thẩm mỹ cho nụ cười. Veneer, hay còn được biết đến với tên gọi là lớp phủ sứ. Đây là một miếng dán được làm từ vật liệu sứ composite hoặc porselen, được dán trực tiếp lên bề mặt của răng. Miếng dán này có độ dày khá mỏng, chỉ từ 0.3mm nên khi thực hiện không cần mài quá nhiều cùi răng thật như bọc sứ. Thậm chí có trường hợp không cần mài mà chỉ cần làm nhám bề mặt răng là đủ.

Dán sứ có thể giúp cải thiện nụ cười trở nên rạng rỡ hơn
Miếng dán sứ thường có khả năng chịu lực cao lên đến khoảng 400 megapascal (MPa). Màu sắc của miếng dán sứ rất đa dạng, giúp tạo ra một nụ cười tự nhiên và thẩm mỹ.
Do khả năng chịu lực cao và màu sắc đa dạng, miếng dán sứ thích hợp cho việc phục hồi thẩm mỹ và chức năng của những răng đằng trước như trên răng cửa và răng nanh.
Miếng dán sứ thường có khả năng chống nước và chống mảng bám, giúp duy trì sự sạch sẽ và thẩm mỹ của răng sau quá trình điều trị.
1.2 Những ai có thể áp dụng kỹ thuật dán sứ Veneer răng cửa?
Dán sứ Veneer là một quá trình thẩm mỹ nha khoa được sử dụng để cải thiện vẻ ngoại hình của răng. Dưới đây là những trường hợp răng phổ biến mà việc sử dụng sứ Veneer có thể là lựa chọn phù hợp:
– Răng không đều màu hoặc ố màu:
Răng bị mất màu tự nhiên do thuốc lá, thức ăn, hoặc quá trình lão hóa có thể được cải thiện bằng cách sử dụng sứ Veneer để tạo ra một bề mặt răng đồng đều và sáng bóng.
– Răng nứt gãy:
Răng có những vết nứt nhỏ, vết trầy hoặc mẻ miếng nhỏ có thể được che phủ và bảo vệ bằng sứ Veneer, giúp khôi phục hình dạng và chức năng của răng.

Có một số trường hợp nên áp dụng biện pháp dán sứ
– Răng bị mòn:
Việc sai lệch khớp cắn hoặc một số nguyên nhân khác có thể khiến lớp men răng bên ngoài bị mòn, khiến men răng mỏng đi. Điều này có thể làm cho răng bị nhạy cảm hơn, dễ bị vi khuẩn tấn công hơn. Dán sứ lên mặt răng giúp che lại những vết mn, giúp bảo vệ răng tốt hơn.
– Răng bị thưa nhẹ hoặc sâu kẽ:
Với những trường hợp răng bị thưa ở mức độ nhẹ, bạn nên cân nhắc việc dùng dịch vụ dán sứ cho răng. Đặc biệt là những răng như răng cửa. Răng cửa thưa hoặc chỉ 1 vài răng bị thưa nhẹ thì dán sứ chính là giải pháp tối ưu cho khách hàng. Vừa đảm bảo không mất nhiều thời gian chỉnh hình răng như niềng, vừa không tốn quá nhiều chi phí như bọc sứ.
2. Lý do dán sứ răng cửa được yêu thích
Hiện nay, phương pháp dán sứ Veneer đang là một xu hướng thẩm mỹ rất được ưa chuộng, đặc biệt là trong giới trẻ. Đây là một phương pháp phục hình răng có nhiều ưu điểm nổi trội:
– Tính thẩm mỹ cao:
Sứ Veneer được thiết kế để giữ được tính thẩm mỹ và tự nhiên cho nụ cười. Chất liệu sứ có khả năng xuyên thấu ánh sáng giống răng thật, tạo ra một nụ cười rạng rỡ. Màu sắc và độ trong suốt của sứ Veneer có thể được tùy chỉnh để phù hợp với màu sắc tự nhiên của răng và tạo ra kết quả ưng ý cho từng khách hàng.
– Hạn chế mài răng tối thiểu:
Việc dán sứ Veneer thường yêu cầu mài răng thật ít hơn so với các quy trình khác như bọc răng sứ. Mài răng ít hơn giúp bảo vệ men răng và giữ cho răng tự nhiên hơn, đồng thời giảm thiểu nguy cơ răng bị nhạy cảm và đau nhức cho các khách hàng.
– Độ bền cao:
Sứ Veneer là một vật liệu có độ bền cao, chịu được áp lực nhai và axit trong môi trường miệng. Khi được chăm sóc đúng cách, sứ Veneer có thể kéo dài độ bền và duy trì vẻ đẹp thẩm mỹ trong thời gian dài.

Nên đi đến những cơ sở nha khoa uy tín để được làm dịch vụ một cách hiệu quả, an toan
– Đảm bảo chức năng nhai:
Sứ Veneer có độ đàn hồi tốt và giữ được chức năng ăn nhai như răng thật. Người làm răng sứ Veneer có thể nhai thức ăn một cách bình thường mà không cần lo lắng về những tác động của lực sẽ làm răng bị trầy xước.
– Cải thiện một số vấn đề của răng
Sứ Veneer có khả năng che phủ và cải thiện nhiều vấn đề thẩm mỹ của răng như màu sắc không đều, hình dạng không đẹp, vết nứt, hoặc mẻ. Quá trình này giúp tạo ra một nụ cười đẹp mắt, tự tin cho khách hàng.
3. Mức giá của dán sứ Veneer răng cửa
Mức chi phí cho việc dán sứ Veneer răng cửa thường là điều mà nhiều người quan tâm. Nhìn chung, giá của dán sứ Veneer có sự biến động khoảng từ 2.000.000 đến 10.000.000 đồng cho mỗi răng, tùy thuộc vào thương hiệu và chất liệu của mặt dán sứ.
Hiện tại, trên thị trường có nhiều loại mặt dán sứ Veneer khác nhau, sứ toàn phần cao cấp nhập khẩu từ Nhật Bản hoặc Đức. Điều quan trọng là bạn cần tìm hiểu kỹ về ưu điểm và nhược điểm của từng loại sứ Veneer để xác định loại phù hợp với nhu cầu cá nhân của bạn.
Ngoài ra, giá dán sứ Veneer 2 răng cửa còn phụ thuộc vào nhiều yếu tố khác như tay nghề của bác sĩ, thương hiệu của phòng nha khoa, trang thiết bị hỗ trợ, chế độ bảo hành và công nghệ sử dụng trong quá trình dán sứ. Ở các phòng nha khoa uy tín, giá thường có thể cao hơn một chút. Tuy nhiên, với hiệu quả và sự tự tin mà dán sứ Veneer mang lại, đôi khi đây là một khoản đầu tư xứng đáng.
Trên đây là những thông tin về dịch vụ dán sứ Veneer răng cửa mà có thể nhiều người sẽ cảm thấy hữu ích. Hy vọng, các bạn thể tim được một địa chỉ nha khoa uy tín khi có nhu cầu làm dịch vụ này.


















