Nguyên nhân và cách điều trị sâu răng dưới nướu
Tình trạng sâu răng dưới nướu còn có thể gọi là sâu chân răng. Bệnh lý này thường bắt nguồn từ nhiều những nguyên do khác nhau. Tùy theo nguyên nhân gây bệnh, ta có thể áp dụng phương pháp điều trị phù hợp. Sau đây là những thông tin về nguyên nhân và cách điều trị của bệnh lý này.
1. Thế nào là tình trạng sâu răng dưới nướu?
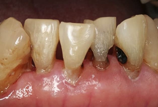
Sâu răng dưới nướu chính là tình trạng khi chân răng bị sâu
Sâu răng dưới nướu là tình trạng khi phần chân răng bị sâu. Nguyên nhân là do vi khuẩn tấn công, phá hủy phần cấu trúc của răng. Điều này sẽ khiến người bệnh gặp khó khăn khi ăn uống. Bên cạnh đó, hệ tiêu hóa của người bệnh cũng sẽ bị ảnh hưởng tiêu cực. Lý do là răng bị sâu không đủ lực để nghiền nát thức ăn. Tình trạng này nếu kéo dài, không được khắc phục sẽ dẫn tới nhiều biến chứng nguy hiểm. Ví dụ như những biến chứng về mất răng vĩnh viễn, áp xe chân răng, viêm xương hàm. Nguy hiểm hơn, bệnh nhân có thể bị ung thư vòm họng.
Tình trạng sâu răng ở dưới nướu có thể kéo dài với nhiều biểu hiện. Những biểu hiện tiêu cực xảy ra như tụt lợi một phần, tụt lợi toàn phần, … Từ đó, vi khuẩn gây hại sẽ được tạo điều kiện phát triển, ảnh hưởng xấu tới sức khỏe răng miệng. Đồng thời, tình trạng này nếu không sớm điều trị sẽ ảnh hưởng tới cả sức khỏe toàn thân.
2. Nguyên nhân bị sâu răng ở dưới nướu
Sâu chân răng hình thành do chính chế độ ăn, sinh hoạt không đảm bảo hàng ngày của người bệnh
Sâu răng ở dưới nướu bắt nguồn từ nhiều nguyên do khác nhau. Những yếu tố này tác động, kích thích sự tấn công của vi khuẩn gây hại với răng miệng và gây sâu răng:
2.1 Thực hiện vệ sinh răng miệng không đúng cách
Việc dùng bàn chải đánh răng không phù hợp: quá cứng, quá to, …, chải răng quá mạnh sẽ khiến chân răng gặp tổn thương. Sau một thời gian, các vi khuẩn sâu răng sẽ xâm nhập vào vùng răng đã bị tổn thương. Từ đó, chúng liên tục sinh sôi, phát triển dẫn tới sâu răng. Lâu ngày, lỗ sâu sẽ hình thành, phá hủy cấu trúc chân răng.
2.2 Những vi khuẩn gây hại xâm nhập
Nếu như phần thân răng bị sâu nhưng không được điều trị triệt để, vi khuẩn sẽ xâm nhập vào chân răng. Điều này sẽ gây ra tình trạng bị sâu răng dưới nướu. Khi đó, men răng cùng ngà răng bị bào mòn, mất đi lớp bảo vệ ở chân răng. Vi khuẩn qua đó có thể dễ dàng xâm nhập vào và gây tình trạng bị sâu.
2.3 Không thực hiện cạo vôi răng thường xuyên
Vôi răng chính là những mảng bám tích tụ nhiều ngày trên bề mặt răng. Chúng được hình thành nhiều do ta không thực hiện vệ sinh, chăm sóc răng miệng kĩ. Tình trạng này kéo dài sẽ khiến cao răng vôi hóa dần ở trong nướu. Chúng sẽ lan xuống chân răng, hình thành những lỗ sâu dưới nướu. Khi ăn uống, thức ăn sẽ rất dễ đọng lại những lỗ sâu này khiến tình trạng thêm nghiêm trọng.
2.4 Nguyên nhân khác
Ngoài những nguyên nhân trên, sâu chân răng còn có thể bắt nguồn từ một số yếu tố khác:
– Thói quen ăn vặt, sử dụng nhiều thực phẩm có đường, nước ngọt có ga, những loại thực phẩm giầu tính axit, dễ bám dính, …
– Không súc miệng sạch sẽ sau mỗi bữa ăn.
– Chế độ dinh dưỡng không đảm bảo khiến răng không được chắc khỏe .
– Khả năng tiết nước bọt kém.
3. Cách điều trị sâu chân răng
Tình trạng chân răng bị sâu không chỉ làm mất thẩm mỹ, đau nhức răng mà còn có thể dẫn tới nhiều hậu quả nghiêm trọng. Do đó, việc thực hiện thăm khám sớm là rất cần thiết để điều trị kịp thời.
3.1 Sâu chân răng giai đoạn đầu
Đối với sâu răng ở dưới nướu giai đoạn đầu thường có phát hiện. Khi đó, những vệt màu tối chỉ mới xuất hiện và hơi đậm. Nếu như được phát hiện ở giai đoạn này, việc điều trị khá đơn giản. Cụ thể, bác sĩ sẽ thường chỉ định tái khoáng chân răng. Quá trình này giúp cung cấp dưỡng chất, làm lạnh lại những mô bị phá hủy ở chân răng. Từ đó, răng sẽ chắc khỏe hơn, ngăn ngừa tình trạng sâu.
3.2 Sâu chân răng xuất hiện lỗ
Khi chân răng suất hiện lỗ cũng đồng nghĩa vi khuẩn đã trong quá trình phá hủy cấu trúc răng. Giai đoạn này, bác sĩ cần loại bỏ hoàn toàn sự xâm nhập của vi khuẩn bằng cách vệ sinh sạch vùng sâu răng. Sau đó, ta sẽ tiến hành hàm trám chân răng đã bị phá hủy. Tuy nhiên, hàn trám chỉ có thể áp dụng với trường hợp tổn thương trong cấu trúc răng có thể phục hồi. Đặc biệt, răng cần đảm bảo vẫn thực hiện được các chức năng. Với những trường hợp sâu răng quá nặng không thể áp dụng.
3.3 Sâu chân răng ảnh hưởng tới tủy
Khi sâu răng đã vào tủy, bệnh nhân cần nhổ răng rồi thực hiện phục hình răng để điều trị, tránh ảnh hưởng răng xung quanh
Với những trường hợp sâu răng đã vào tới tủy thì cấu trúc chân răng đã bị phá hủy nghiêm trọng. Lúc này, hàn trám không thể đem tới hiệu quả điều trị tốt. Nguyên nhân là do chức năng của răng bị sâu đã bị ảnh hưởng nhiều, không thể cải thiện. Trong trường hợp này, nhổ bỏ răng và phục hình răng mới là phương pháp thường được chỉ định. Như vậy, nguy cơ lây lan vi khuẩn sâu răng sang các răng bên cạnh sẽ được hạn chế. Những hiện tượng tiêu cực như viêm, nhiễm trùng ổ răng, lệch khớp cắn, … cũng sẽ được ngăn ngừa tối đa.
4. Cách phòng ngừa tình trạng bị sâu răng dưới nướu
Để phòng tránh tình trạng bị sâu chân răng, ta cần thực hiện theo một số lưu ý sau:
– Phương pháp chăm sóc răng miệng đúng đắn, phù hợp.
– Kiểm tra nha khoa định kỳ mỗi năm 2 lần. Điều này giúp đảm bảo tình trạng răng miệng luôn khỏe mạnh, ổn định.
– Chế độ ăn uống thích hợp với dinh dưỡng đảm bảo: canxi, photpho, fluor, … Hạn chế ăn nhiều những đồ ngọt, đồ có tính axit cao, thực phẩm có độ bám dính cao.
– Hạn chế tối đa việc ăn nhai, cắn những đồ quá cứng, sử dụng răng để cắn bút, nhai đá, …
– Lấy cao răng định kỳ để tránh tích tụ vi khuẩn gây hại.
Trên đây là những chia sẻ về nguyên nhân và cách điều trị tình trạng sâu răng ở dưới nướu. Có thể thấy đây không phải bệnh hiếm gặp. Tuy nhiên, nếu không được phát hiện, điều trị kịp thời, người bệnh sẽ phải đối mặt với nguy cơ bị mất răng hay thậm chí tổn thương tới những răng khách xung quanh. Để


















