Nguyên nhân và cách chữa răng cửa bị sâu nặng
Sâu răng cửa là một trong những vấn đề rất phổ biến. Nó gây tổn thương cho cấu trúc răng, ảnh hưởng thẩm mỹ và tạo ra cảm giác đau nhức kéo dài. Nếu không được chữa trị kịp thời, răng cửa bị sâu nặng có thể gây hại cho sức khỏe của răng miệng.
Hiện nay, tình trạng sâu răng không chỉ xuất hiện ở trẻ nhỏ mà còn phổ biến ở người trưởng thành. Điều này gây mất thẩm mỹ và tạo ra sự lo lắng đối với nhiều người. Vậy, tình trạng này diễn biến như thế nào và có cách chữa trị nào hiệu quả? Dưới đây là một số phương pháp có thể giúp bạn có một hàm răng khỏe mạnh và đẹp hơn!
1. Nguyên nhân
Theo các thống kê hiện nay, có khoảng 90% dân số trên thế giới bị ảnh hưởng bởi tình trạng sâu răng. Tình trạng sâu răng rất phổ biến là do những yếu tố gây bệnh luôn hiện diện xung quanh chúng ta.
Sâu răng vẫn là một vấn đề sức khỏe về răng miệng lớn trên toàn cầu, ảnh hưởng đến hàng tỷ người, đặc biệt là ở các nước đang hoặc kém phát triển nơi mà việc tiếp cận các dịch vụ nha khoa còn chưa phổ biến.
Sâu răng không chỉ gây đau đớn và khó chịu mà còn có thể gây ra mất răng và ảnh hưởng đến chất lượng cuộc sống hàng ngày của người bệnh.
Nguyên nhân gây sâu răng cửa có rất nhiều
Sâu răng là một vấn đề phổ biến và thường gặp trong nha khoa, và nguyên nhân chính gây ra sâu răng có thể bao gồm:
– Mảng bám răng là các chất dư thừa khác trong miệng, thường hình thành từ thức ăn. Khi vi khuẩn cư trú, sẽ phân hủy đường thành axit, axit này có thể phá hủy men răng và tạo nên lỗ sâu, gây ra sâu răng.
– Thức ăn và đồ uống chứa đường cao có thể tạo điều kiện cho vi khuẩn trong miệng tăng sinh và tạo ra axit, gây hại cho men răng.
– Thuốc lá chứa các chất hóa học có thể gây ra mất men răng và làm suy yếu cấu trúc răng, tạo điều kiện cho vi khuẩn gây sâu răng phát triển.
– Kiến thức và thói quen chăm sóc răng miệng kém: Không chải răng đúng cách, không sử dụng chỉ nha khoa và không thực hiện kiểm tra nha khoa định kỳ có thể tạo điều kiện cho vi khuẩn và mảng bám tích tụ và phát triển, gây ra sâu răng.
– Một số người có gen di truyền từ gia đình có thể có nguy cơ cao hơn mắc sâu răng, do gen có ảnh hưởng đến cấu trúc và chất lượng men răng.
– Sự thay đổi hormon trong cơ thể, như trong thai kỳ hoặc trong quá trình lão hóa, có thể làm cho men răng trở nên yếu hơn và dễ bị tác động bởi vi khuẩn và axit.
2. Hậu quả của răng cửa bị sâu nặng
Với nhiều người việc sâu răng răng, nhất là răng cửa có thể không đáng lo ngại. Tuy nhiên, quan điểm này là hoàn toàn sai lầm. Nếu răng đã bị sâu mà không được điều trị thì không thể tự hồi phục lại như ban đầu và còn gây ra những hậu quả nghiêm trọng khác cho răng và lợi. Đặc biệt là răng cửa, nếu bị sâu còn ảnh hưởng đến vẻ ngoài và nụ cười, gây ra tư ti khi giao tiếp với những người xung quanh.
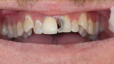
2.1. Răng cửa bị sâu nặng gây phá hủy tổ chức răng
Sâu răng nặng ở răng cửa là một vấn đề nghiêm trọng trong nha khoa có thể gây ra phá hủy đáng kể cho tổ chức răng và cấu trúc răng. Sâu răng phát triển từ mảng bám và vi khuẩn trên bề mặt răng, tạo ra axit gây phá hủy men răng. Khi sâu răng tiếp tục phát triển và lan rộng, nó sẽ xâm nhập sâu vào tủy răng, phá hủy tổ chức răng.
Phá hủy men răng có thể khiến răng yếu đi
2.2. Răng cửa bị sâu nặng ảnh hưởng tới sức khỏe chung
Sâu răng nặng ở răng cửa không chỉ ảnh hưởng đến sức khỏe răng miệng mà còn có thể gây ra những tác động tiêu cực đến sức khỏe chung của cơ thể.
Sâu răng nặng có thể làm cho vi khuẩn xâm nhập sâu vào trong cấu trúc răng, gây ra viêm nhiễm. Nếu không được điều trị kịp thời, vi khuẩn và các chất độc hại có thể lan rộng ra các cơ quan và mô khác trong cơ thể, gây ra viêm nhiễm lan rộng, thậm chí là nhiễm trùng huyết, gây ra nguy cơ nghiêm trọng cho sức khỏe chung.
Viêm nhiễm từ sâu răng nặng có thể khiến cơ thể phải chiến đấu chống lại vi khuẩn và vi rút gây bệnh. Điều này có thể làm suy yếu hệ thống miễn dịch và làm tăng nguy cơ mắc các bệnh khác.
Sâu răng nặng có thể gây ra đau đớn và khó chịu nghiêm trọng ở vùng miệng và cổ họng, làm ảnh hưởng đến khả năng ăn uống và giấc ngủ. Điều này có thể dẫn đến cảm giác mệt mỏi và giảm chất lượng cuộc sống hàng ngày.
Viêm nhiễm từ sâu răng có thể lan rộng qua hệ tuần hoàn và hệ hô hấp, gây ra các vấn đề tim mạch như viêm màng trong tim và các vấn đề hô hấp như viêm phế quản và viêm phổi. Sâu răng nặng có thể tạo ra điều kiện cho vi khuẩn và vi rút khác xâm nhập và gây ra các bệnh lý khác trong cơ thể, bao gồm cả viêm nhiễm đường tiêu hóa và các bệnh lý khác.
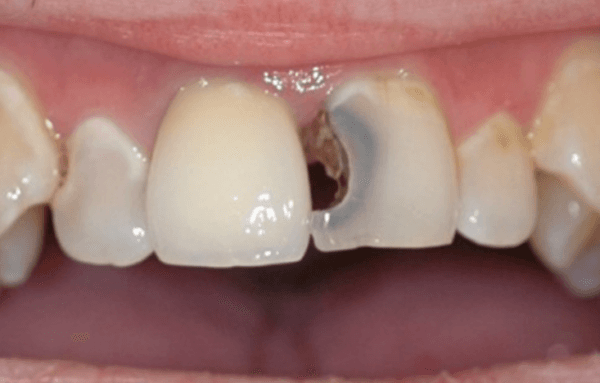
2.3. Ảnh hưởng thẩm mỹ
Sâu răng cửa không chỉ gây ra những vấn đề sức khỏe răng miệng mà còn có thể ảnh hưởng đến thẩm mỹ của nụ cười và diện mạo tổng thể . Sâu răng nặng ở răng cửa có thể tạo ra các lỗ răng lớn và làm hỏng cấu trúc răng. Điều này có thể làm cho răng trở nên không đều, gãy vỡ hoặc mất đi một phần của răng. Khi sâu răng tiếp tục phát triển và lan rộng, nó có thể làm thay đổi màu sắc của răng từ màu trắng sang màu nâu hoặc đen. Điều này làm mất đi sự sáng bóng và rạng rỡ của nụ cười, làm giảm tự tin.
Sâu răng có thể tạo điều kiện cho vi khuẩn phát triển và sinh ra mùi hôi từ miệng. Mùi hôi từ miệng không chỉ làm ảnh hưởng đến tự tin mà còn làm giảm sự giao tiếp và tương tác xã hội.
Răng cửa là một phần quan trọng của cấu trúc khuôn mặt và hàm răng. Sâu răng nặng có thể làm mất đi sự cân đối và đối xứng của khuôn mặt, gây ra các vấn đề về hàm răng và khuôn mặt, ảnh hưởng đến thẩm mỹ tổng thể.
3. Điều trị
Những phương pháp điều trị tại nha khoa mà nha sẽ có thể áp dụng đó là:
– Hàn trám răng cửa bị sâu
Với những trường hợp răng bị sâu ở mức độ nhẹ và vừa, bạn có thể được bác sĩ tiến hành hàn trám lại lỗ sâu răng sau khi đã xử lý vệ sinh phần sâu. Chất liệu hàn rất bền chặt, giúp ngăn chặn vi khuẩn ở bên ngoài xâm nhập sâu hơn vào bên trong răng. Phương pháp này vừa hiệu quả lại khá tiết kiệm chi phí.
Đến các cơ sở nha khoa nổi tiếng để được tư vấn phương án điều trị răng cửa bị sâu nặng
– Bọc sứ
Đối với trường hợp sâu răng cửa nặng, nha sĩ thường đề xuất việc bọc răng sứ. Quá trình này bao gồm làm sạch vùng sâu, sau đó mài cùi răng tự nhiên, tạo dấu răng và chụp hình để tạo mão sứ bên ngoài. Mục tiêu là phục hình răng theo hình dáng răng ban đầu, cung cấp khả năng ăn nhai ổn định và tối ưu tính thẩm mỹ.
Răng sứ phục hình có màu sắc tự nhiên và khả năng chịu lực cao. Đây là phương pháp tốt nếu bạn mong muốn có một nụ cười đẹp kết hợp với hàm răng khỏe mạnh.
– Nhổ và trồng lại răng mới
Trong trường hợp sâu răng quá nặng và không thể khôi phục chức năng răng bằng cách trám răng hay bọc sứ, nha sĩ có thể đề xuất việc nhổ răng. Đồng thời, một răng giả sẽ được trồng để không ảnh hưởng đến các răng lân cận.
Dựa trên những thông tin cơ bản và quan trọng mà bài viết đã chia sẻ, mong rằng bạn sẽ có khả năng chăm sóc răng miệng và nhận biết được dấu hiệu của sâu răng cửa để tiến hành điều trị kịp thời.


















