Nguyên nhân gây sâu răng và cách phòng tránh
Sâu răng là bệnh lý phổ biến, có thể gặp ở mọi lứa tuổi. Ngoài việc gây đau nhức và những biến chứng như viêm tủy, viêm quanh chân răng, sâu răng còn làm hơi thở hôi, có mùi, gây cản trở quá trình giao tiếp. Vậy đâu là nguyên nhân sâu răng và cách phòng tránh như thế nào? Bạn có thể tham khảo những thông tin dưới đây:
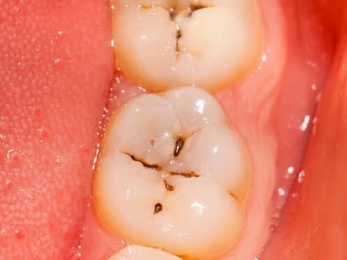
1. Nguyên nhân gây sâu răng
Sâu răng là do vi khuẩn gây sâu răng có sẵn trong miệng, chủ yếu là vi khuẩn Streptococcus Mutans
Sâu răng là do vi khuẩn gây sâu răng có sẵn trong miệng, chủ yếu là vi khuẩn Streptococcus Mutans, khi có thức ăn dính lên mặt răng đặc biệt là đường và tinh bột, sau vài giờ các vi khuẩn sẽ phân hủy thức ăn tạo nên acid ăn mòn men răng, lâu dần sẽ tạo thành lỗ sâu. Vi khuẩn, acid, mùn thức ăn trên mặt răng sẽ tạo thành một màng dính vào răng hay còn gọi là màng bám răng, màng này rất dính và có ở tất cả các mặt răng đặc biệt là răng hàm, màng bám răng không chỉ gây sâu răng mà còn dẫn đến viêm lợi và viêm quanh răng. Màng bám răng dần dần được khoáng hóa vì các chất khoáng trong nước bọt và thức ăn tạo thành cao răng.
Sau khi men răng bị ăn mòn thành lỗ vi khuẩn sẽ có thêm không gian lưu đọng lại ở đáy và thành bên các lỗ sâu, acid càng được tạo ra nhiều hơn, tổ chức cứng (men và ngà răng) sẽ càng bị phá hủy, lỗ sâu được mở rộng và tiến về phía tủy răng.
Trong trường hợp người bệnh bị tụt lợi hở cổ răng và chân răng thì màng bám răng sẽ bám lên và bắt đầu quá trình phân hủy thức ăn tạo thành acid trên bề mặt cổ răng và chân răng, sau một thời gian mô cứng của răng bị ăn mòn tạo thành lỗ sâu cổ răng.
Sâu răng là bệnh lý phổ biến, có thể gặp ở mọi lứa tuổi.
2. Điều trị và phòng ngừa sâu răng
Nếu răng sâu mà không được điều trị đúng cách và kịp thời rất dễ dẫn đến viêm tủy răng, chết tủy răng, nhiễm khuẩn quanh cuống (chóp) răng, áp xe quanh cuống răng, vỡ răng do chết tủy. Bên cạnh đó sâu răng làm giảm thẩm mỹ, đọng thức ăn gây hôi miệng ảnh hưởng đến giao tiếp của người bệnh… Tuy nhiên, nếu răng được điều trị đúng kỹ thuật thì hoàn toàn có thể sử dụng như các răng bình thường khác.
Để ngăn ngừa sâu răng bạn cần chải răng sau mỗi bữa ăn hoặc ít nhất 1 lần trong ngày sau bữa tối, hạn chế ăn vặt đồ ngọt, chải răng đúng cách là việc quan trọng để làm sạch hoàn toàn.
Dùng thuốc chải răng có fluoride, fluoride kết hợp với hydroxy apatid có trong men răng giúp men răng cứng hơn, chống đỡ với vi khuẩn và acid tốt hơn.
Ngoài việc gây đau nhức và những biến chứng như viêm tủy, viêm quanh chân răng, sâu răng còn làm hơi thở hôi, có mùi, gây cản trở quá trình giao tiếp
Dùng kẹo cao su có Xylitol là một chất có tác dụng tiêu diệt vi khuẩn dẫn đến sâu răng.
Dùng chỉ tơ nha khoa làm sạch kẽ răng: các kẽ răng thường đọng thức ăn sau khi chải răng, bởi vậy các bạn nên sử dụng chỉ nha khoa sau khi chải răng, cách dùng như sau: lấy một đoạn chỉ nha khoa dài khoảng 40cm, quấn chặt vào hai đầu ngón tay giữa cho đến khi cách nhau 10cm, dùng hai ngón trỏ căng sợi chỉ, dùng ngón trỏ trái hoặc phải ấn sợi chỉ vào kẽ răng còn dắt thức ăn, kéo ngang 1cm, thức ăn sẽ ra theo sợi chỉ.


















