Nắn chỉnh răng thưa bằng cách nào?
Răng thưa là một khuyết điểm mà nhiều người mắc phải, không chỉ gây mất thẩm mỹ mà còn ảnh hưởng đến cuộc sống sinh hoạt hàng ngày. Khi gặp phải tình trạng này, bác sĩ sẽ chỉ định bệnh nhân nắn chỉnh răng thưa để có thể sở hữu hàm răng đều và đẹp.
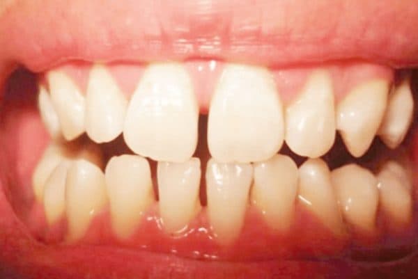
1. Răng thưa là như thế nào?
Răng thưa là tình trạng răng mọc cách nhau, giữa các răng có khe hở. Tình trạng này không chỉ khiến khuôn mặt mất cân đối, tự ti khi giao tiếp và cười mà còn gây nên những bệnh lý răng miệng. Do răng bị cách quá xa nhau, không dựa vào nhau dẫn đến thức ăn dễ mắc vào giữa các khe hở, gây sâu răng. Nếu không được điều trị kịp thời, răng dễ bị lung lay, gãy và thậm chí bị rụng khỏi hàm.
Răng thưa là tình trạng răng không có đủ hoặc mọc cách nhau, giữa các răng có khe hở
2. Nguyên nhân khiến răng thưa
Có nhiều nguyên nhân dẫn đến tình trạng răng thưa, phải kể đến như:
– Hay có thói quen xỉa tăm hay đẩy lưỡi.
– Khớp cắn bị lệch (khớp cắn sâu).
– Bẩm sinh thiếu răng.
– Cung hàm rộng nhưng răng bị ngắn và bé.
– Răng bị mọc ngầm hoặc mọc xiên.
– Bị mất răng lâu ngày.
– Mắc các bệnh lý răng miệng dẫn đến tụt lợi hở chân răng.
– Trẻ từ nhỏ đã bị dính phanh môi.
3. Tại sao nên nắn chỉnh răng thưa?
Nắn chỉnh răng là phương pháp sử dụng một hệ thống mắc cài hoặc khay niềng để giúp đưa những răng đang mọc sai lệch về đúng vị trí trên cung hàm, chỉnh sửa cấu trúc răng và khớp cắn, đảm bảo có thể mang lại một hàm răng hài hòa, tăng cường được chức năng ăn nhai. Lý do bạn nên nắn chỉnh khi răng bị thưa vì:
3.1 Mang lại hiệu quả lâu dài
Niềng răng giúp các răng khít lại, mang đến một hàm răng đều, đẹp cho bạn và kết quả niềng răng sẽ duy trì trong thời gian dài
Niềng răng giúp các răng khít lại, mang đến một hàm răng đều, đẹp cho bạn và kết quả niềng răng sẽ duy trì trong thời gian dài. Sau khi niềng răng xong, bạn sẽ được đeo hàm duy trì trong một thời gian đến khi răng ổn định, nên không cần lo lắng sau khi bỏ niềng ra răng sẽ xô lệch nhé.
3.2 Không ảnh hưởng đến răng
Việc niềng răng không cần mài răng và bảo tồn răng thật được tối đa, không ảnh hưởng nhiều đến sức khỏe của răng.
3.3 Cải thiện việc ăn uống, ngăn ngừa được những bệnh lý răng miệng
Khi răng thưa được khít lại thì chức năng ăn nhai sẽ được cải thiện, không gây nên cảm giác khó chịu khi thức ăn nhét vào khe hở, giảm các bệnh lý về răng miệng và quá trình vệ sinh hàng ngày cũng dễ dàng hơn nhiều.
4. Các phương pháp nắn chỉnh răng thưa
Tại các chuyên khoa răng của các cơ sở y tế uy tín, bác sĩ sẽ thăm khám, tư vấn và dựa theo mong muốn của khách hàng để lựa chọn phương pháp niềng răng phù hợp. Hiện tại có 2 loại là niềng răng mắc cài và niềng răng trong suốt.
4.1 Niềng răng mắc cài
Phương pháp này sử dụng mắc cài cũng như dây cung để tạo áp lực khiến răng dịch chuyển. Niềng răng mắc cài được đánh giá cao về tính hiệu quả, dần chỉnh các răng về đúng vị trí, không gây xô lệch.
Hiện nay có 3 loại niềng răng mắc cài là mắc cài kim loại, mắc cài sứ và mắc cài mặt trong. Trước đây, loại mắc cài kim loại là phổ biến nhất. Tuy nhiên, để mang lại tính thẩm mỹ cao hơn, khách hàng có thể lựa chọn mắc cài sứ hoặc mắc cài gắn vào mặt trong.
4.2 Niềng răng trong suốt
Đây là phương pháp niềng răng tân tiến nhất hiện nay, sử dụng các khay nhựa dẻo, người dùng có thể dễ dàng tháo lắp ra được, rút ngắn được thời gian thăm khám tại các phòng khám nha khoa và đảm bảo tính thẩm mỹ cao.
Niềng răng trong suốt là phương pháp tân tiến nhất hiện nay, vừa hiệu quả vừa đảm bảo tính thẩm mỹ cho người dùng
5. Thời gian nắn chỉnh răng thưa
5.1 Các yếu tố ảnh hưởng đến thời gian nắn chỉnh răng thưa
Theo các nha sĩ, có 4 yếu tố ảnh hưởng đến thời gian nắn chỉnh răng là:
– Tình trạng răng miệng
Đây là yếu tố quyết định đến hiệu quả của việc niềng răng. Bác sĩ sẽ dựa vào tình trạng thưa của bệnh nhân để có phác đồ điều trị cụ thể và báo cho bệnh nhân khoảng thời gian niềng răng.
– Độ tuổi niềng răng
Theo các bác sĩ, độ tuổi đẹp nhất để niềng là từ 6 – 12 tuổi. Các độ tuổi khác vẫn có thể niềng răng được bình thường, tuy nhiên nếu niềng trong khoảng thời gian tiêu chuẩn thì diễn tiến răng được điều chỉnh sẽ nhanh hơn và có hiệu quả cao hơn.
– Cách chăm sóc sau khi niềng
Sau khi niềng răng, có rất nhiều điều người dùng phải lưu ý như về chế độ ăn uống, nghỉ ngơi, vận động, vệ sinh hàng ngày…Nếu không được chăm sóc cẩn thận, việc niềng răng không những kém hiệu quả mà còn gây ra những bệnh lý về răng miệng.
– Lịch trình thăm khám theo chỉ định của bác sĩ
Sau khi niềng răng, bạn sẽ có một lịch trình tái khám định kỳ được bác sĩ đưa ra. Nếu bạn không thường xuyên tham gia hoặc không đảm bảo đến đủ các buổi thăm khám này thì việc niềng răng sẽ mất nhiều thời gian so với dự kiến ban đầu.
Bạn cần tái khám theo đúng chỉ định của bác sĩ để không gây ảnh hưởng đến hiệu quả niềng răng
Ngoài ra, nếu bạn sử dụng niềng răng trong suốt thì ngoải những yếu tố trên, có 2 yếu tố ảnh hưởng đến thời gian niềng răng như:
– Thời gian đeo niềng
Nếu dùng khay niềng trong suốt, bạn sẽ cần đeo ít nhất 22 tiếng/ngày. Nếu người dùng lạm dụng ưu điểm của loại niềng này và tháo ra nhiều, không đeo thường xuyên thì hiệu quả sẽ không được như mong muốn.
– Bảo quản khay niềng
Toàn bộ khay niềng trong suốt phải sản xuất tại Mỹ, chính vì vậy mỗi lần làm rơi hay mất, người dùng phải đợi khá lâu thì khay niềng mới về, hơn nữa còn gây ảnh hưởng lớn đến hiệu quả.
5.2 Nắn chỉnh răng thưa mất bao lâu?
Tùy vào tình trạng thưa và cơ địa của từng người, thời gian niềng răng sẽ khác nhau. Thông thường, một lộ trình hoàn chỉnh sẽ kéo dài khoảng từ 1.5 – 2 năm, với những trường hợp khó hơn thì thường mất khoảng 3 năm.
6. Lưu ý sau khi nắn chỉnh răng thưa
Sau khi nắn chỉnh răng, cần lưu ý một số điều sau:
– Vệ sinh sạch sẽ hàng ngày cả răng và niềng răng.
– Ăn uống đầy đủ dưỡng chất.
– Hạn chế uống đồ có cồn, có màu, có đường hay có tính axit.
– Cố gắng bỏ thuốc lá vì dễ gây xỉn màu răng và niềng.
Mong rằng bài viết trên đã giúp các bạn có thêm những thông tin hữu ích về chủ đề nắn chỉnh răng thưa. Nếu có bất kỳ thắc mắc gì về kỹ thuật chỉnh hình răng này, hãy liên hệ ngay với bác sĩ chuyên môn tại các cơ sở uy tín để được bác sĩ giải đáp nhanh nhất và chính xác nhất.


















