Nắn chỉnh răng cho trẻ em ở độ tuổi nào hiệu quả nhất?
Một hàm răng đẹp không chỉ liên quan đến thẩm mỹ mà đôi khi còn là thứ quyết định sự tự tin cho con trẻ ngay từ khi còn trên ghế nhà trường. Thay đổi hàm răng xô lệch, khấp khểnh bằng cách nắn chỉnh răng cho trẻ em là sự lựa chọn cho tương lai con mình của nhiều bậc phụ huynh hiện nay. Nhưng liệu cha mẹ đã nắm được độ tuổi “vàng” để nắn chỉnh răng cho trẻ và những phương pháp phù hợp?
1. Tình trạng răng không thẳng đều ở trẻ nhỏ
1.1 Nguyên nhân gây nên hàm răng khấp khểnh

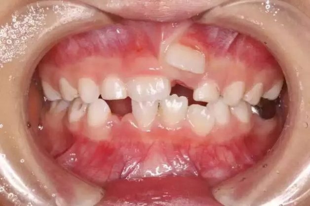
Răng khấp khểnh từ nhỏ không được điều chỉnh sẽ ảnh hưởng lâu dài đến khi trưởng thành
Răng sữa thường rụng cùng lúc với thời điểm răng vĩnh viễn trồi lên, nhưng có trường hợp răng sữa rụng được một thời gian mà răng vĩnh viễn vẫn chưa mọc lại, gây nên tình trạng thiếu răng. Khoảng trống đó có thể khiến các răng còn lại bị xô lệch, nghiêng ngả. Ngược lại cũng có trường hợp răng vĩnh viễn mọc trước khi răng sữa rụng, điều này khiến cho răng vĩnh viễn mới mọc không có đủ không gian để phát triển, buộc phải mọc lệch vị trí để có thể trồi lên hoàn toàn.
Đây lý do khiến cho răng của trẻ dễ mọc lệch và cũng giải thích cho các tình trạng răng khểnh, chen chúc, lộn xộn ở người trưởng thành. Hàm răng thiếu ngay ngắn với quá nhiều răng mọc lệch không chỉ khiến trẻ xấu hổ khi chơi với bạn bè và trở nên rụt rè, không dám thể hiện bản thân. Điều này không chỉ ảnh hưởng lúc này mà tới khi trưởng thành sẽ càng khiến trẻ thấy mặc cảm, ngại giao tiếp, ảnh hưởng tới cuộc sống và hạnh phúc.
Ngoài ra răng mọc sai vị trí, nghiêng ngả còn khiến quá trình ăn nhai của trẻ bị ảnh hưởng, gây khó khăn khi phát âm hoặc cấu thành một số bệnh lý về răng miệng như khó vệ sinh răng miệng, sâu răng, viêm nướu,…. Từ đó sẽ dễ làm trẻ mắc bệnh các bệnh liên quan đến dạ dày, đường tiêu hóa do thức ăn không được nhai kĩ.
1.2 Dấu hiệu nên nắn chỉnh răng cho trẻ em
Để tránh tình trạng hàm răng khấp khểnh theo trẻ đến tận khi trưởng thành, cha mẹ có thể nghĩ đến việc cho con đi niềng răng sớm khi con có những biểu hiện dưới đây:
– Răng vĩnh viễn mới mọc nhưng đã có dấu hiệu chen chúc, xoay lệch hướng, mọc sai vị trí.
– Trẻ có răng dư hoặc thiếu răng bẩm sinh, răng sữa rụng sớm, chậm thay răng, răng bị di chuyển do chấn thương vùng miệng,…
– Khi trẻ có các thói quen xấu có thể gây ra sự lệch lạc về răng hàm mặt như đẩy lưỡi, mút môi, thở miệng,…
– Khi trẻ có các biểu hiện sai lệch khớp cắn như: cắn chìa, cắn sâu, cắn hở, cắn chéo, hô, móm,…
– Xương hàm trên và xương hàm dưới phát triển lệch nhau, không đúng tiêu chuẩn như: răng nhô ra trước hoặc thụt vào trong, cung răng và xương hàm bị hẹp, xương hàm nhô ra trước hoặc thụt vào trong,…
2. Nên nắn chỉnh răng cho trẻ em ở độ tuổi “vàng”
Việc niềng răng chỉnh nha có thể thực hiện ở mọi lứa tuổi. Thảo các chuyên gia, thời điểm tốt nhất để nắn chỉnh răng là khi các răng vĩnh viễn đã mọc gần như đầy đủ – khoảng 12 đến 15 tuổi hoặc trong vòng 2 năm sau khi trẻ bắt đầu dậy thì. Lúc này, trẻ đang ở trong giai đoạn gần như đã thay hết răng sữa, ổn định răng vĩnh viễn, bên cạnh đó cơ thể của các con còn đang phát triển, xương hàm chưa thật sự cố định.
Điều này giúp việc điều chỉnh độ đưa ra của hàm, điều chỉnh khớp cắn lệch, răng mọc chen, hô, móm đều rất dễ dàng mà không cần phải nhổ răng. Đồng thời, tác động lực diễn ra không cần quá mạnh, thuận lợi cho việc uốn nắn, răng sẽ dịch chuyển nhanh chóng vào đúng vị trí mong muốn, đem lại hiệu quả cao và thời gian đeo niềng được rút ngắn tối đa.
Nếu niềng răng cho trẻ trong độ tuổi “vàng” này, sự phát triển xương hàm, răng và lợi của trẻ trong một vài năm sau sẽ ổn định và ít có sự xô lệch ngay cả khi đã kết thúc quá trình niềng răng. Tuy nhiên cũng vì lý do này, dù trẻ đã có được khớp cắn bình thường và hàm răng thẳng đều như ý, cha mẹ vẫn cần theo dõi sát sao sự phát triển răng miệng của con nhằm phát hiện sớm các bất thường và kịp thời điều chỉnh răng lại ngay từ giai đoạn ban đầu.
3. Những ưu điểm khi nắn chỉnh răng cho trẻ em từ 12 – 15 tuổi
– Nắn chỉnh răng dễ dàng và ít gây đau đớn hơn so với khi đã trưởng thành do xương hàm và răng đều đang trong quá trình phát triển, việc nong hàm để nắn chỉnh răng hô sẽ dễ dàng và không cần phải nhổ răng.
– Kết quả tối ưu: hiệu quả nắn chỉnh tối ưu với mọi tình trạng khấp khểnh, hô, móm, lệch khớp cắn,… kể cả những trường hơp khó như răng cửa mọc chưa hoàn thiện..

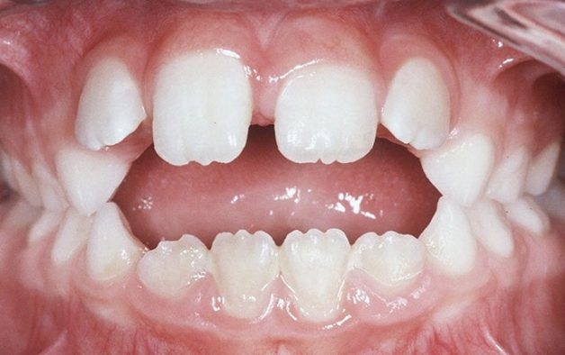
Một trường hợp răng có khớp cắn hở
– Tiết kiệm thời gian: thời gian niềng nhanh chóng chỉ trong 18-24 tháng mà vẫn đảm bảo kết quả và răng có thời gian ổn định vị trí.
– Trẻ hợp tác trong quá trình thực hiện: ở độ tuổi này, trẻ đã bắt đầu nhận thức về vấn đề răng miệng mình gặp phải và sự ảnh hưởng của nó, khi đó trẻ hợp tác điều trị tốt hơn, đồng nghĩa với việc tỷ lệ thành công của điều trị tăng cao, thời gian đảm bảo hơn và răng cũng được giữ gìn hơn.
– Giúp xương hàm và cung răng phát triển bình thường mà không cần điều trị khác. Nếu các lệch lạc ban đầu không được điều trị, tình trạng sai khớp cắn của trẻ càng phát triển theo hướng bất lợi và làm cho quá trình nắn chỉnh răng khi đã trưởng thành sau này phức tạp, khó khăn và tốn kém hơn.
– Có thể không cần đeo hàm duy trì: Nếu được chỉnh nha vào đúng độ tuổi, cung và xương hàm của trẻ sẽ dễ dàng giữ được sự ổn định, giúp kết quả chỉnh nha không bị thay đổi, mà không cần phải đeo hàm duy trì kết quả chỉnh nha này khi đã trưởng thành.
4. Phương pháp niềng răng nào dành cho trẻ
4.1 Các phương pháp nắn chỉnh răng cho trẻ em
Bên cạnh việc nắn chỉnh răng cho trẻ em trong độ tuổi “vàng” – 12 đến 15 tuổi sẽ đem lại những lợi ích rõ rêt, nhiều trường hợp cha mẹ cho trẻ nắn chỉnh phòng ngừa từ 6 – 7 tuổi để răng của trẻ phát triển đúng cách ngay từ thời điểm ban đầu. Việc này có thể giúp quá trình nắn chỉnh sau này sẽ dễ dàng hơn, thậm chí trẻ không cần niềng nữa mà vẫn sở hữu hàm răng đều đẹp.
Do đó tùy vào độ tuổi mà bác sĩ có thể tư vấn những phương pháp nắn chỉnh răng phù hợp với trẻ:

Hàm trainer
– Trẻ từ 5 – 10 tuổi: Nắn chỉnh răng bằng hàm Trainer
Đây là loại hàm nắn chỉnh có tác dụng định hướng răng mọc và điều chỉnh 1 số lệch lạc nhỏ ở nhóm răng trước. Dưới tác động rất nhẹ của hàm trainer, các răng sẽ mọc đúng vị trí và tự điều chỉnh đều đặn. Ngoài ra dạng hàm tháo lắp này chỉ cần đeo 1-2 tiếng/ngày nên ít gây khó chịu cho trẻ.
– Trẻ từ 12 – 15 tuổi: Nắn chỉnh răng bằng niềng răng dạng mắc cài
Với ưu điểm chắc chắn, khó rơi, lực kéo ổn định, đây là phương pháp niềng phù hợp cho độ tuổi mà răng đã có sự ổn định và trẻ thường xuyên vui chơi và hoạt động.
– Hiện nay có thêm niềng răng dạng khay trong suốt. Phương pháp này cũng có thể áp dụng cho trẻ từ 12 tuổi cho đến những người đã trưởng thành. Tuy nhiên do khay dễ gãy và có chi phí cao nên thông thường đây là lựa chọn thích hợp với người trưởng thành cần chú ý đến yếu tố thẩm mỹ.
4.2. Những lưu ý khi trẻ niềng răng
Trong giai đoạn niềng răng, ít nhiều cũng sẽ gây cảm giác ê, đau khi ăn nhai, con sẽ ăn uống khó khăn hơn rất nhiều so với bình thường,đồng thời mang mắc cài cọ xát trong miệng chưa quen có thể khiến việc ăn uống và vệ sinh răng miệng hạn chế hơn. Vì vậy cha mẹ cần lưu ý:
– Nhắc nhở trẻ vệ sinh răng miệng thường xuyên và đúng cách theo hướng dẫn của bác sĩ, tránh vướng thức ăn thừa ở mắc cài gây hôi miệng và sâu răng.
– Thay đổi cách chế biến thức ăn, cho trẻ ăn thức ăn mềm, lỏng ở thời gian đầu hoặc sau khi siết răng để trẻ dễ nhai.
– Bổ sung thực đơn nhiều vitamin và khoáng chất cho trẻ để đảm bảo chất dinh dưỡng cũng như sự phát triển của trẻ trong thời gian khó ăn uống này, tránh thiếu chất khiến răng yếu và khó ổn định.
– Hạn chế tối đa việc cho trẻ ăn đồ ăn quá nóng hoặc quá lạnh, cứng,…
Lựa chọn nắn chỉnh răng cho trẻ em sớm tuy hơi vất vả trong việc chăm sóc của con nhưng lại đem đến rất nhiều lợi ích cho sau này. Để phát hiện và kịp thời điều trị các vấn đề trong hình thái răng của trẻ, cha mẹ nên đưa con đi khám răng định kì 6 tháng/lần. Việc làm này sẽ giúp các bác sĩ phát hiện sớm những vấn đề không chỉ về răng mà còn có vấn đề về lợi và xương hàm của trẻ, từ đó sẽ có biện pháp khắc phục kịp thời, phù hợp, nhằm đảm bảo các răng vĩnh viễn có thể mọc lên một cách bình thường và đả, bảo thẩm mỹ nhất.