Mức độ nguy hiểm khi bị viêm lợi trùm răng cửa
Viêm lợi trùm răng cửa tưởng chừng là một vấn đề nhỏ nhưng cũng có thể gây ra nhiều tác động xấu. Điều này có thể ảnh hưởng tới sức khỏe, sinh hoạt hàng ngày, công việc, … Thậm chí là nguy hiểm hơn nếu không được điều trị kịp thời. Sau đây, chúng ta hãy cùng tìm hiểu về mức độ nguy hiểm khi bị viêm lợi trùm răng cửa.
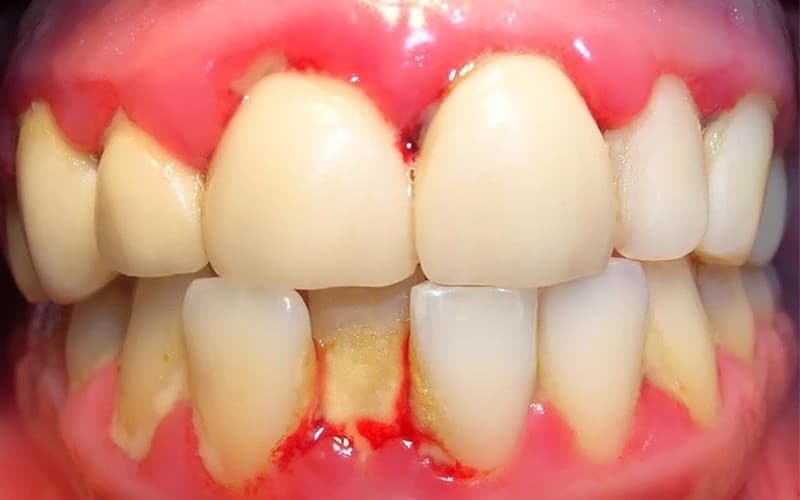
1. Thế nào là viêm lợi trùm răng cửa?
Viêm lợi trùm sẽ gây ra sưng đau và khó chịu cho người bệnh
Viêm lợi trùm vị trí răng cửa là một tình trạng phổ biến trong lĩnh vực nha khoa. Tình trạng này xảy ra khi các mảng vi khuẩn và mảng bám tích tụ, gây viêm ở dưới nướu. Khi vi khuẩn này phát triển, cơ thể phản ứng bằng cách gửi các tế bào miễn dịch đến vùng viêm. Điều này gây ra đau và sưng tại nơi nướu tiếp xúc với răng.
Khi viêm lợi trùm xảy ra có thể dẫn đến đỏ, sưng và chảy máu nướu khi chải đánh răng… Nếu không được điều trị, vi khuẩn có thể lan rộng, tổn thương đến các mô xung quanh răng. Từ đó, tình trạng sẽ dẫn tới viêm nướu sâu hơn và ảnh hưởng đến mô liên kết răng và xương hàm.
2. Triệu chứng thường gặp khi bị viêm lợi trùm ở răng cửa
2.1 Viêm lợi trùm răng cửa cấp tính
– Người bị viêm lợi trùm cấp tính thường cảm thấy mệt mỏi và có thể có triệu chứng sốt. Cùng với đó là cảm giác cơ thể suy nhược, mệt mỏi, sốt, hoặc khó chịu.
– Phần mô nướu bị viêm thường sưng phồng và gây ra cảm giác đau nhức khó chịu.
– Viêm lợi trùm cấp tính có thể gây ra đau nhức khi ăn nhai. Điều này làm cho việc tiêu hóa thức ăn trở nên khó khăn.
– Người bệnh có thể gặp phải tình trạng chảy mủ từ vùng nướu viêm, xuất hiện mùi hôi từ khoang miệng gây ảnh hưởng đến giao tiếp.
Người bị viêm lợi trùm có thể xuất hiện tình trạng hôi miệng
– Một biểu hiện khác của viêm lợi trùm cấp tính là sự xuất hiện của hạch bạch huyết ở vùng cổ.
2.2 Viêm lợi trùm răng cửa mạn tính
Dấu hiệu nhận biết khi bị viêm lợi trùm mạn tính thường khác biệt so với viêm lợi trùm cấp tính. Dưới đây là những biểu hiện thường gặp của viêm lợi trùm răng cửa mạn tính:
– Quá trình cử động hàm khó khăn: Người bệnh có thể gặp khó khăn khi di chuyển hàm, đặc biệt là trong quá trình ăn nhai thức ăn hoặc khi thực hiện các hoạt động giao tiếp hàng ngày. Điều này có thể do sưng phồng và đau nhức ở vùng nướu gây ra.
– Sưng phồng của mặt bên lợi: Một trong những biểu hiện dễ nhận thấy nhất của viêm lợi trùm mạn tính là sự sưng phồng của mặt bên lợi. Khu vực này có thể trở nên đỏ và căng trước khi xuất hiện các triệu chứng khác.
– Sốt vừa đến sốt cao và xuất hiện hạch bạch huyết: Viêm lợi trùm mạn tính có thể đi kèm với sốt từ nhẹ đến cao và xuất hiện hạch bạch huyết ở vùng cổ. Sốt và mệt mỏi thường là dấu hiệu của cơ thể đang chiến đấu với sự viêm nhiễm.
Viêm lợi trùm mạn tính có thể kéo dài trong nhiều ngày và có xu hướng tái phát nhiều lần nếu không được điều trị kịp thời và đúng cách. Điều quan trọng là tìm kiếm sự chăm sóc y tế từ bác sĩ nha khoa để đảm bảo việc điều trị và quản lý bệnh tình hiệu quả.
3. Nguyên nhân dẫn tới tình trạng bị viêm lợi trùm
Viêm lợi trùm vị trí răng cửa thường có nhiều nguyên nhân. Trong đó chủ yếu do tác động của vi khuẩn và thường xảy ra do các yếu tố sau:
– Tác động của vi khuẩn: Vi khuẩn trong miệng thường là nguyên nhân chính gây ra viêm lợi trùm. Việc vệ sinh răng miệng kém dẫn đến thức ăn và mảng bám tích tụ trên răng và nướu, vi khuẩn sẽ phát triển và tạo thành một môi trường viêm nhiễm.
– Va chạm với các răng khác trên cung hàm: Nếu răng không mọc đúng vị trí và đúng hàng hoặc có các vấn đề liên quan đến khớp cắn không chính xác. Điều đó có thể tạo ra áp lực hoặc va chạm không mong muốn với các răng khác trên cung hàm. Một số tổn thương cho nướu và dẫn đến viêm lợi trùm ở răng cửa sẽ hình thành.
– Một số yếu tố khác: Hút thuốc lá, tiếp xúc với các chất hóa học từ thuốc lá, stress, di truyền và các vấn đề cũng có thể góp phần vào việc phát triển viêm lợi trùm vị trí răng cửa.
4. Viêm lợi trùm răng cửa có gây nguy hiểm không?
Viêm lợi trùm không chỉ tác động tới răng miệng mà bệnh còn có thể gây ra những tác động tiêu cực đáng kể cho sức khỏe tổng thể. Dưới đây là một số nguy hiểm của viêm lợi trùm vị trí răng cửa:
– Tình trạng viêm nhiễm lan rộng: Vi khuẩn từ viêm lợi trùm răng cửa có thể lan ra ngoài và tạo ra tình trạng viêm nhiễm trong toàn bộ hệ thống máu, gây ra những vấn đề sức khỏe nghiêm trọng như viêm nhiễm đường tiểu, viêm khớp và thậm chí là viêm màng não.
– Tổn thương cho mô xung quanh răng: Nếu không được điều trị kịp thời, viêm lợi trùm ở răng cửa có thể dẫn đến viêm nướu sâu hơn. Cùng với đó là tổn thương mô liên kết răng, gây ra mất răng. Thậm chí là tiêu xương hàm có thể xảy ra.
– Ảnh hưởng đến sức khỏe tổng thể: Nhiều nghiên cứu đã chỉ ra mối liên hệ của viêm lợi trùm và các vấn đề sức khỏe tổng thể. Điển hình như bệnh tim mạch, tiểu đường, viêm nhiễm đường hô hấp,…
– Mất răng và vấn đề răng miệng: Viêm lợi trùm kéo dài có thể dẫn đến mất răng và làm suy giảm chức năng nhai, gây khó khăn trong việc tiêu thụ thức ăn và tác động tiêu cực đến chất lượng cuộc sống.
5. Cách điều trị tình trạng bị viêm lợi trùm
Người bị viêm lợi trùm cần kết hợp điều trị với bác sĩ và chăm sóc tại nhà
Viêm lợi trùm ở răng cửa cần được điều trị kịp thời để ngăn chặn sự phát triển của vi khuẩn, tránh các biến chứng. Dưới đây là một số phương pháp được áp dụng điều trị phổ biến:
5.1 Điều trị với bác sĩ
– Điều trị với thuốc: Bác sĩ nha khoa có thể kê đơn thuốc chống viêm hoặc kháng sinh. Những loại thuốc này được sử dụng để giảm vi khuẩn và làm giảm viêm.
– Cắt lợi: Trong trường hợp viêm lợi trùm đã phát triển nặng và gây tổn thương cho mô nướu, bác sĩ có thể cần thực hiện quá trình loại bỏ một phần mô nướu viêm. Việc này nhằm để làm sạch và tái tạo lại mô.
5.2 Chăm sóc tại nhà
Khi bị viêm lợi trùm, việc chăm sóc hàng ngày có vai trò quan trọng. Điều này giúp giảm thiểu triệu chứng và ngăn chặn sự phát triển của bệnh.
– Vệ sinh miệng hàng ngày.
– Sử dụng chỉ nha khoa.
– Sử dụng dung dịch nước muối.
– Tránh sử dụng thức ăn cay, nóng và thức uống có cồn gây kích thích.
– Hạn chế tối đa đối với việc hút thuốc lá.
– Thăm định kỳ tại nha khoa.
Trên đây là những thông tin về mức độ nguy hiểm và điều trị viêm lợi trùm răng cửa. Hy vọng qua đó, mọi người đã có cho mình những thông tin cần thiết để chăm sóc sức khỏe răng miệng tốt hơn.


















