Lưu ý chăm sóc nhổ răng khôn đúng cách
Răng khôn chính là nỗi ám ảnh, cơn hoảng sợ của rất nhiều người. Cơn đau do răng khôn mọc lệch đem lại ảnh hưởng rất lớn đến sức khỏe, quá trình ăn uống và chất lượng cuộc sống. Nếu không can thiệp nhổ bỏ kịp thời sẽ để lại nhiều di chứng cực kỳ nguy hiểm. Bài viết dưới đây sẽ cho bạn biết thêm thông tin về chiếc răng đặc biệt này, khi nào cần nhổ và cần chăm sóc nhổ răng khôn như thế nào để chóng lành cũng như đảm bảo an toàn, không dai dẳng khó chịu.
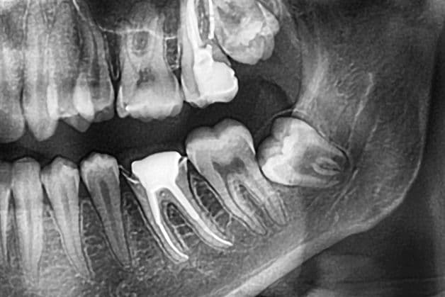
Hình ảnh răng khôn mọc lệch, ngầm, đâm vào răng bên cạnh.
1. Tổng quan về răng khôn
1.1. Răng khôn nằm ở đâu?
Hàm răng người bao gồm 32 chiếc, trong đó có 4 chiếc răng khôn ở hàm trên và dưới. Răng khôn là răng hàm lớn, hay còn được gọi là răng số 8, nằm trong cùng hàm răng. Đây là chiếc răng không mọc khi trẻ bắt đầu mọc răng mà thay vào đó sẽ mọc ở tuổi trưởng thành (từ khoảng 17 đến 35 tuổi) và sẽ không mọc lại khi đã mất. Trong 1 số trường hợp đặc biệt, có người chỉ mọc 2 răng số 8 hoặc không mọc.
1.2. Chức năng của răng khôn
Răng khôn không có bất cứ tác dụng gì trong quá trình ăn uống. Bởi vì con người khi mọc đủ 28 răng vĩnh viễn đã đảm bảo được chức năng ăn nhai. Bên cạnh đó, răng khôn còn không có chức năng thẩm mỹ. Do vậy, việc mọc răng khôn dường như không đem đến tác dụng gì mà còn có thể mang đến những nguy cơ như: răng mọc lệch, khiến các răng khác xô lệch,… Nói cách khác, răng khôn có thể coi là “kẻ thù” của nhiều người.
2. Khi nào cần nhổ răng khôn?
Những trường hợp răng khôn có thể được bảo tồn như:
– Răng mọc thẳng, không kẹt mô, nướu với các răng khác
– Có thể vệ sinh bằng bàn chải, nước súc miệng, tăm, chỉ nha khoa, tăm nước giúp làm sạch các kẽ răng tốt hơn
– Bệnh nhân có các bệnh lý toàn thân: rối loạn đông máu, đái tháo đường,…
Trên thực tế, có tới 85% răng khôn bị nhổ bỏ thay vì được tồn tại đến cuối đời. Lý do răng khôn bị nhổ bỏ do nó nằm ở vị trí kín, sâu, khó vệ sinh hoặc nhiều khi không được vệ sinh tới đem đến nguy cơ bị sâu răng, viêm nhiễm. Răng khôn mọc thẳng gần như không ảnh hưởng gì tới sức khỏe tuy vẫn mang đến cơn đau trong quá trình mọc răng nhưng không quá nguy hiểm. Những răng này có thể tồn tại lâu dài nếu không gặp các vấn đề như sâu răng. Vậy, khi nào thì răng khôn cần phải được nhổ bỏ?
– Răng khôn mọc lệch, ngầm, đâm vào răng bên cạnh
– Răng khôn bị sâu
– Có u nang, tình trạng viêm nhiễm tái đi tái lại có thể ảnh hưởng đến các răng bên cạnh
– Khó vệ sinh răng sạch sẽ khiến mảnh vụn thức ăn bám lại các kẽ răng, không chỉ gây hại cho răng số 8 mà còn các răng bên cạnh
– Răng mọc thẳng nhưng không hoặc chưa có răng đối diện nên chức năng ăn nhai bị ảnh hưởng
– Răng có bệnh viêm nha chu
– Nhổ răng khôn khi cần chỉnh hình, trồng răng giả
– Răng khôn đem đến biến chứng của nhiều bệnh toàn thân
Nhiều bác sĩ khuyên, thời điểm tốt nhất nên nhổ răng khôn là từ 18 – 25 tuổi. Nếu trên 30 tuổi, xương cứng hơn, quá trình nhổ răng diễn ra cũng gặp nhiều khó khăn hơn.
Răng khôn cần được nhổ bỏ sớm hạn chế nguy cơ gây tổn hại đến răng khác.
3. Biến chứng do răng khôn gây ra
Thông thường, mọi người chỉ để ý đến răng khôn và muốn nhổ bỏ răng khi nó đem lại những cơn đau nhức khó chịu. Việc xử lý răng khôn muộn hoặc thậm chí không xử lý có thể đem đến những biến chứng dưới đây:
– Sâu răng: do nằm ở vị trí khó vệ sinh nên răng khôn rất dễ bị mắc thức ăn, mảng bám khó bị loại bỏ. Từ đó trở thành ổ để vi khuẩn tích tụ và sinh sôi. Vi khuẩn phá hủy khoáng và men răng gây nên sâu răng và đem đến các cơn đau nhói khó chịu.
– Viêm lợi: vi khuẩn tích tụ dẫn đến viêm lợi, hôi miệng. Tình trạng này càng trở nên phổ biến nếu bệnh nhân không có thói quen chú ý vệ sinh răng miệng kỹ càng.
– Khiến hủy hoại xương và các răng khác: răng khôn mọc lệch đâm vào răng bên cạnh khiến răng đó bị tổn hại. Hậu quả có thể khiến răng đó lung lay, yếu dần hoặc bị phá hủy. Kết quả không chỉ răng khôn cần nhổ mà cả răng bên cạnh cũng phải bị nhổ bỏ.
– Tình trạng nhiễm trùng nếu không được xử lý nhanh chóng còn có thể lan sang các khu vực khác như má, tai,…
Biến chứng răng khôn không hề đơn giản như chúng ta nghĩ. Việc để răng khôn âm thầm mọc lệch, xiên sẽ khiến cả hàm răng phải hứng chịu hậu quả. Vì vậy, hãy đến gặp bác sĩ kịp thời để tiến hành nhổ bỏ khi cần thiết. Hiện nay, khoa học công nghệ phát triển nhanh như vũ bão, quá trình nhổ răng khôn đã không còn đau đớn nhờ công nghệ nhổ răng Piezotome mới đã và đang được nhiều cơ sở y tế áp dụng.
4. Chăm sóc nhổ răng khôn đúng cách, nhanh lành
Dưới đây là một số lưu ý để chăm sóc nhổ răng khôn đúng cách giúp mau lành:
– Cắn gạc tại chỗ từ 30 – 45p sau khi nhổ răng khôn để giúp cầm máu
– Chườm túi nước đá lên má giúp giảm đau sưng khi bắt đầu xuất hiện khối máu tụ
– Uống thuốc theo đơn bác sĩ kê. Tuyệt đối không tự ý mua thuốc về uống ngoài đơn.
– Nếu chảy máu trong quá trình sinh hoạt thì có thể cắn gạc trở lại nhưng nếu chảy máu quá nhiều và liên tục thì nên đến gặp bác sĩ
– Không súc miệng ngay sau khi nhổ và khi máu đông chưa hình thành
– Không thực hiện các hành động như đá lưỡi vào vùng răng bị nhổ, dùng tay trực tiếp sờ vào vết thương
Lưu ý cắn gạc để tránh tình trạng chảy máu.
– Không ăn thức ăn cứng, dai, quá nóng, lạnh
– Nên ăn thức ăn nguội, lỏng
– Không uống nước có gas, nước ngọt và đồ uống có cồn
– Nói không với chất kích thích và thuốc lá
Như vậy có thể thấy, mọc răng khôn không có tác dụng với chức năng ăn nhai và mất răng khôn cũng không có tác động tiêu cực đến quá trình này. Việc nhổ răng khôn đúng lúc, kịp thời sẽ giúp hạn chế các biến chứng nguy hiểm khôn lường mà những chiếc răng này gây ra. Khi đã nhổ bỏ răng khôn cần lưu ý đến cách chăm sóc nhổ răng khôn để đảm bảo nhanh chóng hồi phục, đảm bảo chức năng ăn uống sớm trở về bình thường. Hãy đến Nha khoa Thu Cúc TCI để nhận được sự chăm sóc tận tình và hỗ trợ hết mình.

















