Khi nào thì trám răng sâu đạt hiệu quả?
Trám sâu răng là một giải pháp điều trị tránh những biến chứng sâu răng ảnh hưởng trực tiếp tới sức khỏe. Vậy khi nào thì trám răng sâu đạt hiệu quả, quy trình ra sao? Cùng tìm hiểu ngay những thông tin về trám răng sâu cùng Thu Cúc TCI qua bài viết này nhé.
1. Tìm hiểu trám răng sâu là gì?
Phương pháp trám răng sâu là một kỹ thuật nhằm phục hồi chức năng của răng mà không gây tác động đến cấu trúc nội tại của răng. Cách tiếp cận này thường được áp dụng rộng rãi cho nhiều đối tượng.
Trám răng là kỹ thuật nhằm phục hồi chức năng của răng (minh họa).
Trong quá trình thực hiện, chuyên gia sẽ tiến hành loại bỏ hoàn toàn dịch tủy chứa vi khuẩn từ bên trong răng. Sau đó sử dụng chất liệu trám để đắp vào kẽ hở do sâu răng gây ra. Các chất liệu được sử dụng để tạo nên bề mặt và hình dáng của răng có nhiều loại khác nhau. Chúng sẽ tái tạo lại hình dáng ban đầu của răng trước khi bị tổn thương.
2. Chất liệu thường dùng để trám răng sâu hiện nay
Vật liệu được sử dụng để tiến hành trám răng sâu gặp vấn đề ê buốt rất đa dạng. Tuy nhiên, có một số loại vật liệu đem lại hiệu quả trám răng cao. Cụ thể:
2.1 Chất liệu trám răng sâu bằng Xi – măng silicat:
Vật liệu này đã được biết đến rộng rãi trong lĩnh vực công nghệ trám răng từ xưa đến ngày nay. Một ưu điểm của chất liệu này là khả năng mô phỏng màu sắc tương tự răng thật. Mặc dù tồn tại một số hạn chế như khả năng chịu lực và chống mài mòn không cao.
2.2 Chất liệu trám răng bị sâu bằng sứ:
Chất liệu cao cấp, thẩm mỹ vượt trội, độ bền và chịu lực tốt nhất, tuy nhiên chi phí cao hơn.
2.3 Trám răng sâu bằng chất liệu composite:
Không thể không nhắc đến vật liệu composite khi đề cập đến quá trình trám răng sâu. Đây được xem là loại vật liệu cao cấp và hiện đại nhất trong thời điểm hiện tại. Vật liệu composite không chỉ đảm bảo tính thẩm mỹ mà còn được đánh giá cao về chất lượng. Bên cạnh đó là khả năng chống lực, khả năng chống mài mòn và tuổi thọ lâu dài.
3. Khi nào thì trám răng sâu đạt hiệu quả?
Bạn có thắc mắc khi nào thì trám răng sâu không? Thực hiện trám răng được tiến hành trong trường hợp bệnh nhân gặp những tình huống cụ thể sau đây:
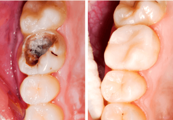
3.1 Khi răng gặp tình trạng sâu nhẹ
Khi răng bị vi khuẩn xâm nhập và làm hỏng cấu trúc ban đầu của răng cần phải trám răng. Trong quá trình trám răng sâu, việc lấy đi phần dịch nhiễm trùng là cần thiết.
Trám răng sâu khi răng gặp tình trạng sâu nhẹ (minh họa).
Phương pháp trám răng sâu sẽ lấp kín lỗ sâu để đảm bảo chức năng ăn nhai. Các tín hiệu cảnh báo phải trám răng để tránh sự phát triển của vi khuẩn bao gồm:
– Khu vực răng sâu bắt đầu thay đổi màu sắc, tạo thành các lỗ nhỏ với sắc thái màu nâu, đen,…
– Vị trí của răng sâu nếu nằm ở phần trước, có thể ảnh hưởng đến vẻ ngoại hình. Do đó việc trám răng là cần thiết để duy trì tính thẩm mỹ.
– Răng sâu gây đau nghiêm trọng và kéo dài, gây khó chịu và mệt mỏi suốt ngày.
3.2 Khi răng gặp chấn thương
Khi răng trải qua tình trạng chấn thương, các bác sĩ thường khuyên nên trám răng. Việc này không chỉ giúp bảo tồn răng hiện tại mà còn giúp ăn uống hàng ngày tốt hơn. Chấn thương răng thường bao gồm mẻ răng do hoạt động nhai. Ngoài ra, còn có gãy vỡ do tai nạn hoặc nguyên nhân khác.
Trám răng là giải pháp tối ưu khi răng bị chấn thương vừa. Vì nếu để tình trạng này kéo dài, thức ăn có thể bị kẹt lại trong những kẽ răng. Điều này gây tổn thương cho vùng bị mẻ hoặc gãy. Thậm chí có thể tạo điều kiện cho vi khuẩn gây ra bệnh sâu răng phát triển. Nếu không được điều trị kịp thời, việc xử lý vấn đề này sẽ trở nên phức tạp hơn.
3.3 Khi răng gặp tình trạng bị mòn
Có nhiều nguyên nhân dẫn đến tình trạng bào mòn răng. Trong đó bao gồm việc nghiến răng hoặc siết răng quá mức. Khi mắc phải vấn đề này, các bác sĩ thường đề xuất việc trám răng để bảo vệ cả tủy răng và lớp men bên trong của răng. Ngoài ra, trong trường hợp răng bị mòn kết hợp với các vết lõm trên bề mặt răng co thể gây ê buốt. Ngoài ra, tình trạng mòn răng kèm theo vấn đề sâu răng gây ra tình trạng đau buốt hoặc nhạy cảm. Lúc này, việc áp dụng kỹ thuật trám răng là phương án điều trị tốt nhất.
4. Trám răng sâu hết khoảng bao nhiêu tiền?
Bạn đã biết khi nào thì trám răng sâu, vậy chi phí cho dịch vụ này thì sao? Trám răng sâu là một phương pháp điều trị được thực hiện rất nhiều trong lĩnh vực nha khoa. Chi phí của việc này không quá đắt đỏ so với các liệu pháp khác điều chỉnh hình dáng răng.
Tuy nhiên, không có một mức giá cố định áp dụng cho tất cả. Vì giá của trám răng phụ thuộc vào tình trạng cụ thể của răng sâu ở từng người. Đặc biệt, giá sẽ cao trong những trường hợp phức tạp hơn. Ví dụ như cần phải xử lý dịch răng, loại bỏ mô bị sâu, sử dụng các loại vật liệu cao cấp,…
Hơn nữa, chi phí cho mỗi lần trám răng sâu còn tùy thuộc vào đơn vị nha khoa mà bạn chọn. Cụ thể, có thể liệt kê mức chi phí như sau:
– Tại phòng khám cơ bản, chi phí thường dao động từ khoảng 100.000 – 700.000 VNĐ.
– Tại các bệnh viện công hoặc phòng khám tư, đặc biệt tại các bệnh viện lớn, mức giá có thể từ 200.000 – 1.000.000 VNĐ.
– Đối với việc trám răng tại các cơ sở y tế quốc tế, chi phí có thể nằm trong khoảng từ 500.000 – 2.500.000 VNĐ.
5. Trám răng sâu có thể bền trong bao lâu?
Thực tế, thời gian trám răng sâu giữ được phụ thuộc vào loại chất liệu trám. Ngoài ra, cách chăm sóc răng miệng hàng ngày của bạn cũng ảnh hưởng tuổi thọ của miếng trám.
Về tuổi thọ, miếng trám có thể được chia thành hai khía cạnh: màu sắc và độ bền. Thông thường, miếng trám sẽ giữ nguyên màu của chất liệu gốc từ 2 đến 5 năm. Trong trường hợp sử dụng chất liệu composite, thời gian này có thể kéo dài lên đến 7 năm. Sau thời kì này, do tác động của men vi sinh và thức ăn miếng trám có thể bị thay đổi màu sắc.
Trám răng sâu có độ bền tùy thuộc vào chất liệu trám (minh họa).
Về độ bền, tuổi thọ của miếng trám cũng phụ thuộc vào chất liệu ban đầu. Trong trường hợp miếng trám là vật liệu GIC, thường sẽ bền trong khoảng 5 – 10 năm. Nếu bạn duy trì việc chăm sóc răng miệng một cách cẩn thận có thể bền 20 năm. Sau giai đoạn này, việc thay thế miếng trám mới là cần thiết để đảm bảo sức khỏe răng miệng.
Với chất liệu Composite, tuổi thọ có thể lên đến 20 – 30 năm. Riêng đối với những người có khả năng tài chính cao, trám bằng Onlays/Inlays vàng có thể giữ được tuổi thọ từ 40 – 60 năm.
Hy vọng những thông tin trên sẽ giúp bạn trả lời được câu hỏi khi nào thì trám răng sâu đạt hiệu quả. Bên cạnh đó, hãy đến bệnh viện uy tín để thăm khám và điều trị trám răng tốt nhất nhé.


















