Giải mã 5 lý do không nên chần chừ khi nhổ răng khôn bị sâu
Nên xử lý thế nào nếu răng khôn bị sâu? Nhiều người nghĩ rằng chỉ cần trám là đủ, nhưng sự thật lại hoàn toàn khác. Khi răng khôn bị sâu, nó không chỉ đơn thuần là một chiếc răng sâu bình thường mà còn là “quả bom hẹn giờ” trong khoang miệng, tiềm ẩn nhiều nguy cơ khôn lường. Bài viết này sẽ đi sâu vào 5 lý do y khoa chứng minh răng việc nhổ bỏ răng khôn sâu là một quyết định cần thiết, giúp bạn bảo vệ sức khỏe răng miệng lâu dài và tránh những biến chứng nguy hiểm có thể xảy ra.
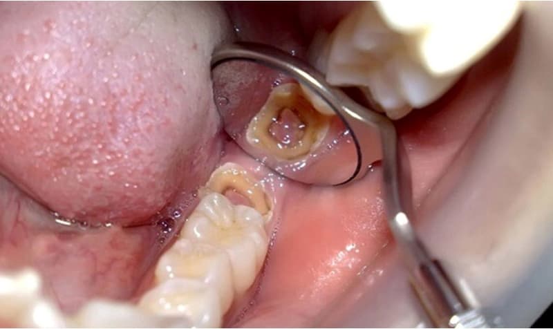
1. Vì sao răng khôn bị sâu lại đặc biệt nguy hiểm và khó điều trị?
Răng khôn (răng số 8) là chiếc răng mọc cuối cùng, thường mọc ở độ tuổi 17-25, khi xương hàm đã phát triển ổn định. Vị trí và thời điểm mọc này đã tạo nên những đặc điểm khiến răng khôn trở thành “kẻ thù” khó nhằn:

– Vị trí “tiếp giáp hiểm” và vệ sinh khó khăn: Răng khôn nằm ở vị trí trong cùng của cung hàm, phía sau răng số 7. Vị trí này gây khó khăn cho việc vệ sinh hàng ngày. Bàn chải đánh răng khó tiếp cận, khiến thức ăn và mảng bám tích tụ lâu ngày, tạo điều kiện thuận lợi cho vi khuẩn tấn công. Đây là nguyên nhân hàng đầu khiến răng khôn dễ bị sâu.
– Cấu trúc răng bất thường và mọc lệch: Răng khôn thường mọc lệch, mọc ngầm hoặc có hình dáng dị biệt. Điều này không chỉ làm răng khôn dễ bị sâu mà còn tạo khe hở giữa răng khôn và răng số 7, khiến cả hai chiếc răng đều có nguy cơ bị sâu. Răng khôn mọc lệch còn có thể đâm vào má, gây tổn thương niêm mạc miệng.
– Môi trường kín đáo, thiếu oxy: Vi khuẩn gây sâu răng phát triển mạnh mẽ trong môi trường yếm khí. Răng khôn nằm sâu bên trong, ít tiếp xúc với oxy và nước bọt (có tác dụng trung hòa axit và làm sạch), tạo điều kiện hoàn hảo cho vi khuẩn sinh sôi, khiến quá trình sâu răng diễn ra nhanh và nghiêm trọng hơn.
2. 5 lý do không nên chần chừ khi răng khôn bị sâu bạn cần biết
Đây không chỉ là lời khuyên mà còn là cảnh báo về những biến chứng bạn có thể phải đối mặt nếu trì hoãn việc nhổ bỏ răng khôn.

2.1. Răng khôn bị sâu gây biến chứng viêm nhiễm toàn diện
Răng khôn bị sâu không chỉ dừng lại ở một chiếc răng sâu. Vi khuẩn có thể lây lan sang các mô mềm xung quanh, gây viêm lợi trùm, viêm mô tế bào, áp xe vùng má, thậm chí là viêm hạch và nhiễm trùng huyết, gây nguy hiểm đến tính mạng. Các trường hợp nhiễm trùng nặng có thể cần phải nhập viện để điều trị bằng kháng sinh đường tĩnh mạch.
2.2. Gây hại cho răng số 7 kế cận
Đây là một trong những biến chứng nguy hiểm nhất và cũng là lý do hàng đầu mà các bác sĩ khuyên nhổ răng. Vi khuẩn từ răng khôn có thể lây lan sang răng số 7, khiến răng này cũng bị sâu. Điều trị răng số 7 phức tạp hơn nhiều so với việc nhổ bỏ răng khôn, thậm chí có thể phải nhổ bỏ cả hai nếu tình trạng quá nặng.
2.3. Sâu răng tiến triển nghiêm trọng và không thể phục hồi
Do vị trí khó vệ sinh, răng khôn bị sâu rất khó điều trị dứt điểm. Vi khuẩn sẽ nhanh chóng tấn công tủy, gây viêm tủy, đau nhức dữ dội và có nguy cơ áp xe, tiêu xương. Việc trám răng khôn thường không hiệu quả do vùng trám khó tiếp cận, dễ bị bong tróc. Tương tự, điều trị tủy răng khôn cũng rất phức tạp, tỷ lệ thành công thấp và dễ tái phát.
2.4. Phá hủy cấu trúc xương hàm
Răng khôn mọc lệch, ngầm hoặc bị sâu có thể gây tiêu xương ổ răng, làm yếu cấu trúc xương hàm. Về lâu dài, điều này có thể dẫn đến lệch khớp cắn, làm xô lệch các răng khác, ảnh hưởng đến thẩm mỹ và chức năng ăn nhai.
2.5. Thúc đẩy sự biểu hiện của các dấu hiệu đau dây thần kinh
Răng khôn có thể tạo áp lực lên dây thần kinh gần đó, gây ra các cơn đau đầu, đau nửa mặt hoặc đau thái dương hàm kéo dài. Việc nhổ bỏ răng khôn sẽ giúp giải quyết triệt để nguyên nhân gây ra các cơn đau này.
3. Công nghệ Piezotome: “Lời giải” hoàn hảo cho nỗi sợ nhổ răng khôn
Nhiều người e ngại răng khôn bị sâu có nên nhổ không vì nỗi sợ đau đớn và cảm giác khó chịu sau khi nhổ. Tuy nhiên, với sự tiến bộ vượt bậc của y học, công nghệ nhổ răng siêu âm Piezotome đã ra đời, giúp quá trình nhổ răng khôn diễn ra nhẹ nhàng, ít đau và an toàn hơn bao giờ hết. Đây được xem là một bước tiến quan trọng, xóa tan nỗi ám ảnh về việc nhổ răng.

3.1. Nhổ răng khôn bị sâu bằng cơ chế hoạt động khoa học
– Piezotome hoạt động dựa trên nguyên lý sử dụng sóng siêu âm với tần số cao và dao động liên tục. Thay vì sử dụng lực cơ học thô bạo như kìm và bẩy truyền thống, Piezotome sử dụng các đầu rung siêu âm chuyên dụng, được thiết kế đặc biệt để phù hợp với từng vị trí của răng.
– Khi đầu máy Piezotome tiếp xúc với chân răng, các bước sóng siêu âm sẽ nhẹ nhàng đi vào các kẽ hở siêu nhỏ, làm đứt các dây chằng nha chu – sợi dây liên kết giữa chân răng và xương ổ răng. Quá trình này diễn ra một cách chính xác, không làm tổn thương các mô mềm xung quanh.
– Sau khi các dây chằng nha chu đã bị làm đứt, răng sẽ trở nên lỏng lẻo, bác sĩ chỉ cần dùng một lực rất nhẹ để lấy răng ra khỏi ổ răng, giảm thiểu tối đa sự xâm lấn.
3.2. Ưu điểm vượt trội
– Giảm thiểu đau đớn và sưng nề: Đây là ưu điểm nổi bật nhất. Do sóng siêu âm chỉ tác động có chọn lọc lên mô cứng (chân răng) mà không làm tổn thương các mô mềm như nướu, niêm mạc, mạch máu và đặc biệt là dây thần kinh, nên người bệnh sẽ không cảm thấy đau trong quá trình nhổ. Cảm giác đau và sưng sau khi nhổ cũng giảm đi đáng kể, giúp quá trình hồi phục diễn ra nhanh chóng hơn.
– An toàn tuyệt đối: không gây biến chứng: Nhờ vào khả năng kiểm soát chính xác của sóng siêu âm, công nghệ Piezotome giúp bảo tồn tối đa cấu trúc xương hàm và các mô mềm xung quanh, tránh được các rủi ro như tổn thương dây thần kinh, vỡ xương hàm, hay chảy máu quá nhiều.
– Rút ngắn thời gian điều trị: Với cơ chế tách răng nhẹ nhàng và hiệu quả, Piezotome giúp rút ngắn thời gian nhổ răng, chỉ mất khoảng 15-20 phút cho một ca đơn giản. Điều này không chỉ giúp người bệnh thoải mái hơn về mặt tâm lý mà còn giảm bớt áp lực cho bác sĩ.
– Hồi phục nhanh chóng: Ít xâm lấn đồng nghĩa với việc vết thương mau lành hơn. Sau khi nhổ, người bệnh có thể ăn uống và sinh hoạt bình thường trở lại chỉ sau 1-2 ngày, giảm nguy cơ nhiễm trùng và biến chứng.
3.3. Đối tượng phù hợp với nhổ răng khôn bị sâu bằng Piezotome
– Piezotome là lựa chọn lý tưởng cho tất cả các trường hợp nhổ răng khôn, đặc biệt là những ca phức tạp như răng khôn mọc ngầm, mọc lệch, hoặc nằm sát dây thần kinh.
– Công nghệ này cũng phù hợp với những người có tâm lý sợ đau, ngưỡng chịu đau thấp hoặc người cao tuổi, giúp họ vượt qua nỗi sợ hãi và thực hiện việc nhổ răng một cách an toàn, hiệu quả.
Với những thông tin chuyên sâu trên, hy vọng bạn đã có câu trả lời thỏa đáng cho câu hỏi răng khôn bị sâu có nên nhổ không. Việc nhổ bỏ răng khôn bị sâu không chỉ là một giải pháp dứt điểm cơn đau mà còn là một quyết định sáng suốt để bảo vệ sức khỏe toàn diện cho cả hàm răng của bạn. Hãy đến Thu Cúc TCI, nơi có đội ngũ bác sĩ chuyên môn cao và công nghệ hiện đại như Piezotome để được thăm khám và tư vấn, giúp bạn tự tin loại bỏ “quả bom hẹn giờ” này một cách an toàn và hiệu quả nhất.


















