Giải đáp những thắc mắc liên quan đến khi nào nên cạo vôi răng
Vôi răng không chỉ làm mất đi vẻ trắng sáng của răng mà còn tăng nguy cơ mắc bệnh nướu và sâu răng. Để ngăn chặn tác hại, việc lấy vôi răng định kỳ là rất quan trọng. Quá trình này không chỉ loại bỏ vôi răng mà còn giúp theo dõi sức khỏe của răng và nướu. Có nhiều ý kiến khác nhau về việc khi nào nên cạo vôi răng. Bài viết dưới đây sẽ cho bạn câu trả lời.
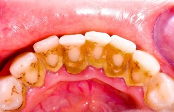
1. Vôi răng là gì?
Vôi răng là một vấn đề nha khoa rất phổ biến. Chúng không chỉ gây ảnh hưởng đối với thẩm mỹ mà còn ẩn chứa những tác hại lớn đối với sức khỏe nướu và răng. Sự tích tụ của vôi răng trên bề mặt răng không chỉ làm mất đi vẻ trắng sáng tự nhiên mà còn tạo điều kiện cho sự phát triển của vi khuẩn, đẩy cao nguy cơ mắc bệnh nướu và sâu răng.
Hầu hết ai cũng có cao răng nếu không loại bỏ định kỳ
Đặc biệt, với trẻ em, vôi răng có thể gây ảnh hưởng lớn đến quá trình phát triển của men răng, làm cho răng trở nên nhạy cảm và dễ bị tổn thương. Điều này không chỉ gây khó chịu mà còn tăng nguy cơ mắc các vấn đề sức khỏe nha khoa trong tương lai.
Để ngăn chặn tác hại của vôi răng, việc đi lấy vôi răng định kỳ là quan trọng. Quá trình này không chỉ giúp loại bỏ lớp vôi răng tích tụ mà còn đánh giá tình trạng sức khỏe răng và nướu.
Với sự tiện lợi và hiệu quả của quá trình lấy vôi răng, việc thực hiện nó một cách định kỳ là biện pháp chủ động để bảo vệ sức khỏe răng miệng, giúp duy trì nụ cười khỏe mạnh và tự tin.
2. Vôi răng có mấy loại?
Vôi răng thường được có hai loại: vôi răng thường và vôi răng huyết thanh.
Vôi răng thường có màu vàng nhạt và nằm sát với chân răng, chưa tấn công vào sâu bên trong nướu.
Vôi răng huyết thanh có màu nâu hoặc đen và xuất hiện sâu bên dưới nướu. Khi lấy loại cao răng này có thể khiến lợi bị chảy máu do mảng vôi răng bám vào lợi và gây kích ứng.
3. Khi nào nên cạo vôi răng và có đau không?
3.1 Vì sao nên loại bỏ cao răng?
Cạo vôi răng là một phương pháp quan trọng trong chăm sóc nướu và răng, mang lại nhiều lợi ích cho sức khỏe nha khoa. Dưới đây là một số lợi ích chính của việc cạo vôi răng:
– Cạo vôi răng giúp loại bỏ mảng bám, lớp màng mịn chứa vi khuẩn và các tác nhân gây sâu răng. Việc loại bỏ mảng bám đều đặn ngăn chặn sự phát triển của vi khuẩn trong miệng.
– Vi khuẩn trong vôi răng là nguồn gốc của viêm nướu. Cạo vôi răng đều đặn giúp ngăn chặn sự phát triển của vi khuẩn này, giảm nguy cơ mắc bệnh viêm nướu và các vấn đề liên quan.
– Việc loại bỏ vôi răng không chỉ làm răng sạch sẽ mà còn giúp duy trì hơi thở thơm mát. Mảng bám thường là nguồn gốc của mùi hôi miệng, và cạo vôi răng giúp giảm thiểu tình trạng này.
– Cạo vôi răng giúp giảm nguy cơ mắc các vấn đề nha khoa như sâu răng, và viêm nướu.
Lấy cao răng giúp bảo vệ răng miệng, tránh bệnh lý cho mọi người
Việc cạo vôi răng là một phương pháp đơn giản nhưng hiệu quả để duy trì sức khỏe nha khoa và ngăn chặn các vấn đề nha khoa phổ biến.
3.1 Cạo vôi răng có đau không?
Cạo vôi răng thường không gây đau đớn nếu thực hiện đúng kỹ thuật và sử dụng các dụng cụ hiện đại. Tuy nhiên, nếu bạn trải qua cảm giác đau khi cạo vôi răng, có thể có một số nguyên nhân khác nhau.
Một trong những nguyên nhân có thể là do tay nghề của bác sĩ nha khoa không tốt, hoặc dụng cụ sử dụng không phù hợp. Các bác sĩ nha khoa được đào tạo để thực hiện quy trình một cách thoải mái và hiệu quả, và việc sử dụng công nghệ hiện đại cũng đóng một vai trò quan trọng trong việc giảm đau và tăng trải nghiệm cho bệnh nhân.
Nếu bạn trải qua đau khi cạo vôi răng, quan trọng nhất là báo với bác sĩ nha khoa của bạn. Họ có thể kiểm tra và tư vấn về liệu pháp phù hợp, đồng thời đảm bảo rằng trải nghiệm của bạn là thoải mái và không gây lo lắng.
3.2 Khi nào nên cạo vôi răng là tốt nhất?
Cạo vôi răng tại nha khoa được biết đến là phương pháp làm sạch răng chuyên sâu. Dưới đây là một số thời điểm cần đến nha khoa để cạo vôi răng:
– Lịch trình cạo vôi răng định kỳ thường là từ 4-6 tháng một lần. Điều này giúp duy trì sức khỏe nướu và răng, ngăn chặn sự hình thành mảng bám và vôi răng.
– Nếu bạn trải qua các triệu chứng như đau nướu, sưng nướu, hoặc chảy máu nướu, có thể đó là dấu hiệu của viêm nướu. Cạo vôi răng chuyên sâu giúp loại bỏ mảng bám và vi khuẩn một cách triệt để.
– Nếu bạn cảm thấy có mùi hôi miệng và đã thử áp dụng các cách để loại bỏ hôi miệng như sử dụng nướu súc miệng cũng không giải quyết được vấn đề thì việc cạo vôi răng tại nha khoa có thể giúp làm sạch sâu và giúp hơi thở thơm tho hơn.
Lưu ý, quyết định cần cạo vôi răng tại nha khoa hay không nên được đưa ra dưới sự tư vấn của bác sĩ nha khoa dựa trên tình trạng sức khỏe nướu và răng của bạn.
Chọn những cơ sở nha khoa uy tín hiện đại để giúp bạn không có cảm giác đau
4. Quy trình thực hiện lấy cao răng tại nha khoa
Quy trình lấy vôi răng tại nha khoa là một quy trình quan trọng trong chăm sóc nha khoa chuyên sâu, nhằm giúp duy trì sức khỏe nướu và răng, đồng thời ngăn chặn sự hình thành mảng bám và vôi răng. Dưới đây là một mô tả chi tiết về quy trình này:
– Kiểm tra ban đầu: Quy trình lấy cao răng bắt đầu với một cuộc kiểm tra chi tiết của tình trạng nướu và răng. Bác sĩ nha khoa thường sẽ thực hiện một kiểm tra nướu để đánh giá sự sức khỏe nướu và xác định xem liệu cần lấy vôi răng hay không.
– Bác sĩ sử dụng các dụng cụ chuyên sâu, bao gồm cả dụng cụ cạo và thiết bị siêu âm, để loại bỏ vôi răng. Dụng cụ cạo giúp cắt những lớp vôi răng cứng, trong khi thiết bị siêu âm sử dụng sóng âm để phá hủy và làm tan chất cặn vôi răng mà không gây tổn thương đáng kể cho bề mặt răng.
– Đánh bóng răng để trả lại vẻ sáng bóng cho răng và hạn chế mảng bám và cao răng tái hình thành những lần sau.
– Quá trình lấy vôi răng thường đi kèm với việc kiểm tra và làm sạch nướu. Bác sĩ nha khoa sẽ tư vấn về cách chăm sóc răng tại nhà để giữ cho miệng luôn sạch sẽ và ngăn chặn tái tạo vôi răng. Các bước này bao gồm lựa chọn bàn chải răng phù hợp và cách sử dụng nướu súc miệng.
– Nếu có bất kỳ vấn đề nào khác về sức khỏe nướu hoặc răng được phát hiện trong quá trình lấy vôi răng, bác sĩ sẽ cung cấp tư vấn về các liệu pháp và quy trình phù hợp để giải quyết vấn đề.
Quy trình lấy vôi răng không chỉ giúp duy trì sức khỏe nha khoa mà còn là cơ hội để bác sĩ nha khoa đánh giá và tư vấn về tình trạng miệng của bạn. Việc thực hiện quy trình này định kỳ giúp ngăn chặn vấn đề nha khoa và duy trì một nụ cười khỏe mạnh.
Bài viết trên đã cung cấp cho bạn những thông tin liên quan đến cao răng như: khi nào nên cạo vôi răng, cạo vôi răng có đau không, quy trình thực hiện. Nếu có thắc mắc, vui lòng liên hệ đế số Tổng đài của Thu Cúc TCI bạn nhé.


















