Cách xử lý răng cửa bị sâu và mẻ tối ưu chi phí đảm bảo thẩm mỹ
Răng cửa bị sâu và mẻ gây ảnh hưởng nhiều đến chức năng ăn nhai và sức khỏe của người bệnh. Hơn thế, vì đây là răng chính diện nên khi gặp phải tình trạng bị sâu và mẻ còn gây mất thẩm mỹ, khiến người bệnh cảm thấy tự ti khi giao tiếp. Xem ngay cách xử lý răng sâu và mẻ vừa tối ưu chi phí lại đảm bảo thẩm mỹ trong bài viết này nhé.
1. Răng cửa bị sâu và mẻ gây nhiều hệ lụy tới sức khỏe, thẩm mỹ của người bệnh
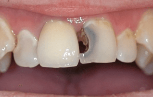
Răng cửa sâu và mẻ gây ảnh hưởng tới sức khỏe, thẩm mỹ của người bệnh
Răng sâu là bệnh lý có thể xảy ra ở bất kì chiếc răng nào, bao gồm cả răng cửa, nếu không được chăm sóc và bảo vệ đúng cách. Hơn thế, trường hợp răng cửa sâu còn bị mẻ gây nhiều hệ lụy tới sức khỏe và thẩm mỹ của người bệnh:
1.1. Răng cửa sâu và sứt mẻ gây phá hủy men răng, khiến trở nên yếu dần.
Răng cửa bị sâu là do bị vi khuẩn tấn công ăn mòn lớp men răng, phá hủy cấu trúc răng nên gây ra các lỗ nhỏ li ti màu đen trên răng. Hơn thế, do răng cửa nằm ở vị trí bên ngoài, thường xuyên tiếp xúc với mọi đồ ăn, thức uống đầu tiên nên càng tạo điều kiện thuận lợi cho vi khuẩn tấn công, gây tổn thương nặng nề cho răng cửa bị sâu. Tình trạng này sâu răng cửa kéo dài, không được xử lý sẽ khiến răng bị yếu, nứt và sứt mẻ.
1.2. Răng cửa sâu và sứt mẻ sẽ gây ảnh hưởng tới sức khỏe của người bệnh
Tình trạng răng cửa sâu và sứt mẻ kéo dài sẽ gây ảnh hưởng tới việc ăn nhai của người bệnh. Điều này có thể kéo theo hệ quả người bệnh ăn uống kém ngon miệng, cơ thể mệt mỏi, thiếu chất, dễ sút cân hoặc sinh ốm. Hơn thế, người bệnh có thể sẽ phải chịu đựng những cơn đau hay nhức buốt vì răng sâu và sứt mẻ.
1.3. Răng cửa sâu và sứt mẻ ảnh hưởng tới thẩm mỹ, gây sự tự ti cho người bệnh
Răng cửa đều đẹp sẽ góp phần giúp nụ cười của bạn thêm xinh đẹp và duyên dáng. Ngược lại, nếu răng cửa bị sâu, sứt mẻ, nụ cười của bạn sẽ trở nên gượng gạo và kém duyên hơn. Điều này xuất phát từ tâm lý tự ti: mỉm cười sẽ làm chiếc răng sâu và sứt mẻ bị lộ, hở. Do đó, để lấy lại sự tự tin cùng nụ cười duyên dáng, tình trạng răng cửa sâu và sứt mẻ cần được xử lý càng sớm càng tốt.
2. Cách xử lý răng cửa sâu và mẻ tiết kiệm chi phí, đảm bảo thẩm mỹ
Hiện nay, khi gặp phải tình trạng răng cửa bị sâu và mẻ, bạn có thể xử lý bằng 2 cách: trám răng (hàn răng) hoặc bọc sứ cho răng. Nên lựa chọn cách xử lý nào để đảm bảo thẩm mỹ lại tiết kiệm chi phí thì còn tùy thuộc vào tình trạng răng bị sâu và mẻ của bạn.
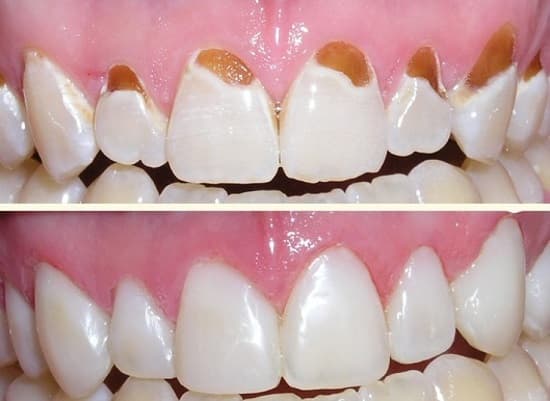
2.1. Trám răng cửa sâu và sứt mẻ
Răng cửa sâu và sứt mẻ có thể dùng biện pháp trám răng
Trám răng là một trong những phương pháp có thể xử lý răng cửa sâu và sứt mẻ hiệu quả. Với phương pháp này, bác sĩ sẽ xử lý răng cửa sâu, mẻ của bạn đẹp như cũ mà không cần mài răng hay nhổ bỏ để trồng răng mới.
Với phương pháp trám răng, bác sĩ nha khoa sẽ sử dụng mũi khoan siêu tốc giúp loại bỏ khu vực bị sâu ở răng cửa của bạn. Tiếp đó, bác sĩ sẽ dùng miếng trám có màu tương đồng với màu răng của bạn để thêm vào phần lỗ sâu bị thiếu hỏng, dùng laser để giúp làm vật liệu trám răng cứng lại và dính chặt vào răng. Ngay sau đó, chiếc răng sâu của bạn đã được “hô biến” về hình dạng bình thường trở lại.
Thực tế, với khoa học hiện đại như ngày này, tình trạng răng cửa vừa sâu vừa sứt mẻ vẫn có thể được tái tạo dễ dàng bằng trám răng Composite – kỹ thuật trám răng sử dụng vật liệu trám Composite. Tuy nhiên cần lưu ý rằng, phương pháp này sẽ thích hợp với răng cửa bị sâu và sứt mẻ ở mức độ nhẹ. Còn với mức độ nặng hơn, phương pháp trám răng sẽ không đảm bảo hiệu quả, độ bền cho răng sau điều trị.
2.2. Bọc răng sứ cho răng cửa sâu và mẻ
Nếu tình trạng răng cửa sâu và mẻ ở mức độ nặng hơn, bị mất từ 1/2 chiếc răng, thì bạn nên chuyển qua phương pháp bọc răng sứ. Cách này sẽ giúp cho chiếc răng cửa bị hư hỏng vì sâu, mẻ của bạn sau xử lý được bền hơn, ít nhất là từ 15 – 20 năm. Thậm chí nhiều trường hợp chăm sóc răng miệng tốt, mão răng sứ có thể duy trì độ bền đẹp đến suốt đời. Tuy nhiên, so với phương pháp trám răng thì bọc răng sứ sẽ có giá thành cao hơn.
Với phương pháp bọc răng sứ, trước tiên bác sĩ cũng sẽ tiến hành vệ sinh và xử lý loại bỏ khu vực bị sâu ở răng cửa của bạn. Tiếp đó, bác sĩ sẽ mài nhỏ răng thật rồi úp răng sứ bên ngoài để “trả lại” hình dáng bình thường cho chiếc răng của của bạn.
Hãy lựa chọn khám và chữa răng tại cơ sở y tế uy tín để đạt hiệu quả tốt nhất
Lưu ý rằng để đảm bảo cho chiếc răng cửa sâu và mẻ của bạn được xử lý tốt nhất, bạn nên tìm hiểu và lựa chọn cơ sở y tế uy tín, nhận được sự đánh giá cao của khách hàng đã sử dụng dịch vụ. Bạn cũng nên ưu tiên lựa chọn cơ sở y tế có Khoa răng hàm mặt để được bác sĩ chuyên khoa giỏi, giàu kinh nghiệm khám và trực tiếp điều trị.
Nếu vẫn còn phân vân địa chỉ khám chữa răng tốt, bạn có thể tham khảo Khoa Răng hàm mặt của Bệnh viện Đa khoa Quốc tế Thu Cúc TCI. Đây hiện là địa chỉ khám chữa mọi bệnh lý về răng được rất nhiều khách hàng tin tưởng, đánh giá cao. Điều này cũng một phần nhờ Khoa Răng hàm mặt Thu Cúc TCI có đội ngũ bác sĩ nha khoa giỏi, giàu kinh nghiệm, hệ thống thiết bị y tế hiện đại, công nghệ cao, cơ sở vật khang trang, nhân viên thân thiện và tận tình chỉ dẫn, chăm sóc người bệnh. Hơn thế, các dịch vụ răng hàm mặt tại Thu Cúc TCI có mức giá rất tối ưu, phù hợp với khả năng chi trả của phần lớn các gia đình Việt.
Trên đây bài viết đã gửi tới bạn phương pháp xử lý răng cửa bị sâu và mẻ tối ưu chi phí đảm bảo thẩm mỹ. Mọi thắc mắc hay muốn giải đáp thêm các bệnh lý về răng hàm mặt, Quý khách hàng vui lòng liên hệ ngay Thu Cúc TCI để được bác sĩ chuyên khoa của chúng tôi tư vấn chi tiết nhé.


















