Cách làm sao để cao răng không quay trở lại quá nhanh
Cao răng ảnh hưởng đến thẩm mỹ, đồng thời chúng còn gây ra nhiều vấn đề răng miệng như viêm nướu, sâu răng, thậm chí là mất răng nếu không được xử lý kịp thời. Sau khi lấy cao răng, việc duy trì một chế độ chăm sóc răng miệng đúng cách là yếu tố quyết định giúp ngăn ngừa cao răng quay trở lại quá nhanh. Trong bài viết này, chúng ta sẽ tìm hiểu các phương pháp hiệu quả để làm sao để cao răng không quay lại quá nhanh và duy trì hàm răng sạch sẽ, khỏe mạnh lâu dài.
1. Tầm quan trọng của việc ngăn ngừa cao răng quay trở lại
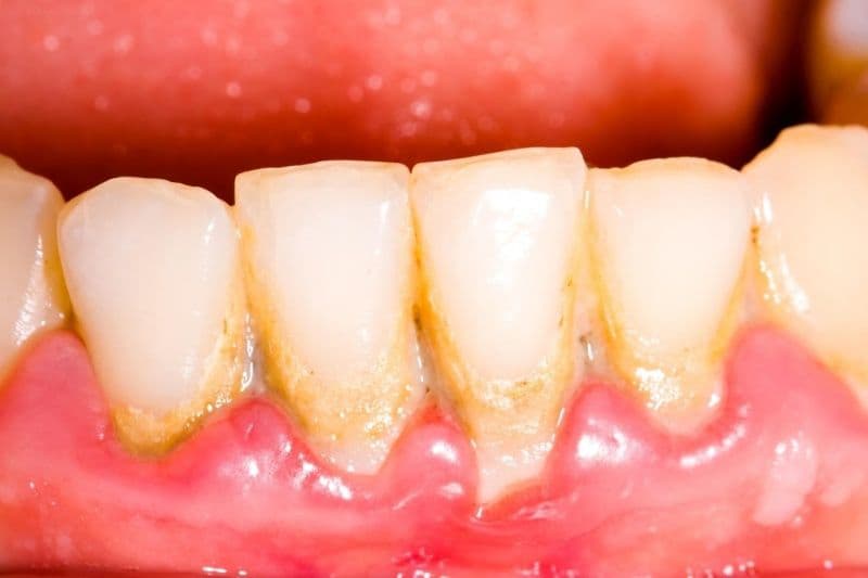
Cao răng hình thành từ mảng bám không được làm sạch kỹ càng, lâu ngày tích tụ và cứng lại dưới tác động của nước bọt. Nếu cao răng quay trở lại nhanh, bạn sẽ phải thường xuyên lấy cao răng, gây tổn hại cho men răng và làm yếu nướu. Ngoài ra, cao răng còn là môi trường thuận lợi cho vi khuẩn phát triển, dẫn đến các bệnh lý răng miệng nghiêm trọng.
Do đó, việc ngăn ngừa cao răng không chỉ giúp duy trì nụ cười rạng rỡ mà còn bảo vệ sức khỏe toàn diện cho răng miệng.
Cao răng hình thành từ mảng bám không được làm sạch kỹ càng, lâu ngày tích tụ và cứng lại dưới tác động của nước bọt.
2. Làm sao để cao răng không quay trở lại quá nhanh
2.1. Chăm sóc răng miệng hàng ngày đúng cách là cách làm sao để cao răng không quay lại quá nhanh
Chăm sóc răng miệng hàng ngày đúng cách là nền tảng quan trọng để ngăn ngừa cao răng và các vấn đề răng miệng. Đánh răng đúng cách là bước cơ bản nhưng không thể thiếu. Bạn nên sử dụng bàn chải có lông mềm để tránh làm tổn thương nướu và chọn kem đánh răng chứa fluoride để bảo vệ men răng. Việc đánh răng cần thực hiện ít nhất hai lần mỗi ngày, vào buổi sáng sau khi thức dậy và buổi tối trước khi đi ngủ. Mỗi lần chải răng nên kéo dài từ 2-3 phút, chải theo hướng vòng tròn hoặc từ trên xuống dưới để loại bỏ mảng bám hiệu quả mà không làm mòn răng.
Ngoài đánh răng, dùng chỉ nha khoa là một bước không thể bỏ qua. Chỉ nha khoa giúp làm sạch sâu các kẽ răng, nơi bàn chải khó tiếp cận, từ đó loại bỏ thức ăn thừa và mảng bám tích tụ. Nên sử dụng chỉ nha khoa sau khi ăn xong, đặc biệt là vào buổi tối để đảm bảo răng miệng sạch sẽ trước khi đi ngủ.
Kết hợp với đánh răng và chỉ nha khoa, nước súc miệng cũng đóng vai trò quan trọng. Sử dụng nước súc miệng diệt khuẩn giúp loại bỏ vi khuẩn còn sót lại trong khoang miệng, giảm nguy cơ hình thành mảng bám và mang lại hơi thở thơm mát. Khi lựa chọn nước súc miệng, hãy ưu tiên loại không chứa cồn để tránh khô miệng và kích ứng.
Chăm sóc răng miệng hàng ngày đúng cách không chỉ là một thói quen tốt mà còn là biện pháp hiệu quả để bảo vệ răng và nướu, ngăn ngừa cao răng quay trở lại nhanh chóng. Hãy duy trì các bước chăm sóc này để giữ nụ cười luôn sáng đẹp và khỏe mạnh.
Chăm sóc răng miệng hàng ngày đúng cách là nền tảng quan trọng để ngăn ngừa cao răng và các vấn đề răng miệng.
2.2. Điều chỉnh chế độ ăn uống cũng là cách làm sao để cao răng không quay trở lại quá nhanh
Một chế độ ăn uống lành mạnh và hợp lý có vai trò quan trọng trong việc bảo vệ răng miệng và ngăn ngừa cao răng quay trở lại nhanh chóng. Các thực phẩm giàu đường và tinh bột, như bánh kẹo, nước ngọt, bánh mì trắng hoặc đồ ăn nhanh, là nguyên nhân chính thúc đẩy sự phát triển của vi khuẩn trong miệng. Vi khuẩn này sẽ chuyển hóa đường thành axit, gây tổn thương men răng và hình thành mảng bám nhanh chóng. Do đó, hạn chế tiêu thụ các loại thực phẩm này không chỉ giúp giảm nguy cơ cao răng mà còn bảo vệ sức khỏe toàn diện cho răng miệng.
Bên cạnh việc hạn chế thực phẩm có hại, bạn nên bổ sung các loại thực phẩm có lợi cho răng miệng. Rau củ tươi như cà rốt, táo, và cần tây không chỉ giàu chất xơ mà còn giúp kích thích tiết nước bọt, một cơ chế tự nhiên làm sạch răng và trung hòa axit trong miệng. Các sản phẩm từ sữa là nguồn cung cấp canxi dồi dào, giúp tăng cường sức khỏe men răng và ngăn ngừa các tổn thương do vi khuẩn gây ra. Omega-3 từ cá hồi hoặc hạt chia cũng có tác dụng giảm viêm nướu và hỗ trợ sức khỏe răng miệng.
Ngoài ra, uống nhiều nước là thói quen đơn giản nhưng hiệu quả để làm sạch răng miệng tự nhiên. Nước không chỉ giúp rửa trôi thức ăn thừa và vi khuẩn mà còn giữ cho miệng không bị khô, giảm nguy cơ vi khuẩn sinh sôi. Sau mỗi bữa ăn, việc súc miệng bằng nước sạch hoặc uống một ly nước lọc sẽ giúp làm sạch khoang miệng, đặc biệt khi bạn không thể đánh răng ngay lập tức.
2.3. Đi khám răng định kỳ
Khám răng định kỳ là một phần thiết yếu trong việc bảo vệ sức khỏe răng miệng và ngăn ngừa cao răng quay trở lại. Thông thường, bạn nên đến nha sĩ kiểm tra răng miệng mỗi 6 tháng một lần, hoặc theo lịch trình được bác sĩ khuyến nghị dựa trên tình trạng răng miệng của bạn. Lấy cao răng định kỳ là một bước quan trọng trong các lần khám răng. Cao răng, khi đã hình thành và bám chắc vào răng, không thể loại bỏ bằng các phương pháp vệ sinh thông thường tại nhà. Việc lấy cao răng không chỉ giúp làm sạch mảng bám cứng đầu mà còn giảm nguy cơ viêm nướu và các bệnh lý nha chu.
Ngoài việc làm sạch cao răng, các buổi khám định kỳ còn giúp phát hiện sớm các vấn đề răng miệng như sâu răng, viêm lợi, hoặc răng mọc lệch. Nhiều vấn đề răng miệng nếu được phát hiện kịp thời sẽ dễ dàng xử lý hơn, giúp tiết kiệm chi phí và tránh được các biến chứng phức tạp. Ví dụ, một chiếc răng sâu nhẹ nếu được trám kịp thời sẽ ngăn ngừa tổn thương lan rộng, giảm nguy cơ phải điều trị tủy hoặc nhổ bỏ.
Khám răng định kỳ là một phần thiết yếu trong việc bảo vệ sức khỏe răng miệng và ngăn ngừa cao răng quay trở lại.
Đặc biệt, thông qua các lần khám răng định kỳ, nha sĩ sẽ cung cấp lời khuyên cụ thể về cách chăm sóc răng miệng phù hợp với từng người. Từ cách chọn bàn chải, kem đánh răng đến chế độ ăn uống và các sản phẩm hỗ trợ như nước súc miệng, làm sao để cao răng không quay lại nhanh quá, v…v…
3. Những thói quen cần tránh để không làm cao răng quay trở lại
– Hút thuốc lá: Thuốc lá không chỉ làm răng ố vàng mà còn là nguyên nhân hàng đầu gây tích tụ cao răng nhanh chóng. Hạn chế hoặc bỏ hút thuốc lá sẽ cải thiện sức khỏe răng miệng đáng kể.
– Ăn uống ngay trước khi đi ngủ. Thói quen ăn khuya mà không đánh răng sau đó tạo điều kiện cho vi khuẩn hoạt động mạnh suốt đêm. Nếu bạn không thể đánh răng ngay, hãy uống nước sạch để giảm mảng bám.
– Chải răng quá mạnh. Dùng lực quá mạnh không chỉ gây tổn thương men răng mà còn không làm sạch sâu hiệu quả. Điều này dẫn đến tích tụ mảng bám, lâu ngày hình thành cao răng.
Duy trì một hàm răng sạch sẽ, không cao răng đòi hỏi sự kiên trì trong việc chăm sóc răng miệng hàng ngày, lựa chọn thực phẩm lành mạnh, và khám răng định kỳ. Những thói quen tốt này không chỉ là cách làm sao để cao răng không quay lại quá nhanh mà còn bảo vệ sức khỏe răng miệng toàn diện. Hãy bắt đầu áp dụng ngay hôm nay để luôn tự tin với nụ cười tươi sáng và hàm răng khỏe mạnh.

















