Cách khắc phục tình trạng răng lấy tủy bị vỡ
Răng lấy tủy bị vỡ là một trong những vấn đề phổ biến hiện nay. Tình huống này có nguy hiểm không và làm sao để có thể khắc phục? Chúng ta hãy cùng đi tìm hiểu qua những thông tin trong bài viết sau.
1. Lý do khiến tình trạng răng lấy tủy bị vỡ
Cấu tạo của răng bao gồm 3 phần chính: men răng, ngà răng và tủy răng. Trong đó, tủy răng chính là lớp trong cùng chứa cả các mạch máu và dây thần kinh. Chúng đóng vai trò nuôi dưỡng răng, giúp răng chắc khỏe và khả năng cảm biến thức ăn.
Khi răng bị viêm tủy, vỡ, tủy sẽ bị thối do viêm, bệnh nhân sẽ cần được lấy tủy. Đó là cách tốt để bảo vệ răng bị viêm tủy cũng như các răng bên cạnh. Sau quá trình lấy tủy, răng lấy tủy bị vỡ là điều không tránh được. Sau đây là một số yếu tố dẫn tới tình trạng này:
– Chế độ chăm sóc chưa phù hợp, không đúng cách.
– Chế độ ăn uống không khoa học: Các bữa ăn không đảm bảo dinh dưỡng, thường ăn những món quá nóng hoặc lạnh, …
– Do phải dùng lực nhai quá mạnh ở răng đã lấy tủy. Từ đó dẫn tới răng bị vỡ.
– Do những thói quen xấu ảnh hưởng tới răng như nghiến răng khi ngủ, cắn bút, cắn móng tay, …
– Vật liệu hàn trám được sử dụng trước đó kém chất lượng.
– Kỹ thuật hàn trám trước đó được thực hiện chưa đúng.
2. Dấu hiệu răng bị vỡ sau lấy tủy
Thông thường, để nhận biết răng bị vỡ sau lấy tủy, ta sẽ dựa trên 3 biểu hiện sau:
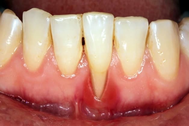
2.1 Răng lung lay
Lợi tụt hơn bình thường có thể là dấu hiệu vỡ răng lấy tủy
Dấu hiệu đầu tiên để nhận thấy tình trạng vỡ răng lấy tủy của bản thân chính là chân răng lung lay. Đồng thời, lợi ở chiếc răng đó sẽ có xu hướng tụt hơn bình thường. Răng sẽ tạo cảm giác dài hơn những chiếc răng còn lại.
2.2 Răng vỡ dọc
Một số trường hợp, chiếc răng đã lấy tủy không chỉ bị sứt hay mẻ theo chiều ngang. Răng còn có thể bị vỡ dọc từ phần chân răng xuống
Một số trường hợp, chiếc răng đã lấy tủy không chỉ bị sứt hay mẻ theo chiều ngang. Răng còn có thể bị vỡ dọc từ phần thân răng xuống. Bình thường, những vết nứt trên răng xuất hiện khá nhỏ. Do đó, nếu không quan sát kĩ có thể người bệnh sẽ không thể nhận ra.
2.3 Răng lấy tủy bị đen
Khi chiếc răng lấy dần dần chuyển màu sẫm hơn, ngả đen hơn những răng còn lại chính là báo hiệu cho sức khỏe của răng có vấn đề. Răng có nguy cơ bị vỡ cao.
3. Cách khắc phục răng bị vỡ sau lấy tủy
3.1 Tình trạng vỡ răng nhẹ
Đối với những trường hợp vỡ nhẹ, răng sẽ chỉ dừng ở mức độ bị nứt. Khi đó, sức khỏe răng nhìn chung chưa có vấn đề quá nghiêm trọng. Bệnh nhân có thể lựa chọn phương pháp bọc răng sứ để bảo toàn phần răng còn lại. Đây là các giúp ngăn ngừa tình trạng vỡ răng tiếp diễn. Cùng với đó, sau khi bọc sứ, bệnh nhân vẫn có thể ăn nhai thoải mái, không cần theo chế độ kiêng những món lạnh, nóng hay điều chỉnh lực của răng khi nhai. Tính thẩm mỹ của răng cũng được đảm bảo nhờ màu sắc răng sứ khá tương thích với răng thật, giữ được vẻ tự nhiên.
3.2 Tình trạng vỡ răng nặng
Khi răng lấy tủy trong tình trạng vỡ nặng, chỉ còn lại chân răng hay có những vết vỡ dọc răng thì giải pháp được khuyên nên áp dụng là nhổ bỏ. Khi đó, những phần răng đã hư hỏng sẽ được loại bỏ. Sau đó, để duy trì được khả năng ăn nhai cũng như tính thẩm mỹ thì người bệnh nên sử dụng cầu răng sứ hoặc thực hiện trồng răng Implant để phục hình.
3.2.1 Sử dụng cầu răng sứ
Khi sử dụng phương pháp làm cầu răng sứ, hai chiếc răng tiệm cận sẽ được mài nhỏ bớt để làm cầu nối và trụ cho răng đã mất. Tiếp đến, bác sĩ sẽ tiến hành bọc phần mão răng sứ. Mão răng sứ gồm 2 mão răng được chụp lên răng thật sau khi đã được mài và 1 phần mão răng ở giữa. Mão răng ở giữa được thiết kế theo như tạo hình của răng thật.
Phương pháp sử dụng cầu răng sứ đem tới những ưu điểm nhất định. Điển hình như về chi phí thực hiện. Ta sẽ được chọn sử dụng giữa răng sứ kim loại và răng toàn sứ. Trong đó, răng sứ kim loại sẽ có chi phí rẻ hơn và răng toàn sứ sẽ có mức hí dao động từ 4 – 8 triệu đồng. Tuy nhiên, nếu sử dụng loại răng sứ kim loại, về lâu dài, người dùng sẽ phải đối mặt với tình trạng bị đen chân răng.
3.2.2 Trồng răng Implant
Đây là phương pháp phục hình răng với những chiếc răng được sử dụng trị Implant làm từ Titanium. Những chiếc răng với trụ Implant sẽ được cấy ghép vào xương hàm. Phần trụ tương đối cứng chắc, độ bền cao nên hoàn toàn có thể thay thế phần chân răng thật. Sau khi đã hình thành nên khớp nối Abutment, phần mão sứ răng có ngà trắng sẽ được lắp vào trụ Implant. Phần này là để cấy ghép thay thế cho những chiếc răng đã bị mất.
Phương pháp này đem tới nhiều ưu điểm cho người dùng như bảo toàn khả năng ăn nhai, tính thẩm mỹ cao, phòng tránh được tình trạng tiêu xương hàm, … Tuy nhiên, chi phí của trồng răng Implant lại khá cao, không phải lựa chọn lý tưởng cho tất cả mọi đối tượng. Bên cạnh đó, phương pháp này cũng có sự đòi hỏi về tay nghề bác sĩ cũng như những công nghệ nha khoa hiện đại để đảm bảo chất lượng tốt. Do đó, ta cần cân nhắc kĩ trước khi chọn nha khoa, cơ sở y tế thực hiện uy tín để đạt được hiệu quả như mong muốn.
4. Những lưu ý sau khi điều trị răng lấy tủy bị vỡ
Bên cạnh điều trị tại nha khoa, để răng lấy tủy bị vỡ có thể hồi phục hoàn toàn ta cần lưu ý một số điều sau:
Kiểm tra nha khoa định kỳ
– Đảm bảo môi trường khoang miệng được vệ sinh phù hợp, đúng cách: Đánh răng từ 2 đến 3 lần một ngày, kết hợp sử dụng chỉ nha khoa và nước súc miệng để làm sạch, …
– Hạn chế ăn đồ ăn quá cứng khiến răng phải sử dụng lực mạnh.
– Tránh xa những đồ uống có cồn, chất kích thích và thuốc lá.
– Thực hiện tái khám đúng hẹn và rèn luyện thói quen khám nha khoa định kỳ.
Trên đây là một số thông tin cần biết về tình trạng vỡ răng lấy tủy. Hy vọng bài viết sẽ giúp bạn có những kiến thức hữu ích để có thể sử dụng khi cần thiết


















