Cách khắc phục bọc răng sứ bị đen nướu
Bọc răng sứ bị đen nướu làm ảnh hưởng tính thẩm mỹ. Người dùng sẽ trở nên mất tự tin khi cười và giao tiếp hàng ngày. Khi đó, việc khắc phục để tìm lại lại vẻ đẹp và sức khỏe của nụ cười là rất quan trọng. Chúng ta hãy cùng tìm hiểu về vấn đề này kĩ hơn ngay sau đây.
1. Tổng quan về thực hiện bọc răng sứ thẩm mỹ
Bọc răng sứ là một phương pháp phổ biến trong thẩm mỹ nha khoa. Phương pháp này giúp tái tạo vẻ đẹp tự nhiên. Bác sĩ sẽ chụp một lớp mão răng sứ trên bề mặt của răng tự nhiên. Quá trình này giúp che đi các khiếm khuyết như răng thưa, vỡ, hoặc bị ố vàng không thể tẩy trắng. Đồng thời, mão sứ cũng bảo vệ răng trong trường hợp răng sâu lớn hoặc sau khi điều trị tủy.
Một trong những điểm nổi bật của phương pháp này là tính thẩm mỹ cao. Răng sứ được thiết kế và chế tạo đến từng chi tiết nhỏ nhất. Nhờ vậy, mão răng sứ phù hợp với hình dáng và màu sắc của răng tự nhiên. Kết quả là khó có thể phát hiện sự khác biệt giữa răng sứ và răng tự nhiên.
Về mặt kỹ thuật, quá trình bọc răng sứ chỉ tác động bên ngoài thân răng mà không làm ảnh hưởng đến cấu trúc bên trong. Điều này đảm bảo rằng chức năng ăn nhai và vẻ đẹp tự nhiên của răng được bảo toàn, mang lại cảm giác thoải mái và tự tin cho người sử dụng.
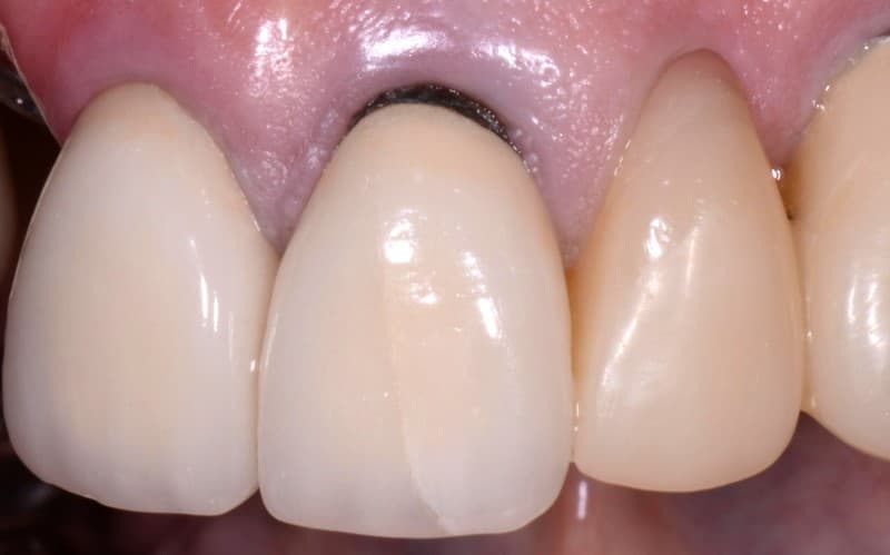
2. Tình trạng sau khi bọc răng sứ bị đen nướu
Có nhiều nguyên nhân gây tình trạng bọc răng sứ bị đen nướu
2.1 Nguyên nhân gây tình trạng bọc răng sứ bị đen nướu
Quá trình bọc răng sứ thường bắt đầu bằng việc mài nhỏ một phần của răng bị hỏng và sau đó chụp một khung răng sứ lên trên, tạo nên một lớp bọc chắc chắn cho răng thật. Và những người bọc răng sứ đều mong muốn có một hàm răng trắng, khỏe. Tuy nhiên, sau khi thực hiện bọc răng sứ, một số trường hợp gặp tình trạng răng sứ bị đen ở phần lợi. Sau đây một số nguyên nhân có thể gây ra hiện tượng này:
– Răng sứ kim loại oxi hóa: Răng sứ kim loại có thể bị đen ở viền nướu. Điều này do quá trình oxi hóa trong môi trường miệng. Khi việc chải răng không đúng cách, nướu có thể rút lên, làm lộ phần sứ ở chân răng và dễ bị mài mòn, màu đen.
– Kỹ thuật lắp mão răng sứ: Kỹ thuật lắp mão răng không đúng cũng có thể dẫn đến tình trạng răng sứ bị đen ở nướu. Nếu răng được lắp không đúng vị trí có thể gây ra viêm nướu. Nguyên nhân do mão sứ bị thấp hoặc cao, nướu bị chèn ép khi lắp.
– Mão sứ giãn nở: Trong một số trường hợp, mão sứ có thể giãn nở. Điều này tạo ra khoảng trống ở cổ răng khiến cho thức ăn mắc. Tình trạng này kéo dài gây viêm nướu và hôi miệng.
2.2 Cách khắc phục bọc răng sứ bị đen nướu
Để khắc phục tình trạng bọc sứ bị đen ở nướu, phương pháp là thay răng sứ mới. Theo các bác sĩ, để tránh tình trạng này, chúng ta nên chọn loại răng toàn sứ. Loại răng này sẽ không gây tình trạng oxi hóa sau một thời gian sử dụng.
Nếu đã sử dụng răng toàn sứ mà vẫn gặp tình trạng đen ở nướu, đó có thể là do sử dụng răng sứ kém chất lượng. Trong trường hợp này, chúng ta cần tìm đến bác sĩ để thay răng sứ mới ngay. Ngoài tình trạng đen ở nướu, việc sử dụng răng sứ kém chất lượng còn có thể gây ra nhiều biến chứng nguy hiểm ảnh hưởng đến sức khỏe. Do đó, trước khi quyết định bọc sứ, bạn nên chọn một nha khoa uy tín và tham khảo các loại răng toàn sứ để tránh tình trạng nướu bị thâm.
3. Những loại răng sứ không làm đen viên nướu khi sử dụng
Sử dụng răng toàn sứ sẽ giúp hạn chế tình trạng bọc răng sứ đen nướu
Dòng răng toàn sứ được xem là giải pháp hoàn hảo để khắc phục đen viền nướu. Dưới đây là một số loại răng toàn sứ phổ biến được nhiều người lựa chọn:
3.1 Răng sứ Emax
Răng sứ Emax được tạo thành từ sợi gốm sứ thủy tinh nguyên chất bên trong. Răng được phủ bởi 5 lớp sứ cao cấp ở bên ngoài. Với độ bền gấp 4 lần răng thật, Emax mang lại sự tự tin cho người dùng khi ăn nhai. Thẩm mỹ tự nhiên là một điểm nhấn của loại răng sứ này. Điều này nhờ khả năng thấu quang cao và màu sắc tự nhiên, giống như răng thật. Tuy nhiên, độ cứng của Emax vẫn còn thấp, không phù hợp để làm cầu răng sứ.
3.2 Răng sứ Zirconia
Răng sứ Zirconia bao gồm khung sườn và lớp vỏ bên ngoài đều làm từ sứ Zirconia nguyên chất. Với độ bền gấp 7 lần răng thật, răng sứ Zirconia có khả năng chống đứt gãy và mài mòn cao. Màu sắc tự nhiên và khả năng chống đen viền nướu giúp răng sứ Zirconia duy trì vẻ đẹp qua thời gian. Đây là lựa chọn phổ biến cho việc phục hình ở mọi vị trí trên cung hàm.
3.3 Răng sứ HI-Zirconia
Răng sứ HI-Zirconia là dòng răng sứ cao cấp và độc quyền, được phát triển dựa trên công nghệ của răng sứ Zirconia. Với màu sắc thẩm mỹ hơn và khả năng phản xạ ánh sáng tương tự như răng thật, HI-Zirconia là lựa chọn cho người muốn sở hữu nụ cười hoàn hảo. Mão sứ HI-Zirconia được điều chỉnh để khắc phục tình trạng mòn răng đối diện, thích hợp cho cả vị trí răng cửa và răng hàm nhai. Nhờ vậy, răng sứ HI-Zirconia mang lại kết quả phục hình tốt.
4. Lưu ý chăm sóc sau khi thực hiện bọc răng sứ
Sau khi bọc răng sứ, chúng ta cần thực hiện theo những lưu ý và chăm sóc được bác sĩ chỉ định
Sau khi hiểu được nguyên nhân khiến răng sứ bị đen nướu, việc chăm sóc răng miệng sau khi bọc sứ trở nên vô cùng quan trọng. Dưới đây là một số biện pháp bạn có thể thực hiện để bảo vệ và bảo quản răng sứ một cách tốt nhất:
– Kiểm soát chế độ ăn uống, tránh ăn quá nhiều thức ăn cứng và dai. Điều này để giảm thiểu nguy cơ tổn thương răng thật và mão răng sứ.
– Sử dụng bàn chải răng có lông mềm và kem đánh răng chứa Flour để loại bỏ mảng bám và ngăn ngừa vi khuẩn phát triển. Hãy thực hiện đánh răng ít nhất hai lần mỗi ngày và sử dụng chỉ nha khoa để làm sạch khoang miệng.
– Hãy thực hiện súc miệng bằng nước muối hoặc nước súc miệng chuyên dụng. Việc này để loại bỏ thực phẩm dư thừa và vi khuẩn trong khoang miệng.
– Tránh hút thuốc lá và hạn chế uống nước có ga hoặc đồ uống có màu, đặc biệt là các loại nhiều đường.
– Hãy đi khám răng định kỳ và lấy cao răng thường xuyên. Điều này để đảm bảo răng và nướu của bạn luôn trong tình trạng tốt.
Với những thông tin trên, hy vọng mọi người đã nắm được những lưu ý cần thiết khi bọc răng sứ để áp dụng khi cần thiết.


















