Bọc răng sứ răng sâu: Quy trình và chi phí
Bệnh lý sâu răng là một vấn đề nha khoa phổ biến mà không phân biệt tuổi tác, từ trẻ em đến người lớn đều tiềm ẩn nguy cơ. Nếu không được chăm sóc kịp thời, sâu răng có thể lan rộng và gây tổn thương cho các răng xung quanh. Đối mặt với tình trạng này, việc sử dụng bọc răng sứ răng sâu là một lựa chọn hợp lý. Tuy nhiên, nhiều người quan tâm liệu quá trình này có gây đau đớn không, quy trình thực hiện và chi phí như thế nào. Trong bài viết dưới đây, cùng Thu Cúc TCI khám phá câu trả lời cho những thắc mắc trên nhé.
1. Tìm hiểu về các khái niệm liên quan bọc răng sứ cho răng sâu
1.1 Khái niệm sâu răng
Sâu răng là hiện tượng mà răng bị tác động bởi vi khuẩn, gây mài mòn và hình thành lỗ trên bề mặt. Khi xuất hiện đau nhức khi ăn và nhai, vi khuẩn bắt đầu xâm nhập vào tủy răng, tình trạng trở nên nặng nề, đau răng gia tăng. Vi khuẩn lan nhanh xuống đáy chân răng, tạo thành ổ viêm nhiễm, gây viêm tủy chân răng. Sâu răng còn là nguyên nhân gây nhiều vấn đề khác như áp xe răng, sưng lợi, và hôi miệng.
1.2 Khái niệm bọc răng sứ răng sâu
Bọc răng sứ răng sâu là một phương pháp hiện đại để phục hồi về mặt thẩm mỹ và chức năng của răng. Kỹ thuật này sử dụng lớp vỏ sứ có hình dáng và màu sắc tương tự như răng tự nhiên. Bọc răng sứ bên ngoài cùi răng giúp khắc phục tình trạng răng sâu và hư hại. Phương pháp này không chỉ khôi phục chức năng ăn nhai mà còn giữ cho răng không bị đau nhức, đồng thời đảm bảo rằng răng luôn ở trong tình trạng khỏe mạnh và bền vững.
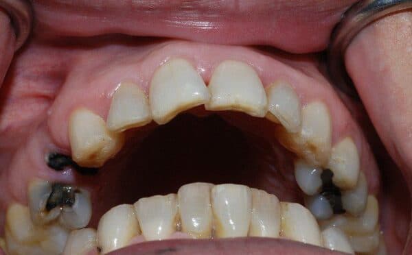
Răng sâu bị xỉn đen gây mất thẩm mỹ và giảm chức năng nhai thức ăn (minh họa).
Bọc răng sứ răng sâu khá tối ưu khi răng đã trải qua giai đoạn sâu nhẹ mà các phương pháp khác như hàn răng hay trám răng không thể khắc phục. Quy trình này không chỉ cải thiện thẩm mỹ mà còn đảm bảo chức năng ăn nhai tốt nhất. Ngoài ra, làm răng sứ cho răng hàm sâu còn giúp khôi phục và cải thiện chức năng ăn nhai, dễ dàng vệ sinh răng miệng. Với chất liệu sứ chất lượng cao, bọc răng sứ là sự thay thế hiệu quả cho việc hàn hay trám răng sâu, đồng thời bảo vệ răng xung quanh một cách toàn diện.
2. Chi phí bọc răng sứ cho răng bị hỏng hiện nay
Muốn biết giá bọc răng sứ răng sâu là bao nhiêu, bạn cần xem xét một số yếu tố quyết định chi phí. Hiện tại, chi phí này phụ thuộc vào số lượng răng cần bọc và loại răng sứ mà bệnh nhân chọn lựa. Thông thường, giá bọc răng sứ cho răng sâu có sự biến động từ hơn 4,5 triệu/răng đến 12 triệu/răng. Việc tìm hiểu chi phí trước khi quyết định bọc răng sâu là quan trọng, giúp khách hàng chuẩn bị tốt nhất và tránh mọi phát sinh không mong muốn.
3. Quy trình bọc răng sứ cho răng sâu chuẩn như thế nào?
Quy trình bọc răng sứ cho răng sâu được thực hiện qua 5 bước cụ thể:
Bác sĩ đang thực hiện quy trình thăm khám và xử lý răng cho bệnh nhân (minh họa).
3.1 Bước 1: Thăm khám và tư vấn
Bác sĩ nha khoa sẽ thăm khám răng để đánh giá tình trạng và đề xuất phương pháp điều trị phù hợp. Sau đó, bác sĩ sẽ tư vấn về quy trình bọc răng sứ, cũng như giải thích về chất liệu và các vấn đề liên quan đến răng sâu.
3.2 Bước 2: Mài cùi và lấy dấu răng
Sau khi xác định răng cần lắp mão sứ, bác sĩ sẽ tiến hành lấy dấu răng và thực hiện việc mài cùi răng. Trước khi mài cùi, bác sĩ sẽ áp dụng tê cục bộ để giảm cảm giác không thoải mái và đau rát. Công nghệ CAD/CAM giúp quá trình lấy dấu răng diễn ra nhanh chóng và chính xác.
3.3 Bước 3: Làm răng sứ
Dấu răng được chuyển đến phòng Lab, nơi sản xuất răng sứ chuyên nghiệp. Răng được chế tác theo kích thước và màu sắc phù hợp với từng bệnh nhân. Trong thời gian chờ đợi, bác sĩ sẽ lắp đặt một lớp răng sứ tạm thời. Lớp sứ trám tạm này để duy trì chức năng nhai và thẩm mỹ.
3.4 Bước 4: Gắn sứ
Bác sĩ nha khoa kiểm tra xem mô hình răng sứ đã đúng kích thước và màu sắc của răng thật chưa. Điều này để tránh tình trạng viền lợi đen hoặc sâu răng xảy ra sau khi bọc sứ. Sau đó, thử sức trên răng thật để đảm bảo nó phù hợp nhất. Cụ thể xem màu sắc, thẩm mỹ, và hình dáng phù hợp với khuôn hàm, điều chỉnh nếu cần thiết.
3.5 Bước 5: Kiểm tra khớp cắn cuối cùng
Bác sĩ kiểm tra cường độ lực, thời gian chịu lực, và cân bằng lực giữa các răng. Cuối cùng, bác sĩ tháo răng sứ tạm thời và gắn răng sứ thật vào bằng dụng cụ chuyên dụng.
4. Có nên lo lắng về việc bị sâu răng sau khi lắp sứ?
Một lo ngại phổ biến khi bọc răng sứ là liệu răng có thể bị sâu hay không. Răng sứ, được tạo ra như một chiếc răng giả, có bề mặt không có độ bám dính tương tự như răng tự nhiên, ngăn chặn sự bám dính của mảng thức ăn. Do đó, vi khuẩn khó có thể tấn công men sứ, và răng sứ không dễ bị sâu.
Tuy nhiên, nếu có dấu hiệu của sâu răng sau khi bọc sứ, cần thăm nha khoa sớm. Mục đích để phát hiện và xác định nguyên nhân gây sâu rất quan trọng. Nếu sâu răng không được điều trị kịp thời, có thể dẫn đến đau đớn. Nghiêm trọng hơn là gây viêm nhiễm, nhiễm trùng và thậm chí mất răng.
Răng vẫn có thể đen nướu nhưng ít khi bị sâu sau khi lắp mão sứ.
Để ngăn chặn sâu răng sau khi lắp sứ, quan trọng cần chải răng ít nhất 2 lần mỗi ngày. Thời gian hợp lý là đánh răng sau mỗi bữa ăn khoảng 30 phút. Sử dụng nước súc miệng kèm theo chỉ nha khoa để loại bỏ thức ăn dư thừa và hạn chế tiêu thụ thực phẩm chứa nhiều đường. Đặc biệt, việc điều trị nha khoa định kỳ có vai trò quan trọng trong việc ngăn chặn tình trạng sâu răng và các vấn đề nha khoa khác.
5. Một số lưu ý quan trọng sau bọc răng sứ răng sâu
– Chế độ ăn uống:
Chọn những thức ăn mềm và dễ nhai để giữ cho răng ổn định trước. Bởi sau khi thực hiện quy trình bọc răng sứ răng cần thời gian thích nghi.
– Chăm sóc răng đúng cách:
Đánh răng thường xuyên và sử dụng chỉ nha khoa để loại bỏ mảng bám trên bề mặt răng. Kết hợp 2 biện pháp sẽ đảm bảo răng sứ luôn sạch sẽ và khỏe mạnh.
– Hạn chế thức ăn cứng và quá ngọt:
Tránh ăn những thực phẩm cứng có thể tạo áp lực lên răng sứ mới lắp. Đồng thời, giảm tiêu thụ bánh kẹo để ngăn chặn mảng bám và axit gây hại.
– Kiêng kỵ thức ăn nhiệt độ cực:
Tránh ăn những thức ăn quá nóng hoặc quá lạnh khi mới bọc răng sứ. Điều này để tránh tình trạng kích thích đột ngột lên răng và răng sứ.
– Bổ sung chế độ dinh dưỡng:
Tăng cường ăn nhiều loại trái cây và rau xanh có lợi cho sức khỏe nướu và răng miệng, giúp duy trì độ mạnh mẽ của răng sứ.
– Khám răng miệng định kỳ:
Thăm nha sĩ định kỳ để kiểm tra và xử lý mọi vấn đề có thể phát sinh rất quan trọng giúp đảm bảo rằng răng sứ đang giữ được trạng thái tốt nhất.
Hy vọng những thông tin về quy trình và chi phí bọc răng sứ răng sâu sẽ hữu ích cho bạn. Để được tư vấn cụ thể về tình trạng răng lợi của mình, hãy ghé Thu Cúc TCI bạn nhé.


















