Bọc răng sứ hậu quả có nguy hiểm không?
Bọc răng sứ hiện nay là một dịch vụ khá phổ biến giúp phục hồi răng về thẩm mỹ và ăn nhai hiệu quả. Khi thực hiện, bác sĩ sẽ mài răng thật rồi chụp mão sứ lên răng gốc mà không gây ảnh hưởng. Tuy nhiên, nếu bạn thực hiện tại cơ sở nha khoa thiếu uy tín thì bọc răng sứ có thể để lại hậu quả về sau. Vậy bọc răng sứ hậu quả có nguy hiểm không? Cùng Thu Cúc TCI tìm hiểu chi tiết về bọc răng sứ hậu quả để lại qua bài viết dưới đây nhé.
1. Bọc răng sứ là dịch vụ gì và cần thực hiện khi nào?
Việc bọc răng sứ là một trong những phương pháp cố định để thay thế răng bị hỏng. Quá trình này bao gồm việc bọc một lớp sứ hoặc kim loại trên răng thật sau khi đã điều chỉnh hình dạng và màu sắc của chúng. Điều này nhằm khôi phục vẻ đẹp và chức năng của răng sau bọc.
Tuy nhiên, không phải ai cũng phù hợp cho việc thực hiện bọc răng sứ thẩm mỹ. Quyết định này phụ thuộc vào tình trạng sức khỏe răng miệng và độ biến dạng của hàm răng của mỗi người. Bác sĩ nha khoa sẽ tư vấn và đề xuất phương pháp phù hợp dựa trên tình trạng riêng của từng bệnh nhân. Một số trường hợp thường được xem xét cho việc bọc răng sứ bao gồm:
– Răng bị thay đổi màu sắc, nhuốm màu nặng, không thể cải thiện bằng tẩy trắng.
– Răng mọc không đều, lệch lạc hoặc có khoảng cách giữa chúng.
– Răng bị vỡ, gãy hoặc sứt mẻ lớn nhìn không được đẹp.
– Răng bị tổn thương nặng do sâu răng, viêm nhiễm tủy, hoặc chết tủy.
– Hàm răng bị móm hoặc có xu hướng lệch nhẹ.
– Răng thưa thớt hoặc quá ngắn.
Nhớ rằng quyết định cuối cùng về việc bọc răng sứ sẽ được đưa ra sau khi bạn đã tham khảo ý kiến của bác sĩ. Cả 2 bên đều cần thống nhất rằng phương pháp nào thích hợp nhất cho tình trạng của bạn.
2. Bọc răng sứ hậu quả có nguy hiểm không?
Nhiều người thắc mắc rằng bọc răng sứ hậu quả để lại có nguy hiểm không? Thực tế, bọc răng sứ khá an toàn và hiệu quả. Tuy nhiên, nếu như bạn chọn loại sứ kém chất lượng, hoặc tay nghề bác sĩ không đủ chuyên môn, bọc răng sứ có thể gây ra một số tác hại khôn lường:
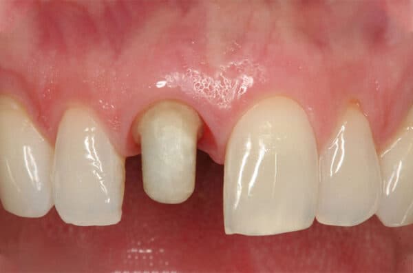
Chân răng thật bị mài mòn nhỏ xíu để bọc răng sứ khiến răng trở nên yếu hơn (minh họa).
2.1 Mài răng thật:
Quá trình mài răng (khoảng 0.6 đến 1.2mm) để làm cho chúng phù hợp với răng sứ có thể gây mất đi một phần lớn của răng thật. Kết quả là, bạn có thể cảm thấy khó khăn khi ăn nhai và có sự thay đổi trong cảm giác khi ăn thức ăn.
2.2 Răng nhạy cảm và ê buốt:
Mài quá nhiều có thể làm lộ răng và làm cho chúng trở nên nhạy cảm hơn đối với nhiệt độ thức ăn. Nếu việc lắp mão sứ không được thực hiện đúng cách, nó có thể dẫn đến sự không thoải mái và đau đớn khi tiếp xúc với thức ăn nóng hoặc lạnh.
2.3 Răng sứ dễ bị hỏng:
Chất liệu răng sứ không đạt chất lượng và được kiểm định có thể làm cho răng sứ dễ bị nứt hoặc vỡ sau một thời gian. Ngoài ra, nếu quá trình bọc sứ không được thực hiện cẩn thận, mảng sứ có thể bong ra khi ăn uống. Điều này, tiềm ẩn nguy cơ nuốt phải mảnh sứ và gây hại cho sức khỏe.
2.4 Hở cổ chân răng:
Một vấn đề khác cần quan tâm là việc mão sứ không được bọc kín sát răng thật, tạo ra khoảng trống. Điều này có thể dẫn đến việc nướu quanh răng bị chảy xuống và làm cổ chân răng lộ ra. Từ đó gây khó khăn trong việc ăn uống và tích tụ mảng bám.
2.5 Viêm nướu và hôi miệng:
Nếu quá trình bọc răng sứ, tay nghề của bác sĩ thực hiện không đạt độ chính xác, có thể tạo ra khoảng trống dễ tích tụ thức ăn và vi khuẩn. Điều này có thể dẫn đến viêm nướu và hôi miệng, gây phiền toái và ảnh hưởng đến sức khỏe răng miệng.
2.6. Lệch khớp cắn:
Lệch khớp cắn xảy ra khi mão sứ không được tạo ra sao cho khớp cắn đúng. Kết quả là việc ăn uống trở nên khó khăn và có thể gây đau đớn. Ngoài ra, áp lực lên khớp hàm có thể tăng, dẫn đến rối loạn khớp thái dương hàm.
Để tránh những vấn đề này, bọc răng sứ cần được thực hiện bởi các chuyên gia nha khoa có kinh nghiệm và sử dụng vật liệu chất lượng cao.
3. Làm sao để hạn chế những hậu quả của bọc răng sứ?
Để đảm bảo an toàn và chất lượng bọc răng sứ, một số yếu tố quan trọng cần xem xét là:
Bệnh nhân hài lòng sau khi lựa chọn bọc răng sứ tại Thu Cúc TCI (minh họa).
3.1 Tay nghề của bác sĩ
Khả năng và kinh nghiệm của bác sĩ thực hiện quá trình bọc răng rất quan trọng. Các bác sĩ nha khoa có uy tín, sẽ đảm bảo rằng quá trình bọc răng sứ được thực hiện với độ chính xác cao. Họ cũng có khả năng kiểm soát và xử lý tốt trong quá trình mài cùi răng. Tức là đồng thời đảm bảo không gây tổn thương đến tủy răng hoặc nướu.
3.2 Chất liệu răng sứ
Sự lựa chọn giữa răng sứ kim loại và răng sứ toàn phần có ảnh hưởng lớn đến kết quả cuối cùng. Răng bao gồm toàn bộ sứ, có màu sắc tự nhiên giống với răng thật nhất. Nó cũng có độ bền cao và tránh tình trạng thâm đen viền nướu sau thời gian dài sử dụng. Răng toàn sứ không chứa kim loại sẽ giúp tránh kích ứng cho những người có cơ địa nhạy cảm.
3.3 Công nghệ và trang thiết bị nha khoa
Bên cạnh kỹ năng của bác sĩ, trang thiết bị và công nghệ tiên tiến cũng đóng một vai trò quan trọng. Thể hiện trong đảm bảo độ chính xác và hiệu quả của quy trình bọc răng sứ.
Tóm lại, để đảm bảo an toàn và chất lượng cho quá trình bọc răng sứ, bệnh nhân cần tìm kiếm bác sĩ có uy tín và kinh nghiệm. Bên cạnh đó, lựa chọn chất liệu răng sứ phù hợp, và xem xét công nghệ tại cơ sở điều trị.
4. Lưu ý quan trọng để răng sứ sau bọc luôn bền đẹp
Sau khi bọc răng sứ, việc bảo vệ chúng là cực kỳ quan trọng để đảm bảo thời gian sử dụng lâu bền. Dưới đây là những lưu ý quan trọng mà người làm răng sứ cần tuân theo:
Sau khi bọc răng sứ có thể bị đau, viêm nướu nếu vệ sinh không kỹ (minh họa).
4.1 Ăn thực phẩm mềm ở giai đoạn mới làm răng:
Trong giai đoạn đầu sau khi bọc răng sứ, nên ăn thực phẩm mềm dẻo và dễ nhai. Mục đích tránh tạo áp lực quá lớn lên răng sứ và hàm răng thật. Hãy chia lực đều ra cả hai bên hàm để tránh ảnh hưởng đến khớp cắn.
4.2 Tránh sử dụng răng sứ để mở chai hoặc cắn xé bao bì:
Răng sứ là những tác phẩm nha khoa tinh tế và yếu đuối hơn răng thật. Việc sử dụng chúng để mở nắp chai hoặc cắn xé bao bì có thể gây hỏng răng sứ.
4.3 Hạn chế các chất gây hại cho răng:
Rượu, bia, nước ngọt có ga, và thuốc lá có thể ảnh hưởng đến men răng cũng như sức khỏe. Hạn chế sử dụng các chất này để bảo vệ răng sứ và răng thật của bạn.
4.4 Kết hợp đánh răng, nước súc miệng và chỉ nha khoa:
Sử dụng bàn chải lông mềm và chỉ tơ nha khoa để làm sạch răng, kể cả răng sứ. Thường xuyên dùng dung dịch súc miệng để tiêu diệt vi khuẩn và loại bỏ mảng bám.
4.5 Thăm khám nha khoa định kỳ:
Hãy thường xuyên đến nha khoa 6 tháng một lần để kiểm tra và làm sạch răng. Điều này giúp phát hiện sớm và xử lý các vấn đề có thể xuất hiện.
Hy vọng thông tin trên giúp bạn trả lời được câu hỏi bọc răng sứ hậu quả có nguy hiểm không. Nếu bạn có bất kỳ thắc mắc hoặc lo ngại nào, hãy liên hệ với bác sĩ nha khoa để được tư vấn và hỗ trợ.


















