Bọc răng sứ có đau không – Review đánh giá chi tiết
Bọc răng sứ từ lâu được coi là giải pháp cho những khuyết điểm của hàm răng yếu, xỉn màu, xô lệch. Tuy vậy, trải nghiệm về bọc răng sứ của mỗi người cũng có những khác biệt. Vậy, bọc răng sứ có đau không? Hãy cùng tìm hiểu về vấn đề này qua những thông tin review về bọc răng sứ dưới đây.
1. Tìm hiểu về bọc răng sứ
Bọc răng sứ là phương pháp phục hình nha khoa thẩm mỹ sử dụng mão răng sứ được chế tác từ sứ hoặc sứ kết hợp kim loại để chụp lên phần răng thật đã được mài cùi. Mão răng sứ có tác dụng thay thế phần cùi răng đã bị hư tổn, giúp phục hồi chức năng ăn nhai và cải thiện thẩm mỹ cho hàm răng.
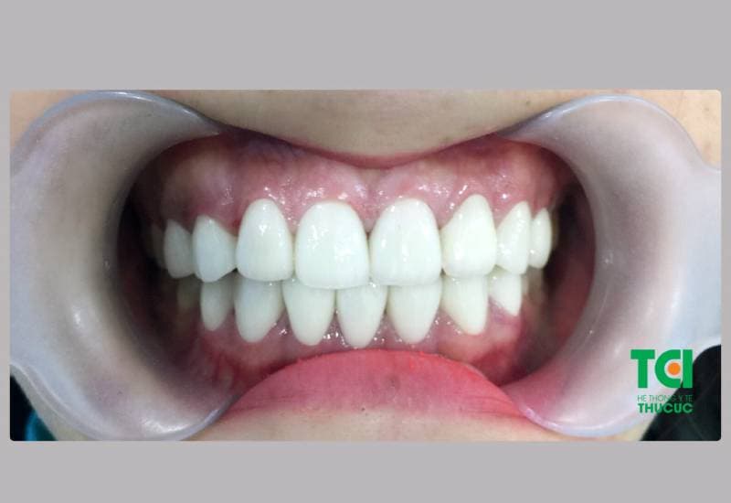
Hình ảnh về bọc răng sứ
1.1. Đối tượng nên lựa chọn bọc răng sứ
Theo cơ chế của mình, bọc răng sứ được coi là phương pháp thẩm mỹ với những người có một số yếu điểm về răng như việc: răng xỉn màu, sứt mẻ, mòn, thưa, lệch,… hoặc cải thiện chức năng với tình trạng răng yếu. Chính vì thế, việc bọc răng sứ được đánh giá là giải pháp phù hợp với nhiều đối tượng:
– Răng bị ố vàng, xỉn màu: Do hút thuốc lá, uống cà phê, trà,… hoặc do các nguyên nhân khác mà phương pháp tẩy trắng răng không hiệu quả.
– Răng bị sứt mẻ: Do tai nạn hoặc do thói quen cắn móng tay, mút bút,…
– Răng thưa, hở kẽ: Do thiếu men răng, do di truyền hoặc do các bệnh lý nha khoa như sâu răng, viêm nướu,…
– Răng mòn nhẹ: Do thói quen chải răng sai cách, do trào ngược axit dạ dày…
– Răng có hình dạng không đẹp: Răng quá ngắn hoặc quá dài, răng vuông, to bản, răng mọc lệch nhẹ,…
– Răng đã được điều trị tủy: Bọc răng sứ khi này nhằm bảo vệ cùi răng đã yếu sau khi điều trị tủy.
Ngoài ra, rất nhiều người cũng có thể lựa chọn bọc răng sứ để cải thiện nụ cười của mình, giúp bạn tự tin hơn trong giao tiếp.
1.2. Ai không nên bọc răng sứ?
Bọc răng sứ không phải là phương pháp có thể ứng dụng với mọi đối tượng. Chúng ta không nên bọc răng sứ trong những trường hợp sau:
– Sâu răng, viêm nướu nặng.
– Răng bị sứt mẻ nhiều.
– Răng mọc lệch, hô móm nặng.
– Men răng quá mỏng.
– Người có nguy cơ dị ứng với các thành phần của mão răng sứ.
Thông thường, trước khi bọc răng sứ, bác sĩ sẽ thăm khám, kiểm tra tình trạng răng để xem xét liệu bạn có phù hợp với việc bọc sứ không. Một số trường hợp bệnh lý cần đình chỉ tạm thời việc bọc sứ. Một số khác cần đình chỉ vĩnh viễn do sự không tương hợp với phương pháp bọc sứ hiện tại.
1.3. Ưu điểm khi bọc sứ
Bọc sứ đúng phương pháp, đúng đối tượng mang đến những ưu điểm vượt trội:
– Phục hồi chức năng ăn nhai nhờ độ cứng chắc cao, chịu lực tốt của mão sứ, giúp chúng ta ăn – nhai thoải mái.
– Cải thiện thẩm mỹ: Công nghệ chế tác mão răng sứ có màu sắc và hình dạng giống như răng thật, giúp chúng ta sở hữu nụ cười trắng sáng, đều đẹp.
– Bảo vệ răng thật: Mão răng sứ giúp bảo vệ phần cùi răng đã được mài khỏi các tác nhân gây hại như vi khuẩn, axit,…
– Tuổi thọ lâu dài: Mão răng sứ có tuổi thọ trung bình từ 10 – 15 năm, thậm chí có thể lâu hơn nếu được chăm sóc tốt.
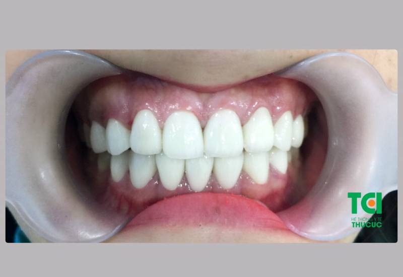
Hình ảnh sau bọc răng sứ tại TCI
2. Giải đáp vấn đề đau khi bọc răng sứ
2.1. Bọc răng sứ có đau không?
Trên thực tế, việc bọc răng sứ thường không gây đau nếu được thực hiện đúng kỹ thuật bởi bác sĩ nha khoa tay nghề cao. Điều này là do:
– Việc sử dụng thuốc tê: Trước khi thực hiện mài cùi răng, bác sĩ sẽ tiêm thuốc tê để giúp bạn không cảm thấy đau nhức trong suốt quá trình.
– Kỹ thuật mài cùi răng hiện đại: Việc sử dụng các loại máy móc hiện đại để mài cùi răng hiện nay giúp thao tác nhanh chóng, chính xác và hạn chế tối đa cảm giác khó chịu cho người bệnh khi mài cùi răng.
– Sử dụng mão răng sứ phù hợp: Mão răng sứ được chế tác theo dấu răng của người bệnh, đảm bảo độ khít sát và ôm sát cùi răng, giúp giảm thiểu cảm giác ê buốt sau khi bọc.
2.2. Vì sao một số người sau bọc răng sứ có cảm giác đau?
Một số trường hợp khi đã thực hiện dịch vụ bọc răng sứ ở các địa chỉ cao cấp, hiện đại nhưng vẫn có thể cảm thấy hơi khó chịu hoặc ê buốt nhẹ sau khi bọc răng sứ. Nguyên nhân có thể là:
– Do tác động của thuốc tê: Thuốc tê có thể gây tê môi, lưỡi và nướu trong vài giờ sau khi tiêm.
– Do mài cùi răng: Sau khi mài cùi răng, bạn có thể cảm thấy ê buốt nhẹ trong vài ngày.
– Do mão răng sứ mới: Mão răng sứ mới có thể chưa hoàn toàn thích ứng với cùi răng, gây cảm giác hơi khó chịu trong thời gian đầu.
Ngoài ra, một số cơ sở nha khoa không đảm bảo về thiết bị, kỹ thuật có thể khiến việc bọc sứ để lại hệ quả là cảm giác đau, mão sứ không lâu bền. Do đó, khi quyết định bọc sứ, bạn cần chọn lựa cho mình một cơ sở răng hàm mặt uy tín, hiện đại, có đội ngũ bác sĩ chuyên môn cao để an tâm vấn đề sức khỏe răng miệng và kết quả của dịch vụ bọc sứ được đảm bảo.
Việc tư vấn của bác sĩ chuyên môn trong bọc răng sứ là rất cần thiết
3. Quy trình bọc răng sứ
Quy trình bọc răng sứ ở mỗi cơ sở nha khoa có thể có những chi tiết khác biệt. Nhưng nhìn chung, quá trình này thường cơ bản như sau:
– Thăm khám và tư vấn, lựa chọn loại răng sứ cùng những lưu ý quan trọng cho người bệnh trong quá trình bọc sứ.
– Xử lý bệnh lý nếu có và vệ sinh răng miệng trước khi tiến hành.
– Gây tê – mài cùi răng để tạo chỗ cho mão răng sứ.
– Lấy dấu răng
– Chế tác mão răng sứ tại phòng labo nha khoa.
– Gắn mão sứ tạm thời trong quá trình chờ đợi mão sứ của người bệnh, kiểm tra khớp cắn để tránh những ảnh hưởng của mão sứ với việc sinh hoạt hằng ngày.
– Gắn mão răng sứ cố định lên cùi răng bằng keo dán chuyên dụng.
– Kiểm tra và hoàn tất: kiểm tra lại độ khít và màu sắc của mão răng sứ.
– Tái khám định kỳ
Sau khi bọc răng sứ, hãy chú ý vệ sinh răng miệng đúng cách theo chỉ định của bác sĩ, hạn chế các loại thức uống có hại cho màu sắc, sức khỏe của răng. Đồng thời, cần chú ý khám răng định kỳ 6 tháng/lần để kiểm tra tình trạng mão răng sứ.
Nhìn chung, với các cơ sở nha khoa lớn, uy tín hiện nay, chúng ta thường không phải lo lắng vấn đề “bọc răng sứ có đau không”. Bên cạnh đó, bọc răng sứ không phải là thủ thuật được áp dụng cho mọi đối tượng. Chính vì thế, khi có ý định bọc răng sứ, bạn nên đến thăm khám tại các cơ sở nha khoa uy tín để được tư vấn cụ thể và thực hiện phương pháp bọc răng sứ bởi đội ngũ bác sĩ nha khoa tay nghề cao, an tâm về sức khỏe răng miệng lâu dài của mình.


















